You are here

Что-то тоскливо на душе...

Пол пациента: 
Область исследования: 
Методы исследования: 

Нахожусь в подавленном настроении от вчерашнего случая. Несколько лет назад я подарил свой немецкий аккордеон, который не брал в руки более 30 лет после окончания муз. школы, практически незнакомой, подающей надежды девчушке, которая в силу обстоятельств (у родителей свои семьи) вынянчена и воспитывается бабушкой, санитаркой по професии. И вот сегодня она, победитель ряда местных конкурсов, выезжает на конкурс в Финляндию (визы, билеты и т.д. все с потугами бабушкой оплачено), а вчера она делала первую в своей жизни флюорографию. Отмечает тяжесть за грудиной. Низкий гемоглобин, высокое СОЭ (со слов бабушки).

  • https://radiomed.ru/sites/default/files/styles/case_slider_image/public/user/3055/1996g.r.19.07.2011g.pr_.zadn_.jpg?itok=XaS0WkiS
  • https://radiomed.ru/sites/default/files/styles/case_slider_image/public/user/3055/1996g.r.19.07.2011g.pr_.bok_.jpg?itok=hUjmVFs7
ID:14589
stovbav's picture
Offline
Last seen: 2 years 3 months ago
Joined: 20.12.2009 - 17:28
Posts: 7066

Тимома........грустно все это....

Ola-la's picture
Offline
Last seen: 10 months 3 weeks ago
Joined: 06.12.2008 - 09:33
Posts: 1786

Скорее, ЛГМ.

stovbav's picture
Offline
Last seen: 2 years 3 months ago
Joined: 20.12.2009 - 17:28
Posts: 7066

Термин «тимома», предложенный Грандхоуммом еще в 1900 г., объединяет все виды опухолей вилочковой железы и применяется и в настоящее время.
Опухоли вилочковой железы — тимомы — встречаются у лиц всех возрастных групп, одинаково часто как у мужчин, так и у женщин, у детей значительно реже (около 8%). Наиболее часто тимомы встречаются у больных миатенией в зрелом и пожилом возрасте. По строению различают: эпителиоидную тимому (эпидермоидную, веретеноклеточную, лимфоэпителиальную, гранулематозную) и лимфоидную тимомы.

Большинство тимом относится к лимфоэпителиомам. В ряде случаев опухоль вилочковой железы состоит из элементов тимуса и жировой ткани — так называемая липотимома, образование которой обычно протекает бессимптомно.

Так что ...разница невелика....

Андрей Юрьевич's picture
Offline
Last seen: 3 weeks 8 hours ago
Joined: 16.11.2008 - 22:16
Posts: 18098

/// И вот сегодня она, победитель ряда местных конкурсов, выезжает на конкурс в Финляндию (визы, билеты и т.д.////

Ну, и пускай выезжает. Ненадолго же. Будет что вспомнить. Все равно сейчас в клиниках "мертвый сезон" - лето, жара.

Андрей Юрьевич

Андрей Юрьевич's picture
Offline
Last seen: 3 weeks 8 hours ago
Joined: 16.11.2008 - 22:16
Posts: 18098

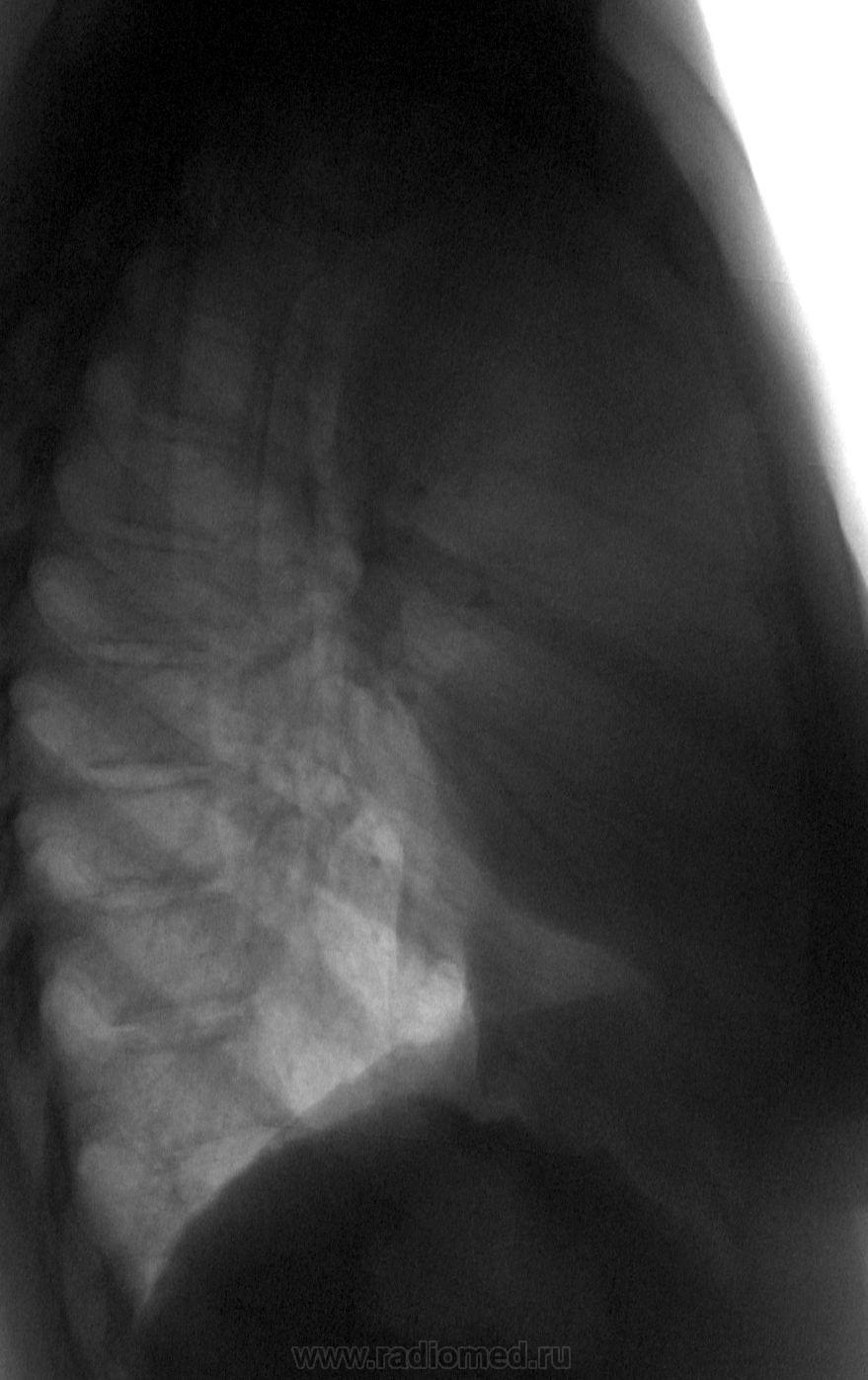
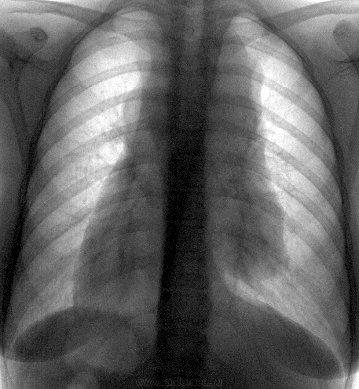
Вроде про миастению  ни слова, но эдакий "хвостик" по нижнему контуру, более характерен для тимомы.

Андрей Юрьевич

estrelcova's picture
Offline
Last seen: 14 years 5 months ago
Joined: 05.02.2011 - 11:18
Posts: 38

Пациентке надо провести КТ, возможно, с контрастным усилением. Имеется образование средостения, более выраженное справа, но его характер неясен. Я бы в первую очередь не предполагала бы тимому... Она едит поедзом или летит самолетом? 

Игорь Иванович's picture
Offline
Last seen: 3 years 10 months ago
Joined: 23.01.2010 - 14:56
Posts: 3695

Девочка около месяца назад умерла.

Ola-la's picture
Offline
Last seen: 10 months 3 weeks ago
Joined: 06.12.2008 - 09:33
Posts: 1786

Очень печально sad, особенно, когда умирают дети. А что, в итоге, оказалось в средостении?

Игорь Иванович's picture
Offline
Last seen: 3 years 10 months ago
Joined: 23.01.2010 - 14:56
Posts: 3695

Ola-la wrote:

Очень печально sad, особенно, когда умирают дети. А что, в итоге, оказалось в средостении?

Какая-то лимфома. Лежала она и у нас в детской обл., и в столице в ОхМаДете. Волей-неволей, но это было у меня на слуху: то по FM радио услышу призыв на сбор средств на лечение, то по одному из каналов TV очень мной уважаемый певец, шоумен, соирался посетить ее в клинике и подарить аккордеон (не знаю, выполнил ли?), назвав ее очень талантливой девочкой...

Катенёв Валентин Львович's picture
Offline
Last seen: 7 years 1 month ago
Joined: 22.03.2008 - 22:15
Posts: 54876

Спасибо за информацию Игорь Иванович.