Клинические наблюдения

Опубликуйте свое собственное клиническое наблюдение!
18.10.2024 - 14:56
Здравствуйте. Буду признательна за Вашу помощь. На Ваш взгляд, есть ли признаки остеомиелита? Расценила всё как посттравматические изменения, но теперь считаю, что зря не поставила сразу остеомиелит...
15.10.2024 - 18:52
Здравствуйте коллеги. В н.3 диафиза бедренной кости вижу утолщение , вроде  ничего серьезного .Как бы вы интерпретировали? Свежей травмы не было.
15.10.2024 - 12:05
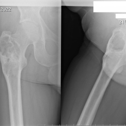
Коллеги, здравствуйте! Женщина, 83, жалобы на боли в тазобедренном суставе. На прямом снимке меня смутил обведенный оранжевым экзостоз. Было не понятно, что это и где, доделали снимок с отведением. А...
25.09.2024 - 04:16
Пациент 21 год на призывной комиссии со снимком стоп в 2-х проекциях с функциональной нагрузкой.  С 2017 г. на занятиях физической культурой занимается в специальной подготовительной группе в...
24.09.2024 - 21:34
Коллеги, здравствуйте. Женщина, 83. Упала месяц назад. Жалуется на боли в большеберцовой кости. Но меня больше смущает область латеральной лодыжки, где видится какое-то линейное просветление. Но не...
X-Ray-Man аватар
16.09.2024 - 11:31
Здравствуйте, подскажите, девочка 12 лет, жалобы на боли в стопе слева, была травма в начале сентября, сделали снимок в заключении норма, стопа болит уже в течении месяца. Похоже на консолидирующиеся...
Магомедрасул аватар
12.09.2024 - 14:05
Здравствуйте, уважаемые коллеги, хотелось бы услышать ваше мнение по этим снимкам. Снимки разных людей поступили с остеохондрозом ШОП.
X-Ray-Man аватар
06.09.2024 - 09:56
Здравствуйте, пациентам 65 лет, скажите есть ли тут признаки нестабильности эндопротезов?
Махамбетчин Мурат Максутович аватар
03.09.2024 - 17:00
Муж. 42 г., падение с высоты 2,5 м на правый бок. На КТ воздух в малом тазу забрюшинно. Ка можно это интерпретировать?
02.09.2024 - 12:48
Женщина 1954гр, боли в крестцово-копчиковом сочлении. Травмы отрицает.
24.08.2024 - 03:25
Извините, я пациент, два врача сказали, что у меня исход Осгуд-Шляттера. Юноша, 17 лет, спортсмен. Они болят, и я сомневаюсь в решении врачей. После долгой ходьбы даже чуть-чуть присаживаясь больно...
20.08.2024 - 20:08
Жалобы на боль, боль при ходьбе, опухлостью Необходима помощь с диагнозом. Заранее благодарю