Skip to main content
Вход
Регистрация
Применить
Menu
Новое на сайте
Сообщество
Клинические наблюдения
Форум
Наш сборник ссылок
Чат RADIOMED
Образование
Интерактивные задания
Презентации
Публикации
Видео
Журнал "Лучевая диагностика и терапия"
Книжный магазин
Пациентам
Где пройти обследование
Компьютерная томография (КТ)
Магнитно-резонансная томография (МРТ)
Спросить врача
Помощь
You are here
Home
»
Публикации
»
Наборы изображений
ЛОР. Онк. Рак носоглотки. +
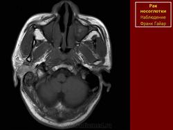
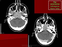
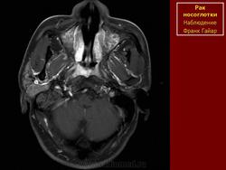
Рак носоглотки