Стоматология. Амелобластома (адамантинома). +

 Амелобластома.

Катенёв Валентин Львович's picture
Offline
Last seen: 7 years 4 months ago
Joined: 22.03.2008 - 22:15
Posts: 54876

Амелобластома.

Приложения: 
23.am_.slayd3_.jpg24.am_.slayd4_.jpg25.5.am_.slayd5_.jpg
Катенёв Валентин Львович's picture
Offline
Last seen: 7 years 4 months ago
Joined: 22.03.2008 - 22:15
Posts: 54876

Амелобластома.

Приложения: 
1.amelo_.slayd20.jpg2.ame_.slayd21.jpg3.ame_.slayd22.jpg1.ame_.4.ad_.slayd157.jpg2.ame_.5.ad_.slayd158.jpg3.ame_.6.ad_.slayd159.jpg4.ame_.7.ad_.slayd160.jpg5.ame_.8.ad_.slayd161.jpg6.ame_.1.a.slayd162.jpg7.ame_.1.a.slayd163.jpg
Катенёв Валентин Львович's picture
Offline
Last seen: 7 years 4 months ago
Joined: 22.03.2008 - 22:15
Posts: 54876

Амелобластома.

Приложения: 
1.ame_.2.ad_.slayd147.jpg2.ame_.3.ad_.slayd148.jpg3.ame_.1.ad_.slayd146.jpg4.ame_.6.ad_.slayd151.jpg5.ame_.7.ad_.slayd152.jpg6.ame_.8.ad_.slayd153.jpg7.ame_.1.ad_.slayd154.jpg
Катенёв Валентин Львович's picture
Offline
Last seen: 7 years 4 months ago
Joined: 22.03.2008 - 22:15
Posts: 54876

Амелобластома.

Приложения: 
1.amelo_.105.sl_..jpg2.a.slayd164.jpg3.a.slayd165.jpg4.a.slayd166.jpg5.a.slayd167.jpg4.ad_.slayd149.jpg
Катенёв Валентин Львович's picture
Offline
Last seen: 7 years 4 months ago
Joined: 22.03.2008 - 22:15
Posts: 54876

Амелобластома.

Приложения: 
11.amelo_.slayd40.jpg12.amelo_.slayd41.jpg13.amelo_.slayd42.jpg14.amelo_.slayd43.jpg15.amelo_.slayd44.jpg
Катенёв Валентин Львович's picture
Offline
Last seen: 7 years 4 months ago
Joined: 22.03.2008 - 22:15
Posts: 54876

Амелобластома.

Приложения: 
ameloblastoma2.jpgameloblastoma3.jpg
Катенёв Валентин Львович's picture
Offline
Last seen: 7 years 4 months ago
Joined: 22.03.2008 - 22:15
Posts: 54876

Амелобластома - доброкачественная одонтогенная эпителиальная опухоль, способная к инвазивному росту. Развивается внутри кости, по микроструктуре напоминает стадии развития эмалевого органа, наблюдается чаще у лиц среднего возраста, в 80% случаев поражает тело нижней челюсти в области моляров и премоляров, а также угол и ветвь нижней челюсти. Редко она обнаруживается в области резцов. Проявляется чаще в возрасте 20-50 лет с одинаковой частотой у лиц обоего полу, может встречаться и у детей.
Макроскопически пораженная челюсть веретенообразно утолщена («вздутие»), при разрушении кортикальной пластинки опухоль прорастает в мягкие ткани десны и дна полости рта; ткань опухоли серовато-розового цвета, мелкозернистого вида, может содержать кисты, иногда довольно крупные; различают кистозную и редко встречающуюся солидную форму опухоли.
Микроскопически опухолевая ткань представлена островками, состоящими из массы звездчатых клеток, окруженых слоем кубических и цилиндрических клеток, и сходна со строением эмалевого органа. В островках довольно часто формируются кисты. Опухолевые клетки прорастают в подлежащую костную ткань. Различают более пяти вариантов микроструктуры опухоли: 1) фолликулярный, 2) сетчатый (сетевидный), 3) плексиформный, 4) ксантоматозный, 5) базально-клеточный, 6)гранулярно-клеточный и др.
Фолликулярная форма состоит из островков одонтогенного эпителия различной величины и формы, напоминающих строение эмалевого органа - по периферии островков частоколом располагаются клетки цилиндрического эпителия, а в центре они приобретают звездчатую форму (эпителиальный ретикулум). Эпителиальные комплексы располагаются в довольно зрелой соединительно тканной строме. В результате дистрофии в центре островков начинается процесс кистообразования, который может оказаться преобладающим.
Сетевидная форма представлена тяжами одонтоенного эпителия с его причудливыми ветвлениями.
Плексиформный вариант характеризуется тяжами эпителия неправильных очертаний, переплетающихся в виде сети. По периферии тяжи ограничены цилиндрическими или кубическими клетками, в центре намечаются фокусы ретикулирования эпителия или скопления клеток полигональной формы. Часто отмечается образование кист за счет дегенеративных процессов в строме.

Катенёв Валентин Львович's picture
Offline
Last seen: 7 years 4 months ago
Joined: 22.03.2008 - 22:15
Posts: 54876

Кисты и кистоподобные образования нижней челюсти

http://radiographics.rsna.org/content/19/5/1107.full

Катенёв Валентин Львович's picture
Offline
Last seen: 7 years 4 months ago
Joined: 22.03.2008 - 22:15
Posts: 54876

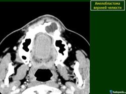
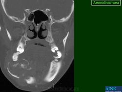
Амелобластома

<p>3D reconstruction giving a global overview of the lesion and the floating nature of the 2nd molar is well illustrated.</p>

ID: 23670 Ameloblastoma Dr Ian Bickle - 2 Jul 2013

<p>Axial</p></p> <p>

ID: 3992 Ameloblastoma - maxillary Dr Frank Gaillard - 7 Jul 2008 CT through the maxilla obtained with contrast demonstrates a cystic lesi...

Случаи и цифры

  •  
    Случай 1: с резкой en-bloc
  •  
    Дело 1
  •  
    Случай 2
  • коронарный
     
    Случай 3
  •  
    Случай 4
  • OPG & # 160;
     
    Случай 5
  •  
    Случай 6
  •  
    Случай 7: 3D-реконструкция
  •  
    Случай 8
  •  
    Случай 9
  •  
    Случай 10
  •  
    Случай 11
  •  
    Случай 12

Дифференциальная диагностика изображения

  •  
    одонтогенная опухоль
  •  
    Зубная киста
  •  
    Ц