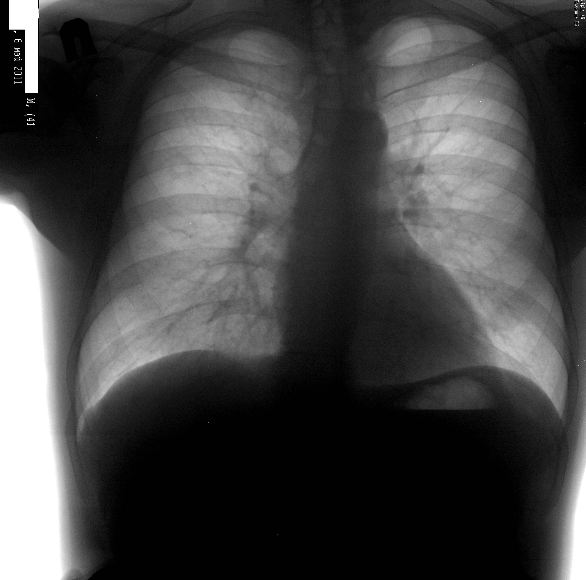
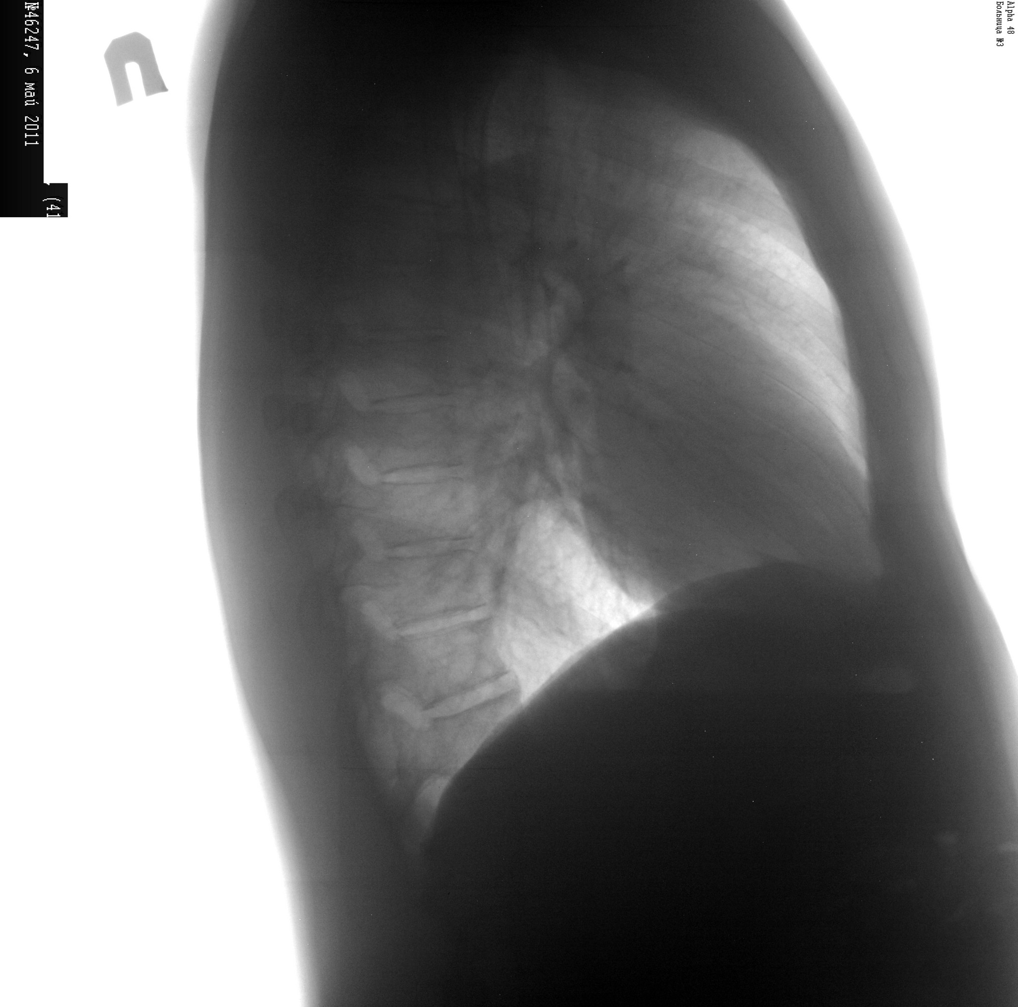
Выставлено в качестве самоконтроля (написал, но сомневаюсь в заключении). Мужчина, 41. контроль после правосторонней н/д пневмонии. Первого снимка нет, делали не у нас. Вас что-то смущает?
Спасибо)) Написал в заключении дренированная полость? и поствоспалительная плевродиафрагмальная спайка в правом реберно-диафрагмальном синусе. На боку тоже не нашел.
Заднюю? зачем? Чем бы она помогла? Все то-же что и спереди только наоборот). Не думаю что была бы существенная разница с передней. Написал- "Для уточнения диагноза рекомендовано КТ"-а терапевты пусть решают направлять или нет(у нас в больнице нет).
Заднюю? зачем? Чем бы она помогла? Все то-же что и спереди только наоборот). Не думаю что была бы существенная разница с передней. Написал- "Для уточнения диагноза рекомендовано КТ"-а терапевты пусть решают направлять или нет(у нас в больнице нет).
С таким подходом ещё много шишек набить предстоит…
На задней можем и не увидеть. Или наоборот - лучше рассмотреть. А если увидим, можно посмотреть ее смещаемость относительно передних и задних отрезков ребер.
На задней можем и не увидеть. Или наоборот - лучше рассмотреть. А если увидим, можно посмотреть ее смещаемость относительно передних и задних отрезков ребер.
Верной дорогой идете, товарищ! )) Если ж НЕ увидим, ЕЁ там просто НЕТ.
Ну на КТ может ещё что-нибудь найдут. Мне кажется в таких случаях КТ показано. Конечно, можно было бы сделать линейные томограммы, но при современных КТ доза будет не сильно отличаться, а информативность повыше будет.
Обязательно найдут. КТ показана даже в том случае, если жалобы есть, а на рентгене - полная норма. Ну, и что из этого? Те более, что в Вашем ЛПУ КТ нет. Вы же не будете писать заключение: "Рентгенпризнаков патологических изменений не вывлено, рек. КТ". "А там - пусть терапевты решают" (копирайт Ваш).
Андрей Юрьевич что бы вы порекомендовали бы сделать для уточнения диагноза? Прошу учесть, что скопии нет а линейки не делаем(никто не умеет). Это Киев, где особых проблем с КТ нет.
Петрович - спасибо. В следующих сомнительных случаях так и сделаю.
(1.)Андрей Юрьевич что бы вы порекомендовали бы сделать для уточнения диагноза? Прошу учесть, что (2.)скопии нет, (3.) а линейки не делаем(никто не умеет). (4.)Это Киев, где особых проблем с КТ нет.
4. Ну, если "особых проблем с КТ нет", зачем вообще делать рентгенографию ОГК с диагностической целью? Уверен, что такой подход будет преобладать уже в ближайшее время.
1. Убедился бы, что полость действительно есть (аналоговый р-снимок [или их тоже не делают?, см. п.п.2,3], снимки в атипичных проекциях), выставил бы диф. ряд, указал бы необходимость сравнения с предыдущими р-граммами.
На счет сравнения с предыдущими - написал. А вон на счет "доснять" у нас большие проблемы. Я сейчас в отделении сам, все в отпусках. С лаборантами, которые в 2 раза меня старше, бороться очень тяжело, противятся моим "доснять". С ними даже заведующая справиться не может, что тогда о мне говорить. Ну ничего, будем пытаться.
Диф. ряд? Обычный для синдрома кольцевидной тени: ...Установив, что процесс внутрилёгочный, т.е. имеется полость в лёгком, необходимо определить её природу. Важным критерием для этого служит толщина стенок полости. Возможны три варианта: тонкие стенки, равномерно толстые стенки и неравномерно толстые стенки. Неравномерно толстые стенки наблюдаются при распаде периферического рака лёгкого. Вследствие некроза опухолевой ткани в раковом узле возникает полость. Она может стать такой большой, что круглая тень опухоли на рентгенограмме превратится в кольцевидную тень. Но некроз происходит неравномерно, и даже при распаде значительной части опухоли на стенках образующейся полости местами остаются опухолевые массы – определяется классическая для распавшейся раковой опухоли картина «перстня с печаткой». Если кольцевидная тень имеет равномерную ширину на всём протяжении – это симптом полости воспалительного происхождения. Наиболее вероятны два процесса: туберкулёзная каверна и абсцесс лёгкого. Полость возникла в результате творожистого распада при туберкулёзе или гнойного расплавления лёгочной ткани при абсцессе. Творожистые массы или гной эвакуируются через бронх. Но в рентгеновском изображении определённые различия между каверной и абсцессом. И главное из них состоит в том, сто при абсцессе в полости обычно находится жидкое содержимое (гной); оно плохо выводится через бронх из-за отёка и инфильтрации слизистой оболочки бронха. При постепенном распаде туберкулёзного инфильтрата творожистые массы отхаркиваются и жидкости в полости, как правило, нет. Поэтому «сухая» полость с равномерно толстыми стенками – это обычно туберкулёзная каверна....
Дайте по мозгам своим лаборантам и сделайте прицел верхней доли справа в задней проекции. Не томите. Мы хотим убедиться, что там действительно есть эта грёбаная полость!
И что-штампик "ФОГК„ в норме поставили?Диагноз имеется?Пару лет назад наши примерно так и поступили-напрочь проигнорировали мои рекомендации дообследовать пациента с округлым образованием+в ООД как-то он ненастойчиво стремился+лечащий врач наплевательски отнесся+семья-лично сама просила их проследить за процессом+сам пациент доктор-в результате:периферический рак,через полгода умер.
По-моему, это вообще "тень на плетень"... Я бы на скопии вдох-выдох сделала. То, что никакого тбс там нет - это точно (работаю в туб дисп - насмотрелась) - каверн на фоне неизмененной легочной ткани не бывает, даже таких мелких. Окружающая легочная ткань абсолютно интактна. Полостюшка, конечно же, рисуется, но большой вопрос, есть ли она. Задние снимки очень помогают, не стоит пренебрегать.
На днях сказал лаборантам сделать задний(тоже неоднозначная тень была), так они на меня такими глазами посмотрели, как будто я ничего не понимаю в рентгенологии. Спасибо за совет. Теперь буду пользоваться чаще.
На днях сказал лаборантам сделать задний(тоже неоднозначная тень была), так они на меня такими глазами посмотрели, как будто я ничего не понимаю в рентгенологии.
Не смущайтесь, доктор, косность отдельных лаборантов - дело известное. Они и о снимке по Флейшнеру, наверняка не знают, но это не повод, чтобы этого не делать. Насколько могу судить по снимкам, Вы работаете на цифре?
Ежели на цифре, то настоятельно рекомендую освоить линейную томографию. Трудозатраты р-лаборантов при этом минимальны, А Ваш рейтинг может существено повысится. Расчетов срезов бояться не стоит. Вот здесь, коротко по ОГК http://zhuravlev.info/modules.php?op=modload&name=Forum&file=viewtopic&topic=1395&forum=6 Войдете во вкус, перейдете другие органы и ситемы (ППН, ГОП в боковой проекции, тазобедренные и т.д.)
Это ж надо, какая долгая дискуссия и с привлечением солидных участников по поводу пустяковины! Печально, однако, практический результат нулевой. Но в области теоретической брезжит надежда: возможно, теперь doktor-rentgen не во всех случаях будет идти на поводу у "дремучих" рентгенолаборантов.
Не согласен с нулевым результатом. Дискуссия была полезна, а из пустяковин состоит наша работа. Если есть возможность обсудить с коллегами спорный или непонятный случай, то почему нет? Всегда есть место подвигу, т.е. учиться никогда не поздно, тем более друг у друга. Случается, что и более молодой коллега способен научить кой-чему многоопытного, и наоборот.
Даже когда уверен на 100%, непременно подвернется исключение из правил...
Не согласен с нулевым результатом. Дискуссия была полезна, а из пустяковин состоит наша работа. Если есть возможность обсудить с коллегами спорный или непонятный случай, то почему нет? Всегда есть место подвигу, т.е. учиться никогда не поздно, тем более друг у друга. Случается, что и более молодой коллега способен научить кой-чему многоопытного, и наоборот.
Что не я один страдаю нравоучениями, а рыбак рыбака... Повторять про заднюю проекцию без определенных вариантов заключения по данному конкретному случаю более существенно?)) Дискуссия познавательна лично мне в плане того, кто и как оценивает рентгенкартину. Лично я взял бы на скопию, проверил бы не является ли полость игрой теней, а так же тень соска или нет в 4 переднем межреберье справа, сделал бы прицельные снимки под контролем скопии. При подтверждении полости запросил бы в поликлинике предыдущую флюшку. Если по клинике все тип-топ, то написал бы в истории болезни: "Единичная малая полость в таком-то сегменте" и рекомендацию прийти на контроль ко мне же через месяц. Можно сесть?)))))
Даже когда уверен на 100%, непременно подвернется исключение из правил...
Маленькая полость справа в проекции переднего отрезка 3-го ребра. На боковой я ее не нашла.
https://www.youtube.com/channel/UCBGxoBUOqUT_bFhSeUgtWEw
Спасибо)) Написал в заключении дренированная полость? и поствоспалительная плевродиафрагмальная спайка в правом реберно-диафрагмальном синусе. На боку тоже не нашел.
А заднюю доснять? Очень бы выручила.
Неоднозначно всё
Заднюю? зачем? Чем бы она помогла? Все то-же что и спереди только наоборот). Не думаю что была бы существенная разница с передней. Написал- "Для уточнения диагноза рекомендовано КТ"-а терапевты пусть решают направлять или нет(у нас в больнице нет).
---Написал- "Для уточнения диагноза рекомендовано КТ"-а терапевты пусть решают направлять или нет(у нас в больнице нет).-
А может сделать скопию и убедится есть или нет полости и если, то где.
С таким подходом ещё много шишек набить предстоит…
Неоднозначно всё
На задней можем и не увидеть. Или наоборот - лучше рассмотреть. А если увидим, можно посмотреть ее смещаемость относительно передних и задних отрезков ребер.
Может, стоит попробовать?Или проголосуем?
Верной дорогой идете, товарищ! )) Если ж НЕ увидим, ЕЁ там просто НЕТ.
Неоднозначно всё
Скопия не работает. На счет задней - на будущее учту. Всем спасибо за ответы и советы.
Типичная спиходиагностика: "Прокукарекал, а там, хоть не рассветай".
Андрей Юрьевич
Ну на КТ может ещё что-нибудь найдут. Мне кажется в таких случаях КТ показано. Конечно, можно было бы сделать линейные томограммы, но при современных КТ доза будет не сильно отличаться, а информативность повыше будет.
Обязательно найдут. КТ показана даже в том случае, если жалобы есть, а на рентгене - полная норма. Ну, и что из этого? Те более, что в Вашем ЛПУ КТ нет. Вы же не будете писать заключение: "Рентгенпризнаков патологических изменений не вывлено, рек. КТ". "А там - пусть терапевты решают" (копирайт Ваш).
Андрей Юрьевич
В принципе линейка бы все расставила по своим местам. Или банально попробовать переснять, чтобы исключить суммацию теней.
ЗАД-НЮ-Ю!
Одного Лёгкого.
Неоднозначно всё
Андрей Юрьевич что бы вы порекомендовали бы сделать для уточнения диагноза? Прошу учесть, что скопии нет а линейки не делаем(никто не умеет). Это Киев, где особых проблем с КТ нет.
Петрович - спасибо. В следующих сомнительных случаях так и сделаю.
4. Ну, если "особых проблем с КТ нет", зачем вообще делать рентгенографию ОГК с диагностической целью? Уверен, что такой подход будет преобладать уже в ближайшее время.
1. Убедился бы, что полость действительно есть (аналоговый р-снимок [или их тоже не делают?, см. п.п.2,3], снимки в атипичных проекциях), выставил бы диф. ряд, указал бы необходимость сравнения с предыдущими р-граммами.
Андрей Юрьевич
На счет сравнения с предыдущими - написал. А вон на счет "доснять" у нас большие проблемы. Я сейчас в отделении сам, все в отпусках. С лаборантами, которые в 2 раза меня старше, бороться очень тяжело, противятся моим "доснять". С ними даже заведующая справиться не может, что тогда о мне говорить. Ну ничего, будем пытаться.
Спасибо за советы.
Какой бы диф ряд Вы в данном случае выставили?
Диф. ряд? Обычный для синдрома кольцевидной тени: ...Установив, что процесс внутрилёгочный, т.е. имеется полость в лёгком, необходимо определить её природу. Важным критерием для этого служит толщина стенок полости. Возможны три варианта: тонкие стенки, равномерно толстые стенки и неравномерно толстые стенки. Неравномерно толстые стенки наблюдаются при распаде периферического рака лёгкого. Вследствие некроза опухолевой ткани в раковом узле возникает полость. Она может стать такой большой, что круглая тень опухоли на рентгенограмме превратится в кольцевидную тень. Но некроз происходит неравномерно, и даже при распаде значительной части опухоли на стенках образующейся полости местами остаются опухолевые массы – определяется классическая для распавшейся раковой опухоли картина «перстня с печаткой». Если кольцевидная тень имеет равномерную ширину на всём протяжении – это симптом полости воспалительного происхождения. Наиболее вероятны два процесса: туберкулёзная каверна и абсцесс лёгкого. Полость возникла в результате творожистого распада при туберкулёзе или гнойного расплавления лёгочной ткани при абсцессе. Творожистые массы или гной эвакуируются через бронх. Но в рентгеновском изображении определённые различия между каверной и абсцессом. И главное из них состоит в том, сто при абсцессе в полости обычно находится жидкое содержимое (гной); оно плохо выводится через бронх из-за отёка и инфильтрации слизистой оболочки бронха. При постепенном распаде туберкулёзного инфильтрата творожистые массы отхаркиваются и жидкости в полости, как правило, нет. Поэтому «сухая» полость с равномерно толстыми стенками – это обычно туберкулёзная каверна....
Андрей Юрьевич
Спасибо!
Дайте по мозгам своим лаборантам и сделайте прицел верхней доли справа в задней проекции. Не томите. Мы хотим убедиться, что там действительно есть эта грёбаная полость!
Уже вряд ли, разве что принесут контрольный снимок.
В смысле, предыдущий.
Давайте бронхографийку сбацаем.
Это сколько ж было выпито...
Андрей Юрьевич
Больного выписали. Сказали чтобы принес на рентген первичные снимки. Хотя я сомневаюсь что принесет.
И что-штампик "ФОГК„ в норме поставили?Диагноз имеется?Пару лет назад наши примерно так и поступили-напрочь проигнорировали мои рекомендации дообследовать пациента с округлым образованием+в ООД как-то он ненастойчиво стремился+лечащий врач наплевательски отнесся+семья-лично сама просила их проследить за процессом+сам пациент доктор-в результате:периферический рак,через полгода умер.
И что-штампик "ФОГК" в норме поставили?
Нет конечно! Читайте выше.
Я имею в виду диагноз.
Я написал "дренированная полость..."
клинико-рентгенологическое заключение
Временно отсутствую на сайте...
По-моему, это вообще "тень на плетень"... Я бы на скопии вдох-выдох сделала. То, что никакого тбс там нет - это точно (работаю в туб дисп - насмотрелась) - каверн на фоне неизмененной легочной ткани не бывает, даже таких мелких. Окружающая легочная ткань абсолютно интактна. Полостюшка, конечно же, рисуется, но большой вопрос, есть ли она. Задние снимки очень помогают, не стоит пренебрегать.
На днях сказал лаборантам сделать задний(тоже неоднозначная тень была), так они на меня такими глазами посмотрели, как будто я ничего не понимаю в рентгенологии. Спасибо за совет. Теперь буду пользоваться чаще.
А, терапевты лечили правостороннюю н/д пневмонию. Выписали с выздоровлением.
Не смущайтесь, доктор, косность отдельных лаборантов - дело известное. Они и о снимке по Флейшнеру, наверняка не знают, но это не повод, чтобы этого не делать. Насколько могу судить по снимкам, Вы работаете на цифре?
Андрей Юрьевич
Да, на цифре( РДК+цифровой преобразователь). Есть еще РУМ-20 и Emansis(не помню какой, им практически не пользуемся).
Ежели на цифре, то настоятельно рекомендую освоить линейную томографию. Трудозатраты р-лаборантов при этом минимальны, А Ваш рейтинг может существено повысится. Расчетов срезов бояться не стоит. Вот здесь, коротко по ОГК http://zhuravlev.info/modules.php?op=modload&name=Forum&file=viewtopic&topic=1395&forum=6 Войдете во вкус, перейдете другие органы и ситемы (ППН, ГОП в боковой проекции, тазобедренные и т.д.)
Андрей Юрьевич
Это ж надо, какая долгая дискуссия и с привлечением солидных участников по поводу пустяковины! Печально, однако, практический результат нулевой. Но в области теоретической брезжит надежда: возможно, теперь doktor-rentgen не во всех случаях будет идти на поводу у "дремучих" рентгенолаборантов.
Неоднозначно всё
Не согласен с нулевым результатом. Дискуссия была полезна, а из пустяковин состоит наша работа. Если есть возможность обсудить с коллегами спорный или непонятный случай, то почему нет? Всегда есть место подвигу, т.е. учиться никогда не поздно, тем более друг у друга. Случается, что и более молодой коллега способен научить кой-чему многоопытного, и наоборот.
Даже когда уверен на 100%, непременно подвернется исключение из правил...
Неужели и наоборот случается?))
Неоднозначно всё
Случается, когда имеются не только многие годы опыта, но и уважительное отношение к своим коллегам. А иначе "годы" - лишь число.
Даже когда уверен на 100%, непременно подвернется исключение из правил...
А кроме малополезных нравоучений, что Вы, Rex, можете сказать по данному конкретному случаю? И что по-вашему прояснила в нём дискуссия?
Неоднозначно всё
Что не я один страдаю нравоучениями, а рыбак рыбака
... Повторять про заднюю проекцию без определенных вариантов заключения по данному конкретному случаю более существенно?)) Дискуссия познавательна лично мне в плане того, кто и как оценивает рентгенкартину. Лично я взял бы на скопию, проверил бы не является ли полость игрой теней, а так же тень соска или нет в 4 переднем межреберье справа, сделал бы прицельные снимки под контролем скопии. При подтверждении полости запросил бы в поликлинике предыдущую флюшку. Если по клинике все тип-топ, то написал бы в истории болезни: "Единичная малая полость в таком-то сегменте" и рекомендацию прийти на контроль ко мне же через месяц. Можно сесть?)))))
Даже когда уверен на 100%, непременно подвернется исключение из правил...
А вот мне очень полезно. Опыта мало, учителя не всегда в духе, а Радиомед всегда подспорье!
Здесь учителя тоже не всегда в духе)), но лучше ресурса по рентгену в СНГ нет.