You are here

Хождение по мукам

Пол пациента: 
Методы исследования: 

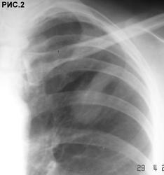
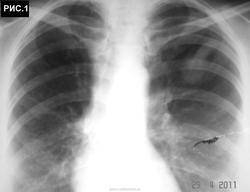
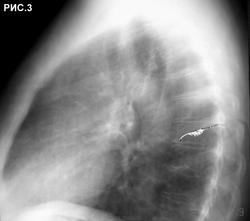
Б-ная 54 г. Живет в небольшом  городе. Поступила в хирургический стационар для холецистэктомии. При ней находился пакет с рентгенограммами органов грудной клетки. Стало известно, что 1 год назад обратилась с бронхолегочными симптомами в поликлинику, где при рентгенографии грудной клетки "выявлено затемнение в легких". После лечения антибиотиками изменения в легких оставались стабильными. Консультирована рентгенологами,онкологами, фтизиатрами, терапевтами, хирургами. Диагноз не установлен. Больная удручена.Хирурги думают. Снимки 6 мес. давности (рис.1,2,3 ).  Рентгенограммы не блеск, но картина везде подобная. Томограмм нет. Ваше слово коллеги! С уважением Nic.

  • https://radiomed.ru/sites/default/files/styles/case_slider_image/public/user/7898/dsc01892.jpg?itok=1SHMhIcj
  • https://radiomed.ru/sites/default/files/styles/case_slider_image/public/user/7898/dsc01895.jpg?itok=4huh8dU6
ID:13758
10dent I.A.'s picture
Offline
Last seen: 11 years 6 months ago
Joined: 25.04.2011 - 15:53
Posts: 47

- Не вижу тени на БП

- Нет ли образований кожных, подкожных

- Осмотреть скопически, возможно плевралные изменения.

- Томограммы я бы сделал:)

- Мысли консультантов?

- КТ и думать

...я мало видел, еще меньше знаю...

Rg-Doc's picture
Offline
Last seen: 8 years 11 months ago
Joined: 22.03.2008 - 12:25
Posts: 333

Ответ всегда один - КТ. А без КТ? Не всем дано. В 80% больниц нет КТ. А на боковой я тоже четко не вижу тени. Скорее всего на плевре (передней или задней).

Kat's picture
Kat
Offline
Last seen: 12 years 9 months ago
Joined: 19.04.2011 - 19:10
Posts: 365

Артерио-венозная аневризма? Только смущает,что "хвостик" кверху. Доказать  tg с пробой Вальсальвы,Мюллера. 

Временно отсутствую на сайте...

Kat's picture
Kat
Offline
Last seen: 12 years 9 months ago
Joined: 19.04.2011 - 19:10
Posts: 365

на боковом,похоже,в ретростернальном пространстве находится

Временно отсутствую на сайте...

Nikolas's picture
Offline
Last seen: 1 month 2 weeks ago
Joined: 21.12.2010 - 20:37
Posts: 4560

наступил, когда был выполнен последний снимок в отделении. Хорошо видно, что имеется частичное опорожнение ретенционной бронхиальной кисты (рис.4, рис.5). Со слов больной,  незадолго до поступления в стационар имело место отхождение мокроты светлокоричневого цвета без запаха. При анализе выписок из различных учреждений процесс в легких рассматривался как туберкулема легких, туберкулема легких или опухоль, опухоль легкого, патология сосудов легкого, диагноз неясен (овальный фокус затемнения в легком). С уважением Nikolas

Приложения: 
dsc01897.jpgkista.jpg