You are here

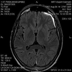
Оболочечная гематома.

Мужчина .Направительный диагноз: чмт (от 29.07.11), гематома головного мозга?

Краткий анамнез заболевания, жалобы: беспокоят головные боли, нарушение речи, онемение правой руки.

                                    

  • https://radiomed.ru/sites/default/files/styles/case_slider_image/public/user/5662/gem2.jpg?itok=eJGv6CWe
  • https://radiomed.ru/sites/default/files/styles/case_slider_image/public/user/5662/gem3.jpg?itok=JYJXvF11
  • https://radiomed.ru/sites/default/files/styles/case_slider_image/public/user/5662/gem4.jpg?itok=Cis4VgtD
  • https://radiomed.ru/sites/default/files/styles/case_slider_image/public/user/5662/gem5.jpg?itok=0QUazDto
  • https://radiomed.ru/sites/default/files/styles/case_slider_image/public/user/5662/gem6.jpg?itok=FlDIz2Fy
  • https://radiomed.ru/sites/default/files/styles/case_slider_image/public/user/5662/gem7.jpg?itok=wvya48FP
  • https://radiomed.ru/sites/default/files/styles/case_slider_image/public/user/5662/gem8.jpg?itok=paOL8wh2
  • https://radiomed.ru/sites/default/files/styles/case_slider_image/public/user/5662/gem9.jpg?itok=KLvLHaZ7
  • https://radiomed.ru/sites/default/files/styles/case_slider_image/public/user/5662/gem10.jpg?itok=aj8Kad36
  • https://radiomed.ru/sites/default/files/styles/case_slider_image/public/user/5662/gem11.jpg?itok=mSyZshdA
  • https://radiomed.ru/sites/default/files/styles/case_slider_image/public/user/5662/gem12.jpg?itok=f1Kri8pC
  • https://radiomed.ru/sites/default/files/styles/case_slider_image/public/user/5662/gem13.jpg?itok=c2_WE0wB
  • https://radiomed.ru/sites/default/files/styles/case_slider_image/public/user/5662/gem14.jpg?itok=zM_6XN6n
  • https://radiomed.ru/sites/default/files/styles/case_slider_image/public/user/5662/gem15.jpg?itok=Tvu0T6YO
  • https://radiomed.ru/sites/default/files/styles/case_slider_image/public/user/5662/gem16.jpg?itok=40BGnlJz
  • https://radiomed.ru/sites/default/files/styles/case_slider_image/public/user/5662/gem17.jpg?itok=f67N9Xpt
  • https://radiomed.ru/sites/default/files/styles/case_slider_image/public/user/5662/gem18.jpg?itok=9XNRYz-0
  • https://radiomed.ru/sites/default/files/styles/case_slider_image/public/user/5662/gem19.jpg?itok=ULgi6yMc
  • https://radiomed.ru/sites/default/files/styles/case_slider_image/public/user/5662/gem20.jpg?itok=Bce4UNfd
  • https://radiomed.ru/sites/default/files/styles/case_slider_image/public/user/5662/gem21.jpg?itok=r2ddvoi7
  • https://radiomed.ru/sites/default/files/styles/case_slider_image/public/user/5662/gem22_0.jpg?itok=fA2Cfoyk
  • https://radiomed.ru/sites/default/files/styles/case_slider_image/public/user/5662/gem23.jpg?itok=PDbbJaO1
  • https://radiomed.ru/sites/default/files/styles/case_slider_image/public/user/5662/gem24.jpg?itok=OlHpHLk6
ID:53869
Посторонним В's picture
Offline
Last seen: 6 years 5 months ago
Joined: 16.08.2010 - 21:23
Posts: 345

субарах левая теменная (или суммация по аксиалам?), линза сбоку... и субдуральное по переферии чтоли?

...

Посторонним В's picture
Offline
Last seen: 6 years 5 months ago
Joined: 16.08.2010 - 21:23
Posts: 345

нет субараха - поторопился

...