You are here

Травма

Пол пациента: 
Тип патологии: 
Область исследования: 
Методы исследования: 

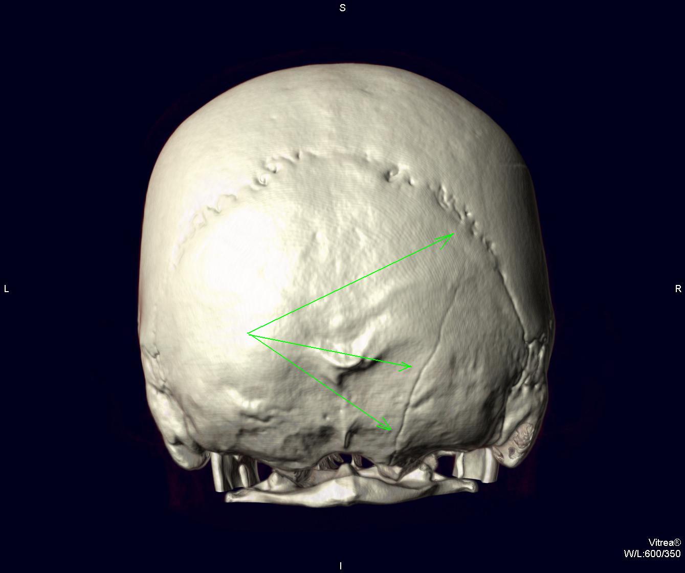
ИзображениеИзображениеИзображениеИзображениеИзображениеИзображениеСвежая травма. Эти изображения демонстрируют возможности МСКТ. Виден линейный перелом затылочной кости справа с переходом на основание черепа. Линейный перелом лобной и теменной костей слева с симптомом молнии (изменение хода перелома при пересечении шва). Симптом молнии один из пяти признаков линейного перелома, описанные по обычным рентгенограммам.

Катенёв Валентин Львович's picture
Offline
Last seen: 7 years 3 months ago
Joined: 22.03.2008 - 22:15
Posts: 54876

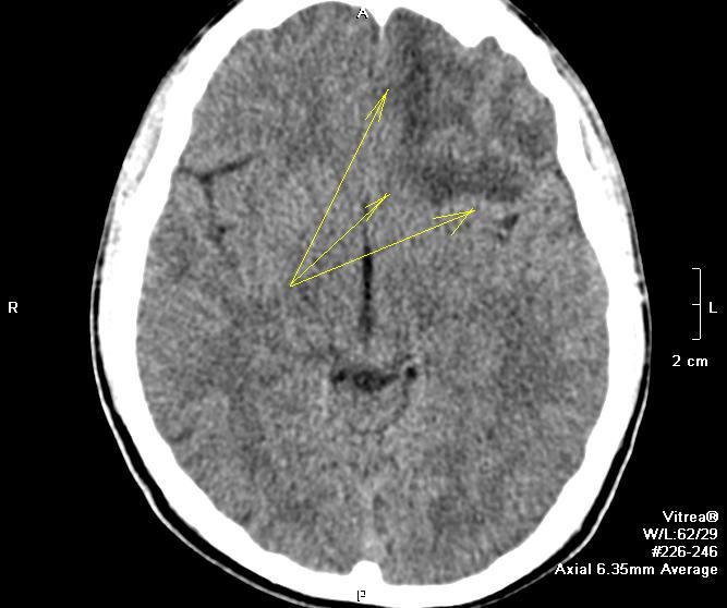
Прошу простить за вопрос дилетанта. Чем обусловлена более высовая "интенсивность" в лобной части, помеченная желтыми стрелками.

Изображение

Vega's picture
Offline
Last seen: 3 months 5 days ago
Joined: 22.01.2009 - 19:16
Posts: 1087

По всей видимости, очаг ушиба мозга по типу противоудара

Андрей Юрьевич's picture
Offline
Last seen: 2 months 13 hours ago
Joined: 16.11.2008 - 22:16
Posts: 18101

Для КТ-шников, это как "воздушная бронхограмма" для насУлыбается. Ушиб головного мозга.

Кстати, Nela, Вы пользуетесь классификацией Корниенко (Бурденко) или Лебедева/Крылова (Склиф)? А базальные отделы левой височной доли поражены, или это ассиметрия укладки?

Андрей Юрьевич

Nela's picture
Offline
Last seen: 6 years 4 months ago
Joined: 12.05.2009 - 20:43
Posts: 1847

В лобной и височной долях контузионные очаги. Мы ползуемся классификацией Корниенко.

Nela's picture
Offline
Last seen: 6 years 4 months ago
Joined: 12.05.2009 - 20:43
Posts: 1847

Вернее будет участок неравномерно пониженной плотности.

Катенёв Валентин Львович's picture
Offline
Last seen: 7 years 3 months ago
Joined: 22.03.2008 - 22:15
Posts: 54876

Уважаемая коллега!

Вы пишете:

"Виден линейный перелом затылочной кости справа с переходом на основание черепа. Линейный перелом лобной и теменной костей слева с симптомом молнии (изменение хода перелома при пересечении шва)."

На мой взгляд, (взгляд не профессионала в этом виде исследования) линия перелома, помеченная красными стрелками заканчивается на уровне зеленой стрелки.

Изображение

Мне кажется, что это не один перелом, а два самостоятельных перелома.

ИзображениеИзображение

Возможно, я ошибаюсь.

Nela's picture
Offline
Last seen: 6 years 4 months ago
Joined: 12.05.2009 - 20:43
Posts: 1847

Да, здесь два перелома: 1. затылочной кости, 2-ой теменной с переходом на лобную через венечный шов.

P.S. Извините, я часто путаю право-лево. Оба перелома, конечно, справа.

rentgengb1's picture
Offline
Last seen: 12 years 3 months ago
Joined: 13.02.2009 - 23:02
Posts: 290

Мы не используем ни какую классификацию пишем то что видим, нейрохирургам так удобнее.

Андрей Юрьевич's picture
Offline
Last seen: 2 months 13 hours ago
Joined: 16.11.2008 - 22:16
Posts: 18101

///пишем то что видим/// Объем поражения высчитываете? ВКК2?

Андрей Юрьевич

Nela's picture
Offline
Last seen: 6 years 4 months ago
Joined: 12.05.2009 - 20:43
Posts: 1847

Если честно, то и мы так делаем, потому, что нейрохирургам все равно. Они ориентируются на масс-эффект, клинику и др., когда решают оперировать или нет.

rentgengb1's picture
Offline
Last seen: 12 years 3 months ago
Joined: 13.02.2009 - 23:02
Posts: 290

Вот вот Nela у нас абсолютно такой же подход. Нейрохирурги сами смотрят сканы, наша помощь нужна только изредка.