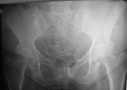
Пожилая женщина 78 лет, пришла на обследование ТБ суставов. Меня заинтересовало помимо артроза дополнительная тень в проекции мочевого пузыря. Может ли так выглядеть камень?
Глядя на этот снимок, хочется уточнить у Вячеслава Валерьевича: "Этой пациентке тоже надо **провести КТ костей таза, с последующим прицельным анализом левой подвздошной кости**?"
http://www.radiomed.ru/cases/proshu-razreshit-nash-spor
Господа, а почему бы и нет? к сожалению, скорость и-нета сегодня не позволяет открывать подряд несколько страниц, но было обсуждение в наблюдении Людмилы Григорьевны, где Валентин Львович выложил дополнительное наблюдение каменюки подобной "консистенции".. Не стал бы придираться к "проблемным" теням со стороны калловых масс в данной проекции. На конкретно заданный вопрос автора ответил бы "да, может". Рекомендовал бы однозначно внутривенку. Анамнез (операции) был бы полезен..
На конкретно заданный вопрос автора ответил бы "да, может". Рекомендовал бы однозначно внутривенку
1. Однозначно - нет!
2. Не стоит - перевод средств, времени, нервов и здоровья.
3. ТАКАЯ тень никогда не может быть камнем мочевого.
4. Согласен с Петровичем по поводу лампы в негатоскопе...хотя....не исключаю и неверную центрацию трубки )))))
А я бы однозначно рекомендовал Клизму. Пациенту перед контрольной рентгенограммой. И ещё кое-кому, чтобы думали о людях и технике с заботой и ответственностью. И вообще думать полезно. Перед тем как давать рекомендации, например. А лампу в негатоскопе заменить давно пора. Если же центрация трубки НАСТОЛЬКО неверная, обойтись лишь клизмою никак невозможно!
На конкретно заданный вопрос автора ответил бы "да, может". Рекомендовал бы однозначно внутривенку
1. Однозначно - нет!
2. Не стоит - перевод средств, времени, нервов и здоровья.
3. ТАКАЯ тень никогда не может быть камнем мочевого.
4. Согласен с Петровичем по поводу лампы в негатоскопе...хотя....не исключаю и неверную центрацию трубки )))))
А я бы однозначно рекомендовал Клизму. Пациенту перед контрольной рентгенограммой. И ещё кое-кому, чтобы думали о людях и технике с заботой и ответственностью. И вообще думать полезно. Перед тем как давать рекомендации, например. А лампу в негатоскопе заменить давно пора. Если же центрация трубки НАСТОЛЬКО неверная, обойтись лишь клизмою никак невозможно!
+1
Надо заметить, что, по большому счёту, почти всегда "предисследовательская подготовка" пациентов желает быть более качественной.
На фоне каловых масс очень проблемно "ковырять скиалогию".
Вечером — Стул. Утром — про Камень.
Неоднозначно всё
Глядя на этот снимок, хочется уточнить у Вячеслава Валерьевича: "Этой пациентке тоже надо **провести КТ костей таза, с последующим прицельным анализом левой подвздошной кости**?" http://www.radiomed.ru/cases/proshu-razreshit-nash-spor
Андрей Юрьевич
Но от нас Слева)).
Неоднозначно всё
Господа, а почему бы и нет? к сожалению, скорость и-нета сегодня не позволяет открывать подряд несколько страниц, но было обсуждение в наблюдении Людмилы Григорьевны, где Валентин Львович выложил дополнительное наблюдение каменюки подобной "консистенции".. Не стал бы придираться к "проблемным" теням со стороны калловых масс в данной проекции. На конкретно заданный вопрос автора ответил бы "да, может". Рекомендовал бы однозначно внутривенку. Анамнез (операции) был бы полезен..
...
Прошу прощения, открыл тот случай, там не совсем "консистениция каменюки", нежели множественные образования... Но остаюсь при своем мнении
...
Валентин Львович, жду пояснения в случае http://www.radiomed.ru/cases/kakie-budut-mneniya-uvazhaemye-kollegi-0
...
1. Однозначно - нет!
2. Не стоит - перевод средств, времени, нервов и здоровья.
3. ТАКАЯ тень никогда не может быть камнем мочевого.
4. Согласен с Петровичем по поводу лампы в негатоскопе...хотя....не исключаю и неверную центрацию трубки )))))
Болезни ног: виды, симптомы, причины, профилактика и лечение
А я бы однозначно рекомендовал Клизму. Пациенту перед контрольной рентгенограммой. И ещё кое-кому, чтобы думали о людях и технике с заботой и ответственностью. И вообще думать полезно. Перед тем как давать рекомендации, например. А лампу в негатоскопе заменить давно пора. Если же центрация трубки НАСТОЛЬКО неверная, обойтись лишь клизмою никак невозможно!
Неоднозначно всё
+1
Надо заметить, что, по большому счёту, почти всегда "предисследовательская подготовка" пациентов желает быть более качественной.
может,если он каловый
P.S. В вопросе же не прозвучало камень чего)))
Временно отсутствую на сайте...