You are here

Рецидив рака?

Пол пациента: 
Область исследования: 

В декабре 2010 гастрэктомия по поводу рака в/3 тела желудка с распространением на кардию, диссекция региональных лимфоузлов. Эзофагоеюноанастомоз. Около месяца отмечает постепенное нарушение прохождения твердой, а в последнее время и жидкой пищи. Похудел на 10 кг с февраля. ФЭГДС: пищевые массы, пищевод свободно проходим, анастомоз 0,3 см, пройти аппаратом не удалось; контактная кровоточивость области анастомоза; рецидив? анастомозит?  УЗИ: диффузные изменения поджелудочной железы, синусовая киста 3 см левой почки, печень однородна, не увеличена.

________________________________________________________________________

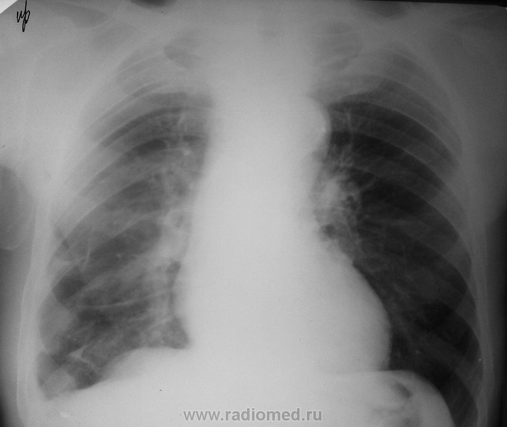
 Легкие за 2 дня до скопии желудка:

На скопии прицельно со скошенной трубкой:

Кровь: гемоглобин 108, СОЭ 14, биохимия без особенностей. Болей нет.

____________________________________________________________________

КТ: на нативной (без контраста) фазе захватила печень, выявлены изменения печени и левой почки.

______________________________________________________________________

Протокол болюса подгоняла под все выявленные изменения, артериальная фаза:

очаг в правом легком:

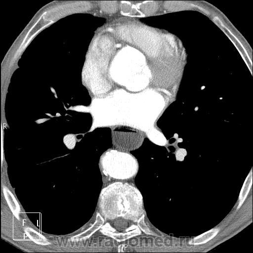
Пищевод и зона анастомоза:

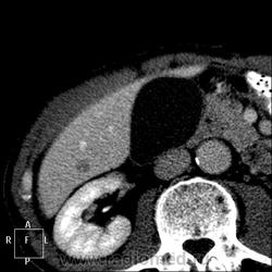
Левая почка:

Видимая часть изменения печени в арт.фазу:

__________________________________________________________________________

Отсроченная фаза (120 сек), пищевод:

---почка:

 

Печень:

DICOM-файлы на сервере, 20110401, СТ THORAX.

В области анастомоза накопление контраста до 100 ед.Н, в более проксимальных отделах пищевода накопление стенкой нормальное, до 45 ед.Н. 

  • https://radiomed.ru/sites/default/files/styles/case_slider_image/public/user/2841/sdc10014kk.jpg?itok=ebztM-uu
  • https://radiomed.ru/sites/default/files/styles/case_slider_image/public/user/2841/sdc10016kk.jpg?itok=U7lp-F8m
  • https://radiomed.ru/sites/default/files/styles/case_slider_image/public/user/2841/sdc10017kk.jpg?itok=sipaOYhm
  • https://radiomed.ru/sites/default/files/styles/case_slider_image/public/user/2841/sdc10018kk.jpg?itok=_8ssEzdh
  • https://radiomed.ru/sites/default/files/styles/case_slider_image/public/user/2841/sdc10020kk.jpg?itok=B9BxI9RF
  • https://radiomed.ru/sites/default/files/styles/case_slider_image/public/user/2841/sdc10022kk.jpg?itok=e70-ZmGy
  • https://radiomed.ru/sites/default/files/styles/case_slider_image/public/user/2841/sdc10023kk.jpg?itok=kl_TdmGo
  • https://radiomed.ru/sites/default/files/styles/case_slider_image/public/user/2841/nativ0002.jpg?itok=h7Yz5v-N
  • https://radiomed.ru/sites/default/files/styles/case_slider_image/public/user/2841/nativ0001.jpg?itok=RutzGXPd
  • https://radiomed.ru/sites/default/files/styles/case_slider_image/public/user/2841/25_seku_art0001.jpg?itok=m9LzuHNV
  • https://radiomed.ru/sites/default/files/styles/case_slider_image/public/user/2841/25_seku_art0002.jpg?itok=u3xnpjLx
  • https://radiomed.ru/sites/default/files/styles/case_slider_image/public/user/2841/25_seku_art0003.jpg?itok=YMFA3Rpr
  • https://radiomed.ru/sites/default/files/styles/case_slider_image/public/user/2841/25_seku_art0004.jpg?itok=kXLVRyla
  • https://radiomed.ru/sites/default/files/styles/case_slider_image/public/user/2841/25_seku_art0005.jpg?itok=wi-icBCX
  • https://radiomed.ru/sites/default/files/styles/case_slider_image/public/user/2841/25_seku_art0006.jpg?itok=dpJMl5q3
  • https://radiomed.ru/sites/default/files/styles/case_slider_image/public/user/2841/25_seku_art0007.jpg?itok=4Bcwtd_g
  • https://radiomed.ru/sites/default/files/styles/case_slider_image/public/user/2841/25_seku_art0008.jpg?itok=45-SaFJi
  • https://radiomed.ru/sites/default/files/styles/case_slider_image/public/user/2841/25_seku_art0009.jpg?itok=zjdLvu0N
  • https://radiomed.ru/sites/default/files/styles/case_slider_image/public/user/2841/25_seku_art0010.jpg?itok=_L-l8BuD
  • https://radiomed.ru/sites/default/files/styles/case_slider_image/public/user/2841/25_seku_art0011.jpg?itok=XJQ-xKqb
  • https://radiomed.ru/sites/default/files/styles/case_slider_image/public/user/2841/25_seku_art0012.jpg?itok=NXijEL9p
  • https://radiomed.ru/sites/default/files/styles/case_slider_image/public/user/2841/25_seku_art0013.jpg?itok=DIDrW_zO
  • https://radiomed.ru/sites/default/files/styles/case_slider_image/public/user/2841/25_seku_art0014.jpg?itok=xGVcMlmX
  • https://radiomed.ru/sites/default/files/styles/case_slider_image/public/user/2841/25_seku_art0015.jpg?itok=aj61a6NZ
  • https://radiomed.ru/sites/default/files/styles/case_slider_image/public/user/2841/25_seku_art0016.jpg?itok=ahn5RJvh
  • https://radiomed.ru/sites/default/files/styles/case_slider_image/public/user/2841/25_seku_art0017.jpg?itok=5wN6j3OE
  • https://radiomed.ru/sites/default/files/styles/case_slider_image/public/user/2841/25_seku_art0018.jpg?itok=vDP1FX8P
  • https://radiomed.ru/sites/default/files/styles/case_slider_image/public/user/2841/25_seku_art0019.jpg?itok=w4PUcgE_
  • https://radiomed.ru/sites/default/files/styles/case_slider_image/public/user/2841/25_seku_art0020.jpg?itok=yXKWm7CV
  • https://radiomed.ru/sites/default/files/styles/case_slider_image/public/user/2841/25_seku_art0021.jpg?itok=eVUWXoMH
  • https://radiomed.ru/sites/default/files/styles/case_slider_image/public/user/2841/25_seku_art0022.jpg?itok=zf0mwM9D
  • https://radiomed.ru/sites/default/files/styles/case_slider_image/public/user/2841/25_seku_art0023.jpg?itok=Z-eXJz_y
  • https://radiomed.ru/sites/default/files/styles/case_slider_image/public/user/2841/25_seku_art0024.jpg?itok=fI0B2h81
  • https://radiomed.ru/sites/default/files/styles/case_slider_image/public/user/2841/120_sek_otsrochen0001.jpg?itok=Gbh-lFu5
  • https://radiomed.ru/sites/default/files/styles/case_slider_image/public/user/2841/120_sek_otsrochen0002.jpg?itok=vDxaD3DO
  • https://radiomed.ru/sites/default/files/styles/case_slider_image/public/user/2841/120_sek_otsrochen0003.jpg?itok=joNnrEOe
  • https://radiomed.ru/sites/default/files/styles/case_slider_image/public/user/2841/120_sek_otsrochen0004.jpg?itok=h9VnOiZF
  • https://radiomed.ru/sites/default/files/styles/case_slider_image/public/user/2841/120_sek_otsrochen0005.jpg?itok=ENHlMLqQ
  • https://radiomed.ru/sites/default/files/styles/case_slider_image/public/user/2841/120_sek_otsrochen0006.jpg?itok=Ejedd1aZ
  • https://radiomed.ru/sites/default/files/styles/case_slider_image/public/user/2841/120_sek_otsrochen0007.jpg?itok=3vr-JCjG
  • https://radiomed.ru/sites/default/files/styles/case_slider_image/public/user/2841/120_sek_otsrochen0008.jpg?itok=CfACJsju
  • https://radiomed.ru/sites/default/files/styles/case_slider_image/public/user/2841/120_sek_otsrochen0009.jpg?itok=3K4Pp3pF
  • https://radiomed.ru/sites/default/files/styles/case_slider_image/public/user/2841/120_sek_otsrochen0011.jpg?itok=SDpFxO4s
  • https://radiomed.ru/sites/default/files/styles/case_slider_image/public/user/2841/120_sek_otsrochen0012_0.jpg?itok=GQ2DUm_j
  • https://radiomed.ru/sites/default/files/styles/case_slider_image/public/user/2841/120_sek_otsrochen0013.jpg?itok=0Cw9ZAEp
  • https://radiomed.ru/sites/default/files/styles/case_slider_image/public/user/2841/120_sek_otsrochen0014.jpg?itok=I-TOLj7B
  • https://radiomed.ru/sites/default/files/styles/case_slider_image/public/user/2841/120_sek_otsrochen0015.jpg?itok=8TPagZTN
  • https://radiomed.ru/sites/default/files/styles/case_slider_image/public/user/2841/120_sek_otsrochen0016.jpg?itok=0JDqF-16
  • https://radiomed.ru/sites/default/files/styles/case_slider_image/public/user/2841/120_sek_otsrochen0017.jpg?itok=AR3tbojv
  • https://radiomed.ru/sites/default/files/styles/case_slider_image/public/user/2841/120_sek_otsrochen0018.jpg?itok=OGkmvZpb
  • https://radiomed.ru/sites/default/files/styles/case_slider_image/public/user/2841/120_sek_otsrochen0019.jpg?itok=-9YdUEeE
  • https://radiomed.ru/sites/default/files/styles/case_slider_image/public/user/2841/120_sek_otsrochen0020.jpg?itok=laAczAZ3
  • https://radiomed.ru/sites/default/files/styles/case_slider_image/public/user/2841/120_sek_otsrochen0021.jpg?itok=1DAAX30S
ID:12950
Петрович's picture
Offline
Last seen: 7 years 7 months ago
Joined: 22.03.2009 - 01:13
Posts: 3908

Случай трудный, Людмила Григорьевна, на свежую голову снова посмотрю. Сейчас скажу: на прицельных рентгенограммах не хватает контрастности в обл. анастомоза. Надо бы в таких случаях опорожнять пищевод в самом начале исследования.

Неоднозначно всё

sema's picture
Offline
Last seen: 10 years 9 months ago
Joined: 05.09.2010 - 08:39
Posts: 233

Анастамоз явно нехороший (для анастомазита протяженностьбольшая) и тенюшка справа в легком. Если прошло 6 мес. после операции - рецидив, менее 6мес.- продолженный рост. Так -что продолженный рост, но все равно надо делать ФЭС для гистологического подтверждения

Vikkur's picture
Offline
Last seen: 5 years 1 month ago
Joined: 24.09.2009 - 14:34
Posts: 1749

Очень показательные снимки КТ - недоличили...

Виктор.

ЛГ's picture
Offline
Last seen: 9 years 3 months ago
Joined: 06.01.2010 - 12:31
Posts: 3523

Может, у кого есть опыт в таких делах, подскажите по поводу протокола для пищевода... Я написала высокий риск рецидива, сложная киста (4 по Босняк) левой почки с озлокачествлением, мтс печени и единичный мтс правого легкого. Какие будут мнения и замечания?

Петрович, а ведь пациент ко мне на пищевод пришел не евши-не пивши еще "со вчерашнего" вечера. Смотрела так, как было, со всем добром в просвете. И после ФЭГДС (ФЭС), цель рентгеноскопии пищевода - проходимость и протяженность анастомоза. Но Вы правы, нужно смотреть с подготовленным ЖКТ.

sema's picture
Offline
Last seen: 10 years 9 months ago
Joined: 05.09.2010 - 08:39
Posts: 233

-----. И после ФЭГДС (ФЭС), цель рентгеноскопии пищевода - проходимость и протяженность анастомоза------

 

А как бы посмотреть протокол эндескоперов.

ЛГ's picture
Offline
Last seen: 9 years 3 months ago
Joined: 06.01.2010 - 12:31
Posts: 3523

... в начале наблюдения. "ФЭГДС: пищевые массы, пищевод свободно проходим, анастомоз 0,3 см, пройти аппаратом не удалось; контактная кровоточивость области анастомоза; рецидив? анастомозит?"

sema's picture
Offline
Last seen: 10 years 9 months ago
Joined: 05.09.2010 - 08:39
Posts: 233

--------пройти аппаратом не удалось; контактная кровоточивость области анастомоза; рецидив? анастомозит?"-----

 

Да опытные ребята. По рентгенограммам продолженный рост, не радикальное оперативное лечение. Может быть было назначено посоперационная химеотерапия- учитывая объем операции. Хоть пациенту судя по снимкам все равно.

Петрович's picture
Offline
Last seen: 7 years 7 months ago
Joined: 22.03.2009 - 01:13
Posts: 3908

Людмила Григорьевна wrote:
Петрович, а ведь пациент ко мне на пищевод пришел не евши-не пивши еще "со вчерашнего" вечера. Смотрела так, как было, со всем добром в просвете. И после ФЭГДС (ФЭС), цель рентгеноскопии пищевода - проходимость и протяженность анастомоза. Но Вы правы, нужно смотреть с подготовленным ЖКТ.

Уже после первого глотка контраста можно было предложить ему опорожнить пищевод. Например ресторанным методом.

Неоднозначно всё

Петрович's picture
Offline
Last seen: 7 years 7 months ago
Joined: 22.03.2009 - 01:13
Posts: 3908

Рецидив опухоли в обл. анастомоза  по рентгенограммам очень вероятен. Мтс в печени сколько штук насчитали?

Неоднозначно всё

ЛГ's picture
Offline
Last seen: 9 years 3 months ago
Joined: 06.01.2010 - 12:31
Posts: 3523

Мтс в печени насчитала 4. Во время операции со среза пищевода взята биопсия, на которой признаков продолженного опухолевого роста не выявлено. Может, инвазия не попала в срез. Химиотерапия не проводилась (причин не скажу, не компетентна).

Vikkur's picture
Offline
Last seen: 5 years 1 month ago
Joined: 24.09.2009 - 14:34
Posts: 1749

А эндоскописты биопсию взяли?

Виктор.