«Маленький рак» верхней доли левого легкого

Пол пациента: 
Методы исследования: 

Случай из практики – скрининговая флюорография.

 

Название случая - «Маленький рак» верхней доли левого легкого.

 

Пациент м, возраст – 69 лет.

 

Клиника – жалоб не предъявляет

 

Цифровое стандартное флюорографическое профилактическое исследование (проведено на цифровом флюорографе «Ренекс – Флюоро»).

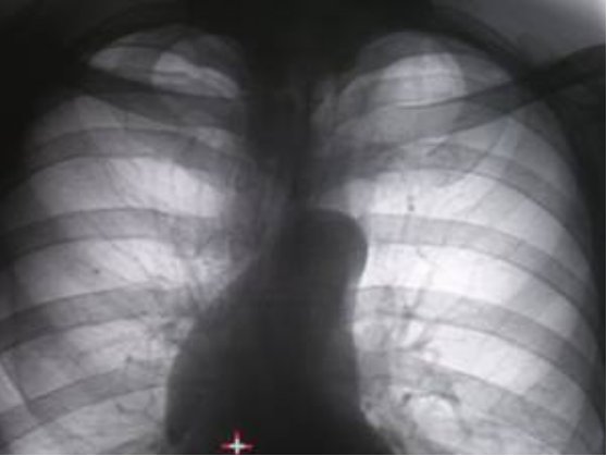
Протокол. На прямой цифровой флюорограмме органов грудной полости (1), произведенной в прямой стандартной проекции слева в 1 межреберье дифференцируется малоинтенсивная очаговоподобная тень. При цифровой обработке изображения (2) – эквилизация, увеличение в два раза, вышеописанная тень неправильной овальной формы, малой интенсивности с нечеткими контурами. На томограммах – оптимальный срез 11 см. (3, 4) на уровне 1 ребра определяется крупноочаговая тень размерами 1,0 х 0,8 см. средней интенсивности, почти однородной структуры с неровными, нечёткими контурами за счёт мелкой лучистости по контуру.

 

Заключение: Периферический рак верхней доли левого лёгкого. Необходимо полное клиническое обследование, консультация онколога.

 

Пациент консультирован в областном онкологическом диспансере. Диагноз подтвержден. От лечения пациент отказался.

 

Данные предоставил Катенёв Валентин Львович, г. Бирюч Белгородской области. МУЗ «Красногвардейская центральная районная больница», зав. рентгенологическим отделением.

1. прямая цифровая флюорограмма органов грудной полости
1. прямая цифровая флюорограмма органов грудной полости
2. цифровая обработка изображения – эквилизация, увеличение в два раза
2. цифровая обработка изображения – эквилизация, увеличение в два раза
3. томограмма – оптимальный срез 11 см
3. томограмма – оптимальный срез 11 см
4. томограмма – оптимальный срез 11 см.
4. томограмма – оптимальный срез 11 см.

 

helenmar аватар
Не на сайте
Был на сайте: 8 лет 5 месяцев назад
Зарегистрирован: 23.03.2008 - 12:27
Публикации: 291

Уважаемый Валентин Львович! Вопрос: каким образом в онкодиспансере подтвержден диагноз, если больной от оперативного лечения отказался? Надеюсь, со временем у Вас будет возможность представить этот случай в динамике. Спасибо!

Делай, что должно, и будь, что будет.

Катенёв Валентин Львович аватар
Не на сайте
Был на сайте: 7 лет 2 недели назад
Зарегистрирован: 22.03.2008 - 22:15
Публикации: 54876

Безусловно, в динамике иллюстрации рентгенограмм и томограмм будут представлены.