You are here

Могут ли изменения в легких быть проявлением Ревматоидного Артрита???

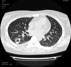
Методы исследования: 

Пациентка Ж.1977 года рождения.

Дебют системного заболевания в 1988 году, когда впервые появились боли в мелких суставах кистей, скованность, лихорадка, похудение. При обследовании установлен диагноз РА.В настоящее время постоянно принимает метипред 8 мг/сут. Наследственность отягощена: у родного брата системное заболевание соединительной ткани, у матери ревмотоидный артрит, у родной тети по линии отца - СКВ.

На фоне адекватной  п/воспалительной   проводимой терапии: положительной динамики клинически нет. Сохраняется непродуктивный кашель,  лихорадка до 38 гр. Цельсия. 

Могут ли изменения в легких быть проявлением РА???

Спасибо!

август 2011

сентябрь 2011:

  • https://radiomed.ru/sites/default/files/styles/case_slider_image/public/user/3204/2.png?itok=NyuvJHaA
  • https://radiomed.ru/sites/default/files/styles/case_slider_image/public/user/3204/3.png?itok=V3m7-dnl
  • https://radiomed.ru/sites/default/files/styles/case_slider_image/public/user/3204/4.png?itok=kj0zvlwM
  • https://radiomed.ru/sites/default/files/styles/case_slider_image/public/user/3204/5.png?itok=-3DB_x-i
  • https://radiomed.ru/sites/default/files/styles/case_slider_image/public/user/3204/6.png?itok=P8xSTHbO
  • https://radiomed.ru/sites/default/files/styles/case_slider_image/public/user/3204/7.png?itok=8Cy01IgR
  • https://radiomed.ru/sites/default/files/styles/case_slider_image/public/user/3204/1_0.png?itok=CIgsVzFG
  • https://radiomed.ru/sites/default/files/styles/case_slider_image/public/user/3204/2_0.png?itok=ksMElxQ3
  • https://radiomed.ru/sites/default/files/styles/case_slider_image/public/user/3204/3_0.png?itok=f4S5lkTV
  • https://radiomed.ru/sites/default/files/styles/case_slider_image/public/user/3204/4_0.png?itok=EebZiHsE
  • https://radiomed.ru/sites/default/files/styles/case_slider_image/public/user/3204/5_0.png?itok=WYzPCve6
  • https://radiomed.ru/sites/default/files/styles/case_slider_image/public/user/3204/6_0.png?itok=6CrNg1qS
  • https://radiomed.ru/sites/default/files/styles/case_slider_image/public/user/3204/7_0.png?itok=vdjUE3kh
  • https://radiomed.ru/sites/default/files/styles/case_slider_image/public/user/3204/8.png?itok=TZqg9tbk
ID:44001
ЛГ's picture
Offline
Last seen: 9 years 4 months ago
Joined: 06.01.2010 - 12:31
Posts: 3523

Да. Кавернизация гранулем, фиброз. Довольно характерно. Ожидать динамики через 2 недели... рановато, наверное.

 

   http://translate.google.ru/translate?hl=ru&langpair=en|ru&u=http://www.hopkins-arthritis.org/physician-corner/case-rounds/case6/6_case.html (корявый гугл-перевод, но смысл понятен)))

Легочные узелки считаются только конкретные проявления легких РА, но поскольку это случай показывает, гистологии, тем не менее могут быть спутаны с другими процессами гранулематозный. Патогенеза и гистологии легочных узелков похож на подкожный узелок. Они редкое осложнение, при падении на рентген грудной клетки, менее 1%. Заболеваемость гораздо выше, используя высокое разрешение КТ (22-28%).

Как и в случае других внесуставных проявлений РА, легочные узелки возникают чаще у мужчин с высоким титром ревматоидного фактора, которые активного заболевания суставов. Там были доклады легких ревматоидных узелков женщинами и серонегативных пациентов. Курение может быть фактором риска для развития узелков.

Они, как правило, протекает бессимптомно, обнаружено случайно на рентген грудной клетки. Иногда они связаны с болью кашель, кровохарканье, и грудь. Узелок диапазонов размером от нескольких миллиметров до нескольких сантиметров (до 7 см). Множественные узелки встречаются чаще, чем одиночные узелка.Периферических верхней и средней зон легких чаще, чем нижних зонах, за исключением Caplans синдром (пневмокониоз с ревматоидных узелков).

Они могут увеличиваться в размерах или разрешаться самостоятельно

*********************

 РЕВМАТОИДНЫЙ АРТРИТ

http://www.spontan.ru/spravochnik-pulmonologa/537-revmatoidnyj-artrit.html   

 

 

 

Системное заболевание соединительной ткани аутоиммунного генеза с преимущественным поражением суставов. Поражение легких встречается, по данным разных авторов, с частотой от 1 до 60%.

Этиология неизвестна.

Патогенез. Иммунопатологический процесс, возникающий в организме, связан с нарушениями в системе гуморального иммунитета. Патогенез поражения легких при ревматоидном артрите принципиально не отличается от патогенеза поражения сердца и суставов.

Патологическая анатомия. Гранулемы, выявляемые при ревматоидном артрите, имеют характерные черты ревматических узелков. Участок творожистого некроза в центре окружен слоем эпителиоидных клеток, лимфоцитов, плазматических клеток и фибробластов. Поражение микроциркуляторного русла легких (увеличение проницаемости стенок капилляров межальвеолярных перегородок, отек и инфильтрация их фибринозным экссудатом, лимфоцитами, эритроцитами) способствует пролиферации фибробластов, коллагеновых и ретикулиновых волокон. Межальвеолярные перегородки уплотняются, что ведет к облитерации капиллярного русла (фаза интерстициального фиброза). Специфические ревматоидные узелки нередко выявляются и в подплевральных отделах легких. Распад их иногда может приводить к возникновению пневмоторакса.

Клиническая картина и течение зависят от особенностей плевролегочных изменений. Выделяют три формы: поражение плевры (выпотной плеврит, гранулемы типа ревматических узелков), поражение легочной ткани по типу интерстициального пневмонита (фиброзирующего альвеолита), узелковое поражение легких в сочетании с силикозом (синдром Каплана). Поражение легких проявляется прогрессирующей одышкой, кашлем, болями в груди, повышением температуры тела, иногда отмечается кровохарканье. Течение хроническое.

Диагностика и дифференциальная диагностика. Аускультативная картина легких нехарактерна и зависит от особенностей поражения легких и плевры. Поражение легких по типу фиброзирующего альвеолита рентгенологически проявляется усилением легочного рисунка за счет интерстициального и сосудистого компонентов (на начальных этапах) и склерозированием интерстициальной стромы легких по мере прогрессирования заболевания. Кавернизация гранулем наблюдается редко. Очаговые изменения более характерны для синдрома Каплана. При этом выявляются округлые с четкими краями затенения раз личного 'диаметра (до 7 см), иногда с просветлением в центре, располагающиеся преимущественно субплеврально в верхних долях. Степень рестриктивных нарушений вентиляции и снижения диффузионной способности легких зависит от выраженности интерстициального фиброза. Дифференциальная диагностика поражений легких при ревматоидном артрите проводится с туберкулезом легких, инфаркт-пневмонией, идиопатическим фиброзирующим альвеолитом, легочной локализацией патологического процесса при других болезнях соединительной ткани.

 

********************************************************

 (  http://www.center-hc.ru/diseases/arthritis3.htm  )

Поражение легких и плевры

Это проявление ревматоидного артрита чаще встречается у мужчин и может проявляться плевритом, пневмосклерозом, ревматоидными узелками в плевре и легких, пневмонитом и артериитом.
Плеврит при ревматоидном артрите - обычно протекает бессимптомно и обнаруживается лишь на аутопсии.
Пневмосклероз может приводить к снижению диффузионной способности легких.
Ревматоидные узелки могут располагаться поодиночке или группами. Сочетание ревматоидных узелков с узловым пневмокониозом известно как синдром Каплана. Узелки могут разрушаться, при этом возможны образование полостей, бронхоплевральных свищей или пневмоторакс.
Редкое осложнение ревматоидного артрита - легочная гипертензия, обусловленная облитерацией сосудов легких.
 
 
**********************
Андрей Юрьевич's picture
Offline
Last seen: 4 hours 36 min ago
Joined: 16.11.2008 - 22:16
Posts: 18109

Нет.

Андрей Юрьевич

tatyana's picture
Offline
Last seen: 4 years 7 months ago
Joined: 24.06.2009 - 08:33
Posts: 2090

скорее - грибковая пневмония на фоне иммуносупрессорной терапии

"самоуверенность дилетантов - предмет зависти профессионалов"

Катенёв Валентин Львович's picture
Offline
Last seen: 7 years 6 months ago
Joined: 22.03.2008 - 22:15
Posts: 54876

«РЕВМАТОИДНОЕ» ЛЁГКОЕ

Соколина И.А., Абдураимов А.Б., Кутузов Т.А.

Кафедра лучевой диагностики и лучевой терапии
ГОУ ВПО Первый МГМУ им. И.М. Сеченова Минздравсоцразвития России.
г. Москва

Резюме: Неспецифическая интерстициальная пневмония является редким и благоприятным вариантом интерстициального поражения легких при ревматоидном артрите. Приводим клиническое наблюдение пациентки 59 лет, у которой интерстициальные изменения в легких развились в начале заболевания, одновременно с суставным синдромом при отсутствии клинических, функциональных и рентгенологических проявлений и были выявлены только с помощью компьютерной томографии.

 

Но на мой взгляд, Вашем случае - другое.

Катенёв Валентин Львович's picture
Offline
Last seen: 7 years 6 months ago
Joined: 22.03.2008 - 22:15
Posts: 54876

Поражения легких при ревматоидном артрите развиваются у 30-50 % больных. Чаще всего это плеврит, хронический интерстициальный пневмонит, ревматоидные узелки, реже - альвеолит и острый пневмонит.
Плеврит - наиболее частый вид поражения легких у больных ревматоидным артритом (на аутопсии выявляется в 40-70 % случаев). Сухой плеврит возникает значительно чаще экссудативного, однако в связи со стертой клинической картиной диагностируется реже, чем экссудативный, который обычно выявляется лишь у 2-8 % больных и только при активном течении ревматоидного артрита. Дифференциальный диагноз экссудативного плеврита проводится с туберкулезом, солидными опухолями, реже - с транссудатом при сердечной или почечной недостаточности. Помощь в верификации характера плеврита могут оказать результаты исследования экссудата (повышенное количество лимфоцитов и нейтрофилов в цитограмме, снижение содержания С3-компонента комплемента, высокая концентрация иммунных комплексов и ревматоидного фактора).
У части больных ревматоидным артритом развиваетсяхронический интерстициальный пневмонит, в основе которого лежит иммунокомплексное поражение сосудов легких (васкулит) с нарушением микроциркуляции. Морфологически в утолщенных межальвеолярных перегородках выявляются лимфоциты и плазматические клетки. Клинически интерстициальный пневмонит проявляется продуктивным кашлем, нарастающей одышкой при физической нагрузке, со временем возможно развитие дыхательной недостаточности. На рентгенограммах легких выявляются усиление легочного рисунка и признаки легочного фиброза, при функциональном исследовании - уменьшение легочных объемов и снижение диффузионной способности легких. При прогрессировании васкулита может развиваться легочная гипертензия, резко ухудшающая прогноз заболевания.
Ревматоидные узелки, наиболее частый внесуставной признак ревматоидного артрита, могут появляться и в легочной ткани, размеры их колеблются от нескольких миллиметров до нескольких сантиметров. Обычно ревматоидные узелки обнаруживаются случайно при плановой рентгенографии органов грудной клетки, при выполнении компьютерной томографии с высокой разрешающей способностью частота их выявления существенно увеличивается. У большинства больных ревматоидным артритом, ревматоидные узелки подвергаются обратному развитию независимо от лечения, реже фиброзируются, крайне редко - разрушаются с образованием каверн с последующим развитием осложнений (бронхоплевральной фистулы, пневмоторакса, абсцесса легкого). При обнаружении ревматоидных узелков необходимо проводить дифференциальный диагноз с инфекционными заболеваниями, а также первичными или метастатическими опухолями легких. Частным вариантом этого вида поражений легких является синдром Каплана (ревматоидный пневмокониоз - мелкие рассеянные очаги затенения легочного поля), асбестоз, силикоз и др.
Альвеолит у больных ревматоидным артритом - основная причина летальных исходов, связанных с поражением легких. Клиническая картина альвеолита очень похожа на проявления идиопатического фиброзирующего альвеолита (синдром Хаммена - Ричи): прогрессирующая одышка, крепитация в базальных отделах легких, гипоксемия, двусторонние интерстициальные или инфильтративные изменения на рентгенограммах легких. Наиболее адекватными методами диагностики являются исследование диффузионной способности легких, цитограммы жидкости бронхоальвеолярного лаважа и компьютерная томография легких.
В редких случаях при ревматоидном артрите встречаются альвеолярные геморрагии, амилоидоз легких, фиброз верхней доли легкого и снижение экскурсий грудной клетки при распространенном поражении костостернальных или костовертебральных сочленений.
Поражение сердечно-сосудистой системы является одной из причин повышенной летальности больных ревматоидным артритом, что было в последние годы убедительно показано в ряде проспективных исследований (продолжительность жизни больных ревматоидным артритом на 10-15 лет меньше, чем в популяции). При этом изменения со стороны сердца и сосудов могут быть обусловлены как существующим иммуновоспалительным процессом (в частности, развитие миокардита, выпотного перикардита, эндокардита, аортита и др.), так и проводимой терапией. Так, назначение НПВП, ингибирующих циклооксигеназу-2 (рофекоксиб и др.), приводит к подавлению синтеза простациклина и сдвигу существующего баланса в сторону гиперпродукции тромбоксана, что может быть одной из причин увеличения риска сосудистых катастроф (инфаркт миокарда, инсульт) у таких больных. Кроме того, развивающаяся дисфункция эндотелия и постоянный прием НПВП значительно увеличивают риск развития артериальной гипертензии, а также прогрессирования хронической сердечной недостаточности, особенно у пожилых пациентов.

Student_Andrew's picture
Offline
Last seen: 14 years 2 months ago
Joined: 21.08.2011 - 23:18
Posts: 106

Среди внесуставных проявлений РА встречаются поражения легких и плевры. Сюда относят плеврит, интерстициальный пневмонит/интерстициальный фиброз и ревматоидные узелки в легких. Возможно, что данные изменения в легких на КТ могут быть проявлением РА.
Скажите пожалуйста, у пациентки случайно нету таких симптомов: сыпь, увеличенные лимфоузлы, увеличена селезенка, в анализах лейкоциты больше 10,0*109/л?? (Наличие лихорадки артралгий, похудания дают право заподозрить синдром Стилла.)

Medicus curat, natura sanat

Петрович's picture
Offline
Last seen: 7 years 8 months ago
Joined: 22.03.2009 - 01:13
Posts: 3908

 

Не встречал таких поражений при РА. Да и КТ не мой инструмент. Однако ж, думаю, более вероятно, что такие массивные фокусы, да ещё и с распадом – проявление самостоятельного лёгочного заболевания, чем редкой формы РА. Вот если бы только плеврит (он тут есть), да узелки и фиброз… Но, возможно, мы видим осложнение терапии иммунодепрессантами. Надо бы спросить ещё ревматологов.

Неоднозначно всё

Катенёв Валентин Львович's picture
Offline
Last seen: 7 years 6 months ago
Joined: 22.03.2008 - 22:15
Posts: 54876

Мама дорогая!

Не было-бы "предистории", так и метастазы нельзя исключить...

Сергей Нагорный's picture
Offline
Last seen: 10 years 2 months ago
Joined: 13.07.2010 - 22:49
Posts: 1370

Что-то типа септических эмболий.

С уважением, С.Н. Нагорный

Петрович's picture
Offline
Last seen: 7 years 8 months ago
Joined: 22.03.2009 - 01:13
Posts: 3908

А где же именинник? Уснул? А поговорить?))

Неоднозначно всё

Сергей Нагорный's picture
Offline
Last seen: 10 years 2 months ago
Joined: 13.07.2010 - 22:49
Posts: 1370

Да, интересно. Полостей в гранулёмах не видел...

Я предположил септические эмболии, например, при эндокардите правого сердца. Если это узелки, то почему с 88 года они вылезли только сейчас? Не вижу старого фиброза, интерстиций не совсем тянет (вообще не тянет) на изменения при болезнях соединительной ткани.  Посмотрим на развитие дискуссии...

С уважением, С.Н. Нагорный

Петрович's picture
Offline
Last seen: 7 years 8 months ago
Joined: 22.03.2009 - 01:13
Posts: 3908

 

Сергей Николаевич wrote:
Я предположил септические эмболии, например, при эндокардите правого сердца. Если это узелки, то почему с 88 года они вылезли только сейчас? Не вижу старого фиброза, интерстиций не совсем тянет (вообще не тянет) на изменения при болезнях соединительной ткани. Посмотрим на развитие дискуссии...

Я тоже думаю, что соединительная ткань здесь не причём. Процесс иной природы.

Неоднозначно всё

ЛГ's picture
Offline
Last seen: 9 years 4 months ago
Joined: 06.01.2010 - 12:31
Posts: 3523

На септические не похоже, как мне кажется. Фиброз точно есть, но для исключения версии Татьяны нужны анализы мокроты, неоднократно. Пока остаюсь при своей версии. Кроме того, нет лабораторных данных, и в чем, кроме метипреда 8 мг/сут, заключалась адекватная противовоспалительная терапия... 

Сергей Нагорный's picture
Offline
Last seen: 10 years 2 months ago
Joined: 13.07.2010 - 22:49
Posts: 1370

Людмила Григорьевна, почему не похоже на септические и чем? Я просто это неоднократно наблюдал, причем больных этих наблюдал с динамикой...

С уважением, С.Н. Нагорный

Ola-la's picture
Offline
Last seen: 1 year 3 months ago
Joined: 06.12.2008 - 09:33
Posts: 1786

На мой взгляд, тоже не очень похоже на септические очаги - должна быть более быстрая динамика, и полости уже бы были более тонкостенными.

Петрович's picture
Offline
Last seen: 7 years 8 months ago
Joined: 22.03.2009 - 01:13
Posts: 3908

Ola-la wrote:
На мой взгляд, тоже не очень похоже на септические очаги - должна быть более быстрая динамика, и полости уже бы были более тонкостенными.

Активность микроорганизмов и реактивность макроорганизма могут быть разными в зависимости от множества неведомых нам обстоятельств (не забудем и про терапию иммунодепрессантами). А как насчёт метастазов с распадом?  

Неоднозначно всё

Nikolas's picture
Offline
Last seen: 2 months 1 week ago
Joined: 21.12.2010 - 20:37
Posts: 4560

Людмилу Григорьевну благодарю за литературные источники. Автора прошу дождаться результатов гистологического исследования и сообщить коллегам. С уважением Nik.

ЛГ's picture
Offline
Last seen: 9 years 4 months ago
Joined: 06.01.2010 - 12:31
Posts: 3523

Сергей Николаевич, не похоже как раз из-за отсутствия динамики. И из-за фиброза в нижних долях (не ВРКТ, но мне кажется (?) там линейный паттерн)).

Цитата: Воздушные кистовидные образования наблюдаются при попадании в легкое септических эмболов. Это особенно характерно для метастатической деструктивной стафилококковой пневмонии. Для стафилококковых пневмоний характерна склонность к деструкции с образованием одиночных или множественных полостей. В связи с этим по отношению к стафилококковым пневмониям нередко применяют термин "стафилококковая деструкция легких". Высокая частота деструкции при стафилококковых пневмониях объясняется тем, что патогенные стафилококки вырабатывают большое количество протеолитических ферментов (некротоксин, плазмокоагулаза, гиалуронидаза), вызывающие некроз пораженных тканей. В зависимости от пути проникновения инфекции стафилококковые пневмонии подразделяют на первичные самостоятельные или аэрогенные и вторичные септические, гематогенные. Источником сепсиса могут быть фурункулы различной локализации, гнойные заболевания кисти и пальцев, остеомиелит, криминальный аборт, послеоперационные и послеродовые осложнения. В клинической картине септической метастатической пневмонии доминируют явления сепсиса. Типичные для пневмонии физикальные данные в подобных случаях отсутствуют. При рентгенологическом исследовании в легких определяются множественные инфильтраты с быстрым распадом, образованием гнойников и воздушных полостей. Характерна динамичность рентгенологической картины в процессе наблюдения, быстрое обратное развитие полостей и появление новых инфильтратов и новых полостей. Попавший в легкое гнойный эмбол вызывает в нем воспалительный инфильтрат, который быстро распадается, возникшая полость также быстро очищается и либо исчезает в течение нескольких дней, либо превращается в воздушную кисту, которая, просуществовав несколько недель, бесследно исчезает.              http://zhuravlev.info/modules.php?name=News&file=print&sid=164

Случай Оли с классической картиной септических эмболов: http://www.radiographia.ru/node/1642

Случай септических эмболов http://translate.googleusercontent.com/translate_c?hl=ru&langpair=en|ru&rurl=translate.google.ru&twu=1&u=http://chestjournal.chestpubs.org/content/128/1/162.full&usg=ALkJrhhwdhq2NKkbRfbtXswPWOCVJoj6pw (все субплеврально, а в случае автора - в верхних долях несколько явных исключений из правил)

http://translate.google.ru/translate?hl=ru&langpair=en|ru&u=http://www.learningradiology.com/archives05/COW%2520136-Septic%2520emboli/septicembolicorrect.htm  еще

Сергей Нагорный's picture
Offline
Last seen: 10 years 2 months ago
Joined: 13.07.2010 - 22:49
Posts: 1370

Ну у меня есть и не столь классические наблюдения септических эмболий с эндокардитом правого сердца. Не надо путать  с метастатической/септической пневмонией, эти  эмболии являются лишь вариантом ТЭЛА. Если получится найти в архиве (не помню ни даты, ни фамилии), то выложу. А так я полностью согласен, что это не патогномонично и, в большей степени, по вопросу динамики не укладывается, как правило на образования полостей уходят часы и считаные дни. Но и пациент-то не простой. 

По поводу очаговости, да, при РА бывает, но я лично схожей картины не видел, а видел ретикулярные изменения легких, преимущественно, базально, сотовое легкое, брохо- и бронхиолоэктазы, утолщение плевры локально, незначительное утолщение стенок бронхов, видимо, за счет лимфоидной гиперплазии... Тут за этот процесс мало данных.

С уважением, С.Н. Нагорный

Катенёв Валентин Львович's picture
Offline
Last seen: 7 years 6 months ago
Joined: 22.03.2008 - 22:15
Posts: 54876

Случай Ольги очень интересный, конечно, жалко, что на сайте не выставлялся. Но, на мой взгляд разница между случаями существенная.

ЛГ's picture
Offline
Last seen: 9 years 4 months ago
Joined: 06.01.2010 - 12:31
Posts: 3523

Я не утверждаю на 100%, что в данном случае - легочные проявления РА. Вопрос был: может ли это быть проявлением РА? Мой ответ  - можетsmiley

Петрович's picture
Offline
Last seen: 7 years 8 months ago
Joined: 22.03.2009 - 01:13
Posts: 3908

В случае Ольги Андреевны интервал между исследованиями 12 дней, и в нынешнем примерно столько. Автору  пора бы уже появиться. Кто знает, как его найти

Неоднозначно всё

Сергей Нагорный's picture
Offline
Last seen: 10 years 2 months ago
Joined: 13.07.2010 - 22:49
Posts: 1370

В случае ответа на вопрос - может ли быть проявлениями, Андрей Юрьевич расставил всё на места уже давно в посте номер два cheekydevil

Учитываю такую динамику и формирование таких инфильтратов при отсутствии явных ретикулярных изменений думал бы не о РА, а еще и об актиномикозе.

С уважением, С.Н. Нагорный

Катенёв Валентин Львович's picture
Offline
Last seen: 7 years 6 months ago
Joined: 22.03.2008 - 22:15
Posts: 54876

 

Сергей Николаевич:

"В случае ответа на вопрос - может ли быть проявлениями, Андрей Юрьевич расставил всё на места уже давно в посте номер два cheekydevil

Учитываю такую динамику и формирование таких инфильтратов при отсутствии явных ретикулярных изменений думал бы не о РА, а еще и об актиномикозе."

Да, об аспергиллезе подумать надо...

Сергей Нагорный's picture
Offline
Last seen: 10 years 2 months ago
Joined: 13.07.2010 - 22:49
Posts: 1370

Валентин Львович, почему аспергиллез? Мне кажется, что тут именно актиномикоз надо рассматривать. Ну а если чтобы не ошибиться - пневмомикоз yes

С уважением, С.Н. Нагорный

Катенёв Валентин Львович's picture
Offline
Last seen: 7 years 6 months ago
Joined: 22.03.2008 - 22:15
Posts: 54876

Вы правы Сергей Николаевич. "Грибы", так проще - удел микологии.

И.Бондаренко's picture
Offline
Last seen: 1 hour 22 min ago
Joined: 13.09.2011 - 22:55
Posts: 9214

А, как насчёт гранулематоза Вегенера? 

Петрович's picture
Offline
Last seen: 7 years 8 months ago
Joined: 22.03.2009 - 01:13
Posts: 3908

Да, где же Автор? JC_wanted.gif

Неоднозначно всё

atexta's picture
Offline
Last seen: 3 years 3 months ago
Joined: 08.02.2014 - 18:41
Posts: 4842

Пока нет Автора поделюсь ссылкой и картинкой, случайно возникла необходимость найти инфу о поражении легких при РА

https://ppt-online.org/224847

 

Приложения: 
ra.jpg

Не нам судить…

А. Горюнов's picture
Offline
Last seen: 6 months 2 weeks ago
Joined: 07.10.2012 - 12:12
Posts: 2744

Спасибо за ссылку!

 

Анатолий Петрович