Пол пациента:
Тип патологии:
Область исследования:
Методы исследования:
- https://radiomed.ru/sites/default/files/styles/case_slider_image/public/user/919/1301931382.750.png?itok=lY3ZW2jj
- https://radiomed.ru/sites/default/files/styles/case_slider_image/public/user/919/1301931410.453.jpg?itok=Px1V2gtv
- https://radiomed.ru/sites/default/files/styles/case_slider_image/public/user/919/1301931415.390.jpg?itok=ebZxAxCk
- https://radiomed.ru/sites/default/files/styles/case_slider_image/public/user/919/1301931425.016.jpg?itok=z2X2zz8h
- https://radiomed.ru/sites/default/files/styles/case_slider_image/public/user/919/1301931433.438.jpg?itok=dgZU96_7
- https://radiomed.ru/sites/default/files/styles/case_slider_image/public/user/919/1301931447.343.jpg?itok=gmE8gURi
- https://radiomed.ru/sites/default/files/styles/case_slider_image/public/user/919/1301931582.813_0.png?itok=joEGy5-u
- https://radiomed.ru/sites/default/files/styles/case_slider_image/public/user/919/1301931587.157_0.png?itok=f14U5VF6
- https://radiomed.ru/sites/default/files/styles/case_slider_image/public/user/919/1301931590.594.png?itok=Ous52t4W
- https://radiomed.ru/sites/default/files/styles/case_slider_image/public/user/919/1301931415.390_0.jpg?itok=H9RsoeeI
ID:13037
сложно сориентироваться без хотябы видео (лучше виртульная бронхоскопия) - вызывает ощущение эффекта усреднения..
...
Как бы аденомка. Бронхоскопия. Не виртуальная
Минимально интенс.реконструкция, прибавьте толщину среза на легочном окне, хорошо видны бронхи.
или карциноид... (кстати, очень редко, м.б. и мтс в виде полипов на ножке, на сайте демоннстрировала такой мтс меланомы в трахею) бронхоскопия с морфологией нас рассудят
"самоуверенность дилетантов - предмет зависти профессионалов"
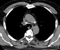
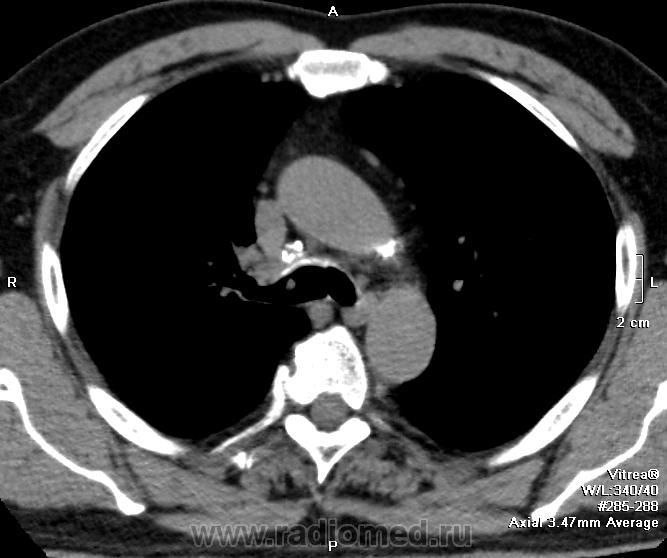
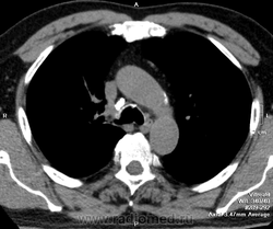
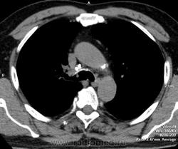
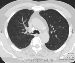
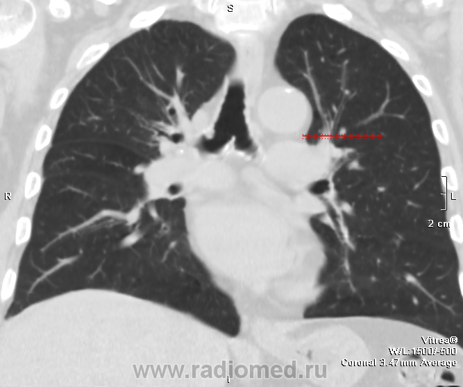
В процессе описания возникли сомнения о природе образования решили дообследовать - динамика на след день (Единичный очаг в н/д слева был и ранее. У больного сильный влажный кашель и обильное отхождение мокроты, вот такие вот дела.
Интересно, спасибо! А в чем были сомнения в природе образования?
не хотелось просто отправлять на бронхоскопию, решили повторить на след сутки что б исклюить онко.
Абсолютных противопоказаний к бронхоскопии не существует.
Учитывая, что доброкачественные образования в легких встречаются только в1 проценте случаев, сомнения не уместны.
Только гистология
Не совсем поняла: нет бронхоскописта или комфорт при КТ, в отличие от бронхоскопии, преимущественнее лучевой нагрузки? Тогда зачем опять полностью всю грудную полость, ограничили бы бифуркацией... Ну да в чужой монастырь...
Спасибо за замечания: Бронхоскописта нет, в других учереждениях денег стоит КТ в данном случае - бесплатно, желания облучать нет, на счет биффуркации в след раз будем более внимательны.
КТ есть, а бронхоскописта нет??? Срочно замените главврача!
ёлки-моталки, со своими 2,5 Кб\c около полутора часов стараюсь ответить в данной теме=( На счет моей виртуальной бронхоскопии хотелось увидеть все тонкие срезы уже имеющегося исследования "здесь и сейчас". Я, как начинающий томографист, да и рентгенолог тоже, стараюсь первоначально определиться сам с чем имею дело (разумеется как минимум в первые сутки), не назначая при этом дополнительных методов исследования (ни в коем разе не причисляю автора к числу начинающих..), тем более инвазивных. На данный момент смутил вот этот срез
...
к сожалению полный объем исследования выложить не могу, а видео записать не представляется возможности, разве что на фотоапарат, а так да скан в данном случае малоинформативен выбирал другой загрузился этот, странно.
теперь, когда коллеги высказали свое мнение и думать стало легче-), спрошу лишь одно по предложенному мной скану - что за циркулярный гитперденсный обхват трахеи (на всех аксиалах)? почему "на ножке"-то?
...
Я правильно понимаю, что эндобронхиальных образований минимум 2?
"самоуверенность дилетантов - предмет зависти профессионалов"
Вообще то грануляционная ткань, даже глазом при бронхоскопии, от опухолевой не отличима. Нужна гистология
имеющее обсуждение образование одно в области правого главного бронха.. явственно эндобронхиального происхождения.. но что мешает придраться к аксиальным срезам с перитрахеальной ненормальной плотностью?..
...
А что по медиальной стенке промежуточного бронха на второй серии сканов?
"самоуверенность дилетантов - предмет зависти профессионалов"
Вношу ясность: тут два исследования - первое исследование сделано в понедельник, второе во вторник - в просвете бронха имеет место что то симулирующее tr, что было на верхней стенке, а затем переместилось на нижнюю за сутки - слизь.
Для спокойствия надо через неделю еще КТ сделать ))))), да и сомнительно, чо при горизонтальном положении больного слизь имеет такую форму...
Виктор.
очень хочется поострить про изначальнокверхногальное положение больного, но тем не менее, факт остается фактом... но просмотрел бы с удовольствием все срезы, впрочем, наверное как и в кажном "не родном" случае. Спасибо за случай
...
А может какое инородное тело? (поперхнулся там чем-нибудь?)
https://www.instagram.com/pediatricradiology/
и вот оно то к одной стенке прилипнет, то к другой - звучит во всяком случае весьма логично...
Виктор.