You are here

Ваше мнение коллеги?

Пол пациента: 
Методы исследования: 

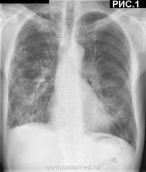
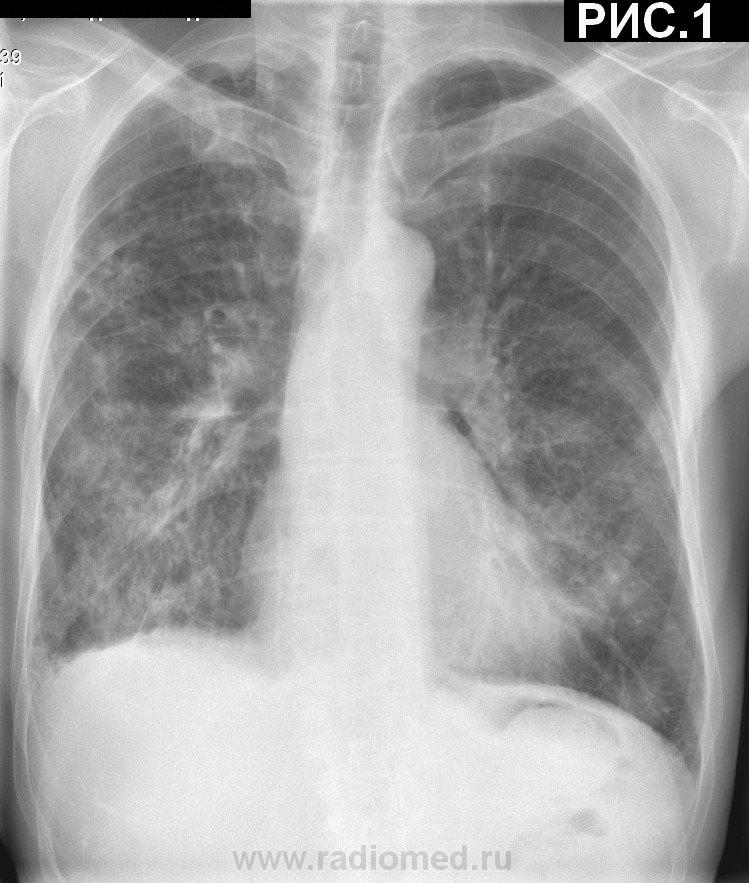
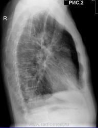
Пациент 74 г. Поступил с диагнозом ИБС: мерцательная аритмия...Инженер. Профанамнеза нет. Туберкулезом не болел. Неднократно последние 10 лет обследовался в ПТД. МБТ (-). Жалобы на одышку при физической нагрузке. Кашль, мокрота отсутствуют. Температура тела нормальная. Кровь: лейк.7,6*109/л, Эр.3,9, Нв-131г/л, НСТ-38%, Тромб.213, п-я.2%, сег.52%, лим.35%, м.8%. СОЭ-40 мм/ч. Рентгенограммы  грудной клетки (рис.1, рис.2) от 30.5.11. КТ  грудной клетки от 23.10.2010 г. см. ниже в комментариях. С уважением Nikolas

  • https://radiomed.ru/sites/default/files/styles/case_slider_image/public/user/7898/risunok__2.jpg?itok=KIh__ptg
ID:24893
Nikolas's picture
Offline
Last seen: 1 month 3 weeks ago
Joined: 21.12.2010 - 20:37
Posts: 4559

не загружается. Петрович прав. Nikolas

Петрович's picture
Offline
Last seen: 7 years 2 months ago
Joined: 22.03.2009 - 01:13
Posts: 3908

Пока без КТ.

К метатуберкулёзным изменениям отнёс бы плевроапикальные наложения. Возможно, в верхушках есть и мелкие очаги, но разрешение репродукций… не очень.

Всё остальное – признаки хронического неспецифического. Бронхоэктазы в базальных сегментах весьма вероятны, особенно справа, но опять же, недостаточно видна структура лёгочного рисунка. Это фон. На этом фоне в верхней доле правого легкого, по-видимому, есть пневмония, и в нижней не исключается. Сердце не лёгочное. Плевродиафрагмальные спайки справа.

Вроде бы угадывается какая-то диссеминация, но для такого заключения нужны полноценные изображения.

Неоднозначно всё

10dent I.A.'s picture
Offline
Last seen: 11 years 3 months ago
Joined: 25.04.2011 - 15:53
Posts: 47

- консультация фтизиатра, посев.

- мерцательная аритмия. А принимает ли пациент амиодарон? и как следствие альвеолит и пневмофиброз.

...я мало видел, еще меньше знаю...

Nikolas's picture
Offline
Last seen: 1 month 3 weeks ago
Joined: 21.12.2010 - 20:37
Posts: 4559

Точно. В 2008 г.  больному, в связи с длительным приемом кордарона, изменениями в легких (архива нет), такой предположительный диагноз выставлялся. Туберкулез был исключен. Коллег, которые видели патологию легких, обусловленную амиодароном, прошу высказать свое мнение.В своей практикике не встречал. Мысль доктора 10dent I.A. хорошая. Со слов больного, он "устал за 10 лет сдавать мокроту на палочки ". С уважением Nikolas

stovbav's picture
Offline
Last seen: 2 years 2 months ago
Joined: 20.12.2009 - 17:28
Posts: 7066

А ведь так оно и может быть....

"Первое описание токсической пневмопатии, обу­словленной приемом амиодарона, принадлежит H. Rotmenschи соавт. (1980). Они наблюдали 50-летнего пациента, у которого развился симптомокомплекс в виде прогрессирующей одышки, выраженной гипоксемии, рентгенологической картины много­фокусной инфильтрации легочной ткани и рестриктивных венти­ляционных нарушений. На сегодняшний день накоплен значи­тельный опыт диагностики и лечения этой своеобразной формы лекарственного поражения легких.

Поражение легких при использовании амиодарона имеет несколько названий: «амиодароновое» легкое, «кордароновая» пневмопатия, фосфолипидоз легких, Последнее название патогенетически оправдано, поскольку механизм поражения легких обусловлен способностью метаболитов амиодарона связывать липиды лизосом альвеолярных макрофагов, вызы­вать нарушение катаболизма фосфолипидов, которые откла­дываются в виде пластинчатых телец в альвеолах, приводя к замедлению диффузии газов через альвеолярную мембра­ну Исследования последних лет доказывают возможность развития фиброза при «амиодароновом» легком. При прове­дении бронхоальвеолярного лаважа можно обнаружить ха­рактерные «пенистые» макрофаги, появляющиеся в ответ на фосфолипидную активность кордарона. Имеются сообщения о том, что подобные изменения выявляются в лимфатических узлах, печени, селезенке, иногда в нейтрофилах перифериче­ской крови,

   В настоящее время выделяют два ведущих варианта течения «амиодаронового» легкого. В 70% имеет место подострое или хроническое развитие симптомов с появлением непродуктивно­го кашля, похудания, редко бывает лихорадка. При рентгено­графии органов грудной клетки определяется двусторонняя мелкоочаговая диссеминация.

Второй вариант характеризуется более острым началом с ли­хорадкой и симптомами интоксикации. Рентгенологически оп­ределяются очагово-сливные затемнения легочной ткани, как правило, по периферии легких. Именно данному варианту соот­ветствует течение болезни у нашего пациента.

 Клинические симптомы обычно возникают через 1—2 мес. по­сле начала терапии амиодароном.

КЛИНИЧЕСКИЕ ПРИЗНАКИ «АМИОДАРОНОВОГО» ЛЕГКОГО  (R.DUSMANИ СОАВТ., 1990)

·                    Появление отсутствовавших до этого одышки, непродуктивного кашля, плевральных болей и др,

·                    Появление диффузных интерстициальных и/или паренхиматозных изменений в легких при рентгенографии органов грудной клетки

·                    Снижение диффузионной способности легких для СО на 20% и более по сравнению с исходным уровнем

·                    Патологическое включение в ткань легких радиоизотопа «Go

·                    Морфологические изменения, обнаруживаемые при гистологическом изучении биоптатов легочной ткани в виде «неспецифического» альвеолита

·                    Обратное развитие клинико-рентгенологических проявлений поражения легких после отмены (уменьшения дозы) амиодарона и назначения глюкокортикостероидов

·                    Исключение застойной сердечной недостаточности с развитием интерстициального отека легких, поражения легких при диффузных заболеваниях соединительной ткани, инфекционных заболеваниях, метастатического поражения, тромбоэмболии мелких ветвей легочной артерии.

При развитии «амиодаронового» легкого необходимо отме­нить препарат. Поражение легких исчезает через 1—2 мес. При выраженном поражении легочной ткани назначают глю-кокортикостероиды, Для профилактики побочных эффектов кордарона его сочетают с небольшими дозами глюкокортико­стероидов."

Петрович's picture
Offline
Last seen: 7 years 2 months ago
Joined: 22.03.2009 - 01:13
Posts: 3908

 

Наиболее интересное, что удалось найти по этой теме, изображений, увы, не нашлось.

КЛИНИЧЕСКИЕ ПРИЗНАКИ «АМИОДАРОНОВОГО»  ЛЕГКОГО  (R.DUSMAN И СОАВТ., 1990)

  • Появление отсутствовавших до этого одышки, непродуктивного кашля, плевральных болей и др.,
  • Появление диффузных интерстициальных и/или паренхиматозных изменений в легких при рентгенографии органов грудной клетки
  • Снижение диффузионной способности легких для СО на 20% и более по сравнению с исходным уровнем
  • Патологическое включение в ткань легких радиоизотопа Go
  • Морфологические изменения, обнаруживаемые при гистологическом изучении биоптатов легочной ткани в виде «неспецифического» альвеолита
  • Обратное развитие клинико-рентгенологических проявлений поражения легких после отмены (уменьшения дозы) амиодарона и назначения глюкокортикостероидов
  • Исключение застойной сердечной недостаточности с развитием интерстициального отека легких, поражения легких при диффузных заболеваниях соединительной ткани, инфекционных заболеваниях, метастатического поражения, тромбоэмболии мелких ветвей легочной артерии.

При развитии «амиодаронового»  легкого  необходимо отме­нить препарат. Поражение легких исчезает через 1—2 мес. При выраженном поражении легочной ткани назначают глюкокортикостероиды, Для профилактики побочных эффектов кордарона его сочетают с небольшими дозами глюкокортико­стероидов.

Наряду с «амиодароновым» легким , пора­жение щитовидной железы является серьезным и прогностиче­ски значимым побочным эффектом данного препарата.

В настоящее время выделяют два ведущих варианта течения «амиодаронового»  легкого. В 70% имеет место подострое или хроническое развитие симптомов с появлением непродуктивно­го кашля, похудания, редко бывает лихорадка. При рентгенографии органов грудной клетки определяется двусторонняя мелкоочаговая диссеминация.

Второй вариант характеризуется более острым началом с лихорадкой и симптомами интоксикации. Рентгенологически определяются очагово-сливные затемнения легочной ткани, как правило, по периферии легких.

Описание синдрома базируется на единичных случаях. Так что, если пациент в свои последние «проблемные» 10 лет принимает амиодарон, коллега Nikolas может внести свою лепту... 

Неоднозначно всё

Nikolas's picture
Offline
Last seen: 1 month 3 weeks ago
Joined: 21.12.2010 - 20:37
Posts: 4559

Спасибо друзья за участие и присланную информацию! КТ от 23.10.2010 больной принес по запросу. Это все сканы, что были на пленке. Жду с нетерпением Ваших размышлений о характере изменений в легких и возможном диагнозе. С уважением Nikolas

PS. В анамнезе нет указаний на табакокурение

Приложения: 
dsc02032.jpgdsc02033.jpgdsc02034.jpgdsc02035.jpgdsc02036.jpgdsc02037.jpgdsc02038.jpgdsc02039.jpgdsc02040.jpgdsc02041.jpg
stovbav's picture
Offline
Last seen: 2 years 2 months ago
Joined: 20.12.2009 - 17:28
Posts: 7066

Один из аргентинских источников...нужная информация, в основном. в конце текста...по ходу есть ну очень схожин картинки ))))

http://hpc.org.ar/pages/vdato.asp?id=445

Катенёв Валентин Львович's picture
Offline
Last seen: 7 years 2 weeks ago
Joined: 22.03.2008 - 22:15
Posts: 54876

Ampliar imagen
Figura 1. Radiografía de Tórax. Muestra un patrón intersticio-alveolar difuso bilateral a predominio derecho.

Ante la persistencia de los infiltrados luego de abundante balance acuoso negativo, y ante la nueva aparición de disnea rápidamente progresiva, se solicitó eritrosedimentación (114 mm en la 1° hora), proteína C reactiva (57,6 mg/dl) y factor reumatoideo que fue negativo. Se solicitó también tomografía computada
(TAC) de tórax con cortes de alta resolución (fig. 2).
Ante la sospecha de BOOP ( neumonía organizada con bronquiolitis obliterante), se realizó biopsia pulmonar por toracoscopía (fig. 3-5).
Con el diagnóstico de BOOP ( neumonía organizada con bronquiolitis obliterante), inició tratamiento con corticosteroides (prednisona 60 mg/ día).
Evolucionó favorablemente, tanto clínica como gasométricamente.

Ampliar imagen
Figura 2. TC de alta resolución. Cortes axiales con ventana para parénquima pulmonar. Se visualizan opacidades en vidrio esmerilado y áreas parcheadas de consolidación alveolar bilaterales a predominio derecho. Además se visualizan dilatación de los bronquios subsegmentarios.

Катенёв Валентин Львович's picture
Offline
Last seen: 7 years 2 weeks ago
Joined: 22.03.2008 - 22:15
Posts: 54876

Изображения "амиодароновых лёгких" постараюсь найти, встречал в "буржуинских источниках".

Андрей Юрьевич's picture
Offline
Last seen: 3 days 17 hours ago
Joined: 16.11.2008 - 22:16
Posts: 18098

Добрый день, коллега  Nikolas. А каков результат этого наблюдения  http://www.radiomed.ru/cases/ogk-postav-diagnoz-3 ?

Андрей Юрьевич

Popovpavel's picture
Offline
Last seen: 7 years 2 months ago
Joined: 08.06.2009 - 00:23
Posts: 649

"Амиодароновое легкое" - это интерстициальный пневмонит, протекающий аналогично ИФА или его вариантам (неспецифическая интерстициальная пневмония, организующаяся пневмония, десквамативная пневмония и т.п.)

Здесь же просто бронхоэктазы, пневмофиброз, вторичный инфекционный бронхиолит.

Nikolas's picture
Offline
Last seen: 1 month 3 weeks ago
Joined: 21.12.2010 - 20:37
Posts: 4559

Popovpavel wrote:

Здесь же просто бронхоэктазы, пневмофиброз, вторичный инфекционный бронхиолит.

которая привела к этим изменениям. Вот, что меня интересует. До 60 лет  пациент был, по его мнению, здоров. Врачебная мысль  в поисках, "откуда это". В одной из клиник связали эти изменения с длительным приемом кордарона. О чем я и написал. Не пил, не курил, вел здоровый образ жизни и вдруг бронхоэктазы и т.д. на старости лет. Поэтому и вынес данное наблюдение Вам на обсуждение. С уважением Nik

ЛГ's picture
Offline
Last seen: 8 years 10 months ago
Joined: 06.01.2010 - 12:31
Posts: 3523

И так, и эдак крутила КТшки, но остается согласиться с Павлом, это остаточные дела. Еще раз посмотрела статью доктора Марио о ДИЗЛ, ничего острого не получается выжать из срезов КТ. А пациент вполне мог перенести амиодароновый альвеолит,сейчас - только последствия. Клиника укладывается в ИБС с мерцалкой. У Вас нет предыдущего ФЛГ-архива?

Nikolas's picture
Offline
Last seen: 1 month 3 weeks ago
Joined: 21.12.2010 - 20:37
Posts: 4559

этого наблюдения http://www.radiomed.ru/cases/ogk-postav-diagnoz-3 ? Уважаемый Андрей Юрьевич! Нахожусь в постоянном желании выставить ответ. Но вот, что удивительно.На сайте зарегистрировано огромное число врачей, а я не могу , по условию игры, набрать 10 ответов. Проблема системная, которая мне не очень понятна. То же самое происходит на соседнем сайте у доктора Марио, о чем он писал. Активно участвуют в обсуждениях 10- 17 чел. Если до 20 часов не будет 10-й, то дам ответ. Как Вы считаете Андрей Юрьевич, что это за явление, почему участники пассивны? Почему часть грамотных врачей, бурно начав свою деятельность, вскоре исчезли с экранов наших? Вопрос не только к Вам. Вопрос ко всем постоянным  участникам сайта. Желаю всем хорошего настроения и активной деятельности на сайте RADIOMED.RU.   С уважением Nikolas

stovbav's picture
Offline
Last seen: 2 years 2 months ago
Joined: 20.12.2009 - 17:28
Posts: 7066

Nikolas wrote:

Вопрос ко всем постоянным  участникам сайта. Желаю всем хорошего настроения и активной деятельности на сайте RADIOMED.RU.  

Вопрос закономерен. Но ответ на поверхности - постоянное участие в работе сайта (этого или иного) есть постоянный, каждодневный труд, требующий максимальной самоотдачи. Осилить это - значит отказаться от многих иных благ, обязанностей и прочего. Далеко не каждый согласен идти на такие жертвы. Потому то всплески при появлении сменяются  - либо спорадическими появлениями и участием, либо вообще - молчаливым созерцанием происходящего. Не следует забывать и о множестве социальных факторов.

С уважением.

Виктор Стовба.

Андрей Юрьевич's picture
Offline
Last seen: 3 days 17 hours ago
Joined: 16.11.2008 - 22:16
Posts: 18098

Солидарен с Виктором Стовбой.

Андрей Юрьевич

Петрович's picture
Offline
Last seen: 7 years 2 months ago
Joined: 22.03.2009 - 01:13
Posts: 3908

stovbav wrote:
Nikolas wrote:
Но вот, что удивительно.На сайте зарегистрировано огромное число врачей, а я не могу , по условию игры, набрать 10 ответов. Проблема системная, которая мне не очень понятна. То же самое происходит на соседнем сайте у доктора Марио, о чем он писал. Активно участвуют в обсуждениях 10- 17 чел…. Как Вы считаете Андрей Юрьевич, что это за явление, почему участники пассивны? Вопрос ко всем постоянным  участникам сайта. 

Вопрос закономерен. Но ответ на поверхности - постоянное участие в работе сайта (этого или иного) есть постоянный, каждодневный труд, требующий максимальной самоотдачи. Осилить это - значит отказаться от многих иных благ, обязанностей и прочего. Далеко не каждый согласен идти на такие жертвы. Потому то всплески при появлении сменяются  - либо спорадическими появлениями и участием, либо вообще - молчаливым созерцанием происходящего. Не следует забывать и о множестве социальных факторов.

С уважением.

Виктор Стовба.

 Я бы ещё добавил: труд сей не оплачивается ничем кроме морального удовлетворения от общения с умными, опытными, знающими коллегами и возможности обогатить или исправить свои представления, вступая в прямой диалог с ними. Ещё более «эфемерное» удовольствие может быть от пользы, которую ты сам способен принести другим.

Всего этого «молчаливому большинству» НЕ надо. ОНО посматривает выставленные материалы, доступные и без регистации, иногда одобрительно кивает…, а вот сейчас, чувствую, неодобрительно покачивает рогами)). Если «молчаливое большинство» вдруг не согласно, пусть скажет что-нибудь САМО))

Неоднозначно всё

Kuzmitch's picture
Offline
Last seen: 12 years 7 months ago
Joined: 01.10.2010 - 18:20
Posts: 171

В средних и нижних отделах обоих лёгочных полей (больше справа) лёгочный рисунок усилен и деформирован по сетчатому типу, справа на этом фоне не исключается наличие инфильтрации нижней доли (ну или снижение прозрачности, возникает большое желание написать по типу "матового стекла) Плотные линейные тени пневмофиброза. Плеврофиброзные изменения.

Распространённые пневмо, плеврофиброзные изменения. Не исключается н/долевая пневмония справа (диф DS с интерстициальным пневмонитом).

Я так понимаю, что на обычной R - грамме при интерстициальном пневмоните мы увидим фиброзные изменения, а воспалительные изменения (то самое " матовое стекло") покажет КТ - исследование? Кстати, в КТ не разбираюсь, но на последнем скане справа складывается впечатление о наличии снижения прозрачности по типу этого самого стекла?. Или это мне только кажется?

Петрович's picture
Offline
Last seen: 7 years 2 months ago
Joined: 22.03.2009 - 01:13
Posts: 3908

Петрович поддерживает просьбу Кузмича к КТ-продвинутым коллегам прокомментировать картинки касательно "матового стекла".

Неоднозначно всё

Popovpavel's picture
Offline
Last seen: 7 years 2 months ago
Joined: 08.06.2009 - 00:23
Posts: 649

Судить о матовом стекле по рентгенограммам все-таки не есть комильфо. Это все-таки признак, относящийся к КТ-семиотике. На рентгенограммах ему соответствуют, вероятно, "тени слабой интенсивности", если участок уплотнения достаточно большой.

Матовое стекло формируется при интерстициальных изменениях (любого характера - воспалительного, опухолевого, отечного и т.д). В противовес ему, заполнение альвеол дает консолидацию - на рентгенограммах она будет выглядеть как "тень высокой интенсивности".

Popovpavel's picture
Offline
Last seen: 7 years 2 months ago
Joined: 08.06.2009 - 00:23
Posts: 649

На данных снимках "матового стекла" как такового мы не видим.

Петрович's picture
Offline
Last seen: 7 years 2 months ago
Joined: 22.03.2009 - 01:13
Posts: 3908

 

 

Спасибо, коллега Popovpavel. Мне кажется, Kuzmitch, спрашивая о матовом стекле, имел в виду именно КТ-изображения.

<< Кстати, в КТ не разбираюсь, но на последнем скане справа складывается впечатление о наличии снижения прозрачности по типу этого самого стекла?. Или это мне только кажется?  >>  и я тоже.

Значит, нет тут "матового стекла", следовательно, нет и признаков воспаления 

Неоднозначно всё

Nikolas's picture
Offline
Last seen: 1 month 3 weeks ago
Joined: 21.12.2010 - 20:37
Posts: 4559

и в выписке больного из стационара вписали, что это "бронхоэктатическая болезнь". Так ли это на самом деле, я не знаю. Одно могу сказать, что после  беседы с больным и аускультации легких , признаков указанной болезни мной не было найдено. Необходимо накапливать по этой проблеме материал и анализировать его. Просьбу Людмилы Григорьевны и для себя попытаюсь решить. Благодарю коллег за обсуждение моего клинического наблюдения. С уважением Nikolas

ЛГ's picture
Offline
Last seen: 8 years 10 months ago
Joined: 06.01.2010 - 12:31
Posts: 3523

"Сухие" эктазированные бронхи могут не давать ни клиники, ни аускультативных изменений. На КТ признаки бронхоэктазов есть. И об этом же должно быть написано в КТ-заключении (наверняка оно есть в карте). Будем ждать ФЛГ-архив.

Андрей Юрьевич's picture
Offline
Last seen: 3 days 17 hours ago
Joined: 16.11.2008 - 22:16
Posts: 18098

Nikolas wrote:

и в выписке больного из стационара вписали, что это "бронхоэктатическая болезнь". Так ли это на самом деле, я не знаю.

Предполагаю, что тут кто-то поумничал. Скорее всего, так наши коллеги (либо КТшники, либо терапевты) обозвали тракционные бронхоэктазы, которые не редкость при интерстициальных заболеваниях.

Андрей Юрьевич