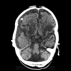
Уважаемые, Коллеги! Ребенок почти 2 месяцев, с основными симптомами на томограммах вроде бы все понятно, но остался один, не ясный для меня, момент! Подскажите, пожалуйста, что за гиперденсивное включение в субарахноидальном пространстве правой лобной области.


Несколько изображений.
Коллега, обратитесь приватно к коллегам Ola-la и Nela, может они помогут.
Андрей Юрьевич
Буду пробовать, спасибо!
При врожденных патологиях чего только не увидишь. Вопрос: а как оно влияет на Ваше заключение и лечение? Это принципиально? Кальциноз в арахноидальных оболочках редкость у детей до 6-10лет, тут Вы правы. А вот потом - не редкость. При инфекционных менингитах как последствие - вполне. Вы указали -инфекция. Какая?
Возможно на лечение и дальнейшую тактику ведения ребеночка описание этого "включения" никак не повлияет, у него есть проблемы в головном мозге куда более серьезней! Интерес для себя. Что касается инфекции, то в анамнезе ВУИ, какая именно не указано. Смутило то, что плотность этого "включения" максимум до 90 HU (для кальцината маловато). И судя по томограммам в костном режиме имела место интранатальная травма.
Мне кажется все же это кальцинаты. Измерения иногда врут, особенно если мерять мелкие объекты.
Спасибо за помощь! Кстати, был еще вариант с гигромой.
Я тоже думаю, что это кальцинат, плотность нормальная для кальцината у новорожденного. Мультикистозная энцефаломаляция часто является исходом герпетического менингоэнцефалита.
https://www.instagram.com/pediatricradiology/
Спасибо Всем огромное! Я оченнь благодарен за помощь!