КСС. Фиброматоз поверхностный. +

Фиброматоз поверхностный.

 

Поверхностный фиброматоз (ладонный, подошвенный и пеннсный) составляет сборную группу (типа Дюпюитрена) промежуточных по своему биологическому потенциалу новообразований. Очаги фиброзной ткани характеризуются наличием пучков из зрелых фибробластов и клеток типа миофибробластов, а также многочисленных коллагеновых волокон. В конечной стадии они имеют строение сухожилия. Болеют дети и взрослые лица обоего пола. Имеется склонность к рецидиву. Для первых двух форм возможно параллельное развитие, а также постепенный и спонтанный регресс. Ладонный фиброматоз (син.: пальмарный фиброматоз, контрактура Дюпюитрена) возникает в локтевой части ладонного апоневроза в виде многоочагового, одно-ил и двустороннего уплотнения, затем складчатости и втягивания кожи нал этой частью фасции, а потом сгибательной контрактуры IV и V пальцев кисти. Подошвенный фиброматоз (син.: плантарный фиброматоз, контрактура Леддерхозе) сходен с предыдущей формой, однако контрактура и, особенно, двусторонние поражения здесь редки. В тяжелых случаях развивается полая стопа или косолапость. Пенисный фиброматоз (син.: болезнь Пейрони, болезнь Ван-Бурена, induratio penis plastica de la Peyronie, morbus van Bureni) выражается в уплотнении белочной оболочки и перегородки, обычно, с тыльно-боковой поверхности полового члена. Уплотнение не связано с пещеристыми телами, но может вызывать искривление пениса и сужение уретры. 

Катенёв Валентин Львович's picture
Offline
Last seen: 7 years 6 months ago
Joined: 22.03.2008 - 22:15
Posts: 54876

Пальмарный фиброматоз.

Приложения: 
1.p.slayd10.jpg2.p.slayd11.jpg3.p.slayd12.jpg4.p.slayd13.jpg5.p.slayd14.jpg6.p.slayd15.jpg7.p.slayd16.jpg
Катенёв Валентин Львович's picture
Offline
Last seen: 7 years 6 months ago
Joined: 22.03.2008 - 22:15
Posts: 54876

Подошвенный фиброматоз.

 

Приложения: 
1.p.slayd17.jpg2.p.slayd18.jpg3.p.slayd19.jpg4.p.slayd20.jpg5.p.slayd21.jpg
Катенёв Валентин Львович's picture
Offline
Last seen: 7 years 6 months ago
Joined: 22.03.2008 - 22:15
Posts: 54876

Фиброматоз

Приложения: 
1.fff_.slayd114.jpg2.fff_.slayd115.jpg3.fff_.slayd116.jpg
Катенёв Валентин Львович's picture
Offline
Last seen: 7 years 6 months ago
Joined: 22.03.2008 - 22:15
Posts: 54876

Поверхностный фиброматоз.

 

Приложения: 
1.podoshvennye_fibromatoz.gif2.podoshvennye_fibromatoz.gif
Катенёв Валентин Львович's picture
Offline
Last seen: 7 years 6 months ago
Joined: 22.03.2008 - 22:15
Posts: 54876

 

Пальмарный фиброматоз имеет вид инфильтрирующего и узловатого образования, исходящего из ладонного апоневроза и приводящего к контрактуре IV, V и, реже, других пальцев кисти. Может сочетаться с плантарным фнброматозом и болезнью Пейронье. Выделяют 3 стадии болезни пролиферативную, характеризующуюся беспорядочной пролиферацией фибробластов с образованием мягких богатых клетками множественных узелков с небольшим количеством коллагеновых волокон и скоплением аморфного межуточного вещества, инволютивную, отличающуюся упорядоченным расположением фибробластов, уменьшением числа клеток, нарастанием массы коллагена, началом сморщивания, резидуальную, при которой образуются плотные тяжи, напоминающие сухожилия. Отмечаются рецидивы после операций, метастазов не описано.

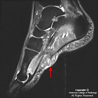
Плантарный фиброматоз (синдром Леддерхозе, описан им в 1897 г) в отличие от пальмарного фиброматоза редко сопровождается сгибательиой контрактурой. Поражает обычно медиальный отдел подошвы стопы (плантарный апоневроз) и имеет вид узелков, с течением времени достигающих 4—5 см в поперечнике. Узлы обычно плотные, множественные, связаны с фасциальными образованиями. Микроскопически новообразованная ткань богата фибробластоподобиыми клетками. 

Катенёв Валентин Львович's picture
Offline
Last seen: 7 years 6 months ago
Joined: 22.03.2008 - 22:15
Posts: 54876

Подошвенный фиброматоз

http://radiographics.rsna.org/content/20/2/333.full

Катенёв Валентин Львович's picture
Offline
Last seen: 7 years 6 months ago
Joined: 22.03.2008 - 22:15
Posts: 54876
ShowAnnotatedImage+%285%29.jpg


1ShowAnnotatedImage.jpg



 

 
ShowAnnotatedImage+%281%29.jpg

 

 

ShowAnnotatedImage+%283%29.jpg

ShowAnnotatedImage+%284%29.jpg
 
ShowAnnotatedImage+%285%29.jpg

Плантарный фиброматоз