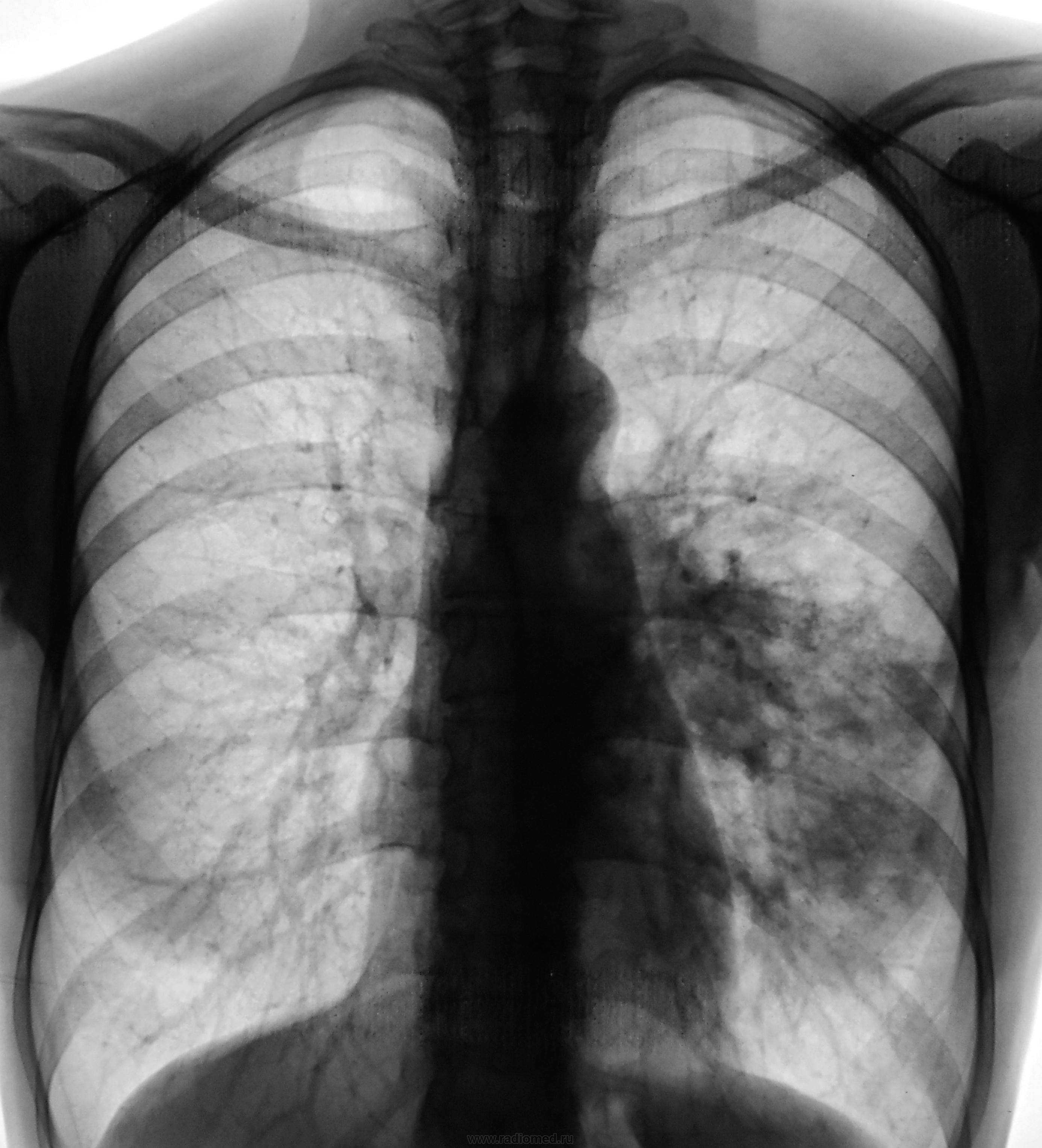
Пол пациента: Мужской пол Тип патологии: Воспалительное заболевание неинфекционной природы Область исследования: Грудная клетка и верхние дыхательные пути Методы исследования: Rg С подозрением на левостороннюю пневмонию пациент направлен на рентгенографию ОГК. https://radiomed.ru/sites/default/files/styles/case_slider_image/public/user/12/2.dscn1380.jpg?itok=9KBXvZ22 ID:27777 Чт, 11/04/2013 - 19:32 #1 maker4ik Не на сайте Был на сайте: 8 лет 7 месяцев назад Зарегистрирован: 19.10.2011 - 17:49 Публикации: 2682 ТБС в 6 Чт, 11/04/2013 - 19:41 #2 Сергей Кузьминов Не на сайте Был на сайте: 1 год 1 неделя назад Зарегистрирован: 06.10.2012 - 15:51 Публикации: 11813 На вершушке слева тоже очаги есть,но до контрольного снимка считал бы пневмонией сегментарнойS6. Чт, 11/04/2013 - 20:35 #3 Nikolas Не на сайте Был на сайте: 1 месяц 3 недели назад Зарегистрирован: 21.12.2010 - 20:37 Публикации: 4559 в S6, 10 левого легкого. Полагаю, что клинико-лабораторные данные подтвердят. Пт, 12/04/2013 - 01:35 #4 Катенёв Валенти... Не на сайте Был на сайте: 7 лет 2 недели назад Зарегистрирован: 22.03.2008 - 22:15 Публикации: 54876 maker4ik wrote: ТБС в 6 А, только для шестерки не многовато? Пт, 12/04/2013 - 18:23 #5 maker4ik Не на сайте Был на сайте: 8 лет 7 месяцев назад Зарегистрирован: 19.10.2011 - 17:49 Публикации: 2682 Катенёв Валентин Львович wrote: maker4ik wrote: ТБС в 6 А, только для шестерки не многовато? Ну можно еще на 10 согласиться. Хотя мне и 6 хватит. Пт, 12/04/2013 - 19:41 #6 Нормандия Не на сайте Был на сайте: 11 лет 8 месяцев назад Зарегистрирован: 10.11.2012 - 10:49 Публикации: 81 нужен контроль в динамике. Думаю,пневмонией тут может все ограничится. И,может, все же прав поэт? Не верится,что это враки. Чем ближе узнаю людей,тем больше нравятся собаки. Пт, 12/04/2013 - 19:46 #7 Сан Саныч1 Не на сайте Был на сайте: 11 месяцев 2 недели назад Зарегистрирован: 07.06.2010 - 21:17 Публикации: 2114 Контроль после а/б терапии всех рассудит. Хочешь сделать что-то нормально - сделай это сам! Пт, 12/04/2013 - 22:18 #8 Катенёв Валенти... Не на сайте Был на сайте: 7 лет 2 недели назад Зарегистрирован: 22.03.2008 - 22:15 Публикации: 54876 Сан Саныч1 wrote: Контроль после а/б терапии всех рассудит. Надо надеяться на контроль после лечения. Пт, 12/04/2013 - 22:24 #9 алкс Не на сайте Был на сайте: 10 лет 2 недели назад Зарегистрирован: 24.10.2012 - 22:55 Публикации: 2915 Катенёв Валентин Львович wrote: Сан Саныч1 wrote: Контроль после а/б терапии всех рассудит. Надо надеяться на контроль после лечения. Мне чудится нарушение проходимости нижнедолевого бронха на боковой. Но с алгоритмом не поспоришь. Давайте исключим сначала пневмонию а потом центральный нижнедолевого. Сб, 13/04/2013 - 15:16 #10 Mila85 Не на сайте Был на сайте: 3 года 1 месяц назад Зарегистрирован: 15.03.2012 - 16:59 Публикации: 1790 Алкс, вы кровожадны, у подростков все же это редкость, не хотелось бы думать.. Вс, 21/04/2013 - 16:10 #11 Катенёв Валенти... Не на сайте Был на сайте: 7 лет 2 недели назад Зарегистрирован: 22.03.2008 - 22:15 Публикации: 54876 Контроль после лечения.Приложения: Вс, 21/04/2013 - 16:35 #12 maker4ik Не на сайте Был на сайте: 8 лет 7 месяцев назад Зарегистрирован: 19.10.2011 - 17:49 Публикации: 2682 Мне кажется, еще подлечить стоит. Вс, 21/04/2013 - 17:02 #13 Катенёв Валенти... Не на сайте Был на сайте: 7 лет 2 недели назад Зарегистрирован: 22.03.2008 - 22:15 Публикации: 54876 maker4ik wrote: Мне кажется, еще подлечить стоит. Подлечить в терапии? Вс, 21/04/2013 - 18:30 #14 Сергей Кузьминов Не на сайте Был на сайте: 1 год 1 неделя назад Зарегистрирован: 06.10.2012 - 15:51 Публикации: 11813 Фаза неполного рассасывания пневмонии.Контроль через 2-3 недели.Больше пока ничего. Вс, 21/04/2013 - 18:37 #15 Катенёв Валенти... Не на сайте Был на сайте: 7 лет 2 недели назад Зарегистрирован: 22.03.2008 - 22:15 Публикации: 54876 Томограммы.Приложения: Вс, 21/04/2013 - 21:09 #16 Сергей Кузьминов Не на сайте Был на сайте: 1 год 1 неделя назад Зарегистрирован: 06.10.2012 - 15:51 Публикации: 11813 А вот теперь извиняюсь.Похоже долечиваться надо в ПТД.В томографии-сила(комплемент автору). Пнд, 22/04/2013 - 17:06 #17 maker4ik Не на сайте Был на сайте: 8 лет 7 месяцев назад Зарегистрирован: 19.10.2011 - 17:49 Публикации: 2682 Катенёв Валентин Львович wrote: maker4ik wrote: Мне кажется, еще подлечить стоит. Подлечить в терапии? Какая терапия? Я ж вроде за ТБС высказалась и мнения пока не меняла. Пнд, 22/04/2013 - 18:08 #18 Nikolas Не на сайте Был на сайте: 1 месяц 3 недели назад Зарегистрирован: 21.12.2010 - 20:37 Публикации: 4559 на основании каких признаков Вы так уверенно поставили туберкулез. Это будет полезно многим и в первую очередь мне. Пнд, 22/04/2013 - 19:43 #19 maker4ik Не на сайте Был на сайте: 8 лет 7 месяцев назад Зарегистрирован: 19.10.2011 - 17:49 Публикации: 2682 Никаких. Кроме локализации. Пнд, 22/04/2013 - 22:21 #20 Катенёв Валенти... Не на сайте Был на сайте: 7 лет 2 недели назад Зарегистрирован: 22.03.2008 - 22:15 Публикации: 54876 maker4ik wrote: Какая терапия? Я ж вроде за ТБС высказалась и мнения пока не меняла. Дело в том, что пациент лечился по поводу пневмонии в терапевтическом отделении. Пнд, 22/04/2013 - 22:23 #21 Катенёв Валенти... Не на сайте Был на сайте: 7 лет 2 недели назад Зарегистрирован: 22.03.2008 - 22:15 Публикации: 54876 maker4ik wrote: Никаких. Кроме локализации. А, ЧЁ? Локализация типичная? Втр, 23/04/2013 - 17:10 #22 maker4ik Не на сайте Был на сайте: 8 лет 7 месяцев назад Зарегистрирован: 19.10.2011 - 17:49 Публикации: 2682 А разве 6 - не типичная?
ТБС в 6
На вершушке слева тоже очаги есть,но до контрольного снимка считал бы пневмонией сегментарнойS6.
в S6, 10 левого легкого. Полагаю, что клинико-лабораторные данные подтвердят.
А, только для шестерки не многовато?
нужен контроль в динамике. Думаю,пневмонией тут может все ограничится.
И,может, все же прав поэт? Не верится,что это враки. Чем ближе узнаю людей,тем больше нравятся собаки.
Контроль после а/б терапии всех рассудит.
Хочешь сделать что-то нормально - сделай это сам!
Надо надеяться на контроль после лечения.
Мне чудится нарушение проходимости нижнедолевого бронха на боковой. Но с алгоритмом не поспоришь. Давайте исключим сначала пневмонию а потом центральный нижнедолевого.
Алкс, вы кровожадны, у подростков все же это редкость, не хотелось бы думать..
Контроль после лечения.
Мне кажется, еще подлечить стоит.
Подлечить в терапии?
Фаза неполного рассасывания пневмонии.Контроль через 2-3 недели.Больше пока ничего.
Томограммы.
А вот теперь извиняюсь.Похоже долечиваться надо в ПТД.В томографии-сила(комплемент автору).
Какая терапия? Я ж вроде за ТБС высказалась и мнения пока не меняла.
на основании каких признаков Вы так уверенно поставили туберкулез. Это будет полезно многим и в первую очередь мне.
Никаких. Кроме локализации.
Дело в том, что пациент лечился по поводу пневмонии в терапевтическом отделении.
А, ЧЁ? Локализация типичная?
А разве 6 - не типичная?