You are here

Среднедолевой синдром.

Пол пациента: 
Тип патологии: 
Методы исследования: 

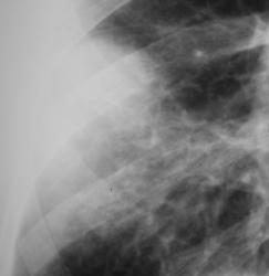
Пациент взят на контроль после расшифровки флюорограмм. Произведено дообследование в прямой и правой боковой проекциях. После проведения исследования направлен к терапевту, выставлен диагноз "Правостороняя среднедолевая пневмония".

ИзображениеИзображениеИзображение

ИзображениеИзображениеИзображение

ИзображениеИзображениеИзображениеИзображение

Ваше мнение коллеги?

Ермолаев's picture
Offline
Last seen: 8 years 12 months ago
Joined: 07.02.2009 - 16:33
Posts: 670

Валентин Львович! На время я бы оставил заключение "правосторонняя среднедолевая пневмония". Далее рентгенконтроль и дообследование, при отсутствии динамики.

dok

Катенёв Валентин Львович's picture
Offline
Last seen: 7 years 2 months ago
Joined: 22.03.2008 - 22:15
Posts: 54876

Да оно и осталось (правостороняя среднедолевая пневмония). Просто случай назван среднедолевым синдромом с учетом некоторых ньансов.