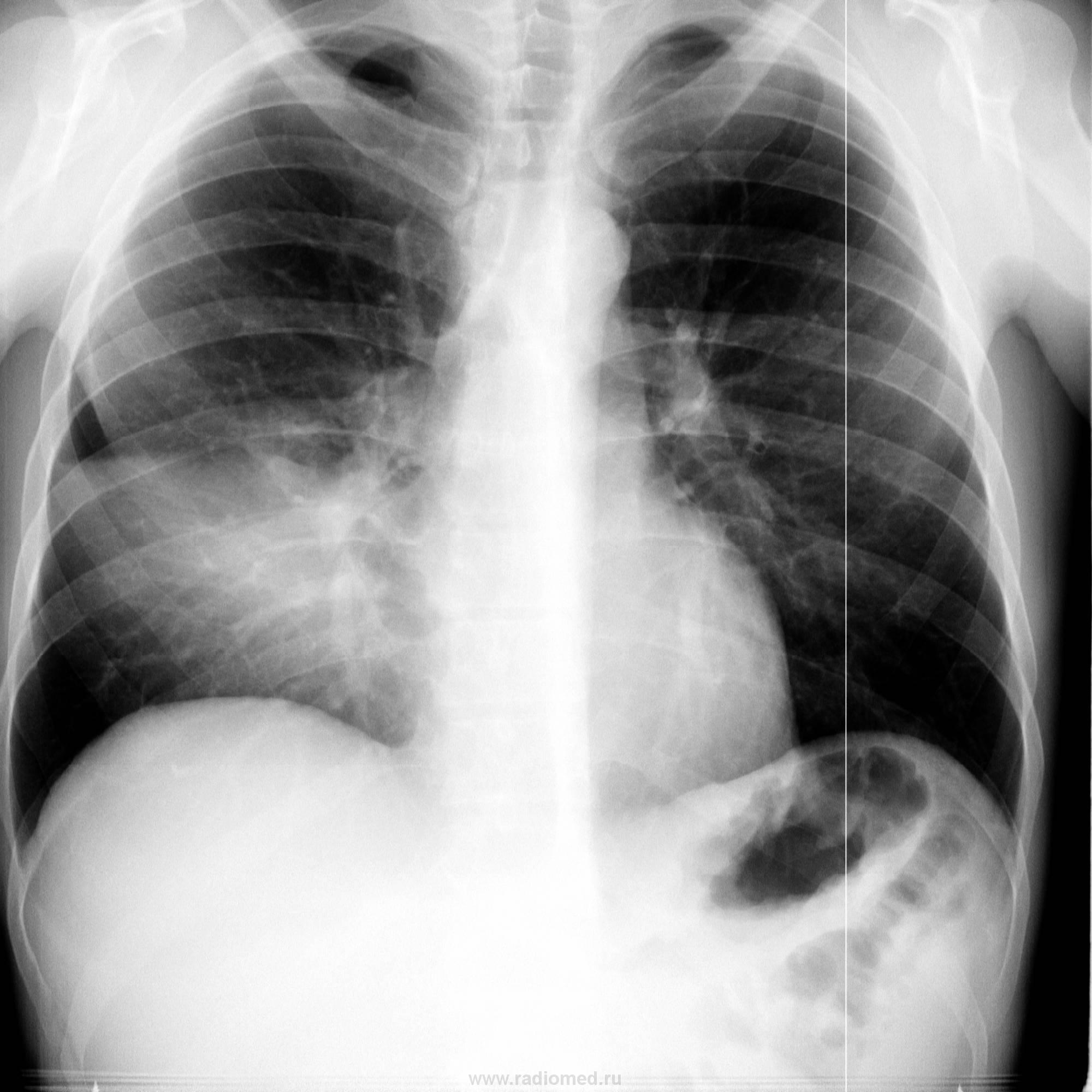
Дообследование в правой боковой проекции!! Однородное затенение, на фоне которого прослеживается легочный рисунок, отграниченное междолевой плеврой. Да и клинику хотелось бы знать.
Вы все молодцы...правильно все решили. Рабочие моменты ...и некоторая моя "вредность"...не позволили быстро выставить боковую проекцию. Клиника - воспаления.
Дообследование в правой боковой проекции!! Однородное затенение, на фоне которого прослеживается легочный рисунок, отграниченное междолевой плеврой. Да и клинику хотелось бы знать.
Интересно, если бы Вы описывали только обзорный снимок по дежурству, Ваше описание-заключение на этом бы закончилось?..
Виктор Григорьевич, а какая клиника? Затенетие с чёткими контурами нехарактерно для пневмонии, да и "хвостик" по главаной междолевой щели, позволяют предположить междолевой плеврит, но вам на месте наверное видее.
Хм, интересно во что выльется. Подпишусь. Мне, КТшнику, нечасто приходится видеть такие рентгенограммы, где в зоне такого достаточно однородного уплотнения, ограниченного долей -так прилично виден легочный рисунок.
Все, как говорится, налицо: острое начало, катаральные явления, высокая (до 38,5) температура. Госпитализирован. Если будет контроль - выставлю однозначно))))!, за мной не заржавеет)))
Гиповентиляция средней доли? Объёмный центральный процесс справа? Разве стали бы Вы представлять банальную пневмонию?
Исследование диагностическое, А, диагностическое подразумевает наличие бокового.
А я бы на первое место как раз и поставил бы среднедолевую пневмонию, неплохо бы сделать ФБС, будет и дигностическая и санационная.
По всей видимости, уважаемый Виктор Григорьевич, имеет в виду более общее - "среднедолевой синдром".
Такую картинку, вполне может дать и "междолевой выпот" в нижних отделах главной междолевой щели.
По одному обзорному-среднедолевая пневмония,парапневмонический междолевой плеврит.
Могу ошибиться.
Дообследование в правой боковой проекции!! Однородное затенение, на фоне которого прослеживается легочный рисунок, отграниченное междолевой плеврой. Да и клинику хотелось бы знать.
Вы все молодцы...правильно все решили. Рабочие моменты ...и некоторая моя "вредность"...не позволили быстро выставить боковую проекцию. Клиника - воспаления.
Просто уж больно "красиво".
Болезни ног: виды, симптомы, причины, профилактика и лечение
Интересно, если бы Вы описывали только обзорный снимок по дежурству, Ваше описание-заключение на этом бы закончилось?..
--------------
"Просто, по видимости, не видеть логики в очевидных вещах - это тоже одно из свойств некоторых умов, наряду с грустными думами о свойствах ума других." © Vega 08/10/2011
Мы здесь в игру-угадайку играем или обсуждаем на профессиональном уровне случаи из практики?
Синдром средней доли
The time has come, the rules have changed...
ФБС при пневмонии-круто) а лучше сразу на биопсию...
Это действительно - преждевременно и неоправдано, пока))).
Зачем выставил этот случай.
1. Классическая картина среднедолевого синдрома, в данном случае - пневмония.
2. Именно равномерное затемнение доли и просматривание легочного рисунка на этом фоне и есть особенностью, которую хотелось подчеркнуть.
Болезни ног: виды, симптомы, причины, профилактика и лечение
Красивый случай, уважаемый Виктор Григорьевич!
Я, конечно, развращенный томографией, 100% пневманию осознал бы только при наличии динамики.
Виктор Григорьевич, а какая клиника? Затенетие с чёткими контурами нехарактерно для пневмонии, да и "хвостик" по главаной междолевой щели, позволяют предположить междолевой плеврит, но вам на месте наверное видее.
С уважением Александр.
Хм, интересно во что выльется. Подпишусь. Мне, КТшнику, нечасто приходится видеть такие рентгенограммы, где в зоне такого достаточно однородного уплотнения, ограниченного долей -так прилично виден легочный рисунок.
С уважением, С.Н. Нагорный
Все, как говорится, налицо: острое начало, катаральные явления, высокая (до 38,5) температура. Госпитализирован. Если будет контроль - выставлю однозначно))))!, за мной не заржавеет)))
Болезни ног: виды, симптомы, причины, профилактика и лечение