Клинические наблюдения
26.07.2024 - 23:05
Здравствуйте, уважаемые коллеги. Требуется помощь в интерпретации клинического случая. Женщина 1955гр, работающая, заболела месяц назад- клиника ОРВИ. По снимкам, выполненным в другом леч....
25.07.2024 - 19:50
Здравствуйте, женщина 88 лет, жалобы на ухудшение самочувствия, гемоглобин 59. Лёгкие в пределах нормы?
23.07.2024 - 10:54
Здравствуйте. Буду признательна за ваши мнения. Пациент, 44 года, предъявляет жалобы на кашель, болеет 2-3 день, со слов. Нет ли патологии?
20.07.2024 - 12:56
Мужчина, 42 лет, поступил с жалобами на слабость, головную боль, кашель, одышку, считает себя больным в течении 3 дней, когда появились эти жалобы, самостолятельно принимал противовоирусные...
15.07.2024 - 16:29
Мужчина, 75 лет, жалобы на низкий гемоглобин, 5 лет не делал ФЛГ. Слева в верхней доле образование или обызиствление хряща?
13.07.2024 - 09:19
Здравствуйте, ребенок 9 лет, жалобы на кашель и слабость 2 недели. Вижу усиление лёгочного рисунка, пневмонии нет?
09.07.2024 - 19:46
Здравствуйте, женщина 64 года, жалобы на кашель, температуру и отдышку. Правовое лёгкое без изменений?
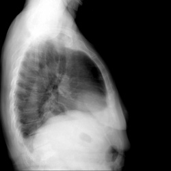
05.07.2024 - 14:54
Здравствуйте. Молодой пациент, пришёл на комиссию. На уровне переднего отдела 1 ребра справа тень расценила как обызвествление в хрящевом отделе. Хотелось бы услышать ваши мнения, а то может быть зря...
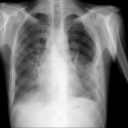
04.07.2024 - 13:23
Здравствуйте! Молодой человек пришёл на комиссию, есть ли справа кальцинаты? Также интересует тень на фоне 2 межреберья слева на фоне сосудов - тоже сосуд? Второй снимок выполнен в задней проекции....
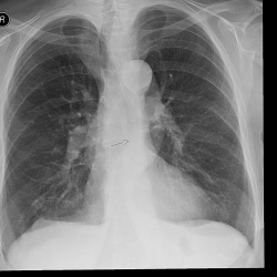
03.07.2024 - 19:40
Профилактическая флюорография. Женщина 70 лет , что за тень в 9-10 сегментах , слева? может на коже? Ваши мнения коллеги.
28.06.2024 - 01:01
Здравствуйте, мужчина 64 года, неделю назад выставили левостороннюю нижнедолевую пневмонию. На данный момент клиника ушла. Прошлых снимков нет. В s9-10 это пневмо фиброз?
27.06.2024 - 07:16
Здравствуйте. Молодой пациент с признаками ОРЗ направлен с целью исключения пневмонии. Меня смутил рисунок в прикорневых отделах с 2-х сторон, но вроде всё за счёт сосудов, выставила норму. Буду...
- « первая
- ‹ предыдущая
- …
- 4
- 5
- 6
- 7
- 8
- 9
- 10
- 11
- 12
- …
- последняя »
- следующая ›