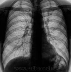
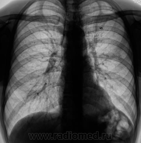
Пациент прооперирован - лобъектомия.

Пол пациента: 
Тип патологии: 
Методы исследования: 

Пациент прооперирован - лобъектомия.

После операции.

  • https://radiomed.ru/sites/default/files/styles/case_slider_image/public/user/12/2.pc060024.jpg?itok=Em76W8C-
  • https://radiomed.ru/sites/default/files/styles/case_slider_image/public/user/12/3.pc060024a.jpg?itok=TrJYZDr1
  • https://radiomed.ru/sites/default/files/styles/case_slider_image/public/user/12/4.pc060024ab.jpg?itok=vz2TSDa_
  • https://radiomed.ru/sites/default/files/styles/case_slider_image/public/user/12/5.pc060025.jpg?itok=UraRNyvk
  • https://radiomed.ru/sites/default/files/styles/case_slider_image/public/user/12/6.pc060025a.jpg?itok=bTibb4V3
  • https://radiomed.ru/sites/default/files/styles/case_slider_image/public/user/12/7.pc060025ab.jpg?itok=QOshyWyE
  • https://radiomed.ru/sites/default/files/styles/case_slider_image/public/user/12/8.pc060025v.jpg?itok=ixjXDO8f
  • https://radiomed.ru/sites/default/files/styles/case_slider_image/public/user/12/9.pc060025vg.jpg?itok=IzUWCNnc
  • https://radiomed.ru/sites/default/files/styles/case_slider_image/public/user/12/10.pc060026.jpg?itok=jJGc7jl5
  • https://radiomed.ru/sites/default/files/styles/case_slider_image/public/user/12/11.pc060026a.jpg?itok=gvmXvzep
  • https://radiomed.ru/sites/default/files/styles/case_slider_image/public/user/12/12.pc060026ab.jpg?itok=PJBfn1De
  • https://radiomed.ru/sites/default/files/styles/case_slider_image/public/user/12/1.pc060027.jpg?itok=ZLtuqWlc
  • https://radiomed.ru/sites/default/files/styles/case_slider_image/public/user/12/2.pc060028.jpg?itok=PY0X51WS
ID:9805