You are here

субарахноидального и внутрижелудочкового кровоизлияний

Пол пациента: 
Область исследования: 
Методы исследования: 

Пациент пришел на своих ногах, несколько заторможен. Госпитализирован в неврологическое отделение.

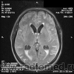
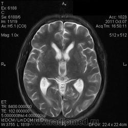
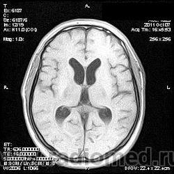
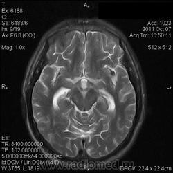
на МРТ - Определяется скопление крови в препонтинной цистерне, в проекции супраселлярной цистерны, в кортикальных бороздах полушарий головного мозга,  в проекции краниоспинального перехода. Выявляется горизонтальный уровень крови в задних рогах боковых желудочков. Боковые, третий желудочки резко расширены. Определяется перивентрикулярное повышение интенсивности сигнала от белого вещества головного мозга. Срединные структуры не смещены. Кортикальные борозды умеренно сглажены. Сильвиев водопровод прослеживается на всем протяжении. Отмечается смещение дна третьего желудочка каудально, с резким уменьшением размеров супраселлярной цистерны; базальные цистерны уменьшены в размере.

В проекции базальной артерии определяется аневризма размером до 4х6 мм.

  • https://radiomed.ru/sites/default/files/styles/case_slider_image/public/user/2841/krovoizl...0002.jpg?itok=n5qhhbgX
  • https://radiomed.ru/sites/default/files/styles/case_slider_image/public/user/2841/krovoizl...0003.jpg?itok=sPkyD4cD
  • https://radiomed.ru/sites/default/files/styles/case_slider_image/public/user/2841/krovoizl...0004_0.jpg?itok=IOTWE2JX
  • https://radiomed.ru/sites/default/files/styles/case_slider_image/public/user/2841/krovoizl...0005.jpg?itok=_OwXBTrP
  • https://radiomed.ru/sites/default/files/styles/case_slider_image/public/user/2841/krovoizl...0006.jpg?itok=jVlNZEGg
  • https://radiomed.ru/sites/default/files/styles/case_slider_image/public/user/2841/krovoizl...0007_0.jpg?itok=s8Bcgdbw
  • https://radiomed.ru/sites/default/files/styles/case_slider_image/public/user/2841/krovoizl...0008.jpg?itok=twCAKFps
  • https://radiomed.ru/sites/default/files/styles/case_slider_image/public/user/2841/krovoizl...0009.jpg?itok=GG1h8dTO
  • https://radiomed.ru/sites/default/files/styles/case_slider_image/public/user/2841/krovoizl...0010_0.jpg?itok=2lT7eXxY
  • https://radiomed.ru/sites/default/files/styles/case_slider_image/public/user/2841/krovoizl...0011.jpg?itok=5IP3eN4M
  • https://radiomed.ru/sites/default/files/styles/case_slider_image/public/user/2841/krovoizl...0012_0_1.jpg?itok=thTc4iqh
  • https://radiomed.ru/sites/default/files/styles/case_slider_image/public/user/2841/krovoizl...0012_0.jpg?itok=pHrhsvRz
  • https://radiomed.ru/sites/default/files/styles/case_slider_image/public/user/2841/krovoizl...0014_0.jpg?itok=9AIT4l7y
  • https://radiomed.ru/sites/default/files/styles/case_slider_image/public/user/2841/krovoizl...0015_0.jpg?itok=4vNjv3G9
  • https://radiomed.ru/sites/default/files/styles/case_slider_image/public/user/2841/krovoizl...0017_0.jpg?itok=xQCnMj0O
  • https://radiomed.ru/sites/default/files/styles/case_slider_image/public/user/2841/krovoizl...0020_0.jpg?itok=5o1IedT7
  • https://radiomed.ru/sites/default/files/styles/case_slider_image/public/user/2841/krovoizl...0023.jpg?itok=EY97WfHK
ID:16021
Helios's picture
Offline
Last seen: 11 months 4 weeks ago
Joined: 06.08.2010 - 15:16
Posts: 4417

Евгений, прошу прощения, но картинки нужно анонимизировать.

Широков.Евгений.'s picture
Offline
Last seen: 11 years 7 months ago
Joined: 31.08.2008 - 14:29
Posts: 77

да, поспешил как то выставить

Helios's picture
Offline
Last seen: 11 months 4 weeks ago
Joined: 06.08.2010 - 15:16
Posts: 4417

Сколько суток прошло от начала заболевания до  момента исследования?

Helios's picture
Offline
Last seen: 11 months 4 weeks ago
Joined: 06.08.2010 - 15:16
Posts: 4417

Сосуды не делали?

Танюша's picture
Offline
Last seen: 14 years 6 months ago
Joined: 08.09.2011 - 15:55
Posts: 175

Извините, что то у меня в голове не укладывается заключение и мр изображения. Так не смеятся надомной, но я не поняла в каком режиме выполнена последние аксиальные срезы? И аневризма была подтверждена на ангиографии ?

Helios's picture
Offline
Last seen: 11 months 4 weeks ago
Joined: 06.08.2010 - 15:16
Posts: 4417

Танюша, я  тоже как-то не совсем поняла, поэтому начала осторожно задавать вопросы, дабы не совсем показаться несведущей.Может быть, Евгений нам пояснит?

nnemo's picture
Offline
Last seen: 11 years 5 months ago
Joined: 13.09.2011 - 18:32
Posts: 561

Helios, Танюша а что конкретно у вас не укладывается между описанием и картинкой? Импульсные последовательности прикольные конечно; кровь выглядит не очень привычно, но это низкопольный Openmark. Какие еще варианы могут быть?

Танюша's picture
Offline
Last seen: 14 years 6 months ago
Joined: 08.09.2011 - 15:55
Posts: 175

Я не вижу участки скопления крови, а можно стрелочками указать, для особых не опытных ))) И аневризму стрелочкой пожалуйста. И все таки что за режим последней аксиальной? Tirm ( flair) ? Задние рога боковых желудочков мне не нравятся - но не ужели так кровь у вас видна ?

Nela's picture
Offline
Last seen: 6 years 5 months ago
Joined: 12.05.2009 - 20:43
Posts: 1847

Мне напоминает FLAIR. В желудочках уровни крови и белое по субарахноидальным щелям тоже кровь. Аневризму тоже не вижу. Может долихоэктазия, если смотреть на сагитталы. Мелковато для меня, наверное.

Танюша's picture
Offline
Last seen: 14 years 6 months ago
Joined: 08.09.2011 - 15:55
Posts: 175

А почему если это кровь то на т1 она не гиперинтенсивная, и на т2 она нет изменения сигнала? Гиперинтенсивный сигнал на FLAir в субарахноидальных я б подумала что глиозные изменения, но опять же я не вижу изменений на т2 ви. Или правда мелковато и мне не видно? Извините заранее я не спорю с заключением, просто пытаюсь разобраться - заодно и научиться

nnemo's picture
Offline
Last seen: 11 years 5 months ago
Joined: 13.09.2011 - 18:32
Posts: 561

Картинки действительно мелковаты. Я видел весь пакт изображений. Аневризма была хорошо видна на МР-ангиограммах, но Евгений их не выложил; а на обычных сканах ее четко не видно. Почему такие сигнальные характеристики у крови сложно сказать, я думаю, что в большую степень завязано давности кровоизлияния (четко не известно, когда оно произошло), на типе ИП и самом оборудовании... Такие вот мысли...

Извините, что выступаю вместо автора поста...

nnemo's picture
Offline
Last seen: 11 years 5 months ago
Joined: 13.09.2011 - 18:32
Posts: 561

Вот добавка к данномй кейсу

Приложения: 
anevrizma0002.jpganevrizma1.png
Танюша's picture
Offline
Last seen: 14 years 6 months ago
Joined: 08.09.2011 - 15:55
Posts: 175

Спасибо за разъяснения и стрелочки )))