You are here

А вот еще скрининговая флг.

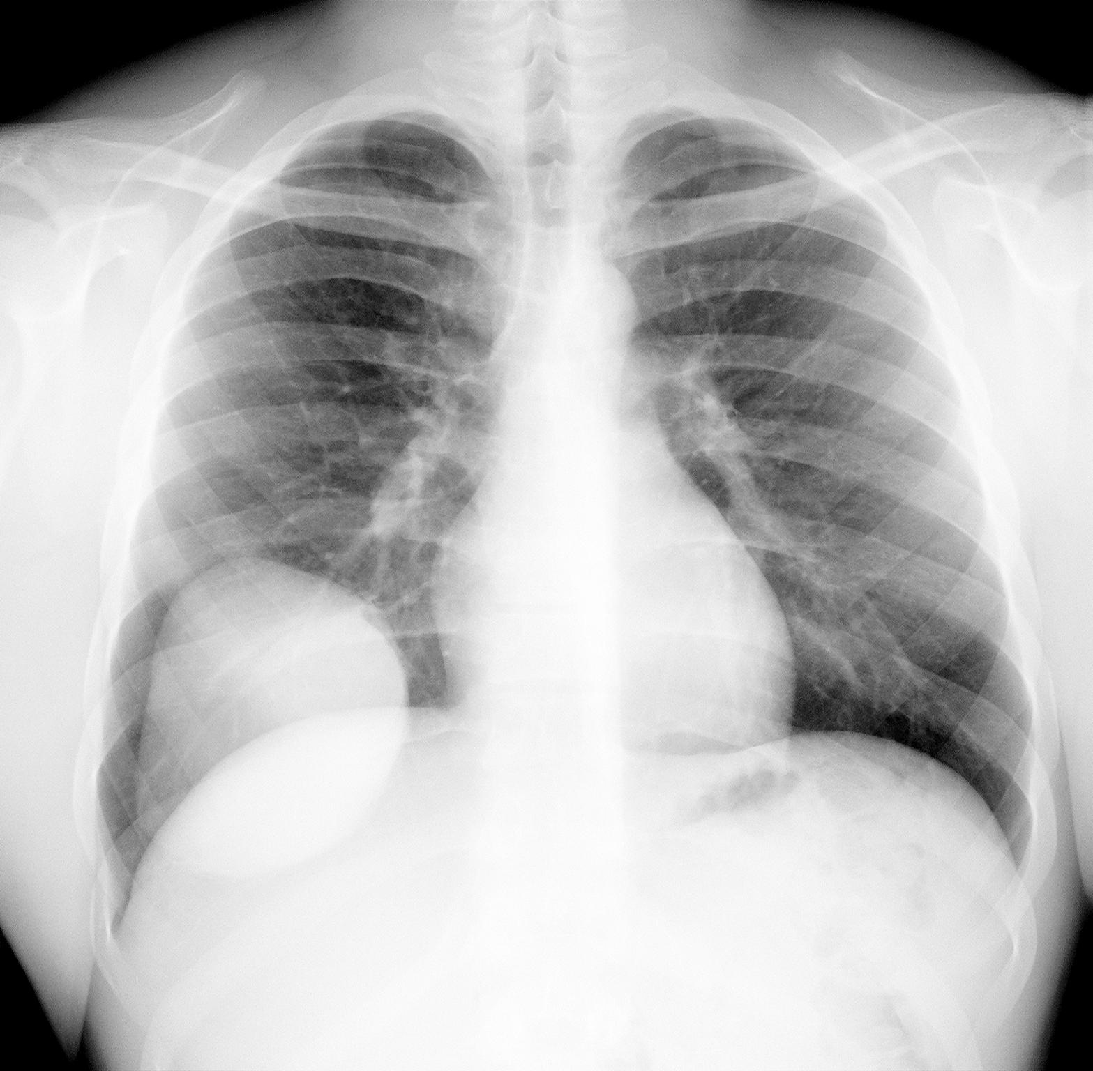
Очередной мигрант.  анамнез неизвестен. Как-то великовато для паразитарной кисты.

  • https://radiomed.ru/sites/default/files/styles/case_slider_image/public/user/2997/rizaev_bok2.jpg?itok=gP_yuHC6
ID:54042
stovbav's picture
Offline
Last seen: 2 years 4 months ago
Joined: 20.12.2009 - 17:28
Posts: 7066

Почему Вы думаете, что, например, эхинококк не может быть такого размера? Вполне может быть, а судя по боковому там и дочерние кисты не исключаются ))))

Helios's picture
Offline
Last seen: 9 months 5 days ago
Joined: 06.08.2010 - 15:16
Posts: 4417

Почему нет?

Вадим Валентинович's picture
Offline
Last seen: 11 years 5 months ago
Joined: 18.01.2010 - 19:24
Posts: 17

Как правило, ранее такого размера находки встречались.

Приложения: 
dsc00263.jpg
Бородулин М.А.'s picture
Offline
Last seen: 11 months 9 hours ago
Joined: 17.02.2011 - 01:10
Posts: 1409

Находил как то 14 см в диаметре.

ПОдтверждено При торакотомии.

Катенёв Валентин Львович's picture
Offline
Last seen: 7 years 2 months ago
Joined: 22.03.2008 - 22:15
Posts: 54876

stovbav wrote:

Почему Вы думаете, что, например, эхинококк не может быть такого размера? Вполне может быть, а судя по боковому там и дочерние кисты не исключаются ))))

+1

Катенёв Валентин Львович's picture
Offline
Last seen: 7 years 2 months ago
Joined: 22.03.2008 - 22:15
Posts: 54876

Интересные картинки...

Приложения: 
1.e.slayd14.jpg2.e.slayd15.jpg