You are here

Прошу помочь, выскажите Ваше мнение

Пол пациента: 
Методы исследования: 

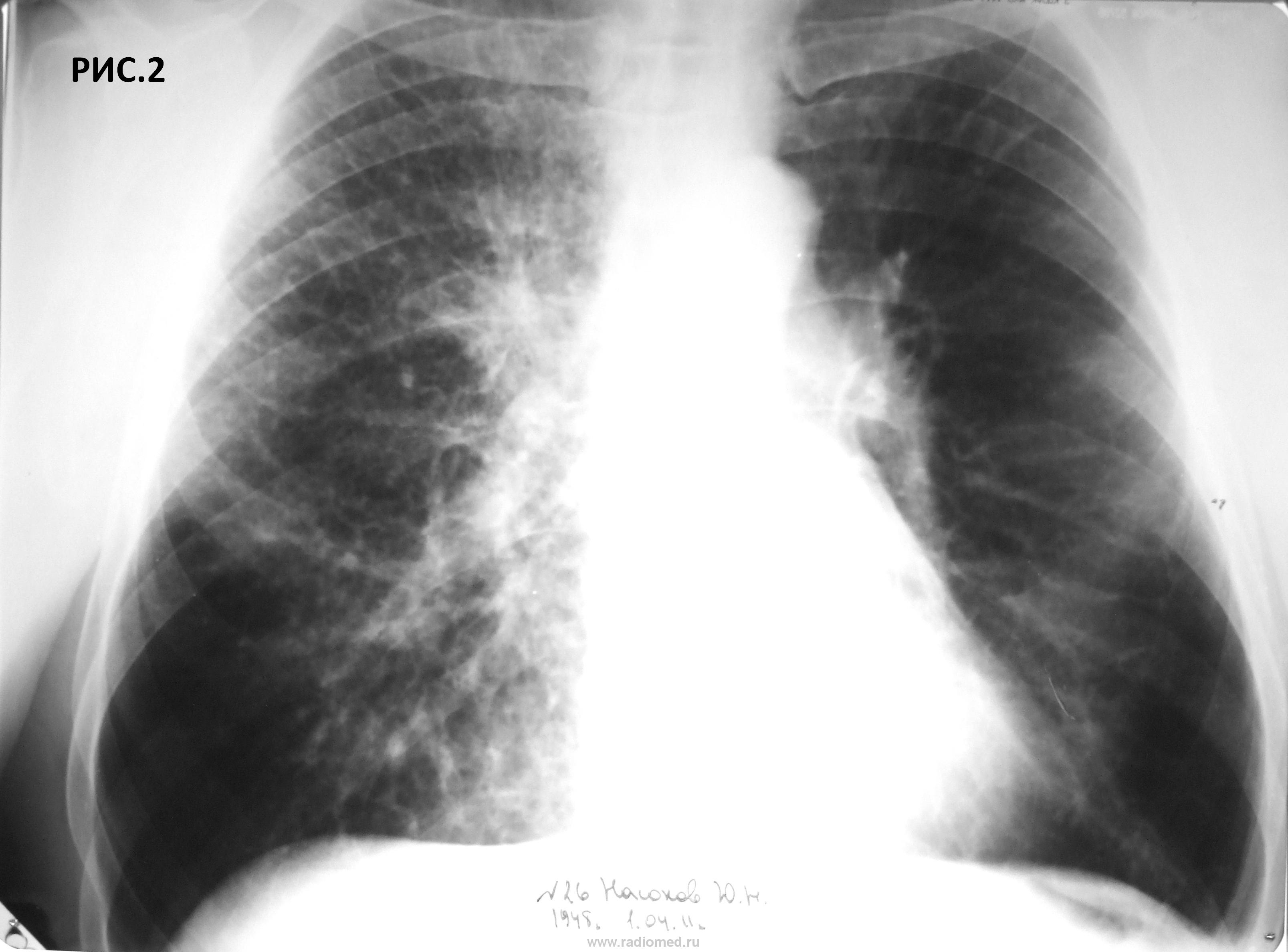
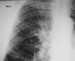
Больной 63, крановщик, курильщик. Перенес левостороннюю пневмонию 15.12.2010 (рис.1). В течение 10 дней до рентгенографии грудной клетки от 1.4.2011 (рис.2.3.4) беспокоит сухой кашель. Температура тела нормальная. С уважением Nikolas

  • https://radiomed.ru/sites/default/files/styles/case_slider_image/public/user/7898/kopiya_dscf2815.jpg?itok=oK6NqUKP
  • https://radiomed.ru/sites/default/files/styles/case_slider_image/public/user/7898/kopiya_dscf2816.jpg?itok=INaiw2po
  • https://radiomed.ru/sites/default/files/styles/case_slider_image/public/user/7898/kopiya_dscf2818.jpg?itok=jM1wdwSm
ID:13076
Бородулин М.А.'s picture
Offline
Last seen: 11 months 3 weeks ago
Joined: 17.02.2011 - 01:10
Posts: 1409

Думаю, что ситуацию прояснит левый боковой.

Vikkur's picture
Offline
Last seen: 4 years 10 months ago
Joined: 24.09.2009 - 14:34
Posts: 1749

такое ощущение что боковой и прямой делались в разные дни (боковой позже) надо бы томограмки и ФБС (может Cr В2) а может и "Дружок"

Виктор.

Helios's picture
Offline
Last seen: 10 months 1 day ago
Joined: 06.08.2010 - 15:16
Posts: 4417

Виктор Владмирович, здравствуйте!Что-то у меня на работе чат постоянно долго думает.Поэтому приходится в комментах здороваться. А по делу- контроль через 7 дней ( может, старо , как мир, но больше пока ничего на ум не приходит).

Бородулин М.А.'s picture
Offline
Last seen: 11 months 3 weeks ago
Joined: 17.02.2011 - 01:10
Posts: 1409

Прозрачность левого легкого представляется повышенной за счет?

Левый корень уплотнен и расположен ниже обычного.

Средостение умеренно смещено влево.

Левый купол диафрагмы выше обычного.

Любовь С.'s picture
Offline
Last seen: 9 years 8 months ago
Joined: 23.12.2010 - 01:58
Posts: 2324

Всё страшнее правый корень, всё неструктурнее и мохнатее. Как бы не было тут худо... Такие коренья - показание для направления на КТ и бронхоскопии, но это моё мнение.

"Предоставляя весь смысл и совершенство в распоряжение одного только Бога, вы избавляете себя от бездны хлопот." Джон Уитборн.

Бородулин М.А.'s picture
Offline
Last seen: 11 months 3 weeks ago
Joined: 17.02.2011 - 01:10
Posts: 1409

Любовь С. wrote:

Всё страшнее правый корень, всё неструктурнее и мохнатее. Как бы не было тут худо... Такие коренья - показание для направления на КТ и бронхоскопии, но это моё мнение.

Угу, "голый" корень, средостение то сместилось влево.

doktor-rentgen's picture
Offline
Last seen: 9 years 4 months ago
Joined: 06.07.2010 - 20:56
Posts: 640

Бородулин М.А. wrote:

Любовь С. wrote:

Всё страшнее правый корень, всё неструктурнее и мохнатее. Как бы не было тут худо... Такие коренья - показание для направления на КТ и бронхоскопии, но это моё мнение.

Угу, "голый" корень, средостение то сместилось влево.

Как по мне, так ничего не сместилось. Просто укладка асиметрична.

Приложения: 
kopiya_dscf2815.jpg
Петрович's picture
Offline
Last seen: 7 years 5 months ago
Joined: 22.03.2009 - 01:13
Posts: 3908

Согласен с doktor-rentgen. По этой же причине повышена прозрачность лев. лёгкого. Изображения в целом вызывают уныние, особенно первое: слишком много информации потеряно. Но нельзя отрицать уменьшения объёма в/доли пр. лёгкого. Без томографии не обойтись.

Неоднозначно всё

doktor-rentgen's picture
Offline
Last seen: 9 years 4 months ago
Joined: 06.07.2010 - 20:56
Posts: 640

Со мной уже соглашаются постояльцы сайтаsmiley Приятноsmiley. А по каким критериям вы судите об уменьшении в/д правого легкого?

Vikkur's picture
Offline
Last seen: 4 years 10 months ago
Joined: 24.09.2009 - 14:34
Posts: 1749

думается то что называют повышенной прозрачностью - нормальная ткань, а вот верхняя гиповентилируется, жаль на боковом не все четко как хотелось бы...или какаято неоднородная инфильтрация  есть и вдоль междолевых...а может это уже фантазии..

Виктор.

serega's picture
Offline
Last seen: 12 years 6 months ago
Joined: 15.10.2009 - 18:10
Posts: 99

Смею высказаться за диффузный пневмофиброз, корни  фиброзно изменены. правый корень кажется "пушистым" за счет вышесказанной ассиметрии укладки. Теней подозрительных на увеличенные лимфоузлы в проекции корней не отмечается. Ну про разность пневмотизации легочных полей так же выше сказано. Вообщем пока ХОБЛ .

serega's picture
Offline
Last seen: 12 years 6 months ago
Joined: 15.10.2009 - 18:10
Posts: 99

Головка правого корня мне всетаки не нравится:)

Vikkur's picture
Offline
Last seen: 4 years 10 months ago
Joined: 24.09.2009 - 14:34
Posts: 1749

serega wrote:

. Теней подозрительных на увеличенные лимфоузлы в проекции корней не отмечается. 

при эндофитном росте Вы ничего и не увидите - вспомните Ваши же "эксперные" снимочки ))))

Виктор.

serega's picture
Offline
Last seen: 12 years 6 months ago
Joined: 15.10.2009 - 18:10
Posts: 99

Можно поподробнее про эндофитный и л. узлы.? А Вы злопаметный:)

Vikkur's picture
Offline
Last seen: 4 years 10 months ago
Joined: 24.09.2009 - 14:34
Posts: 1749

serega wrote:

Можно поподробнее про эндофитный и л. узлы.? А Вы злопаметный:)

"я не злопамятный - у меня просто  хорошая память" ))) т.е если опухоль растет внутри бронха других признаков (кроме эндоскопических) в том числе и увеличенных лимфоузлов  может и не быть...

Виктор.

serega's picture
Offline
Last seen: 12 years 6 months ago
Joined: 15.10.2009 - 18:10
Posts: 99

Я согласен с Вами. И если постоянно принимать это во внимание , можно всех с какими- либо деформациями или др. изменениями корней  отправлять на линейку или КТ. А корни дело такое, влюбом можно что- нибудь заподозрить:)

Kuzmitch's picture
Offline
Last seen: 12 years 9 months ago
Joined: 01.10.2010 - 18:20
Posts: 171

 Правый корень "подозрительный". Возможно, в области головки корня участок пневмосклероза. Как-то "тянет" на себя корень линейные тени, может быть Neo. Надо бы КТ

Nikolas's picture
Offline
Last seen: 1 month 2 weeks ago
Joined: 21.12.2010 - 20:37
Posts: 4560

Уважаемый доктор Vikkur! Обзорный снимок в прямой проекции и правый боковой выполнены одновременно. Продолжаем исследовать больного. Мнение о Cr pul. учтем.

Vikkur's picture
Offline
Last seen: 4 years 10 months ago
Joined: 24.09.2009 - 14:34
Posts: 1749

serega wrote:

Я согласен с Вами. И если постоянно принимать это во внимание , можно всех с какими- либо деформациями или др. изменениями корней  отправлять на линейку или КТ. А корни дело такое, влюбом можно что- нибудь заподозрить:)

если нет архива то не можно, а нужно - в нашем деле "лучше перебдеть, чем недобдеть"...- обосновать назначение Вы сможете легко, а вот объяснить пропуск патологии куда сложнее...

Виктор.

Nikolas's picture
Offline
Last seen: 1 month 2 weeks ago
Joined: 21.12.2010 - 20:37
Posts: 4560

Благодарю коллег за ценные комментарии. С уважением Nik