Хочется ещё раз вернуться к вопросу о возможностях рентгенодиагностики сердечной патологии. Быть может, это породит конструктивную дискуссию.
Мужчина 54 лет готовится к операции на сердце. Что можно заключить по имеющимся рентгенограммам? В отличие от случая http://www.radiomed.ru/cases/kardiorentgenologiya-vozvrashchayas-k-bylomu Эхокардиографическая верификация есть и будет представлена после высказывания не менее 10 мнений (не обязательно разных).
Сразу предупреждаю: случай трудный, но Смелых трудности не остановят.
Итак, кто смелый? Победителя ожидает награда.
Не будет ли уважаемый Петрович настолько любезен, чтобы предоставить хоть какие-нибудь клинические данные, кроме пола и возраста?
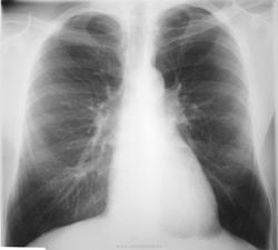
Форма и размеры срединной тени в пределах нормы, правда талия сглажена. В малом круге кровоток несколько уменьшен - корневые ветви артерий истончены. Венозного застоя нет. Правые отделы сердца не страдают. Левые камеры - незначительная гипертрофия левого жеудочка, вероятна гипертоническая болезнь. Узур в ребрах нет - коарктация аорты маловероятна. Казуистика - типа миксом левого предсердия по обзорным снимкам - недоказуема, но хорошо видна именно на УЗИ.
Мне очень грустно, уважаемый Гриша, но по законам сего Турнира, заповеданным ещё более уважаемым Основоположником, клинические данные, несвоевременно данные могут нарушить стройное течение рентгенодиагностической мысли даже банально увести в колею оценки разных там терапевтических симптомов, анализов, экг, что было бы естественно на сайте терапевтов, но неуместно на сайте медицинской Элиты. Основоположник, напомню, давал только рентгенограмму. Я же с учётом трудности и нетривиальности задачи, немного размочил чёрствую корку)). Опять же Виктор Григорьевич, в сходном случае тоже клиникой не побаловал.
Неоднозначно всё
1. Да какая там клиника....(это я по ТОМУ случаю), ни тебе цианоза, ни одышки...прямо цветущая барышня.
2. Уж не шунтироваться ли собирается данный пациент?)))
Болезни ног: виды, симптомы, причины, профилактика и лечение
Пока промолчу об операции. Но всё же добавлю, что диагноз заболевания ведущего к ней установлен более 3 лет назад. Нынешнее состояние пациента не назову среднетяжелым, но видимо, перспективы безрадостны и тянуть смысла нет.
Неоднозначно всё
Соглашаясь, в целом, с Анатолием Владимировичем в описательной части, тем не менее, добавлю вот какой ньюанс- "заострение" кардиовазального угла в левой боковой проекции и "выбухание", как бы локально, восходящей аорты в начальном ее отделе.
Схемку добавляю, извините, что рисунок несколько деформирован, важно принципиальное видение в данном случае, а не точность )))
Болезни ног: виды, симптомы, причины, профилактика и лечение
По-моему, "угадывание" диагноза по скудным рентгенологическим данным -вообще не задача врача. Эта задача имеет мало общего с анализом клинико-рентгенологической картины и формированием обоснованного рентгенологического заключения - то есть, с тем, чем действительно должен заниматься врач.
А если это Лебединая Песня?
Неоднозначно всё
Правильно - ДОЛЖЕН! А на практике - нам бросают на стол один (кучу) снимков с просьбой "описать". Вот мы и выискиваем эти самые "скудные" признаки, ибо НЕКОТОРЫМ слабо написать пару-тройку строчек. Разве не так? А сайт это не история болезни))). Здесь каждый вправе задавать "тон" и "стиль" сообщений и ответов на них. Дело каждого - соглашаться, не соглашаться, участвовать, не участвовать...
Болезни ног: виды, симптомы, причины, профилактика и лечение
Мне кажется,что слева сосуды расширены, как общий ствол, так и более мелкие ветви. Почему? Пока не знаю.
Без клинических данных действительно сложно. По рентгенкартине: легочный рисунок близок к норме, корни не настораживают. Слабо выражена дуга оарты для возраста пациента, признаки гипертрофии левого желудочка, хотя и не кричащие. В восходящей аорте (по переднему контуру) локальное выпячиванние (указано Виктором Григорьевичем). Рискну предположить наличие у больного аортального стеноза.
Делай, что должно, и будь, что будет.
С тем, что каждый вправе задавать свой стиль - я согласен. Я просто хотел обратить внимание на странность самой задачи.
Но, обратите внимание, не смотря на всю "странность" задачи, можно сказать общими усилиями, вырисовалось и заключение, Хеленмар его озвучила.
Другое дело - правы мы были или нет, вот теперь слово Петровичу.
Болезни ног: виды, симптомы, причины, профилактика и лечение
Не-не. Выход Петровича во втором акте. В активе пока 4 конструктивных мнения, ну ещё 2 неконструктивных. "Маловато будет!" Подождём ещё отважных, которые припозднились)).
Неоднозначно всё
Ура! Придумал!
Поскольку задача сложна до полной неразрешимости, будем действовать методом исключения. Если коллеги высказывают диагноз несоответствующий верному, я его отрицаю и поиск можно продолжать в сужающемся круге.
Мне очень жаль, уважаемая Хеленмар, но у больного аортального стеноза нет.
Неоднозначно всё
Я классической рентгенологией занимаюсь редко (очень жалею) и только на сайте, в основном, но не нравится боковой... Нет ли какой-нибудь аневризмы синуса Вальсальвы (обычно, это правый коронарный синус)?
С уважением, С.Н. Нагорный
Сергей Николаевич, данных указывающих на наличие аневризмы синуса Вальсальвы нет.
Неоднозначно всё
- Я - смелый, я!
- Ну, так отвечай, чего ждёшь!..
- Я и говорю, я - смелый, пришёл за наградой!
--------------
"Просто, по видимости, не видеть логики в очевидных вещах - это тоже одно из свойств некоторых умов, наряду с грустными думами о свойствах ума других." © Vega 08/10/2011
– Вот и отлично! Теперь победи! Награда-то Победителю!
Неоднозначно всё
... Вот если бы исполнение желаний!..
--------------
"Просто, по видимости, не видеть логики в очевидных вещах - это тоже одно из свойств некоторых умов, наряду с грустными думами о свойствах ума других." © Vega 08/10/2011
А каков правильный ответ и каково желание?
Неоднозначно всё
Правильного ответа при жизни больного не дождётесь!.. Разве что УЗИ прояснит что-то, но не Rg-граммы в данном случае.
А с неправильными помогу!.. Вроде, ещё три осталось.
№8 - недостаточность митрального клапана.
№9 - недостаточность трикуспидального клапана.
№10 - трикуспидальный стеноз,.. аортальный уже поминали!.. Ещё? Или пока хватит?..
Ну, "а мы пойдём на север!" Поддержу Виктора Григорьевича, я - за АКШ!
--------------
"Просто, по видимости, не видеть логики в очевидных вещах - это тоже одно из свойств некоторых умов, наряду с грустными думами о свойствах ума других." © Vega 08/10/2011
Это неспортивно: 3 диагноза наугад без всякой аргументации. Но среди них один верный. Кто сделает последнее усилие?
Неоднозначно всё
Я гораздо лучше гадаю по кроличьей печени или куриным потрошкам, но вынужден принять условия турнира. Как и предыдущие ораторы склонен думать, что мужчины подобного возраста должны готовиться к операциям на коронарных сосудах, но это плохо сочетается с методом предстоящей верификации. По-этому предположу, что здесь пролапс створки митрального клапана на фоне ИБС, атеросклероза.
В деталях Гриша ошибся, но в целом чутьё не подвело)).
Неоднозначно всё
Гриша заслужил награду.
1. Глубокое моральное удовлетворение.
2. Скупую похвалу Петровича.
А что ещё нужно Гению? Вон Перельман и от 1.000.000$ оказался и от звания Академика.
Неоднозначно всё
Петрович, наконец-то! я сто раз заходил в тему с целью увидеть верифицированный диагноз. А можно как-то пояснить признаки на снимках, дающие возможность заподозрить такую патологию?
С уважением, С.Н. Нагорный
Увы, классическая рентгенология здесь буксует, не случайно так разошлись мнения классиков. Но лично я считаю что здесь «слишком хорошо» видны лёгочные вены. Правда, только справа. Небольшой поворот пациента влево способствовал этому. А вот увеличения левого средостения, которое должно быть при данном пороке выражено и о котором пишут узисты, не вижу.
Неоднозначно всё
... и не забудем. Не забудем, что "Quod licet Iovi, non licet bovi". Не забудем, что искажать рентгенологическую действительность, ничтоже сумняшеся вносить сумбур в НЕстройные ряды юных рентгенологов - не есть хорошо!..
Пару слов и пару картинок ... про лёгочные вены.
"Легочные вены и их долевые деления при рентгеноскопии и на обзорных рентгенограммах в корнях легких выявляются недостаточно отчетливо. Верхняя и нижняя ветви легочных вен пересекают легочные артерии в поперечном направлении и скрываются в тени средостения."
"Для рентгеносемиотики легочного рисунка у людей молодого и среднего возраста характерны:
... - преимущественно горизонтальное расположение в легочных полях разветвлений венозных сосудов, что в большей степени наблюдается в средних и нижних поясах легких;
- равномерное сужение линейных сосудистых элементов от корней легких к их периферии для артериальных и для венозных сосудов;
- четкость контуров элементов нормального легочного рисунка..." (см. рисунок)
Мысли по конкретному наблюдению.
Ещё одно подтверждение и наглядная иллюстрация того, что приоритет в диагностике сердечной патологии прочно удерживают узисты. Что называется в продолжение темы...
Почему по рентгенограммам нельзя было заподозрить наличие сердечной патологии?
- Согласно данным ЭХО, неполноценной является только одна створка митрального клапана, и возможной причиной этого является разрыв доп. хорды, удерживавшей створку ранее. Регургитация есть, значительная, но всё же не такая, как если бы недостаточными были обе створки клапана, со вторичным расширением митрального отверстия...
Почему не произошло ремоделирования (увеличения) миокарда?
- Во-первых, вследствие сдерживающего давления эмфизематозно изменённых лёгких. Во-вторых, в связи с недостаточным износом самого миокарда. Да, срыв компенсаторных механизмов может произойти в любое время, но ещё не случился. В том числе вследствие своевременной диагностики патологии и соблюдении рекомендаций охранительного режима...
--------------
"Просто, по видимости, не видеть логики в очевидных вещах - это тоже одно из свойств некоторых умов, наряду с грустными думами о свойствах ума других." © Vega 08/10/2011
Поучительно, что сказать! Спасибо, Петрович! Но рентгенологически - недостаточность митрального...только в виде догадки, да и та, если честно, меня, в отличие от Гриши, не посетила))))
Болезни ног: виды, симптомы, причины, профилактика и лечение
Признаюсь, что мысль о пролапсе створки митрального клапана меня посетила совсем не после анализа рентгенограмм. В следующий раз, Петрович, не называйте пол, возраст, метод верификации диагноза и награда достанится только Вам. Хотя, Анатолий Владимирович Шумаков писал о миксомах левого предсердия. Ему тоже награда положена.
Не будем, Гриша волноваться, вопрос о премиях закрыт, но не мешает разобраться - чему же верит наш синклит, как появились ультразвуки - мы сплошь испытываем стресс - пошли совсем в другие руки - диагнозы мудрей небес... И все оторванные хорды, пролапсы - стали пришивать, а мы остались как барбосы вдоль у обочины стоять... Хоть нам подробностей не видно, но после Фоно и УЗИ - за снимки нам вдвойне обидно, но что тут делать - се ля ви...
Браво, Анатолий Владимирович!
Болезни ног: виды, симптомы, причины, профилактика и лечение
Спасибо всем участникам турнира.
Анатолий Владимирович, мне тоже грустно.
Неоднозначно всё
Забыл написать: предстоящая операция – протезирование митрального клапана.
Неоднозначно всё
- Про барбосов не понравилось... И за снимки (вернее, их интерпретацию) мне никогда не бывает обидно - предел возможностей метода. Но я рад, что есть более точные, специфичные и достоверные методы! Прогресс не остановить! Я - за качественную диагностику!
--------------
"Просто, по видимости, не видеть логики в очевидных вещах - это тоже одно из свойств некоторых умов, наряду с грустными думами о свойствах ума других." © Vega 08/10/2011
- Это логично!
--------------
"Просто, по видимости, не видеть логики в очевидных вещах - это тоже одно из свойств некоторых умов, наряду с грустными думами о свойствах ума других." © Vega 08/10/2011