Пол пациента:
Тип патологии:
Область исследования:
Методы исследования:
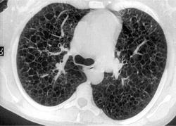
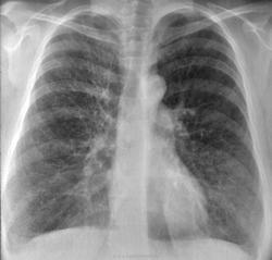
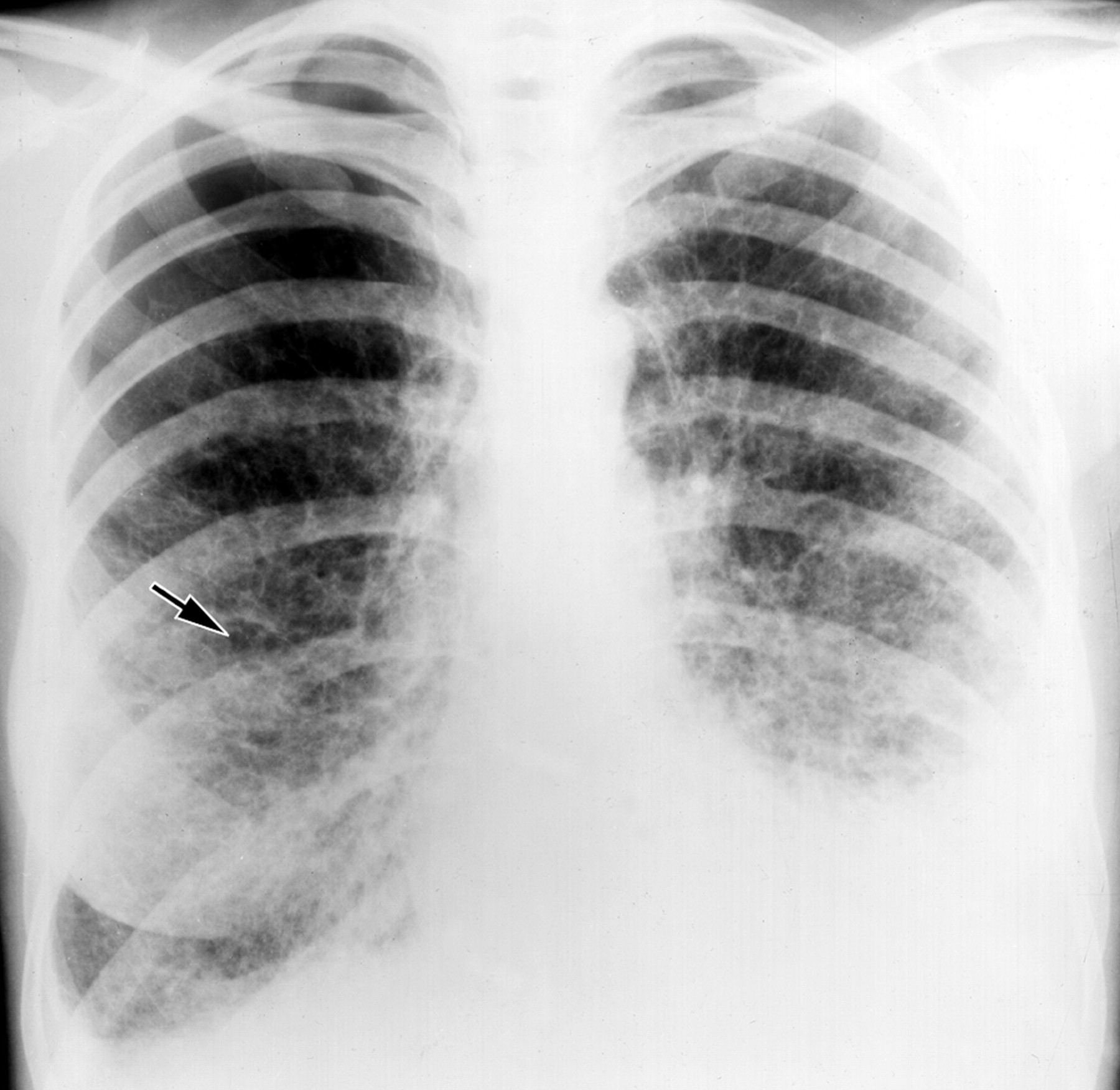
При поступлении одышка, кашель, Т до 37. "Рентгенкартина пневмонии справа, пневмосклероз, эмфизема. Киста, булла слева?" Прошу прощение за качество, снимки"с рук".
По "просьбам трудящихся" не выкладываю все сразу. Но уж ОЧЕНЬ эмфизема, режимы выдал - экспонометр("на среднего"), проявка - автомат. Снимки в реале - темнее ночи. Что тут больше всего смущает справа?
- https://radiomed.ru/sites/default/files/styles/case_slider_image/public/user/17212/m2.jpg?itok=fcgLGpmy
- https://radiomed.ru/sites/default/files/styles/case_slider_image/public/user/2841/legkie_002.jpg?itok=wwVGBdXt
- https://radiomed.ru/sites/default/files/styles/case_slider_image/public/user/2841/legkie001.jpg?itok=g31rKLQF
- https://radiomed.ru/sites/default/files/styles/case_slider_image/public/user/2841/legkie003.jpg?itok=sIr8gAL6
- https://radiomed.ru/sites/default/files/styles/case_slider_image/public/user/2841/legkie004.jpg?itok=EnUqNPLW
- https://radiomed.ru/sites/default/files/styles/case_slider_image/public/user/2841/legkie005.jpg?itok=sZJ1qpYT
- https://radiomed.ru/sites/default/files/styles/case_slider_image/public/user/2841/legkie006.jpg?itok=DTCqLZrI
- https://radiomed.ru/sites/default/files/styles/case_slider_image/public/user/2841/legkie007.jpg?itok=KMdHEqz8
- https://radiomed.ru/sites/default/files/styles/case_slider_image/public/user/2841/legkie008.jpg?itok=52E6Q5C-
- https://radiomed.ru/sites/default/files/styles/case_slider_image/public/user/2841/legkie009.jpg?itok=tUwiY5Ai
- https://radiomed.ru/sites/default/files/styles/case_slider_image/public/user/2841/legkie010.jpg?itok=71U4PvVr
- https://radiomed.ru/sites/default/files/styles/case_slider_image/public/user/2841/legkie011.jpg?itok=QXTRVsNt
- https://radiomed.ru/sites/default/files/styles/case_slider_image/public/user/2841/legkie013.jpg?itok=KP8vSZ6o
- https://radiomed.ru/sites/default/files/styles/case_slider_image/public/user/2841/legkie014.jpg?itok=y-xvhiL9
- https://radiomed.ru/sites/default/files/styles/case_slider_image/public/user/2841/legkie015.jpg?itok=EWBRZCGw
ID:27193
Вот и я посмотрел- ну эмфизема, ну можа буллы.
Грыжа диафрагмальная приходит на ум.
"Обучая других - учишься сам". Н.И.Пирогов
Стесняюсь спросить - а бок левый или правый?
С уважением,
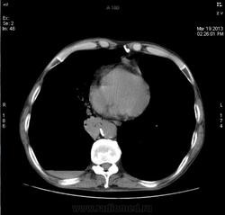
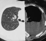
Реформаты КТ.
Выставлен центральный рак, буллезная болезнь.
Могу выставить только ссылки на изображения cine. Просмотр прямой ссылки ,с помощью курсора, с Вашим видеопросмотрщиком.
http://my-files.ru/12nt/кт1.mpg
http://my-files.ru/750y/кт2.mpg
Ссылки на КТ еще не смотрел, но давайте разберемся по классике (хотя из-за качества не хочется :(
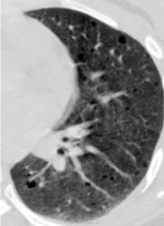
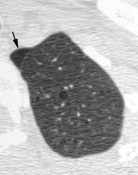
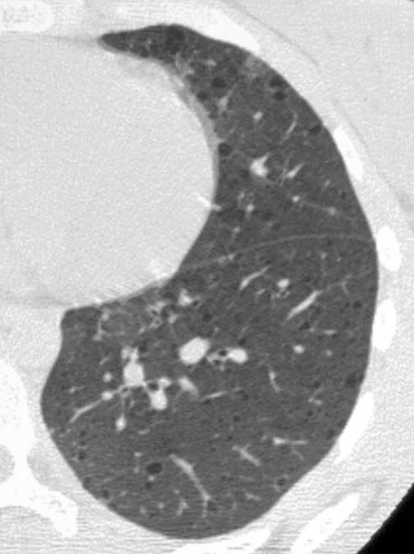
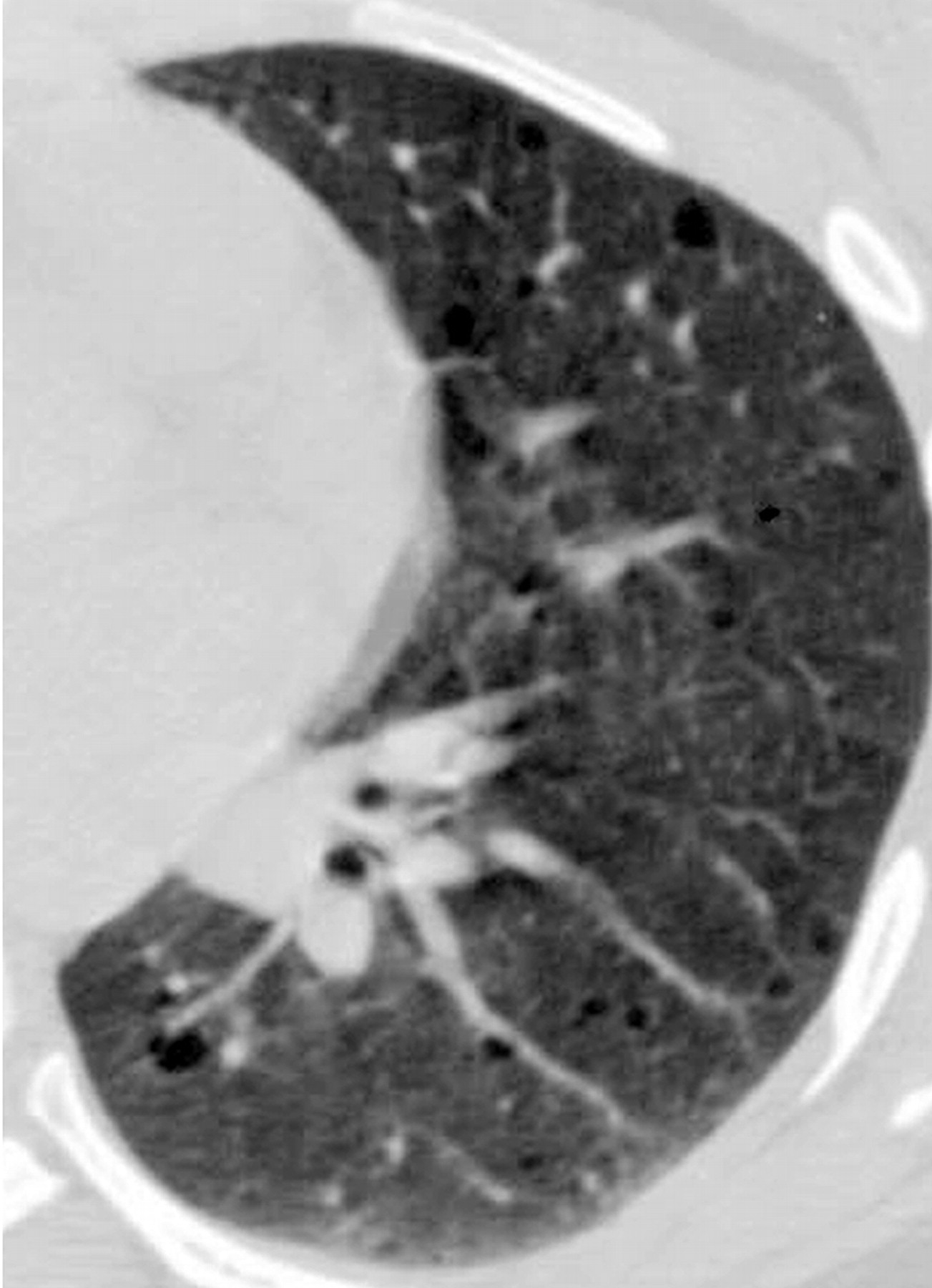
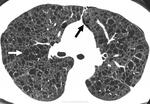
На фоне эмфиземы и булл имеется размытая интенсивная инфильтрация в S8 справа и гидроторакс в наддиафрагмальной зоне. НО... Уровень-то горионтальный, значит есть сообщение с воздухом. Пути два: снаружи (пункция) и изнутри (прорыв буллы, абсцесса, кисты). На реформатах жидкости нет.
И еще вопрос: где на РГ центральный-то? рак. Только небольшое расширение и кальцинаты левого корня.
Verum plus uno esse non potest.
Дайкомов не будет?
Андрей Юрьевич
Абсолютно верно, все сказанное по снимкам. Так и было расписано. Но на КТ выявилось- жидкость кисте или полости не принадлежит, жидкость "за" буллой. Между стенкой буллы и плеврой! За качество еще раз прошу прощения( из рук вырывал! не дали снять нормально) Реформаты - те что были предоставлены на распечатке! Вот и реши... Пришлось пересматривать КТ самому .
Выложил просто фильмы, без дайкомов, в легочном и медиастинальном( по умолчанию консоли КТ). Смотреть можно с помощью курсора.
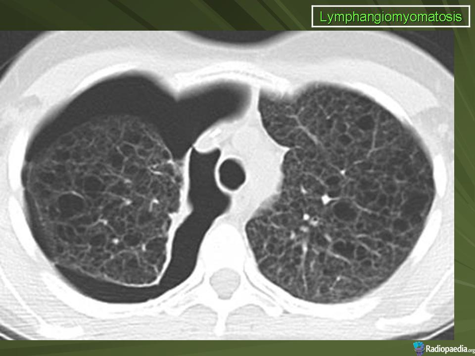
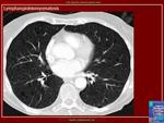
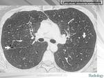
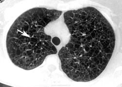
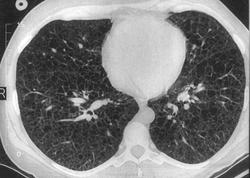
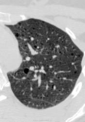
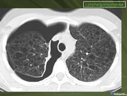
лимфангиолейомиоматоз
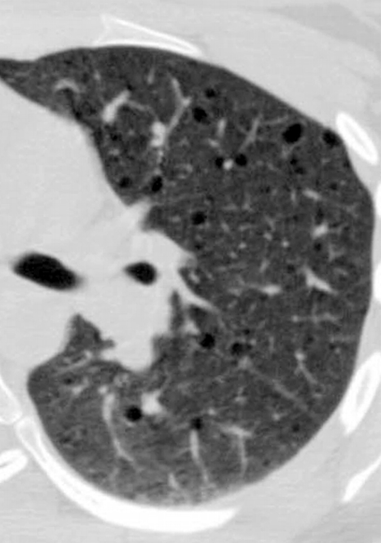
Типичный пример патологии при которой основным патерном являются кисты - :
материал взят со статьи Dr.Mario
http://www.radiomed.ru/publications/luchevaya-diagnostika-diffuznykh-interstitsialnykh-zabolevanii-legkikh-dizl-obshchie--0
Пневмоторакс как осложнение. может даже клапанный? пневмония ("матовое стекло") с ателектазами? в нижней доли справа
Ну, ежели речь зашла, так на радиомеде есть, есть и не мало...
Лимфангиомиоматоз.
Из архива AFIP. Лимфангиолейомиоматоз.
Продолжение.
Лимфангиомиоматоз.
Лимфангиолейомиоматоз
Лимфангиомиоматоз.
Лимфангиолейомиоматоз
Лимфангиомиоматоз.
Продолжение.
Лимфангиолейомиоматоз.
http://journal.publications.chestnet.org/article.aspx?articleid=1085685
Ну Андрей Юрьевич! Вырву дайкомы завтра. Напугали меня molotokmmm и Львович.
Я не пугал.
Было слово молвлено про лимфангиолейомиоматоз, ну вот....
А Ваш материал весьма интересен.
ЛАМ'ом болеют женщины.
Андрей Юрьевич
Добавила аксиалы с видео в начале темы. По КТ: ну, буллы, ну, компрессия нижней доли и неполная - средней. Гидропневмоторакс справа. Эмфизема. Рака не увидела.
https://www.youtube.com/channel/UCBGxoBUOqUT_bFhSeUgtWEw
Дайкомы сдесь:http://www.fayloobmennik.net/2723211
На скачивание файла был задан пароль: alks
Ну, рака бы я конечно не поставил. КТ-признаки эмфиземы легких, буллезной эмфиземы, пневмогидроторакса в переднем отделе справа; сзади справа, считаю большая киста/кисты с уровнем жидкости.
Андрей Юрьевич
А с бронхом что?
Вопрос сложный, сказать трудно.
Андрей Юрьевич
Посмотрела дайком. Бронх компрессирован, содержимое жидкое, скорее секреторное. Спайка разделяет свободный воздух и жидкость так, что в самой плевральной полости уровня нет, только в булле.
https://www.youtube.com/channel/UCBGxoBUOqUT_bFhSeUgtWEw
ЛГ еще раз спасибо. Бронхоскопия не дала подтверждения онкопатологии, а стеноз бронха или сдавление извне.