You are here

Желчный пузырь

Пол пациента: 
Тип патологии: 
Область исследования: 
Методы исследования: 

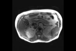
Пациентка 27 лет. Поступила в госпиталь с предыдущего этапа оказания медицинской помощи с диагнозом направления "механическая желтуха. Камень правого печеночного протока". Желтая, как канарейка. Но живот практически безболезный. Небольшое чувство тяжести в правом подреберье. Проведено повторное УЗИ. Данных за билиарную гипертензию не выявлено. Зато получено вот такое изображение желчного пузыря. Внутренние структуры пузыря практически не отличаются от стенки желчного пузыря.

Изображение

Через 5 дней повторное УЗИ.

Изображение

Внутренние структуры однородные. Отмечается некоторое утолщение стенки пузыря.

 

Dr.Mario's picture
Offline
Last seen: 11 years 6 months ago
Joined: 06.08.2008 - 08:44
Posts: 920

Первым делом надо исключать острый гепатит, утолщённые слоистые стенки пузыря с "облитерацией просвета" (в отличие от острого холецистита, когда просвет сохраняется); очень частая (и кстати, обратимая) находка на ранних стадиях острых гепатитов.

Let me see...

radiographia.ru

Евгений Магонов's picture
Offline
Last seen: 3 weeks 3 hours ago
Joined: 07.03.2008 - 15:28
Posts: 1273

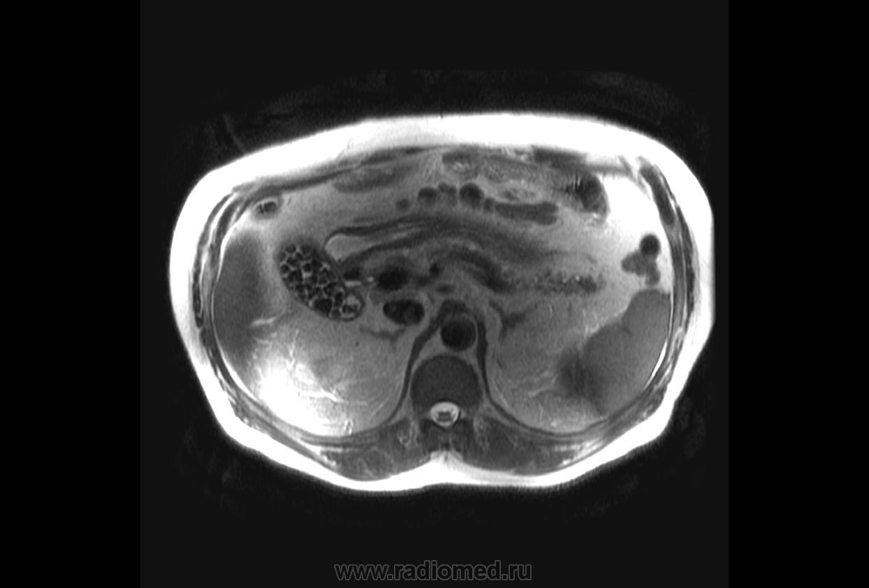
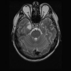
Извиняюсь за оффтопик, у меня сегодня пациент тоже обследовался по другому поводу, на желчный пузырь не жаловался. И не желтый.

Изображение Изображение Изображение Изображение

Добрый админ

Dr.Mario's picture
Offline
Last seen: 11 years 6 months ago
Joined: 06.08.2008 - 08:44
Posts: 920


Всегда любил смотреть как выглядят камни жёлчного пузыря на МРТ. Чёрные дыры вселенной... Клёвый

Let me see...

radiographia.ru