You are here

Гамартохондрома правого лёгкого?

Пол пациента: 
Методы исследования: 

При расшифровке флюорограмм пациент "взят на контроль". Справа на уровне 4 ребра определяется овальной формы тень неоднородной структуры.

ИзображениеИзображение

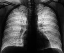
Произведено дообследование - рентгенография в прямой и правой боковой проекциях.

ИзображениеИзображениеИзображение

Изображение

Обращает на себя внимание неоднородность структуры тени с отдельными участками точечного уплотнения. Решено провести линейную томографию в прямой проекции.

Первый срез.

ИзображениеИзображениеИзображение

Второй срез.

ИзображениеИзображениеИзображение

Третий срез.

ИзображениеИзображениеИзображение

С учетом теневых характеристик данного образования предположительно выставлен диагноз "Гамартохондрома".

Ваше мнение коллеги?

В.Б. Серов's picture
Offline
Last seen: 3 days 7 hours ago
Joined: 16.07.2008 - 10:15
Posts: 1375

Гамартома на первой позиции в ряде дифференцировки.

Зри в корень!

Катенёв Валентин Львович's picture
Offline
Last seen: 7 years 2 months ago
Joined: 22.03.2008 - 22:15
Posts: 54876

Спасибо за высказанные мнения.

Катенёв Валентин Львович's picture
Offline
Last seen: 7 years 2 months ago
Joined: 22.03.2008 - 22:15
Posts: 54876

Интересная гамартома.