You are here

Проверочное исследование

Пол пациента: 
Тип патологии: 
Методы исследования: 

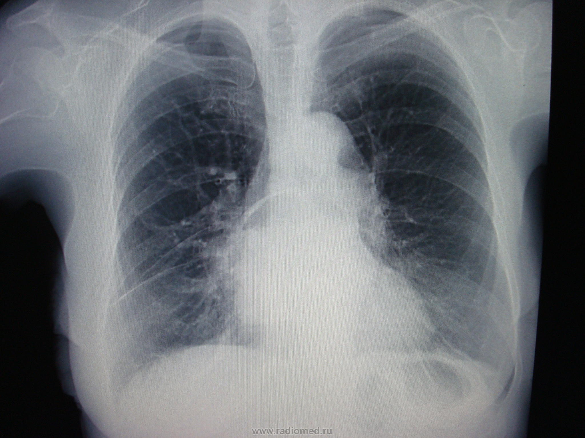
81 год, проходила проверочное исследование лёгких. Что может дать такую картину?

  • https://radiomed.ru/sites/default/files/styles/case_slider_image/public/user/406/dsc05401.jpg?itok=7cA0Q1PV
  • https://radiomed.ru/sites/default/files/styles/case_slider_image/public/user/406/dsc05403.jpg?itok=s6ORHZHc
  • https://radiomed.ru/sites/default/files/styles/case_slider_image/public/user/406/dsc05405.jpg?itok=03MvaTV6
ID:13360
Анатолий Владимирович Шумаков's picture
Offline
Last seen: 8 years 3 months ago
Joined: 16.10.2009 - 21:16
Posts: 1941

Половина желудка в средостении - газовый пузырь за сердцем. Тонкости - после контрастирования пищевода.

Almo's picture
Offline
Last seen: 4 hours 33 min ago
Joined: 28.09.2008 - 18:50
Posts: 8304

Здравствуйте, Анатолий Владимирович! Вы не допускаете, что газовый пузырь желудка может быть на месте?

Игорь Иванович's picture
Offline
Last seen: 4 years 2 months ago
Joined: 23.01.2010 - 14:56
Posts: 3695

Такую картину, я думаю, может дать - 81 ГОД. А если серьезно, то я уже перестал отмечать эти грыжи при читке флюорограмм (а возможность диагностики их резко увеличилась при цифровой съемке), т.к. никто на них особо не обращает внимание, хирурги со скальпелями не бросаются. Да и пациентам, судя по всему, они не приносят особых неудобств. Эта немолодая леди, думаю, уже очень давно носит под сердцем желудок.

Анатолий Владимирович Шумаков's picture
Offline
Last seen: 8 years 3 months ago
Joined: 16.10.2009 - 21:16
Posts: 1941

В таких случаях в желудке бывает 2 газовых пуыря - каждый в своей части желудка... Без контрастирования - никуда...

Almo's picture
Offline
Last seen: 4 hours 33 min ago
Joined: 28.09.2008 - 18:50
Posts: 8304

С контрастированием будут снимки чуть позже. Я в принципе, думал до контрастирования,  так же как коллеги, но оказалось не то. Есть жалобы на дисфагию.Может у кого-то будут другие версии?

stovbav's picture
Offline
Last seen: 2 years 7 months ago
Joined: 20.12.2009 - 17:28
Posts: 7066

+1 за высказанные Анатолием Владимировичем и Игорем Ивановичем мнения, исходя из обзорного снимка...

Анатолий Владимирович Шумаков's picture
Offline
Last seen: 8 years 3 months ago
Joined: 16.10.2009 - 21:16
Posts: 1941

Бывают  такие гиганские дивертикулы...

Almo's picture
Offline
Last seen: 4 hours 33 min ago
Joined: 28.09.2008 - 18:50
Posts: 8304

Вы имеете ввиду дивертикулы чего?

Катенёв Валентин Львович's picture
Offline
Last seen: 7 years 5 months ago
Joined: 22.03.2008 - 22:15
Posts: 54876

Almo wrote:

С контрастированием будут снимки чуть позже. Я в принципе, думал до контрастирования,  так же как коллеги, но оказалось не то. Есть жалобы на дисфагию.Может у кого-то будут другие версии?

Тогда надо выставить боковую проекцию ОГК, и точки будут поставлены....

Almo's picture
Offline
Last seen: 4 hours 33 min ago
Joined: 28.09.2008 - 18:50
Posts: 8304

Жалутся на выраженные приступообразные в области нижней части грудины, дисфагию.

Юлия's picture
Offline
Last seen: 10 years 9 months ago
Joined: 03.02.2009 - 20:00
Posts: 151

Дивертикул н/3 пищевода с явлениями дивертикулита( краевой дефект наполнения-озлокачествление?...)

Юлия 

stovbav's picture
Offline
Last seen: 2 years 7 months ago
Joined: 20.12.2009 - 17:28
Posts: 7066

1. Алмо - спасибо за наблюдение, уж такого дивенртикула не видал - гигант.

2. Анатолий Владимирович - вам респект за высказаное мнение.

3. Юлии - это не озлокачествление, это - кусочек пищи, так думаю.

Almo's picture
Offline
Last seen: 4 hours 33 min ago
Joined: 28.09.2008 - 18:50
Posts: 8304

Да, это куски пищи. Не создалось впечатление об опухолевом поражении. Думаю, надо расценивать как явления дивертикулита.

Катенёв Валентин Львович's picture
Offline
Last seen: 7 years 5 months ago
Joined: 22.03.2008 - 22:15
Posts: 54876

Красивый случай. По всей видимости "ценкеровский дивертикул" или по типу "ценкеровского"?

Nikolas's picture
Offline
Last seen: 2 months 6 days ago
Joined: 21.12.2010 - 20:37
Posts: 4560

Сайт radiomed - факультет повышения квалификации! Nikolas

Almo's picture
Offline
Last seen: 4 hours 33 min ago
Joined: 28.09.2008 - 18:50
Posts: 8304

Не совсем, ценкнеровский- это пищеводно-глоточный дивертикул, который правда так же, может быть больших размеров.

Катенёв Валентин Львович's picture
Offline
Last seen: 7 years 5 months ago
Joined: 22.03.2008 - 22:15
Posts: 54876

Almo wrote:

Не совсем, ценкнеровский- это пищеводно-глоточный дивертикул, который правда так же, может быть больших размеров.

А, вот есть еще один -

"Киллиан – Джеймисон - дивертикул", который локализуется именно там...

ДокRg's picture
Offline
Last seen: 12 years 8 months ago
Joined: 30.03.2011 - 20:05
Posts: 105

Nikolas wrote:

Сайт radiomed - факультет повышения квалификации! Nikolas

Radiomed - респект!!!

Евгений1313's picture
Offline
Last seen: 13 years 5 months ago
Joined: 15.10.2010 - 19:13
Posts: 808

Редкой величины дивертикул.На счет озлокачествления не знаю...

Nikolas's picture
Offline
Last seen: 2 months 6 days ago
Joined: 21.12.2010 - 20:37
Posts: 4560

надо подумал я и послал. Ну, что это там внутри?! С уважением Nikolas.

Приложения: 
dsc06134.jpg
Almo's picture
Offline
Last seen: 4 hours 33 min ago
Joined: 28.09.2008 - 18:50
Posts: 8304

Что, там внутри вы можете прочитать выше.Слачай имеет продолжение, смотрите по ссылке: /www.radiomed.ru/cases/proverochnoe-issledovanie-0

stovbav's picture
Offline
Last seen: 2 years 7 months ago
Joined: 20.12.2009 - 17:28
Posts: 7066

Nikolas wrote:

надо подумал я и послал. Ну, что это там внутри?! С уважением Nikolas.

Очень похоже, но теперь уже и "стремно" высказываться...так что выкладывайте ка снимочки с контрастом, думаю они у Вас есть )))))

Nikolas's picture
Offline
Last seen: 2 months 6 days ago
Joined: 21.12.2010 - 20:37
Posts: 4560

Материалы , которые представлены даны и записаны со слов врача терапевта. Когда  увидел, то вспомнил "Киллиан-Джеймисон-дивертикул" на нашем сайте. История заболевания. 2001 год. 60 лет. После сильного переохлаждения (провал под лед) - озноб, температура 38С, боль в грудной клетке справа, сухой кашель. Лечение народными средствами без эффекта.При кашле стало выделятся много гнойной мокроты с прожилками крови, температура повысилась до 40 С.  При поступлении в стационар тяжелое состояние. Диагноз - абсцесс легкого. Результат лечения (через 1 мес.) представлен на рис.2. Другой рентгенологической документации, к большому сожалению, нет. С уважением Nicolas 

Приложения: 
risunok_2.jpg
Катенёв Валентин Львович's picture
Offline
Last seen: 7 years 5 months ago
Joined: 22.03.2008 - 22:15
Posts: 54876

Хорошая динамика.