You are here

Инфильтративный туберкулёз верхней доли левого лёгкого. Динамика через 1 год.

Пол пациента: 
Тип патологии: 
Методы исследования: 

Гражданин "взят на контроль" после прохождения профилактической флюорографии. Жалоб не предъявляет, считает себя здоровым.

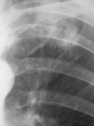
На обзорной рентгенограмме органов грудной полости, произведенной в прямой стандартной проекции, слева на уровне 1 межреберья определяется снижение прозрачности легочной ткани в виде инфильтративной (фокусной тени), округлой формы. Данная фокусная тень соединяется с корнем левого лёгкого при помощи "дорожки".

ИзображениеИзображениеИзображение

При анализе "тени фокусной тени". Тень средней интенсивности, неоднородной структуры (с несколькими, различных размеров и формы просветлениями), с нечеткими контурами.

ИзображениеИзображениеИзображение

Структура тени "соединительной дорожки" представлена, в основном, "линейными компонентами".

ИзображениеИзображениеИзображение

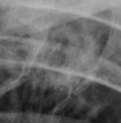
Произведена линейная томография в прямой проекции в "стандартных срезах".

Срез № 1.

ИзображениеИзображениеИзображение

Срез № 2.

ИзображениеИзображениеИзображение

Срез № 3.

ИзображениеИзображениеИзображение

Изображение

Рентгенологически выставлен диагноз инфильтративного туберкулеза верхней доли левого лёгкого, с преимущественным поражением 1 сегмента в фазе распада. Пациент госпитализирован с туб. отделение, выявлены МБТ.

Ola-la's picture
Offline
Last seen: 11 months 1 week ago
Joined: 06.12.2008 - 09:33
Posts: 1786

Так...с инфильтративным туберкулезом понятно, правда я, если честно, на линейных томограммах ничего не понимаю.

И еще вопрос - слева нет сегмента S1, есть S1-2 (как меня учили), или это не имеет значения при написании?

Катенёв Валентин Львович's picture
Offline
Last seen: 7 years 1 month ago
Joined: 22.03.2008 - 22:15
Posts: 54876

Вы считаете, что в протоколе исследования должно быть написано "с преимущественным поражением 1+2 сегмента слева", а не "с преимущественным поражением 1 сегмента слева"?

Николай's picture
Offline
Last seen: 2 years 10 months ago
Joined: 29.05.2009 - 04:38
Posts: 554

Вырхние снимки это флюорограммы или обзорные рентгенограммы? Валентин Львович вы эти снимки фотографируете или непосредственно с цифрового флюорографа переносите? На боковом прицельном снимке тоже неплохо просматривается распад в инфильтрате. Странно что больного ничего не беспокоит, хотя не исключено что недоговаривает.

Катенёв Валентин Львович's picture
Offline
Last seen: 7 years 1 month ago
Joined: 22.03.2008 - 22:15
Posts: 54876

Здравствуйте коллега Николай!

Флюорограммы не представлял, флюорограммы будут представлены позднее. Верхние снимки - рентгенограммы. Эти изображения я фотографировал с рентгенограмм и томограмм. Да, боковая весьма хорошая. Я позднее добавлю ещё вместе с другим случаем в этой же ветке.

С пациентом разговаривал сам, сразу пригласил коллегу фтизиатра - жалоб нет, и именно отсутсвие каких-либо жалоб при таком "инфильтрате с распадом" позволило не вдаваться в дифференциально-диагностический ряд.

Самое интересное, что "пациент" устраивается на работу в структуру "пищевой промышленности".

Катенёв Валентин Львович's picture
Offline
Last seen: 7 years 1 month ago
Joined: 22.03.2008 - 22:15
Posts: 54876

Николай

"На боковом прицельном снимке тоже неплохо просматривается распад в инфильтрате".

Хочу уточнить. Это не боковой прицельный снимок, это фрагмент "боковой рентгенограммы", только с большим увеличением и распад, как Вы совершенно правильно заметили, просматривается на фоне инфильтрата.

Николай's picture
Offline
Last seen: 2 years 10 months ago
Joined: 29.05.2009 - 04:38
Posts: 554

Спасибо вам Ваоентин Львович за интересные снимки. В какой программе вы обрабатываете отснятые снимки? Купил цифровой аппарат также собираюсь отслеживать и выставлять интересные случаи.

Катенёв Валентин Львович's picture
Offline
Last seen: 7 years 1 month ago
Joined: 22.03.2008 - 22:15
Posts: 54876

Программа "Олимпус", именно для цифрового аппарата.

Николай's picture
Offline
Last seen: 2 years 10 months ago
Joined: 29.05.2009 - 04:38
Posts: 554

Спасибо я купил фотоаппарат "Олимпус"

Катенёв Валентин Львович's picture
Offline
Last seen: 7 years 1 month ago
Joined: 22.03.2008 - 22:15
Posts: 54876

Прошу прощения за вопрос. Профиль Вашей работы фтизо-пульмонологический?

Николай's picture
Offline
Last seen: 2 years 10 months ago
Joined: 29.05.2009 - 04:38
Posts: 554

Да я работаю в туберкулёзном диспансере. Правда опыт не большой. Сразу после института по распределению попал в диспансер, а там прошел специализацию по рентгенологии. Можно сказать начинающий не опытный рентгенолог. Хотелось бы пройти ордитнатуру по рентгенологии в России.

Катенёв Валентин Львович's picture
Offline
Last seen: 7 years 1 month ago
Joined: 22.03.2008 - 22:15
Posts: 54876

ИзображениеИзображение

ИзображениеИзображение

ИзображениеИзображениеИзображение

ИзображениеИзображение

ИзображениеИзображениеИзображение

 

Катенёв Валентин Львович's picture
Offline
Last seen: 7 years 1 month ago
Joined: 22.03.2008 - 22:15
Posts: 54876

Классика жанра...