You are here

Пациентка психиатрического отделения. ОГК.

Пол пациента: 
Методы исследования: 

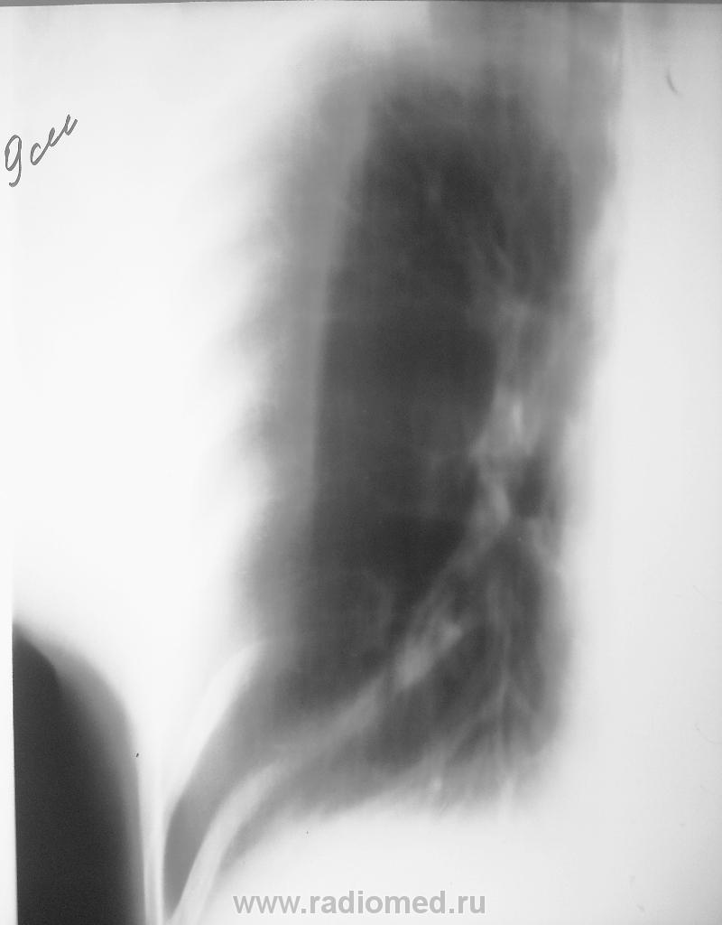
Пациентка госпитализирована через "скорую помощь", впервые выставлен диагноз Sh.. Женщина пьющая, An.vitae - простудные, со слов, на учете по соматическим заболеваниям не состояла, ФЛГ больше 3-х лет назад. Жалоб, температуры  и катаральных явлений нет, кровь без особенностей, назначена Rg. ОГК (по стандарту, нет ФЛГ за последние год). Зацепился глаз и понеслась...

 

Что скажете, уважаемые коллеги?

ТГ

   

 

 

  • https://radiomed.ru/sites/default/files/styles/case_slider_image/public/user/7926/karim_48_pryam_0.jpg?itok=LOD_9qch
  • https://radiomed.ru/sites/default/files/styles/case_slider_image/public/user/7926/8sm_tomo-pr.jpg?itok=Wed5hIk3
  • https://radiomed.ru/sites/default/files/styles/case_slider_image/public/user/7926/9_sm_tomo-pr.jpg?itok=fMptPZDD
  • https://radiomed.ru/sites/default/files/styles/case_slider_image/public/user/7926/10sm_tomo-pr.jpg?itok=AjJpmEYX
  • https://radiomed.ru/sites/default/files/styles/case_slider_image/public/user/7926/tomo-pr-11.jpg?itok=hAHAHnFR
  • https://radiomed.ru/sites/default/files/styles/case_slider_image/public/user/7926/tomo-bok.jpg?itok=TD2psZ3R
  • https://radiomed.ru/sites/default/files/styles/case_slider_image/public/user/7926/uvelichenie-tomo-bok-6-i-7-sm.jpg?itok=67OdQVrS
  • https://radiomed.ru/sites/default/files/styles/case_slider_image/public/user/7926/8-sm-tomo-bok-.jpg?itok=sTDZuw2H
ID:12931
Ala's picture
Ala
Offline
Last seen: 14 years 11 months ago
Joined: 09.02.2011 - 18:21
Posts: 6

Вероятнее всего фиброзные изменения - фиброателектаз. Возможно последствия аспирационной пневмонии. Можно предположить по алкогольному анамнезу. Необходимо дифференцировать с периферичесой опухолью- КТ ОГП, ФБС, рентгенконтроль в динамике на худой случай.

Vikkur's picture
Offline
Last seen: 4 years 10 months ago
Joined: 24.09.2009 - 14:34
Posts: 1749

Ala wrote:

Вероятнее всего фиброзные изменения - фиброателектаз. Возможно последствия аспирационной пневмонии. Можно предположить по алкогольному анамнезу. Необходимо дифференцировать с периферичесой опухолью- КТ ОГП, ФБС, рентгенконтроль в динамике на худой случай.

согласен на все 100%, особенно с последним..

Виктор.

Любовь С.'s picture
Offline
Last seen: 9 years 8 months ago
Joined: 23.12.2010 - 01:58
Posts: 2324

Я посчитала, что тут доброкачественные дела. Но контроль назначила. Посмотрим через 10-14 дней.

"Предоставляя весь смысл и совершенство в распоряжение одного только Бога, вы избавляете себя от бездны хлопот." Джон Уитборн.

Петрович's picture
Offline
Last seen: 7 years 5 months ago
Joined: 22.03.2009 - 01:13
Posts: 3908

Ну, посмотрим. Если "Женщина пьющая" не передумает...

Неоднозначно всё

Катенёв Валентин Львович's picture
Offline
Last seen: 7 years 3 months ago
Joined: 22.03.2008 - 22:15
Posts: 54876

Боковая проекция, лично у меня, вызывает уверенность, что стандарт для "пьющих" должен быть соблюден, и прежде всего, надо кинуть эту "Еву" в объятия фтизиатров...