КТ-симптом горы Фудзи (Фудзиямы) помогает отличить напряженную пневмоцефалию от ненапряженной. Действительно, характерное разделение лобных долей не обнаруживается у пациентов с ненапряженной пневмоцефалией.
Напряженная пневмоцефалия возникает чаще всего после удаления субдуральной гематомы, но также описаны случаи в результате операций на основании черепа, пазухах носа, задней черепной ямке в положении сидя или при травме головы.
Напряженная пневмоцефалия характеризуется повышенным давлением воздуха в субдуральном пространсте. Повышенное давление воздуха является следствием клапана механизма, при котором воздух входит в субдуральное пространство через дефект в кости черепа, но выход воздуха заблокирован. Напряженная пневмоцефалия приводит к масс-эффекту и сдавлению лобных долей. Присутствие воздуха между лобными долями означает, что давление субдурального воздуха превышало поверхностное натяжение спинномозговой жидкости между лобными долями (Michel S.J.: Симптом горы Фудзи. Радиология, 2004, 232: 449-450).
Правильный диагноз напряженной пневмоцефалии ставиться при тщательной корреляции клинических и КТ признаков.
Лечение состоит из неотложной декомпрессии, чтобы уменьшить давление на мозг.
Потенциальные нейрохирургические процедуры включают краниотомию, наложение фрезевых отверстий, аспирации через иглу, вентрикулостомии, применения 100% кислорода, и закрытие дефектов твердой мозговой оболочки.
Neumocéfalo es una palabra compuesta que deriva de las griegas (Pneo: soplo de aire, Pneumón: Pulmón y Kephalé: Cabeza). El prefijo Neumo se utiliza para formar vocablos que describen la presencia de aire en cualquier órgano o cavidad donde habitualmente no existe. Con el sufijo Céfalose forman palabras compuestas que sirven para designar a la cabeza y todo lo que guarda relación con ella.
Por tanto Neumocéfalo o neumoencéfalo son términos utilizados por los Radiólogos para describir la existencia de aire acumulado en cualquiera de los espacios de la cavidad craneal (Figura 1).
Figura 1) Neumocéfalo frontobasal bilateral
Según la etipoatogenia se distinguen dos tipos distintos.
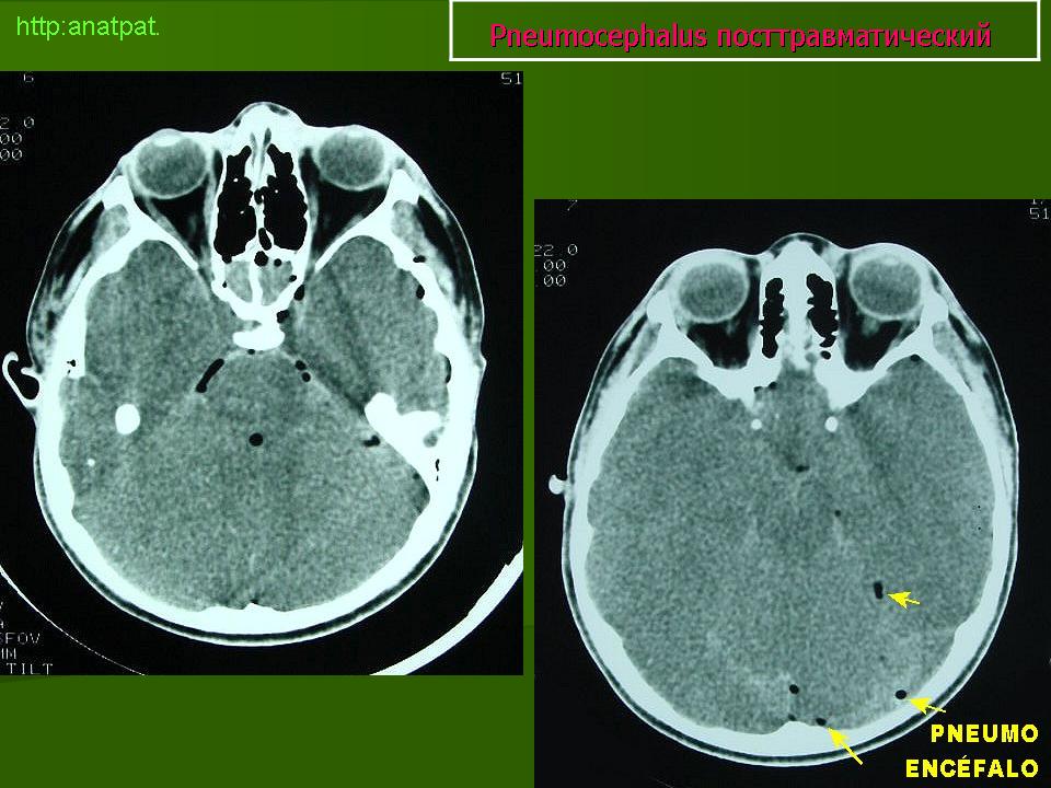
A) NEUMOCÉFALO POSTRAUMÁTICO: Es una complicación muy grave de un traumatismo craneoencefálico y se produce por fractura de la pared de los senos paranasales o de la base del cráneo. Cuando una persona sufre un accidente muy violento, como sucede en los de tráfico, se producen múltiples fracturas de cráneo. Si alguna rompe la pared de los senos paranasales y una esquirla ósea desgarra la duramadre, el aire penetra al interior del cráneo y se acumula en cualquiera de los espacios intracraneales, aunque fundamentalmenteen el subaracnoideo. En el topograma preliminar de una TC se aprecia una imagen hipodensa que representa el gas depositado en el espacio subaracnoideo frontal (flechas) porque al realizar la exploración en decúbito supino el aire asciende hacia las partes más elevadas de la cavidad craneal. (Figura 1).
CASO 1)
FIGURA 1) Neumocéfalo postraumático. El aire, que ha penetrado en el espacio subaracnoideo de las cisternas basales como consecuencia de la fractura del techo del seno esfenoidal y de la duramadre, asciende por gravedad al espacio subaracnoideo frontal, donde forma un nivel (flechas)
FIGURA 2) En este corte axial de TC se observa el aire acumulado en el espacio subaracnoideo de la región frontal. Recuerda a las negras alas de un murciélago revoloteando por el techo de la cavidad craneal.
CASO 2:
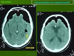
El siguiente caso corresponde a un traumatismo craneoencefálico grave, con fractura de los huesos de la base del cráneo (se observa "hemosinus" postraumático en el seno esfenoidal y en las celdillas etmoidales) y del hueso temporal izquierdo. A través de las fracturas de la base de cráneo han penetrado numerosas burbujas de aire que han difundido por el espacio subaracnoideo de las cisternas basales y de los surcos. El neumocéfalo no es muy llamativo porque se ha producido edema cerebral difuso. El parénquima encefálico ha aumentado de volumen y no ha dejado espacio libre en la cavidad intracraneal (Figuras 1, 2, 3, 4 y 5).
FIGURA 1
FIGURA 2
FIGURA 3
FIGURA 4
FIGURA 5
B) NEUMOCÉFALO POSTQUIRÚRGICO: Es un hallazgo más frecuente en las exploraciones de Tomografía Computarizada craneoencefálicas realizadas en pacientes a los que se les ha practicado una intervención quirúrgica complicada. Sucede cuando los cirujanos tienen que extirpar un tumor encefálico voluminoso o que está en contacto con el sistema ventricular. En estos casos es habitual que el aire penetre a través de la craniectomía y difunda por el espacio subaracnoideo o incluso pase al interior de los ventrículos. Este aire se acaba reabsorbiendo en pocos días sin causar complicaciones.
CASO 3:
FIGURA 3) Resección de una neoplasia cerebelosa (astrocitoma vermiano). El aire ha penetrado en los ventrículos a través del cuarto, cuya pared estaba invadida por el tumor.
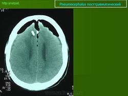
FIGURA 4) El gas ha llegado hasta las astas frontales de los ventrículos laterales, el asta temporal izquierda y el espacio subaracnoideo frontal (flechas)
FIGURA 5) Recreación figurada del espacio subaracnoideo frontal, delimitado por la Piamadre y la Aracnoides. El aire queda separado por la hoz del cerebro que no se suele ver en las imágenes.
CASO 4 :
Esta otra paciente de 54 años había sido intervenida de un voluminoso tumor del ángulo pontocerebeloso izquierdo, (neurinoma del acústico), por vía occipital. La extirpación fue completa. El aire que penetraba por la craniectomía, durante la intervención quirúrgica, difundió por el espacio subaracnoideo y se fue acumulando en la región frontal, adoptando el aspecto de un murciélago con las alas abiertas "bat wings" (Figura 1).
FIGURA 1) Neumocéfalo en forma de alas de murciélago "bat wings", que se localiza en el espacio subaracnoideo frontal.
FIGURA 2) Aspecto del neumocéfalo en el espacio subaracnoideo de la región frontobasal. Imagen más caudal.
El cúmulo de aire en la cavidad intracraneal después de una intervención quirúrgica importante, es un hallazgo habitual. Este aire se acumula en el espacio subaracnoideo y asciende a través de las cisternas basales. Por eso es bilateral. No es un neumocéfalo a tensión, porque se reabsorbe espontáneamente en pocos días.
CASO 5) Neumocéfalo subaracnoideo frontal detectado después de la resección de un voluminoso glioblastoma (grado IV de la OMS) temporal izquierdo. El aire se reabsorberá sin causar problemas.
Вчера вечером не получилось зайти на сайт.
Вот перевод комментариев из этой статьи:
Комментарий
КТ-симптом горы Фудзи (Фудзиямы) помогает отличить напряженную пневмоцефалию от ненапряженной. Действительно, характерное разделение лобных долей не обнаруживается у пациентов с ненапряженной пневмоцефалией.
Напряженная пневмоцефалия возникает чаще всего после удаления субдуральной гематомы, но также описаны случаи в результате операций на основании черепа, пазухах носа, задней черепной ямке в положении сидя или при травме головы.
Напряженная пневмоцефалия характеризуется повышенным давлением воздуха в субдуральном пространсте. Повышенное давление воздуха является следствием клапана механизма, при котором воздух входит в субдуральное пространство через дефект в кости черепа, но выход воздуха заблокирован. Напряженная пневмоцефалия приводит к масс-эффекту и сдавлению лобных долей. Присутствие воздуха между лобными долями означает, что давление субдурального воздуха превышало поверхностное натяжение спинномозговой жидкости между лобными долями (Michel S.J.: Симптом горы Фудзи. Радиология, 2004, 232: 449-450).
Правильный диагноз напряженной пневмоцефалии ставиться при тщательной корреляции клинических и КТ признаков.
Лечение состоит из неотложной декомпрессии, чтобы уменьшить давление на мозг.
Потенциальные нейрохирургические процедуры включают краниотомию, наложение фрезевых отверстий, аспирации через иглу, вентрикулостомии, применения 100% кислорода, и закрытие дефектов твердой мозговой оболочки.
Figura 1) Neumocéfalo frontobasal bilateral
Según la etipoatogenia se distinguen dos tipos distintos.
A) NEUMOCÉFALO POSTRAUMÁTICO: Es una complicación muy grave de un traumatismo craneoencefálico y se produce por fractura de la pared de los senos paranasales o de la base del cráneo. Cuando una persona sufre un accidente muy violento, como sucede en los de tráfico, se producen múltiples fracturas de cráneo. Si alguna rompe la pared de los senos paranasales y una esquirla ósea desgarra la duramadre, el aire penetra al interior del cráneo y se acumula en cualquiera de los espacios intracraneales, aunque fundamentalmenteen el subaracnoideo. En el topograma preliminar de una TC se aprecia una imagen hipodensa que representa el gas depositado en el espacio subaracnoideo frontal (flechas) porque al realizar la exploración en decúbito supino el aire asciende hacia las partes más elevadas de la cavidad craneal. (Figura 1).
FIGURA 1) Neumocéfalo postraumático. El aire, que ha penetrado en el espacio subaracnoideo de las cisternas basales como consecuencia de la fractura del techo del seno esfenoidal y de la duramadre, asciende por gravedad al espacio subaracnoideo frontal, donde forma un nivel (flechas)
FIGURA 2
FIGURA 4
CASO 3:
FIGURA 1) Neumocéfalo en forma de alas de murciélago "bat wings", que se localiza en el espacio subaracnoideo frontal.
CASO 5) Neumocéfalo subaracnoideo frontal detectado después de la resección de un voluminoso glioblastoma (grado IV de la OMS) temporal izquierdo. El aire se reabsorberá sin causar problemas.