Пол пациента:
Тип патологии:
Область исследования:
- https://radiomed.ru/sites/default/files/styles/case_slider_image/public/user/5278/img_20140318_112309.jpg?itok=9cAoOeRI
- https://radiomed.ru/sites/default/files/styles/case_slider_image/public/user/5278/img_20140318_1118502.jpg?itok=TnLONjnp
- https://radiomed.ru/sites/default/files/styles/case_slider_image/public/user/5278/img_20140318_1123091.jpg?itok=p2RQLBXv
- https://radiomed.ru/sites/default/files/styles/case_slider_image/public/user/5278/10001_8.jpg?itok=Ih_w1V-v
- https://radiomed.ru/sites/default/files/styles/case_slider_image/public/user/5278/10002_8.jpg?itok=cD9vh_3H
- https://radiomed.ru/sites/default/files/styles/case_slider_image/public/user/5278/10003_8.jpg?itok=x0lImRXJ
- https://radiomed.ru/sites/default/files/styles/case_slider_image/public/user/5278/10004_10.jpg?itok=RQ0trJQW
- https://radiomed.ru/sites/default/files/styles/case_slider_image/public/user/5278/10005_10.jpg?itok=huz0130o
- https://radiomed.ru/sites/default/files/styles/case_slider_image/public/user/5278/10006_6.jpg?itok=C2BVhT_D
- https://radiomed.ru/sites/default/files/styles/case_slider_image/public/user/5278/10007_6.jpg?itok=ieki8264
- https://radiomed.ru/sites/default/files/styles/case_slider_image/public/user/5278/10008_3.jpg?itok=rIE8xBL0
- https://radiomed.ru/sites/default/files/styles/case_slider_image/public/user/5278/10009_5.jpg?itok=wQk3mwlG
- https://radiomed.ru/sites/default/files/styles/case_slider_image/public/user/5278/10010_5.jpg?itok=xKzkDU53
ID:36180
Что смущает?
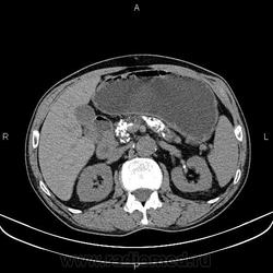
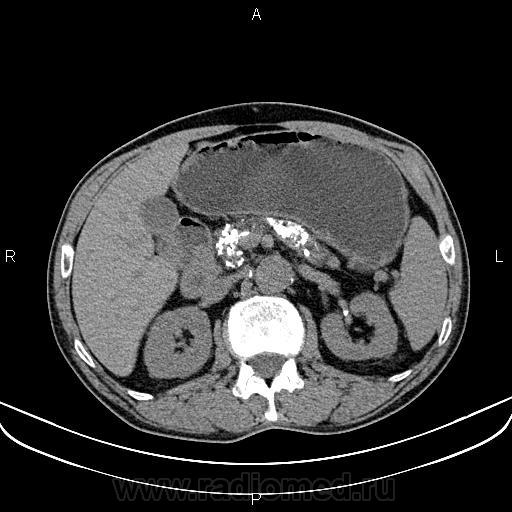
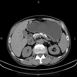
Каменюки в поджелудочной железе?
С Вами не интересно. Все Вы знаете
Добавил КТ. Жаль криволинейной реконструкции на станции нет.
Иногда со старичками (я), бывает даже очень интересно...
Такой картинки на обзорной ещё не видел.
Недавно был такой случай, долго думал и искал... Потом на радиопедии нешел что это хронический панкреатит, да и по поводу обзорки, на обзорной рентгенограмме не стоит все похожие кальцинаты списывать на поджелудочную так как это может быть и аденокарцинома толстой кишки.
Терпимость - это когда прощают чужие ошибки; такт - когда не замечают их. (Артур Шницлер)
Схематический типаж...
Терпимость - это когда прощают чужие ошибки; такт - когда не замечают их. (Артур Шницлер)