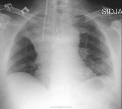
Ателектаз верхней доли правого легкого вижу.Средостение в верхнем отделе расширено.В проекции нижней доли левого легкого -сгущение легочного рисунка? Снимок сделан палатным аппаратом, фокусное расстояние вряд ли выдержано, т.о. оценить размеры сердца не получится.
+1.ИМХО: Средостение не расширено, а имеет нечёткие контуры в вехнем этаже справа (инфильтрация лёгочной ткани ?, то же вероятно, в нижнем поле слева).Плохо вдохнул.
Катетр правой яремной вены концом стоит в области верхней полой вены (так должно быть), а на самом деле экстравазально и жидкости льют в плевральную полость. Резонный вопрос - "почему жидкоть не утекает в отлогие места?" - не знаю, но неоднократно уже видел такую картинку. Скажите, пусть реаниматологи наберут двадцатку крови из катетера, они получат жидкость, которую вводили, чем будет доказано мое предположение.
Интересные версии, а я вот без бокового не могу оценить ничего, кроме расширения верхнего средостения справа с интенсивным затемнением в проекции верхней доли с косой нижней границей, и средней интенсивности овальное затемнение в левом нижнем легочном поле. Где катетер - ну... тут можно гадать сколь угодно, я б указал, что на уровне 4-го грудного позвонка справа в ... см от срединной линии. Мне нужен боковой снимок. И жалобы пациента
Интересные версии, а я вот без бокового не могу оценить ничего, кроме расширения верхнего средостения справа с интенсивным затемнением в проекции верхней доли с косой нижней границей, и средней интенсивности овальное затемнение в левом нижнем легочном поле. Где катетер - ну... тут можно гадать сколь угодно, я б указал, что на уровне 4-го грудного позвонка справа в ... см от срединной линии. Мне нужен боковой снимок. И жалобы пациента
Жалобы пациента на 2 сутки после стернотомии заключаются в резкой боли в области грудины, в связи с чем ему трудно дышать, в общем плохом самочуствии после наркоза и еще несколько жалоб, связанных с вынужденным положением тела. Интересно увидеть Ваши выводы из вышеуказанного ;-).
Боковой снимок палатным аппаратом в реанимационной койке скорее всего не получится (попытаться можно, конечно, потаскать больного туда-сюда, облучить его и "сокамерников", возможно зря; потрепать персонал реанимации и др - смысл?). И что Вы ожидаете увидеть на боковом? Какие вопросы должен решить боковой снимок у ЭТОГО пациента? Отпишитесь, пожалуйста, вдруг истина польется...
Что-то с катетором путаница. Но думаю изменения в легком не связаны с этим фактом. Вопрос-где предоперационный снимок?Думаю гиповентиляция результат эндотраха, пройдёт после санации.
DrDrug говорит абсолютно дельную вещь, эти подключичные катетеры - очень опасная штука, такие осложнения - сплошь и рядом, причем это еще мелочи - встречал парезы диафрагмального нерва, всю введенную жидкость в средостении, под плеврой и т.п., поэтому плевать на подобные версии и состояния не нужно, если мы его пропустим - это будет серьезным нашим проколом...
Интересные версии, а я вот без бокового не могу оценить ничего, кроме расширения верхнего средостения справа с интенсивным затемнением в проекции верхней доли с косой нижней границей, и средней интенсивности овальное затемнение в левом нижнем легочном поле. Где катетер - ну... тут можно гадать сколь угодно, я б указал, что на уровне 4-го грудного позвонка справа в ... см от срединной линии. Мне нужен боковой снимок. И жалобы пациента
Жалобы пациента на 2 сутки после стернотомии заключаются в резкой боли в области грудины, в связи с чем ему трудно дышать, в общем плохом самочуствии после наркоза и еще несколько жалоб, связанных с вынужденным положением тела. Интересно увидеть Ваши выводы из вышеуказанного ;-).
Боковой снимок палатным аппаратом в реанимационной койке скорее всего не получится (попытаться можно, конечно, потаскать больного туда-сюда, облучить его и "сокамерников", возможно зря; потрепать персонал реанимации и др - смысл?). И что Вы ожидаете увидеть на боковом? Какие вопросы должен решить боковой снимок у ЭТОГО пациента? Отпишитесь, пожалуйста, вдруг истина польется...
Во-первых, меня интересовали жалобы пациента, случай которого привёл автор (коллега v1tal), а не Ваши варианты и врачебный опыт, уважаемый коллега Dr.Drug. Вы же желаете, чтоб я вдруг пролил истину по ЭТОМУ конкретному пациенту, а не по тем многим случаям из Вашей практики, не так ли? Опыт не оспариваю, у каждого из нас он свой, а именно поэтому высказал исключительно своё мнение о необходимости боковой проекции. Если Вам понятна картина на прямом снимке, то я совершенно ничего не имею против! Мне не совсем понятна, только и всего. Во-вторых, мои выводы пусть останутся при мне, а свою версию и вопросы автору я уже опубликовал. И потом... трактовать патологию по одной проекции - не настолько я высокопрофессионален, увы! А потому претендовать на истину не собираюсь.
Уважаю людей, отстаивающих свое мнение. Уважаемый Зорг! Мне кажется, что этот случай не единичен. Этот сайт, который оказывает большую помощь как специалистам, так и самим больным, уникален в своем роде, и многие люди, в том числе и я, Ваш покорный слуга, нашли в нем неиссякаемый источник опыта, информации, которую многим не удастся почепнуть в практике, но которая очень может понадобиться в экстренный момент. Множество начинающих рентгенологов только и делает в свободное от работы время, что изучает ветку за веткой, "пожирая" случай за случаем. Никогда еще не было такой возможности учиться. И они расчитывают на совет. Как сделать эффективнее. Безусловно, совет сделать "еще одну проекцию" или дополнительные вопросы могут навести их на правильную мысль, однако пройдет время. Уверяю Вас, дорогой Зорг, что этот случай - лишь звено в длинной цепи подобных. Суживая объем этого вопроса до одного ЭТОГО пациента, Вы, быть может, лишаете помощи другого пациента (он же совсем не такой!). Тема ятрогений, к которой, я предполагаю, принадлежит данный случай, повсеместно умалчивается, редки публикации. Причина ясна - кто "донесет" на себя)))? Прошу Вас, уважаемый Зог, извинить меня, за то, что оппонирую, но тут где-то истина прячется и я от неё не откажусь.
На поиски истины уходят лучшие силы, лучшие годы, и это правильно. Интересно, а кто против поиска истины? Не я)). Но для каждого истина - своя.
Например, то что тут именно ятрогения. Доказательства? Не придираюсь, но тут тоже может быть несколько мнений. Или придираюсь.
В любом случае, такая рентгенологическая картина требует и вопиёт о контрольном снимке в динамике. Тут, как я понимаю, согласятся все. Ну, я как бы за всех сказал)). Вот бы динамику посмотреть! Что-то автор молчит...
Мдаа... из вас получился бы отличный тандемчик!(Zorg & Drug или Drug & Zorg) - звучит! P.S. боковую в РАО - просто нереально... а вот динамику после потягивания поршня и санации - вполне.
Экстравазация, катетер в загрудинной жировой клетчатке до уровня 8 /?/ грудного позвонка, там же жидкость на протяжении всей грудины. Ателектаза нет. Двусторонний гидроторакс, гипостатическая пневмония слева в S10.
На 2 верхних сканах " катетер" в левой части средостения, на последем справа- может быть я чего- нибудь не понял?( воооще-то, кататер "заходил" справой сторны средостения- потом "ушёл" влево, потом снова вправо- "гуляю где хочу"(?)
Не могу толком объяснить, нужно знать, проводили ли перед КТ еще одну катетеризацию. Вроде не один катетер, но сканов мало, проследить довольно трудно. И просить автора показать фронтальные реконструкции, как располагается катетер /если он там один/...
Малоизвестный, новый на сайте радиолог Ala определил сразу и точно: "Эктравазация происходит не в плевральную полость, а в клетчатку средостения. Поэтому и не растекается" . Позднее выложенная серия КТ-ушек подтвердила это. Жидкость собралась преимущественно в в/3 переднего средостения, резко сместила латерально медиастинальную плевру, которую Вы принимаете за междолевую плевру. Верхняя доля на месте, но несколько сдавлена и, главное, прикрыта спереди верхней 1/3 переднего средостения.
Если бы пациенту можно было сделать рентгенограмму в вертикальном положении, рентгеновская картина была бы иная, и Вы, Kat, ни в коем случае не спутали бы её с Ателектазом.
Ну надо же,и такое бывает) А если был бы именно такой снимок,то на основании чего можно заподозрить эту экстравазацию? Хотя теперь,зная,что это,уже и не очень похоже на ателектаз))
Милый котик, или кошка – вы торопитесь немножко, нас не нужно убеждать, лучше просто подождать… Ум и такт здесь уважают, малышей не обижают, охраняют от собачек, и бессмысленных накачек... Но наверно Вы пластичны, и под маской симпатичны, раз Петрович Вас признал - и как родственник - достал... А подходы – все едины – нет стандартов у картины, могут быть совсем похожи двух людей различных, извините, рожи…
Милый котик, или кошка – вы торопитесь немножко, нас не нужно убеждать, лучше просто подождать… Ум и такт здесь уважают, малышей не обижают, охраняют от собачек, и бессмысленных накачек... Но наверно Вы пластичны, и под маской симпатичны, раз Петрович Вас признал - и как родственник - достал... А подходы – все едины – нет стандартов у картины, могут быть совсем похожи двух людей различных, извините, рожи…
Петрович кошку не обидит, он с высоты - своих - увидит, характер у него - бойцовский, но развит тут инстинкт - отцовский, хоть очень грозен он на вид, и прочно на ветвях сидит - по сути он ведь - крупный Кот, а тут такая Kat идет...
И с нежностью на Kat рыча (ведь за спиной диплом врача), Петрович все ей объяснил, а я - стишочек сочинил...
Петрович кошку не обидит, он с высоты - своих - увидит, характер у него - бойцовский, но развит тут инстинкт - отцовский, хоть очень грозен он на вид, и прочно на ветвях сидит - по сути он ведь - крупный Кот, а тут такая Kat идет...
И с нежностью на Kat рыча (ведь за спиной диплом врача), Петрович все ей объяснил, а я - стишочек сочинил...
Ателектаз верхней доли правого легкого вижу.Средостение в верхнем отделе расширено.В проекции нижней доли левого легкого -сгущение легочного рисунка? Снимок сделан палатным аппаратом, фокусное расстояние вряд ли выдержано, т.о. оценить размеры сердца не получится.
+1.ИМХО: Средостение не расширено, а имеет нечёткие контуры в вехнем этаже справа (инфильтрация лёгочной ткани ?, то же вероятно, в нижнем поле слева).Плохо вдохнул.
Катетр правой яремной вены концом стоит в области верхней полой вены (так должно быть), а на самом деле экстравазально и жидкости льют в плевральную полость. Резонный вопрос - "почему жидкоть не утекает в отлогие места?" - не знаю, но неоднократно уже видел такую картинку. Скажите, пусть реаниматологи наберут двадцатку крови из катетера, они получат жидкость, которую вводили, чем будет доказано мое предположение.
С уважением, А.В.Коробейников
Эктравазация происходит не в плевральную полость, а в клетчатку средостения. Поэтому и не растекается.
Интересные версии, а я вот без бокового не могу оценить ничего, кроме расширения верхнего средостения справа с интенсивным затемнением в проекции верхней доли с косой нижней границей, и средней интенсивности овальное затемнение в левом нижнем легочном поле. Где катетер - ну... тут можно гадать сколь угодно, я б указал, что на уровне 4-го грудного позвонка справа в ... см от срединной линии. Мне нужен боковой снимок. И жалобы пациента
Жалобы пациента на 2 сутки после стернотомии заключаются в резкой боли в области грудины, в связи с чем ему трудно дышать, в общем плохом самочуствии после наркоза и еще несколько жалоб, связанных с вынужденным положением тела. Интересно увидеть Ваши выводы из вышеуказанного ;-).
Боковой снимок палатным аппаратом в реанимационной койке скорее всего не получится (попытаться можно, конечно, потаскать больного туда-сюда, облучить его и "сокамерников", возможно зря; потрепать персонал реанимации и др - смысл?). И что Вы ожидаете увидеть на боковом? Какие вопросы должен решить боковой снимок у ЭТОГО пациента? Отпишитесь, пожалуйста, вдруг истина польется...
С уважением, А.В.Коробейников
Что-то с катетором путаница. Но думаю изменения в легком не связаны с этим фактом. Вопрос-где предоперационный снимок?Думаю гиповентиляция результат эндотраха, пройдёт после санации.
У меня был подобный случай у реанимационного больного.Через 3-4 ( точно не помню)дня после лаважа бронхиального древа все вернулось на круги своя.
) если не катетр то ателектаз..)
Виктор.
Да плюньте Вы на этот катетор(может это отточный дренаж пригидроцефалии?) Необходимо санировать бронхи.
Так трудно потянуть за поршень шрица?!?!
С уважением, А.В.Коробейников
DrDrug говорит абсолютно дельную вещь, эти подключичные катетеры - очень опасная штука, такие осложнения - сплошь и рядом, причем это еще мелочи - встречал парезы диафрагмального нерва, всю введенную жидкость в средостении, под плеврой и т.п., поэтому плевать на подобные версии и состояния не нужно, если мы его пропустим - это будет серьезным нашим проколом...
Во-первых, меня интересовали жалобы пациента, случай которого привёл автор (коллега v1tal), а не Ваши варианты и врачебный опыт, уважаемый коллега Dr.Drug. Вы же желаете, чтоб я вдруг пролил истину по ЭТОМУ конкретному пациенту, а не по тем многим случаям из Вашей практики, не так ли? Опыт не оспариваю, у каждого из нас он свой, а именно поэтому высказал исключительно своё мнение о необходимости боковой проекции. Если Вам понятна картина на прямом снимке, то я совершенно ничего не имею против! Мне не совсем понятна, только и всего. Во-вторых, мои выводы пусть останутся при мне
, а свою версию и вопросы автору я уже опубликовал. И потом... трактовать патологию по одной проекции - не настолько я высокопрофессионален, увы! А потому претендовать на истину не собираюсь.
Уважаю людей, отстаивающих свое мнение. Уважаемый Зорг! Мне кажется, что этот случай не единичен. Этот сайт, который оказывает большую помощь как специалистам, так и самим больным, уникален в своем роде, и многие люди, в том числе и я, Ваш покорный слуга, нашли в нем неиссякаемый источник опыта, информации, которую многим не удастся почепнуть в практике, но которая очень может понадобиться в экстренный момент. Множество начинающих рентгенологов только и делает в свободное от работы время, что изучает ветку за веткой, "пожирая" случай за случаем. Никогда еще не было такой возможности учиться. И они расчитывают на совет. Как сделать эффективнее. Безусловно, совет сделать "еще одну проекцию" или дополнительные вопросы могут навести их на правильную мысль, однако пройдет время. Уверяю Вас, дорогой Зорг, что этот случай - лишь звено в длинной цепи подобных. Суживая объем этого вопроса до одного ЭТОГО пациента, Вы, быть может, лишаете помощи другого пациента (он же совсем не такой!). Тема ятрогений, к которой, я предполагаю, принадлежит данный случай, повсеместно умалчивается, редки публикации. Причина ясна - кто "донесет" на себя)))? Прошу Вас, уважаемый Зог, извинить меня, за то, что оппонирую, но тут где-то истина прячется и я от неё не откажусь.
С уважением, А.В.Коробейников
На поиски истины уходят лучшие силы, лучшие годы, и это правильно. Интересно, а кто против поиска истины? Не я)). Но для каждого истина - своя.
Например, то что тут именно ятрогения. Доказательства? Не придираюсь, но тут тоже может быть несколько мнений. Или придираюсь
.
В любом случае, такая рентгенологическая картина требует и вопиёт о контрольном снимке в динамике. Тут, как я понимаю, согласятся все. Ну, я как бы за всех сказал)). Вот бы динамику посмотреть! Что-то автор молчит...
Наши реаниматологи таким пациентам чуть ли не каждый день снимки в динамике требуют.
Даешь снимки в динамике( это лозунг, прошу не путать с фамильярностью), пока два уважаемых доктора не успели перчатки кинуть -Zorg Drugу или наоборот!
В смысле, не дождётесь перчатки. )))
Тут Зорг дело говорит. Даёшь динамику!
Наши по 2-3 раза в день могут заказывать (при пневмо-гидротораксах, конечно) - то ли ответственность чувствуют, то ли страх )))).
С уважением, А.В.Коробейников
А где слово автора?
Мдаа... из вас получился бы отличный тандемчик!(Zorg & Drug или Drug & Zorg) - звучит! P.S. боковую в РАО - просто нереально... а вот динамику после потягивания поршня и санации - вполне.
Виктор.
Тандемчик в РФ один уже имеется))))))))))
Уважаемые коллеги хочу извиниться за долгое молчание, данному пациенту было проведено КТ-исследование на следующий день, представляю сканы.
"Знаешь, у некоторых врачей есть комплекс мессии — им необходимо спасать мир. А у тебя комплекс Рубика — тебе необходимо решать головоломки."
Экстравазация, катетер в загрудинной жировой клетчатке до уровня 8 /?/ грудного позвонка, там же жидкость на протяжении всей грудины. Ателектаза нет. Двусторонний гидроторакс, гипостатическая пневмония слева в S10.
Уважаемые специалисты КТ - покажите пожалуйста стрелочкой катетр желательно на 2-3 сканах, а то смотрел за грудину смотрел и не увидел..
Виктор.
На последней картинке конец катетера?
На 2 верхних сканах " катетер" в левой части средостения, на последем справа- может быть я чего- нибудь не понял?( воооще-то, кататер "заходил" справой сторны средостения- потом "ушёл" влево, потом снова вправо- "гуляю где хочу"(?)
Не могу толком объяснить, нужно знать, проводили ли перед КТ еще одну катетеризацию. Вроде не один катетер, но сканов мало, проследить довольно трудно. И просить автора показать фронтальные реконструкции, как располагается катетер /если он там один/...
спасибо!!! было очень интересно и познавательно!
Автор ничего не добавит?
Временно отсутствую на сайте...
Малоизвестный, новый на сайте радиолог Ala определил сразу и точно: "Эктравазация происходит не в плевральную полость, а в клетчатку средостения. Поэтому и не растекается" . Позднее выложенная серия КТ-ушек подтвердила это. Жидкость собралась преимущественно в в/3 переднего средостения, резко сместила латерально медиастинальную плевру, которую Вы принимаете за междолевую плевру. Верхняя доля на месте, но несколько сдавлена и, главное, прикрыта спереди верхней 1/3 переднего средостения.
Если бы пациенту можно было сделать рентгенограмму в вертикальном положении, рентгеновская картина была бы иная, и Вы, Kat, ни в коем случае не спутали бы её с Ателектазом.
Неоднозначно всё
Ну надо же,и такое бывает) А если был бы именно такой снимок,то на основании чего можно заподозрить эту экстравазацию? Хотя теперь,зная,что это,уже и не очень похоже на ателектаз))
Временно отсутствую на сайте...
А если Rg в вертикальном положении,то нижнее средостение должно расширится (при каком объеме жидкости?),или могли бы вообще пропустить((
Временно отсутствую на сайте...
Милый котик, или кошка – вы торопитесь немножко, нас не нужно убеждать, лучше просто подождать… Ум и такт здесь уважают, малышей не обижают, охраняют от собачек, и бессмысленных накачек... Но наверно Вы пластичны, и под маской симпатичны, раз Петрович Вас признал - и как родственник - достал... А подходы – все едины – нет стандартов у картины, могут быть совсем похожи двух людей различных, извините, рожи…
Ай, да Анатолий Владимирович!
С уважением, А.В.Коробейников
Временно отсутствую на сайте...
Очень мило и даже трогательно, Анатолий Владимирович. Практически сихи. От имени Личного Состава троекратное "Одобрям!".
Но в каком смысле я "как родственник достал"? Намекаете на Материнский Инстинкт?))
Неоднозначно всё
Петрович кошку не обидит, он с высоты - своих - увидит, характер у него - бойцовский, но развит тут инстинкт - отцовский, хоть очень грозен он на вид, и прочно на ветвях сидит - по сути он ведь - крупный Кот, а тут такая Kat идет...
И с нежностью на Kat рыча (ведь за спиной диплом врача), Петрович все ей объяснил, а я - стишочек сочинил...
Неоднозначно всё
Ну,Анатолий Владимирович,повеселили с утра!)))
Временно отсутствую на сайте...