You are here

Сегодня решил проверить своё здоровье на флюорографии.

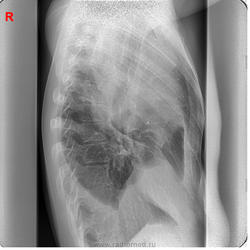
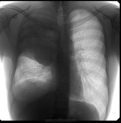
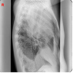
  Мужчина 28 лет. Болен около месяца. В первую неделю заболевания была лихорадка. Практически не лечился. Всё время работал.

  Беспокоит сильный кашель, 2 недели назад с гнойно-кровянистой мокротой, последние дни кашель до рвоты, из-за которого почти не ест и может спать только на правом боку, мокрота скудная, светлая. Похудел, слабость, одышка при небольшой нагрузке.

  Сегодня решил проверить своё здоровье на флюорографии. Предыдущая флюорография 6 лет назад.

Добавляю несколько сильно денатурированных изображений.

 

  • https://radiomed.ru/sites/default/files/styles/case_slider_image/public/user/939/_10671_0-444_poz_9.jpg?itok=HHrb3J-W
  • https://radiomed.ru/sites/default/files/styles/case_slider_image/public/user/939/_10672_1-0-479_9.jpg?itok=dJQgvHxo
  • https://radiomed.ru/sites/default/files/styles/case_slider_image/public/user/939/_10673_0-1766_g1_9.jpg?itok=tM1ES3c8
  • https://radiomed.ru/sites/default/files/styles/case_slider_image/public/user/939/_10671_57-251_g-04_m-2u-7.jpg?itok=4d6qBqsW
  • https://radiomed.ru/sites/default/files/styles/case_slider_image/public/user/939/_10672_61-223_g-1_m-2u_poz-7.jpg?itok=nuDq_Gh5
  • https://radiomed.ru/sites/default/files/styles/case_slider_image/public/user/939/_10672_61-223_g-1_m-2u-7.jpg?itok=_qpvJq8P
  • https://radiomed.ru/sites/default/files/styles/case_slider_image/public/user/939/_10673_786-3504_mfe.sh2_g25_u-9.jpg?itok=k6ZhgSID
  • https://radiomed.ru/sites/default/files/styles/case_slider_image/public/user/939/_10673_2184--3652_mfe.sh2_g1_u-9.jpg?itok=nyp-S0oA
  • https://radiomed.ru/sites/default/files/styles/case_slider_image/public/user/939/_10673_2184--3652_mfe.sh2_g1poz_u-9.jpg?itok=hrneJBWf
ID:54183
Vikkur's picture
Offline
Last seen: 4 years 10 months ago
Joined: 24.09.2009 - 14:34
Posts: 1749

Такое впечптление что либо доля колобирована (напряженный гидроторакс?) либо там что растет, пропунктировать, а там посмотрим. Интересно развитие случая..

Виктор.

Евгений1313's picture
Offline
Last seen: 13 years 3 months ago
Joined: 15.10.2010 - 19:13
Posts: 808

центральный рак, ателектаз верх. доли

Катенёв Валентин Львович's picture
Offline
Last seen: 7 years 3 months ago
Joined: 22.03.2008 - 22:15
Posts: 54876

Евгений1313 wrote:

центральный рак, ателектаз верх. доли

На мой взгляд, центральный рак + параканкрозная пневмония + базальный параканкрозный плеврит.

В наших условиях "линейка" обязательна, так как на фоне общего затемнения визуализируются "фокусные тени".

Kat's picture
Kat
Offline
Last seen: 12 years 9 months ago
Joined: 19.04.2011 - 19:10
Posts: 365

"может спать только на правом боку"-патогномоничный признак полости(-ей). предположу: была пневмония (лихорадка),к-ая абсцедировалась (не лечился).абсцесс прорвался (мокрота,кашель до рвоты), содержимым обтурировался в\д бронх,вследствие чего возникла гиповентиляция верхней доли. Ну и экссудативный плеврит в довесок

Временно отсутствую на сайте...

Петрович's picture
Offline
Last seen: 7 years 5 months ago
Joined: 22.03.2009 - 01:13
Posts: 3908

Kat wrote:
"может спать только на правом боку"-патогномоничный признак полости(-ей). предположу: была пневмония (лихорадка),к-ая абсцедировалась (не лечился).абсцесс прорвался (мокрота,кашель до рвоты), содержимым обтурировался в\д бронх,вследствие чего возникла гиповентиляция верхней доли. Ну и экссудативный плеврит в довесок

Я рассуждал почти также. Только настоящего ателектаза, пожалуй, нет. Написал: "Абсцедирующая пневмония без дренирования абсцесса в настоящее время, с ателектатическим компонентом. Экссудативный плеврит есть и свободный и осумкованный. Линейку сделать можно, но надо сперва пролечить, получить динамику. Для начала в прорыв брошена кавалерия…, ну терапевты, значит.

Неоднозначно всё

Андрей Юрьевич's picture
Offline
Last seen: 1 month 2 weeks ago
Joined: 16.11.2008 - 22:16
Posts: 18101

Поддержу недренированный абсцесс/абсцедирующую пневмонию. Ну, и гидроторакс, конечно.

Андрей Юрьевич

Almo's picture
Offline
Last seen: 3 days 18 hours ago
Joined: 28.09.2008 - 18:50
Posts: 8290

Интересное наблюдение. Поддерживаю 3 последних поста. ИМХО:скиологически, корректно  вести речь, о выраженном выпоте в плевральной полости с осумкованием, частичном  компрессионном ателектазе верхней доли.Субстратом пневмонии, по видимому является округлый инфильтрат в прикорневом отделе ( абсцесс который конечно, недренировался, т.к. в случае дренирования был бы виден уровень жидкости) и  перибронхиальная инфильтрация в нижнем поле.

Гриша Хата's picture
Offline
Last seen: 10 years 3 months ago
Joined: 09.02.2011 - 20:40
Posts: 665

При недренированном абсцессе такого размера у молодого человека была бы лихорадка под 40 и не только в первую неделю заболевания. Как вариант предлагаю рассмотреть саркому правого лёгкого.

Петрович's picture
Offline
Last seen: 7 years 5 months ago
Joined: 22.03.2009 - 01:13
Posts: 3908

Добавил в начало несколько изображений полученных глубокой цифровой обработкой исходных. Кое-что они дают?

Неоднозначно всё

Vikkur's picture
Offline
Last seen: 4 years 10 months ago
Joined: 24.09.2009 - 14:34
Posts: 1749

да после пункци уже картина есее была.

Виктор.

Петрович's picture
Offline
Last seen: 7 years 5 months ago
Joined: 22.03.2009 - 01:13
Posts: 3908

Vikkur wrote:
да после пункци уже картина есее была.

Виктор Владимирович К.

?!?)))

Неоднозначно всё

Ермолаев's picture
Offline
Last seen: 9 years 1 month ago
Joined: 07.02.2009 - 16:33
Posts: 670

Уважаемый Петрович! Пожалуйста, не надо так пугать людей. Сначала прочитал тему "сегодня решил проверить СВОЕ ЗДОРОВЬЕ...!!!" Затем увидел снимки - сразу мысль, как долго Петрович будет отсутствовать на сайте. И только потом прочитал комментарии - стало легче. Осторожнее пожалуйста! По делу думаю, что абсцедирующая пневмония, доля увеличена в объеме, провисает. Клиника то же соответствует.

dok

Петрович's picture
Offline
Last seen: 7 years 5 months ago
Joined: 22.03.2009 - 01:13
Posts: 3908

Уважаемый Владимир Васильевич! Тронут вашим беспокойством обо мне. Не ожидал даже.

Вот клиника всё же напрягает: при таком объеме поражения общее состояние пациента относительно удовлетворительное. Уже и сомневаться стал в своём диагнозе.

Неоднозначно всё

Евгений1313's picture
Offline
Last seen: 13 years 3 months ago
Joined: 15.10.2010 - 19:13
Posts: 808

И всё бы было хорошо...Только на закрытый абсцесс вообще не тянет.Мнения своего не меняю....( а спать можно на любом боку- я лично на левом.Это моя патогномоничная поза.).Да..Здесь гиповентиляция ещё и средней доли.

Kat's picture
Kat
Offline
Last seen: 12 years 9 months ago
Joined: 19.04.2011 - 19:10
Posts: 365

Евгений1313 wrote:
а спать можно на любом боку- я лично на левом.Это моя патогномоничная поза
таким образом определяют с какой стороны,например, бронхоэктазы (те же полости)-3 курс "внутренние болезни"

Временно отсутствую на сайте...

Kat's picture
Kat
Offline
Last seen: 12 years 9 months ago
Joined: 19.04.2011 - 19:10
Posts: 365

Петрович wrote:

Вот клиника всё же напрягает: при таком объеме поражения общее состояние пациента относительно удовлетворительное. Уже и сомневаться стал в своём диагнозе.

 

доб.сн.: на прямом и на боковом - симптом ампутации в\долевого бронха= явление ателектаза в\доли, в которой начался распад (участок просветления на прямом). Центральный...как-то сомнительно, лимфосаркома...и всего 28

Временно отсутствую на сайте...

Петрович's picture
Offline
Last seen: 7 years 5 months ago
Joined: 22.03.2009 - 01:13
Posts: 3908

Не могли бы вы, Kat, срелками или иными указателями обозначить метаморфозы в\долевого бронха, о которых пишите?

Неоднозначно всё

Kat's picture
Kat
Offline
Last seen: 12 years 9 months ago
Joined: 19.04.2011 - 19:10
Posts: 365

четко виден в\д бронх "обрубленный" тенью. есть такое понятие как гипопневматоз-на фоне однородного снижения пневмотизации четко видны бронхи-диф. д-ка с ателектазами (читала у детей), а здесь мы видим только начало в\д бронха 

 

 

мысли об абсцессе и раке в данном случае имеют полное право на существование,  решит все... динамика

P.S. исправилась постом выше

Приложения: 
1_10673_2184--3652_mfe.sh2_g1_u-9.jpg1_10671_57-251_g-04_m-2u-7.jpg

Временно отсутствую на сайте...

Петрович's picture
Offline
Last seen: 7 years 5 months ago
Joined: 22.03.2009 - 01:13
Posts: 3908

Со схемой в передней проекции могу согласиться, но не в боковой. Не должен так располагаться верхнедолевой бронх, тем более если ампутирован. А может быть, его и нет? Мне тут трахеальный бронх почудился…. Как Вам такая схема?

Приложения: 
tb_10671_57-251_g-04_m-2u-7.jpg

Неоднозначно всё

Kat's picture
Kat
Offline
Last seen: 12 years 9 months ago
Joined: 19.04.2011 - 19:10
Posts: 365

Петрович wrote:
Как Вам такая схема?
я тоже смотрела на "это": 1 проекционное наложение воздушного заднего сегмента 2 промелькнула мысль свищевом ходе,но смущает наличие стенки трахеи на участке отхождения "трахеального бронха".Думаю,что ничего там нет

В норме на боковой вдб, и не должен так выглядеть,но мы же имеем дело с патологией. Если это не он,то кто?

Временно отсутствую на сайте...

Петрович's picture
Offline
Last seen: 7 years 5 months ago
Joined: 22.03.2009 - 01:13
Posts: 3908

Но вот стенка трахеи на участке отхождения "трахеального бронха" как раз чётко и не видна, сравните с тем, что выше, ниже и напротив. Я на своей версии не настаиваю. Поскольку в задней проекции такой определённости нет.

Относительно правого верхнедолевого бронха по вашей версии, кроме того, что не похож, могу добавить общее соображение про суммацию с тенеобразованиями левого лёгкого.

Неоднозначно всё

Vikkur's picture
Offline
Last seen: 4 years 10 months ago
Joined: 24.09.2009 - 14:34
Posts: 1749

Петрович wrote:

Vikkur wrote:
да после пункци уже картина есее была.

Виктор Владимирович К.

?!?)))

 бы забыл). а не пунктировали (гной не гной?)

или это незачем, риск обсеменения и т.д.?

Виктор.

Гриша Хата's picture
Offline
Last seen: 10 years 3 months ago
Joined: 09.02.2011 - 20:40
Posts: 665

Требую продолжения банкета!

Петрович's picture
Offline
Last seen: 7 years 5 months ago
Joined: 22.03.2009 - 01:13
Posts: 3908

Надо подождать неделю. В настоящее время пациент недоступен.

Посмотрите пока здесь: ttp://www.radiomed.ru/cases/chto-my-zdes-vidim

Неоднозначно всё

Петрович's picture
Offline
Last seen: 7 years 5 months ago
Joined: 22.03.2009 - 01:13
Posts: 3908

Документ 

Приложения: 
dsc02533-501.jpg

Неоднозначно всё

tatyana's picture
Offline
Last seen: 4 years 4 months ago
Joined: 24.06.2009 - 08:33
Posts: 2090

а результат гистологии?

Петрович, а как Вы умудрились картинку разместить? Уже заработала?

"самоуверенность дилетантов - предмет зависти профессионалов"

Гриша Хата's picture
Offline
Last seen: 10 years 3 months ago
Joined: 09.02.2011 - 20:40
Posts: 665

Спасибо за продолжение. Осталась дождаться окончания.

Петрович's picture
Offline
Last seen: 7 years 5 months ago
Joined: 22.03.2009 - 01:13
Posts: 3908

tatyana wrote:

а результат гистологии?

Петрович, а как Вы умудрились картинку разместить? Уже заработала?

Обычным порядком воткнул. Но я одну и маленькую, а Vikkur с  Катенёвым – вон сколько всего! Им значит можно?)

А результата гистологии пока нет. Подождём.

Неоднозначно всё

tatyana's picture
Offline
Last seen: 4 years 4 months ago
Joined: 24.06.2009 - 08:33
Posts: 2090

Завтра попробую разместить гиперпаратиреоидную до и после

"самоуверенность дилетантов - предмет зависти профессионалов"

Петрович's picture
Offline
Last seen: 7 years 5 months ago
Joined: 22.03.2009 - 01:13
Posts: 3908

Спасибо, ждём)).

А я сейчас попробую)).

Неоднозначно всё

Vikkur's picture
Offline
Last seen: 4 years 10 months ago
Joined: 24.09.2009 - 14:34
Posts: 1749

А снимок после пункции?

Виктор.

Петрович's picture
Offline
Last seen: 7 years 5 months ago
Joined: 22.03.2009 - 01:13
Posts: 3908

Пункция делалась в ГКОД и снимок остался там же. 

Неоднозначно всё

Kat's picture
Kat
Offline
Last seen: 12 years 9 months ago
Joined: 19.04.2011 - 19:10
Posts: 365

Петрович wrote:

Пункция делалась в ГКОД и снимок остался там же. 

Петрович.ну неужели без возможности запроса)))

Временно отсутствую на сайте...

Петрович's picture
Offline
Last seen: 7 years 5 months ago
Joined: 22.03.2009 - 01:13
Posts: 3908

 

Запрос возможен на некотором основании, которым не может быть простое любопытство.

Неоднозначно всё

Nikolas's picture
Offline
Last seen: 2 days 2 hours ago
Joined: 21.12.2010 - 20:37
Posts: 4560

ХОБЛ. В возратсе 28 лет встречается ХОБЛ? Кто знает, укажите источник. С уважением Nik

Popovpavel's picture
Offline
Last seen: 7 years 5 months ago
Joined: 08.06.2009 - 00:23
Posts: 649

Что-то не очень понятно выражение "трепан-биопсия опухоли правого легкого". Трепанбиопсия - это методика биопсии кости и костного мозга. Или ее делали при бронхоскопии? Тогда какова сама бронхоскопическая картина?

Петрович's picture
Offline
Last seen: 7 years 5 months ago
Joined: 22.03.2009 - 01:13
Posts: 3908

 

А почему бы нет, если проводится трепан-биопсия опухолей молочной железы и предстательной железы?

Пациент акивный курильщик, если к 28 годам "вырастил" рак явно не ниже III ст., ХОБЛ хотя бы теоретически возможен. Хотя на наших снимках по-моему его не видно.

Неоднозначно всё

Almo's picture
Offline
Last seen: 3 days 18 hours ago
Joined: 28.09.2008 - 18:50
Posts: 8290

Петрович, случай очень интересный, хотелось бы по возможности, получить все данные по этому нему ( верификацию). Можно надеяться, что что-то ещё будет?

Петрович's picture
Offline
Last seen: 7 years 5 months ago
Joined: 22.03.2009 - 01:13
Posts: 3908

Да, можно. Надеюсь до конца июня прояснится.

Неоднозначно всё

Almo's picture
Offline
Last seen: 3 days 18 hours ago
Joined: 28.09.2008 - 18:50
Posts: 8290

 Я ещё не понял из представленной выписки из онкодиспансера :

1. как понимать аббревиатуру : " осложнение : СВПВ"?

2. " 6 торакальное отделение"- понимать, что в дипансере 6 торакальных отделений? ( или торакльное отделение 6 по номеру ).

Петрович's picture
Offline
Last seen: 7 years 5 months ago
Joined: 22.03.2009 - 01:13
Posts: 3908

1. Синдром верхней полой вены (СВПВ) - неотложное состояние, связанное с нарушением кровообращения в бассейне верхней полой вены, которое осложняет течение многих заболеваний, связанных с поражением средостения. В последнее время увеличение частоты данного состояния связано с ростом заболеваемости раком легкого, который является основной причиной СВПВ.

2. http://www.oncology.spb.ru/otdeleniya/onkotorakalnoe/

Неоднозначно всё

Almo's picture
Offline
Last seen: 3 days 18 hours ago
Joined: 28.09.2008 - 18:50
Posts: 8290

Cпасибо.

Nikolas's picture
Offline
Last seen: 2 days 2 hours ago
Joined: 21.12.2010 - 20:37
Posts: 4560

морфологической верификации диагноза Ваше клиническое наблюдение коллега Петрович достойно публикации в  журнале в разделе  "Случай из практики". Жду электронную версию опубликованной работы! С уважением Nikolas

Петрович's picture
Offline
Last seen: 7 years 5 months ago
Joined: 22.03.2009 - 01:13
Posts: 3908

Нет-нет. Я в эти игры не играю.

Неоднозначно всё

Петрович's picture
Offline
Last seen: 7 years 5 months ago
Joined: 22.03.2009 - 01:13
Posts: 3908

 

 

По моим сведениям, основанным на непроверенных слухах (пока невозможно), пациент, пройдясь по разным учреждениям в поисках менее затратного варианта лечения и, может быть, более утешительного диагноза, вновь госпитализирован в ГОД. Вроде бы пока остаётся два возможных варианта патологии. Рак лёгкого и злокачественная лимфома.

Неоднозначно всё

Almo's picture
Offline
Last seen: 3 days 18 hours ago
Joined: 28.09.2008 - 18:50
Posts: 8290

Cпасибо, за информацию! Можно ли надеяться, на получение данных о верификации случая?

Петрович's picture
Offline
Last seen: 7 years 5 months ago
Joined: 22.03.2009 - 01:13
Posts: 3908

Сечас в отпуске. Далее буду иметь его в виду. Самому интересно.

Неоднозначно всё

Almo's picture
Offline
Last seen: 3 days 18 hours ago
Joined: 28.09.2008 - 18:50
Posts: 8290

Ясно, буду ждать верификации.

Гриша Хата's picture
Offline
Last seen: 10 years 3 months ago
Joined: 09.02.2011 - 20:40
Posts: 665

Голосую за саркому. Для рака он молод ещё.

Петрович's picture
Offline
Last seen: 7 years 5 months ago
Joined: 22.03.2009 - 01:13
Posts: 3908

 

В ДОПОЛНЕНИЕ К ВЫШЕПРИВЕДЁННОМУ ДОКУМЕНТУ

Выписной эпикриз

Больной . . . . 28 лет находился в торакальном отд. ГКОД с 25.07 по 29.07.2011г.

Диагноз: Опухоль периферического бронха  правого лёгкого с метастазами в л/у средостения, подмышечные л/у  (гистол. №… от 15.06.2011 недифференцированная злокачественная опухоль: Са? Лимфома?

ИГХ №… от 22.06.2011 имунофенотип соответстует низкодифференцированной нейроэндокринной опухоли. Нельзя чётко отдифференцировать между атипичным карциноидом мелкоклеточным Са)

Осложнение: СВПВ, ДН 2-3ст., лимфостаз правой в/конечности

Сопутствующий диагноз: ХОБЛ, хронический бронхит.

 

HHsAg, RW, Ф-50  – отриц (от 08.06.2011) anti-HCVположительный

Рентгенография ОГК от 27.06.2011 Тотальное затенение правой плевральной полости за счёт образования.

УЗИ правой плевральной полости от 27.06.2011 Данных за гидроторакс справа нет.

Общий ан. крови  26.06.2011 Эр. 3,79х1012/л Лей. 16,5х109/л  НВ 111г/л

 

С 26.06.2011 по С 28.06.2011 получил 2-й курс лечебной х/т по схеме Платикад 100 мг/м2  Этапозид 100 мг/м2 

 

В НАСТОЯЩЕЕ ВРЕМЯ ПРОХОДИТ УЖЕ 3-Й КУРС ЛЕЧЕБНОЙ Х/ТЕРАПИИ.

Неоднозначно всё