You are here

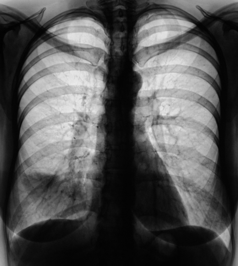
Синдром затемнения в пределах анатомических границ.

Снижение прозрачности верхней доли правого лёгкого с уменьшением объёма. "Культя" верхнедолевого бронха.

ИзображениеИзображениеИзображение

Изображение

 Снижение прозрачности переднего сегмента верхней доли правого лёгкого с уменьшением его объёма. Увеличение, расширение и гомогенизация тени правого корня.

ИзображениеИзображение

Снижение прозрачности переднего сегмента верхней доли правого лёгкого (по всей видимости, за счет гиповентиляции) с объёмным уменьшением.

"Круглая тень" на уровне 2 ребра справа.

ИзображениеИзображениеИзображение

 Ателектаз средней и нижней долей справа.

ИзображениеИзображение

Правостороняя среднедолевая сегментарная пневмония.

ИзображениеИзображениеИзображение

Изображение

Правосторонняя среднедолевая пневмония. На первый взгляд "затемнение вне анатомических границ".

ИзображениеИзображениеИзображение

ИзображениеИзображениеИзображение

Правостороняя среднедолевая пневмония.

ИзображениеИзображениеИзображениеИзображение

Среднедолевой синдром.

ИзображениеИзображениеИзображениеИзображениеИзображение

Правостороняя верхнедолевая пневмония (крупозная).

ИзображениеИзображениеИзображение

ИзображениеИзображениеИзображениеИзображениеИзображение

Инфильтративный туберкулёз верхней доли правого легкого, с преимущественым поражением переднего и заднего сегментов.

ИзображениеИзображениеИзображение

Динамика через 2 года.

ИзображениеИзображениеИзображение