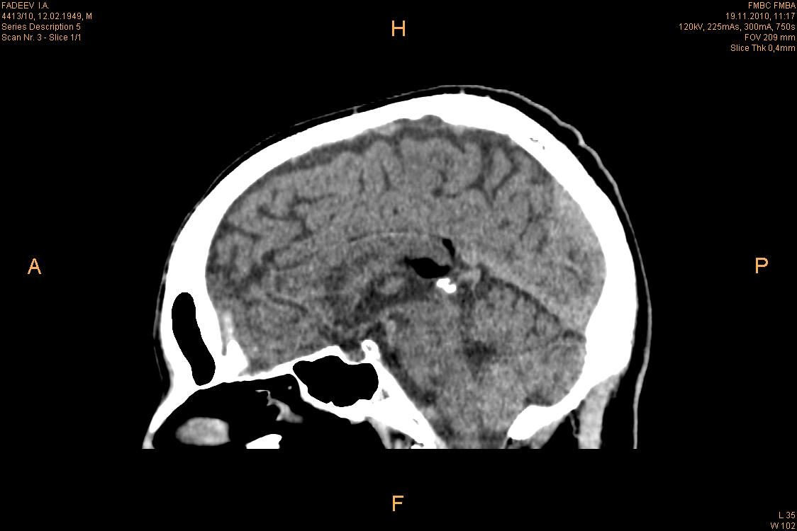
Вот обещал выкладываю!!! Данное образование было расценено, как липома мозолистого тела. Никаких данных зачем и почему делали КТ у меня нет, так как накопал этот случай в архиве, но точно помню, что клиники у пациента никакой не было! возраст 61 год https://radiomed.ru/sites/default/files/styles/case_slider_image/public/user/7335/2.jpg?itok=bIq6Jnnt https://radiomed.ru/sites/default/files/styles/case_slider_image/public/user/7335/3.jpg?itok=X0Zv3ICA https://radiomed.ru/sites/default/files/styles/case_slider_image/public/user/7335/4.jpg?itok=D3AEF2ea https://radiomed.ru/sites/default/files/styles/case_slider_image/public/user/7335/5.jpg?itok=1n7SCA9b ID:52310 Thu, 29/09/2011 - 10:41 #1 Гарик Offline Last seen: 9 years 11 months ago Joined: 21.11.2010 - 19:46 Posts: 16 1Приложения: Игорь Юрьевич Thu, 29/09/2011 - 14:20 #2 Nela Offline Last seen: 6 years 6 months ago Joined: 12.05.2009 - 20:43 Posts: 1847 Ну, да, перикаллезная липома. Случайная находка. Большое спасибо за демонстрацию. Thu, 29/09/2011 - 19:04 #3 Любовь С. Offline Last seen: 9 years 10 months ago Joined: 23.12.2010 - 01:58 Posts: 2324 за демонстрацию. Обратный смайл - за данные о пациенте. "Предоставляя весь смысл и совершенство в распоряжение одного только Бога, вы избавляете себя от бездны хлопот." Джон Уитборн.
1
Игорь Юрьевич
Ну, да, перикаллезная липома. Случайная находка.
Большое спасибо за демонстрацию.
"Предоставляя весь смысл и совершенство в распоряжение одного только Бога, вы избавляете себя от бездны хлопот." Джон Уитборн.