You are here

Плановая ФЛГ

Пол пациента: 
Методы исследования: 

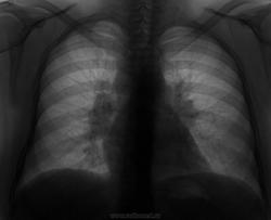
Женщина, 38 лет, пришла для плановой флюорографии, при расспросе выясняется, что уже давно кашляет,в анализе крови в декабре СОЭ 37 мм/ч, причину повышения цифр списали на гинекологию, больше не обследовалась.Снимок 2010г прилагаю

  • https://radiomed.ru/sites/default/files/styles/case_slider_image/public/user/3673/5.o5.2011.jpg?itok=TFnGrGij
ID:13785
lupan's picture
Offline
Last seen: 7 years 3 months ago
Joined: 07.01.2010 - 17:17
Posts: 1406

Саркоидоз ВГЛУ?

Великое преймущество врача заключается в том, что он не обязан следовать собственным советам. ( А. Кристи)

Kuzmitch's picture
Offline
Last seen: 13 years 3 weeks ago
Joined: 01.10.2010 - 18:20
Posts: 171

Аденопатия корней - на КТ

annushka's picture
Offline
Last seen: 8 years 5 months ago
Joined: 17.03.2010 - 19:09
Posts: 137

а какие еще возможны варианты?

Анна

Kuzmitch's picture
Offline
Last seen: 13 years 3 weeks ago
Joined: 01.10.2010 - 18:20
Posts: 171

Лимфома, mts, tbs, опытные коллеги поправьте, если что )

Nikolas's picture
Offline
Last seen: 2 months 1 week ago
Joined: 21.12.2010 - 20:37
Posts: 4560

при поражении паратрахеальных, трахеобронхиальных и бифуркационных лимфатических узлов лучше всего сделать медиастиноскопию с биопсией;  если это возможно, где Вы проживаете. Я встречал подобную картину при лимфоме Ходжкина, хроническом лимфолейкозе. Считаю, что коллегам будет интересен конечный результат. Ждем сообщений. С уважением Nik.

Nikolas's picture
Offline
Last seen: 2 months 1 week ago
Joined: 21.12.2010 - 20:37
Posts: 4560

Дополнение к #5. Первая версия - саркоидоз органов дыхания I. Медиастиноскопия. Диагноз подтвержден морфологически.Обнаружены клетки Березовского-Штернберга-Рид. С уважением Nicolas 

Приложения: 
risunok_1.jpgrisunok_2.jpgrisunok_3.jpgrisunok_4.jpg
annushka's picture
Offline
Last seen: 8 years 5 months ago
Joined: 17.03.2010 - 19:09
Posts: 137

комментарии!

Анна

Петрович's picture
Offline
Last seen: 7 years 8 months ago
Joined: 22.03.2009 - 01:13
Posts: 3908

Если есть увеличенные периферические лимфатические узлы, склонился бы к ЛГМ.

Неоднозначно всё

Nikolas's picture
Offline
Last seen: 2 months 1 week ago
Joined: 21.12.2010 - 20:37
Posts: 4560

у пациента на период выявления ( 2001 г) не сопровождалась периферической лимфаденопатией. Были устремлены на саркоидоз.  На что Вы обратили внимание уважаемый коллега Петрович в пользу лимфомы? Ваше мнение  будет полезно всем участникам сайта. С уважением Nikolas

Петрович's picture
Offline
Last seen: 7 years 8 months ago
Joined: 22.03.2009 - 01:13
Posts: 3908

Нет-нет, коллега, я про случай annushkи написал.

Неоднозначно всё

annushka's picture
Offline
Last seen: 8 years 5 months ago
Joined: 17.03.2010 - 19:09
Posts: 137

только довольно-плотный увеличенный л/у по передне-латеральной поверхности шеи. 

Анна

sema's picture
Offline
Last seen: 10 years 10 months ago
Joined: 05.09.2010 - 08:39
Posts: 233

По снимку увеличены  и паратрахеальные л/узлы, по моему больше данных за ЛГМ. Ну, а если есть периферия все проще необходима биопсия.