Клинические наблюдения
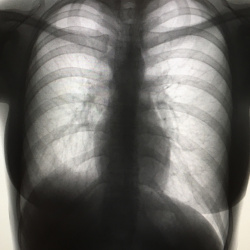
09.08.2024 - 16:24
Здравствуйте, снимок лёжа, мужчина 73 года, жалобы на слабость высокий СОЭ, температуры нет. Диссеменация или это так легочной рисунок усилен?
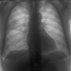
07.08.2024 - 18:58
Здравствуйте, мужчина 69 лет, неделю назад выставлена пневмони, жалобы на кашель и температуру. Можно сказать что динамика положительная? Вижу слабо-положительную динамику. Или её нет и лучше...
02.08.2024 - 08:40
Здравствуйте, женщина 64 года, с её слов во время еды случайно проглотила вставную челюсть. Я вижу в проекции желудка, коллега говорит что нет. Хотелось бы услышать ваше мнение. Заранее благодарю за...
31.07.2024 - 18:54
Здравствуйте, извиняюсь за качество, мужчина 59 лет. Профосмотр. В s9 левого лёгкого ничего нет, на прямой вроде ничего не вижу?
26.07.2024 - 23:05
Здравствуйте, уважаемые коллеги. Требуется помощь в интерпретации клинического случая. Женщина 1955гр, работающая, заболела месяц назад- клиника ОРВИ. По снимкам, выполненным в другом леч....
25.07.2024 - 19:50
Здравствуйте, женщина 88 лет, жалобы на ухудшение самочувствия, гемоглобин 59. Лёгкие в пределах нормы?
23.07.2024 - 10:54
Здравствуйте. Буду признательна за ваши мнения. Пациент, 44 года, предъявляет жалобы на кашель, болеет 2-3 день, со слов. Нет ли патологии?
20.07.2024 - 12:56
Мужчина, 42 лет, поступил с жалобами на слабость, головную боль, кашель, одышку, считает себя больным в течении 3 дней, когда появились эти жалобы, самостолятельно принимал противовоирусные...
15.07.2024 - 16:29
Мужчина, 75 лет, жалобы на низкий гемоглобин, 5 лет не делал ФЛГ. Слева в верхней доле образование или обызиствление хряща?
13.07.2024 - 09:19
Здравствуйте, ребенок 9 лет, жалобы на кашель и слабость 2 недели. Вижу усиление лёгочного рисунка, пневмонии нет?
09.07.2024 - 19:46
Здравствуйте, женщина 64 года, жалобы на кашель, температуру и отдышку. Правовое лёгкое без изменений?
- « первая
- ‹ предыдущая
- …
- 3
- 4
- 5
- 6
- 7
- 8
- 9
- 10
- 11
- …
- последняя »
- следующая ›