Дермоидная киста (тератома). Дермоид головного мозга. Наблюдение Nela Дермоидная киста головного мозга. Наблюдение Nela Sat, 30/07/2011 - 02:53 #1 Катенёв Валенти... Offline Last seen: 7 years 4 months ago Joined: 22.03.2008 - 22:15 Posts: 54876 Дермоидная кистаПриложения: Wed, 14/12/2011 - 01:40 #2 Катенёв Валенти... Offline Last seen: 7 years 4 months ago Joined: 22.03.2008 - 22:15 Posts: 54876 Дермоидная кистаПриложения: Mon, 09/01/2012 - 22:20 #3 Катенёв Валенти... Offline Last seen: 7 years 4 months ago Joined: 22.03.2008 - 22:15 Posts: 54876 Дермоидная кистаПриложения: Wed, 18/01/2012 - 19:07 #4 Катенёв Валенти... Offline Last seen: 7 years 4 months ago Joined: 22.03.2008 - 22:15 Posts: 54876 Дермоидная киста Приложения: Tue, 31/01/2012 - 16:45 #5 Катенёв Валенти... Offline Last seen: 7 years 4 months ago Joined: 22.03.2008 - 22:15 Posts: 54876 Разрыв дермоидной кисты.Приложения: Mon, 20/02/2012 - 23:13 #6 Катенёв Валенти... Offline Last seen: 7 years 4 months ago Joined: 22.03.2008 - 22:15 Posts: 54876 Солидная кистозная тератома языка.Приложения: Sun, 11/11/2012 - 23:22 #7 Катенёв Валенти... Offline Last seen: 7 years 4 months ago Joined: 22.03.2008 - 22:15 Posts: 54876 http://www.neurologyindia.com/article.asp?issn=0028-3886;year=2012;volume=60;issue=5;spage=542;epage=543;aulast=Patnaik
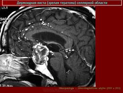
Дермоидная киста
Дермоидная киста
Дермоидная киста
Дермоидная киста
Разрыв дермоидной кисты.
Солидная кистозная тератома языка.
http://www.neurologyindia.com/article.asp?issn=0028-3886;year=2012;volume=60;issue=5;spage=542;epage=543;aulast=Patnaik