You are here

Периферический рак правого лёгкого, выявленный при прохождении профилактической флюорографии.

Пол пациента: 
Методы исследования: 

Название случая  «Периферический рак правого лёгкого, выявленный при прохождении профилактической флюорографии».


Пациент - ж, возраст – 60 лет.

 

Клиника жалоб не предъявляет, направлена на исследование с профилактической целью. В течение последних 4-х лет флюорографию «не проходила», в ЛПУ не обращалась.

 

Флюорографическое исследование проведено на цифровом флюорографе «Ренекс-Флюоро». На флюорограмме (иллюстрация 1),

Иллюстрация 1. Цифровая флюорограмма
Иллюстрация 1. Цифровая флюорограмма

 

 

 

произведенной в прямой стандартной проекции справа на уровне переднего фрагмента 4 ребра определяется округлой формы фокусная тень средней интенсивности.

 

Произведено дообследование по стандартной методике (на РДК на 3 рабочих места – «Вироматик» - рентгенография, линейная томография в прямой стандартной проекции.

 

Протокол рентгенологического исследования. Справа на уровне 4 ребра определяется фокусная тень средней интенсивности, неоднородной структуры с нечеткими контурами. В области тела правого корня определяется обызвествленный бронхо-пульмональный лимфатический узел (иллюстрации 2, 3). 

Иллюстрация 2. Рентгенограмма в прямой проекции
Иллюстрация 2. Рентгенограмма в прямой проекции
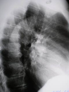
Иллюстрация 3. Рентгенограмма в боковой проекции.
Иллюстрация 3. Рентгенограмма в боковой проекции.

 

 

 

 

 

Томограммы (в прикрепленном файле).

Илл. 1, 2, 3 – срез 11см. – фокусная тень диаметром до 2,6 см с нечеткими контурами, намечающейся неоднородностью структуры.

Илл.  4,  5,  6 – срез 12 см. – фокусная тень неоднородной структуры, с не правильной формы просветлением в нижней части, с неровными, нечеткими контурами, с отдельными спикулообразными структурами по контуру. По медиальному контуру дифференцируется «вырезка» Риглера. От фокусной тени чётко дифференцируется «дорожка» к корню правого лёгкого. В корне гиперплазированные бронхо-пульмональные лимфатические узлы.

Илл. 7,  8,  9 – фокусная тень с эксцентрически расположенной, не правильной формы полостью распада, с неровными, с тенденцией к полицикличностью контурами.

 

Заключение (выводы): Периферический рак левого лёгкого.

 

Данные предоставил  Катенёв Валентин Львович, г. Бирюч Белгородской области. МУЗ «Красногвардейская центральная районная больница», зав. рентгенологическим отделением.