You are here

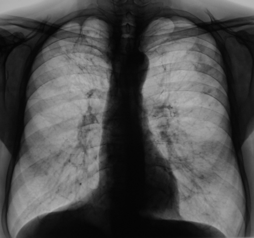
Инфильтративный туберкулёз левого лёгкого в фазе распада.

Пол пациента: 
Тип патологии: 
Методы исследования: 

4 месяца тому пациент "взят на контроль". Произведено дообследование пациента - рентгенография, линейная томография в прямой проекции. Был заподозрен инфильтративный туберкулёз левого лёгкого в фазе распада. Пациент был направлен в противотуберкулёзный диспансер, диагноз был подтвержден. Было проведено "специфическое лечение".

Пациент направлен на рентгенологические исследование с целью динамики.

ИзображениеИзображениеИзображение

ИзображениеИзображениеИзображение

ИзображениеИзображениеИзображение

ИзображениеИзображение

Ваше мнение коллеги?