Пол пациента:
Тип патологии:
Область исследования:
Методы исследования:
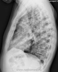
в тер. стационар. 41 год. Хр. алкоголизм, хр.панкреатит. Жалобы на кашель со скудной слизисто-гнойной мокротой, одышку, слабость. Считает себя больным со 2 мая 2011г. Т-38,0С, озноб, кашель. Лечился аугментином 7 дней. Состояние улучшилось. Кровь при поступлении: лейк.8,2*109 /л, Нв-112г/л. Ht-38,4. Т - 36,5С. Снимки №3 представлены. Ваше мнение коллеги о характере процесса в легких. С уважением Nikolas
С уважением Nik
В первую очередь необходимо думать о туберкулезном процессе, о банальной пневмонии - во вторую очередь.
Болезни ног: виды, симптомы, причины, профилактика и лечение
Субъект с таким анамнезом и менталитетом может болеть чем угодно. На туберкулёз ОНО не очень похоже. Предположу аспирационную пневмонию.
Неоднозначно всё
"Ничего себе, сказала я себе"...
На первое место (в наших условиях) поставил-бы, конечно, туберкулёз. Тщательное исследование мокроты на "палку"..., возможно и "гарнир" в виде "грибочков" будет найден. И не факт, что процесс старый...
Конечно, была у нас года два тому диссеминация, в которой никто и не сомневался "на всех уровнях", поставили диссеминированный..., который через 2 месяца на двух антибиотиках излечился, что и следа не осталось...
Ну красавец! Думаю двусторонняя полисегментарная пневмония.
Пока за туберкулез.
Об окончательном диагнозе сообщу. С уважением Nik
менталитетом...хм, а определите,пожалуйста,по снимку цвет волос.глаз ну и пусть будет профессия)))
Временно отсутствую на сайте...
Цвет глаз карий, цвет волос шатен, профессия врач-рентгенолог. Правда аватарка мелковата и темновата….)))
Неоднозначно всё
Не устаю поражаться многоликим проялениям туберкулеза в рентгеновском отображении. Данный случай является подтверждением сказанному. В туберкулезной больнице установлен диагноз: диссеминированный туберкулез легких в фазе инфильтрации и распада, МБТ +. Благодарю коллег за высказанные мнения о возможной природе заболевания Я сомневался, так как, со словам матери больного, пациента год назад из другого терапевтического стационара уже переводили в ПТД. Выписали "с полным рассасыванием пневмонии". С уважением Nik
undefined: undefined »

Спасибо, коллега.
Меня давно мучает вопрос-что это?И почему сопровождает Ваши посты периодически?undefined: undefined »

С уважением.
эта штука прицепилась. Вызову специалиста. Пусть проверит нужно ли это мне. Видимо занес из интернета. Я этими кнопками не пользуюсь. С уважением Nik
Аналогично
. Уникальная подпись)).
https://www.youtube.com/channel/UCBGxoBUOqUT_bFhSeUgtWEw
Ну спасибо!Я-то по своей наивности думала, что так положено, запереживала, что у меня нет.Но теперь все стало понятно!
Уважаемая доктор Helios! Вспомнил, что этот плагин для Мозиллы, я когда-то сам поставил и забыл про него. Быстрый поисковик. Меня интересует, он действительно выскакивает в таком большом объеме у Вас? Или появляются только иконки? Это Вам мешает работать на сайте? Если да, то я попытаюсь отключить его. Жду ответ. С уважением Nikolas
FastestFox - Browse Faster 4.3.7
Уважаемый доктор Nikolas,выскакивают только иконки, но мне абсолютно это не мешает !Обычное женское любопытство!Пусть все будет как есть.С уважением, Елена.