Вот такая динамика. Первый снимок я добыл позже. Между первым и вторым пациент лечил пневмонию в домашних условиях. В дальнейшем ее же в условиях стационара без финансовых и лекарственных ограничений.
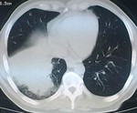
Оказываетя, что за год до этого пациенту была удалена опухоль на бедре, гистологически синовиальная саркома. Было произведено КТ ОГК. Подтвердили пневмонию, мета в позвоночник.
Для полной картины я сделал рутинную рентгенограмму позвоночника. Можно с большим натягом придраться к одному из тел (TH3), имея КТ. Прямая не информативна. А вопрос такой: могут ли быть эти изменения в легких отголоском той операции.
Не зная, что была такая операция (больной вначале это притаил, видимо не хотел к этому возвращаться) я предположил БАР, но компъютерщики развеяли мои подозрения. Поэтому я бы хотел знатоков КТ-дела проанализировать сканы, все ли там в порядке с корнем и т.д.
Не зная, что была такая операция (больной вначале это притаил, видимо не хотел к этому возвращаться) я предположил БАР, но компъютерщики развеяли мои подозрения.
И, на каком основании КТ-ологи "развеяли" Ваши подозрения..., может на картах Таро кинули?
В диф.ряд включила бы рак, непременно. На мой взгляд, только КТ-динамика после лечения и с контрастированием могла бы решить вопрос ЗА или ПРОТИВ онкологии в правом легком. С корнем явно не в порядке, расширен, но за счет чего - ?
При пневмонии тоже может быть выраженная реакция ВГЛУ.
Пневмонии тут нет никаким боком. Не было КТ - высказался бы за БАР. На КТ, в легких -типичный раковый лимфангаит (кстати, слева тоже, еще чуть-чуть и полыхнет). Так что, 100% метастазирование. И это кроме очевидного метастаза в позвонок. А корень надо оценивать в "медиастинальном" окне.
Видя такую картину ну никак нельзя однозначно отмести опухоль. Просто не вникая в анамнез и прочее написал бы и пневмониеподобную форму БАР в качестве варианта, предложил бы динамику после лечения. Тут вся суть не в том, что БАР не БАР, а суть в том, что это не совсем похоже на пневмонию.
Пневмония она и в Африке пневмония.БАР и прочее-от лукавого.
Компетентное мнение специалиста по Африке?)))) Евгений, вы неправы. А если абстрагироваться от богословия и попытаться представить реальность онкологии? Мне кажется, она, онкология, весьма реальна, пока не доказано обратное. Вы не могли бы аргументировать свое мнение?
"Предоставляя весь смысл и совершенство в распоряжение одного только Бога, вы избавляете себя от бездны хлопот." Джон Уитборн.
Здесь налицо норастание альвеолярного компонета.А лимфостаз-это хвост каметы, её кстати и не видно. Остальное точно от беса.
"Хвост кометы" - хороший, фундаментальный скиалогический симптом, характерный для рака молочной железы, хорошо описан и иллюстрирован в монографии Корженковой.
Говоря про "хвост кометы" при раках подразумевается десмопластическая реакция, по крайней мере у меня, которая характерна при железестых раках. Про нее никто и не говорит тут, а говорят (говорю) про лимфостаз.
"Хвост кометы" и в легких бывает)) - при округлом ателектазе. Только в данном случае это мимо кассы.
P.S. Не видела коммента СН. Вы, коллега, поосторожнее со словами... офф топ, конечно! Но "десмопластическая" - так и на вызов экзорциста можно нарваться)))))
"Предоставляя весь смысл и совершенство в распоряжение одного только Бога, вы избавляете себя от бездны хлопот." Джон Уитборн.
При раках легкого тяжи к корню легкого и к плевре, более выражены при железестых раках и являются проявлением десмопластических реакций. Любовь. С, что не так? Про "хвост кометы" вообще при КТ не упоминаю, тяжи и тяжи...
Всё в порядке, Сергей Николаевич)). К Вам никаких претензий не имею. Обсуждение вообще, вне частного - я о своих словах. А про экзорциста - шутка, не более, упоминание бесов навеяло)))
И всем здравствуйте!
"Предоставляя весь смысл и совершенство в распоряжение одного только Бога, вы избавляете себя от бездны хлопот." Джон Уитборн.
Большинство вирусных и бактериальных пневмоний оканчиваются выздоровлением больных. Инфильтрация легочной ткани, по данным рентгенологического контроля, полностью исчезает примерно через 3—4 нед после начала болезни. По Н. С. Молчанову (1965), острую пневмонию следует считать затянувшейся, если воспалительный процесс не разрешился в течение месяца. За неразрешающуюся пневмонию часто принимают все инфильтрации легкого, которые в сочетании с лихорадкой первоначально диагностируются и лечатся как пневмония, и которая не исчезает, несмотря на противовоспалительную терапию в течение 3—4 нед. Чаще к этому сроку перед врачом встает важная диагностическая проблема: считать ли все еще сохраняющуюся инфильтрацию в легких затянувшейся бактериальной, микоплазматической, вирусной пневмонией, отнести ли ее к группе аллергических, микобактериальных пневмоний или признать ее одним из синдромов какой-либо другой болезни. Выяснение этиологии неразрешающейся пневмонии относится к числу весьма трудных диагностических проблем и требует от врача умения синтезировать результаты многих методов исследования. Длительное сохранение инфильтрации легкого может быть следствием недостаточной выраженности процесса резорбции воспалительного экссудата, возникшего в остром периоде болезни (приложение). Инфильтрация легких в некоторых случаях может оказаться не пневмонией, а другой болезнью, например лимфогранулематозом. Синдром пневмонии может присоединиться к другим болезням легких, например к опухоли бронха. Иногда пневмония служит лишь одним из проявлений какой-либо общей болезни, например орнитоза, болезней сердечно-сосудистой или центральной нервной системы. Естественно, что длительная инфильтрация легких в сочетании с той или иной выраженностью лихорадки и со сдвигами в составе крови в подобных случаях определяется главным образом характером и закономерностями основной болезни. Большинство острых пневмоний, наблюдаемых в терапевтических отделениях для взрослых, имеет пневмококковое или вирусное происхождение. Пневмонии, вызванные стафилококками и грамотрицательными бактериями, встречаются значительно реже. Указанная последовательность в частоте отдельных возбудителей сохраняется и в группе неразрешившихся пневмоний. Пневмококковые пневмонии составляют 20%, стафилококковые — 8,6%, микоплазменные — 2% всех неразрешившихся пневмоний. Доля неразрешающихся пневмоний, вызванных грамотрицательными бактериями составляет 6,7%. Таким образом, практический опьп указывает, что неуазрешающаяся пневмония чаще всего оказывается пневмонией, вызванной бактериями и вирусами. Среди значительного числа причин, задерживающих разрешение пневмонии, следует обратить особое внимание на ятрогенные. Введение в терапию сульфамидов и антибиотиков привело к выраженному понижению смертности от бактериальных пневмоний. Одновременно с этим изменилось течение пневмоний, реже стали встречаться легочные нагноения и эмпиема, возросло число хронических пневмоний. Замедленное разрешение пневмоний до появления сульфамидов и антибиотиков отмечалось в 4%, а после их широкого внедрения в лечебную практику оно стало наблюдаться в 15% пневмоний. Увеличение числа медленно разрешающихся пневмоний объясняется изменением возраста госпитализированных больных. В наше время в стационар направляют главным образом больных пожилого и старческого возраста, у которых нередко обнаруживаются хронические болезни легких (бронхо-эктазы, пневмосклероз), сахарный диабет, аритмии, сердечная недостаточность. Таким образом, замедленное разрешение пневмонии можно объяснить отчасти изменением реактивности больных пожилого и старческого возраста, которые часто страдают сопутствующими болезнями, нарушающими нормальную дренажную функцию легких. Скорость разрешения пневмоний иногда замедляется осложнениями, которые могут развиться как в остром периоде болезни, так и в периоде выздоровления. К осложнениям, способным замедлить выздоровление, относятся абсцесс, ателектазы легкого, эмпиема, образование стерильных экссудатов в плевральных полостях. Разрешение пневмонии иногда задерживается вследствие суперинфекции больного другим микроорганизмом. Суперинфекция особенно часто наблюдается у больных, страдающих тяжелыми болезнями, либо понижающими резистентность больного к инфекции (миеломная болезнь, лейкозы, раковая кахексия и др.), либо облегчающими повторное инфицирование легких (нарушение акта глотания, болезни пищевода, эзофаготрахеальные свищи). У больных пневмококковой пневмонией особенно часто наблюдается суперинфекция стафилококком и грамотрицательными бактериями.
О суперинфекции следует думать в тех случаях пневмонии, когда, во-первых, назначение антибиотика привело вначале к понижению температуры тела и когда через несколько дней нормальной температуры у больного вновь возникает лихорадка; во-вторых, рецидивирующая лихорадка сопровождается повышением лейкоцитоза, появлением новых очагов притупления перкуторного звука и бронхиального дыхания или появлением рентгенологических признаков инфильтрации в новой доле или в новом сегменте легкого; в-третьих, одновременно с рецидивом лихорадки, появлением новых очаговых теней в легких отмечается и смена микробной флоры в мокроте, например появление стафилококка вместо пневмококка. Таким образом, неразрешающаяся пневмония может быть связана с пониженной реактивностью больных, с развитием еще недостаточно проявляющихся клинически осложнений, с суперинфекцией, которая может быть как вирусной, так и бактериальной. Во всех подобного рода случаях мы имеем дело с пневмониями как отдельными нозологическими единицами, каждый из них имеет характерный морфологический субстрат и специфического возбудителя. После лекарственного кризиса у большинства больных с неразрешающейся пневмонией длительно сохраняется субфебрильная температура тела. У больных с нормальной температурой тела иногда наблюдаются кратковременные «лихорадочные свечки» с повышением температуры вплоть до 39° С. Оседание эритроцитов оказывается обычно умеренно ускоренным. Содержание лейкоцитов в крови зависит от активности процесса и колеблется от 3500 до 2500 в 1 мкл (Сильверстов В. П., 1968). Красная кровь закономерно не изменяется. Неразрешающуюся пневмонию бактериальную, микоплазменную или вирусного происхождения необходимо отличать в первую очередь от пневмонии, вызванной микобактериями туберкулеза, и от пневмоний, осложняющих течение опухолей легкого. Дифференциальный диагноз с пневмониями другого происхождения (см. приложение XVIII-1) приходится производить значительно реже. В некоторых случаях за пневмонию принимается легочная форма лимфогранулематоза, но чаще неразрешающуюся пневмонию приходится отличать либо от опухолей, либо от туберкулеза легких. Первичное поражение при туберкулезе локализуется обычно субплеврально во 2-м или 6-м сегменте легкого. Попадание микобактерий туберкулеза в альвеолы сопровождается появлением в их просвете серозного или серофибринозного экссудата со значительным количеством нейтрофилов. Вскоре вместо нейтрофилов в экссудате появляются макрофаги (предтечи эпителиоидных клеток), которые захватывают микобактерии туберкулеза. Повышенная чувствительность к белкам, содержащимся в микобактериях туберкулеза, развивается спустя 3—8 нед от начала инфицирования. К этому времени в легких образуются гранулемы, состоящие из эпителиоидных клеток, гигантских клеток Лангханса, лимфоцитов и соединительной ткани. Под влиянием повышенной чувствительности в очагах воспаления возникают казеозные некрозы. Вовлечение в воспалительный процесс регионарных лимфатических узлов приводит к образованию хорош» всем знакомого «первичного комплекса». В одних случаях ов протекает малосимптомно или даже бессимптомно и обнаруживается случайно при рентгенологическом исследовании по поводу какого-либо другого заболевания, в других случаях начинается остро, протекает с выраженной лихорадкой, лейкоцитозом, напоминая либо вирусную, либо бактериальную пневмонию. В зависимости от выраженности лихорадки, изменений крови и легких первичный комплекс часто приходится дифференцировать вначале от острой, а затем от неразрешающейся пневмонии. Успехи профилактического направления советской медицины привели к выраженным сдвигам в эпидемиологии туберкулеза. В настоящее время большинство детей ограждены от заболевания первичным туберкулезом, который постепенно становится болезнью позднего юношеского и молодого возраста. При позднем заражении первичный туберкулез приобретает острое течение не более чем у 1/3 больных. В большинстве случаев его приходится отличать от прикорневой пневмонии. Казеозная пневмония в последние годы стала редчайшим проявлением туберкулеза. Так же редко-встречается и острая форма милиарного туберкулеза. Большинство форм вторичного туберкулеза начинается со вспышки воспалительного процесса в области обызвествленных очагов, сохранившихся от периода первичного инфицирования. Процесс протекает обычно с периодами затихания и обострения. Вторичный туберкулез легких может протекать остро и хронически. Острые формы гематогенно-диссеминированного туберкулеза легких по своей клинико-рентгенологической картине напоминают очаговые вирусные и микоплазменные пневмонии, которые тоже протекают с усилением легочного рисунка и с образованием очаговых обычно неинтенсивных теней в обоих легких. Легочный инфильтрат состоит из центрально расположенного-казеозного очага и окружающей его зоны продуктивного воспаления. Отдельные очаги могут сливаться друг с другом, образуя обширные инфильтративно-пневмонические поражения типа казеозной пневмонии, круглых или облаковидных инфильтратов. Круглые инфильтраты протекают обычно бессимптомно, тогда как большинство облаковидных инфильтратов начинаются остро и принимаются первоначально за грипп или пневмонию. Казеозная пневмония в настоящее время встречается редко и обычно как одно из осложнений легочного кровотечения или как одно из тяжелых случаев терминального проявления болезни. Приведенные данные указывают, что при заражении микобактериями туберкулеза возникают пневмонии, которые необходимо отличать от пневмоний, вызванных другими бактериями и вирусами. Различия в методах терапии придают проблеме дифференциального диагноза между ними большую практическую значимость. Рак легких примерно в половине случаев первоначально диагностируется как пневмония, и только после более или менее длительного и безуспешного лечения начинается пересмотр диагноза. По данным Ф. Г. Углова (1962), около 1/3 больных раком легкого долгое время лечат от хронической пневмонии. Нередки и диагностические ошибки обратного порядка, когда хроническая пневмония принимается за рак легкого. Приблизительно в 6% случаев диагноз рака легкого после торакотомии заменяется диагнозом неразрешающейся или хронической пневмонии. Рак легкого приходится дифференцировать от неразрешающейся пневмонии приблизительно так же часто, как и туберкулез легких. Первичный рак легких в большинстве случаев имеет бронхогенное происхождение. Обычно он возникает из бронхов первого порядка и растет перибронхиально, образуя узел, лежащий вблизи ворот легкого. Если рак возникает из бронхов второго или третьего порядка, что бывает реже, тень опухоли располагается на некотором расстоянии от ворот легкого. Просвет бронха всегда сужен или даже совсем закрыт. Внутри опухоли часто возникают некрозы. После рассасывания некротического материала образуется полость, которая иногда принимается за туберкулезную каверну или поетпневмонический абсцесс легких. Стеноз бронха приводит к развитию ателектаза с развитием в спавшемся участке пневмонии, которая часто подвергается нагноению. Пневмонии при бронхогенном раке нередко развиваются и без ателектаза. Нарушение нормальной дренажной функции бронха является одной из важных причин их развития. Как правило, эти прикорневые пневмонии очень плохо разрешаются и нередко подвергаются карнификации. Если раковая опухоль прорастает в плевру, образуется серозный или серозно-геморрагический плеврит. Вторая по частоте форма бронхогенного рака растет не в виде узла, а вдоль стенок бронха. Рак начинается в слизистой оболочке бронха первого или второго порядка и распространяется отсюда как к периферии легкого, достигая нередко плевры, так и в центральном направлении, окружая и прорастая стенку основного бронха и даже трахеи. Стенка пораженных бронхов утолщается, просвет их суживается, что сопровождается развитием ателектазов и пневмоний. При этой форме рака рано обнаруживаются метастазы бронхопульмональных, бифуркационных и медиастинальных лимфатических узлов. Рак из альвеолярного эпителия составляет всего лишь 4,3% всех раков легкого. Опухоль инфильтрирует ткань легкого. Нередко раковая ткань растет внутри альвеол. Она прорастает из одной альвеолы в другую через поры в межальвеолярных перегородках, не разрушая последние. Таким образом, эта форма раковой опухоли имеет такой же путь распространения, как и пневмококковая пневмония. Вследствие указанного сходства ее называют иногда «раковой пневмонией». Инфильтрирующая форма рака часта встречается в нижних долях легкого. Внутри опухоли нередко возникают некрозы, после рассасывания которых образуются полости, напоминающие каверны. Раковая опухоль, исходящая из бронхиол периферических частей легкого, имеет обычно небольшие размеры. Она отличается склонностью к обширному метастазированию в различные органы. Гематогенные метастазы ее в легкие имеют вид милиарных узелков, которые неотличимы от таких же узелков развивающихся при милиарном туберкулезе и при диффузных вирусных пневмониях. Таким образом, пневмонии при раке легкого могут захватывать долю, сегмент или часть сегмента. Они могут иметь различное происхождение, весьма напоминать по локализации и течению бактериальные, вирусные и туберкулезные поражения легких. Дифференциальная диагностика между этими тремя группами болезней представляет большие трудности, вследствие чего правильный диагноз устанавливается в ряде случаев со значительным опозданием. Многие другие болезни легких тоже осложняются пневмониями, которые, развиваясь в ателектазированных сегментах, протекают с клиническими и рентгенологическими изменениями, которые порой трудно отличить от бактериальных и вирусных пневмоний. Успехи дифференциального диагноза в подобных случаях во многом зависят от умения терапевта и рентгенолога выявлять синдром ателектаза и оценивать особенности клинического течения пневмонии в ателектатическом сегменте. Ателектаз сегмента или целой доди легкого нередко развивается бессимптомно. Появление кашля, сухих или влажных хрипов, ознобов и лихорадки указывает на присоединение инфекции. Физические признаки ателектаза общеизвестны. Они включают: притупление перкуторного звука, ослабление дыхательныу шумов и голосового дрожания. Небольшое количество влажных хрипов выслушивается в тех случаях, когда во время вдоха воздух поступает в коллапсированную долю легкого. Выраженность цианоза и одышки зависит от обширности коллапса. Физические признаки не удается выявить при небольших по объему ателектазах и при развитии компенсаторной эмфиземы вокруг безвоздушной части легкого. На рентгенограммах отмечается повышение интенсивности тени пораженной доли или сегмента, смещение междолевой щели, более высокое стояние диафрагмы на пораженной стороне, смещение средостения в больную сторону. Нередко отсутствие симптомов и недостаточная выраженность рентгенологических признаков ателектаза заставляют уделять особое внимание клиническим ситуациям, которые с особенным постоянством осложняются стенозом или обтурацией бронхов. Ателектаз сегмента или доли легкого особенно часто развивается при длительных приступах бронхиальной астмы. В основе его лежит закупорка просвета обычно небольших бронхов слизистым» пробками. При тяжелых астматических состояниях наблюдается закупорка средних и даже крупных сегментарных бронхов. Резкая компенсаторная эмфизема окружающих участков легкого затрудняет выявление физических признаков ателектаза. Появление лихорадки во время приступа бронхиальной астмы можно считать надежным признаком развивающегося ателектаза, к тому же еще и осложнившегося инфекцией. Ателектаз легкого может развиться также и у больного с временной или постоянной трахеостомией. Причину ателектаза в подобных случаях видят (как и при бронхиальной астме) в закупорке бронхиального просвета слизистыми пробками. Особенно часто развиваются ателектазы после больших операций. Консультируя в хирургических отделениях мы часто наблюдали их у мужчин, страдавших ранее хроническими бронхитами, пневмосклерозом. Длительный наркоз, затрудненное дыхание и откашливание в послеоперационном периоде, нарушения движения диафрагмы способствуют развитию ателектазов. Клинически они проявляются лихорадкой, тахикардией и одышкой, которые развиваются обычно спустя 1—2 сут после операции, и: которые диагностируются часто как «послеоперационная пневмония». Рентгенологическое исследование нередко позволяет выявить у этих больных дисковидные ателектазы легких. Своевременное проведение соответствующих лечебных мероприятий позволяет быстро восстановить бронхиальную проходимость и нередко предупреждает развитие пневмонии. Собирательный термин «аспирационные ателектазы» позволяет описать под одной рубрикой все ателектазы, возникающие вследствие стеноза или закупорки воздухоносных путей легких инородными телами. Эти ателектазы встречаются сравнительно редко и главным образом у больных с нарушением глотания после операций в полости рта и носоглотки, у больных находящихся в коматозном состоянии. Если сознание у больного не нарушено, аспирация инородного тела вызывает у него приступ удушья. Клинические проявления этих ателектазов весьма многообразны еще и потому, что они часто осложняются пневмониями, которые обычно принимают хроническое течение. Рентгенологическая диагностика легка только в тех случаях, когда инородное тело оказывается рентгеноконтрастным. Знание анамнеза позволяет установить предположительные причины ателектаза. В большинстве случаев инородное тело удается увидеть при бронхоскопии. Длительные ателектазы легкого могут быть вызваны не только опухолями бронха, но и его рубцовыми стенозами. Чаще всего они наблюдаются при туберкулезе бронхов, при пневмосклерозе, бронхоэктазиях, изредка при лимфогрануломатозе, сифилисе. Значительно чаще встречаются ателектазы, вызванные сдавленней бронха прилежащими к нему увеличенными лимфатическими узлами (при лимфогранулематозе, саркоидозе, туберкулезе, метастазах опухолей в лимфатические узлы средостения, опухолями легких и средостения, кистами легкого, аневризмами аорты и других артерий, увеличением левого предсердия). При присоединении инфекции развивается сегментарная или даже долевая пневмония, истинная причина которой может быть обнаружена только после тщательного сопоставления клинических, рентгенологических и специальных методов исследования. В целях облегчения дифференциального диагноза бактериальные, вирусные и другие пневмонии, возникающие как самостоятельная болезнь легких или как осложнение других заболеваний, удобно разделить на четыре группы: 1) обширные пневмонии, захватывающие целую долю или сегмент легкого, т. е. случаи, когда пневмоническая инфильтрация легкого прослеживается от корня легкого до его периферии; 2) периферические пневмонии, захватывающие часть одного или сопредельные части соседних сегментов; 3) мелкоочаговые пневмонии, поражающие диффузно оба легких, одно легкое или одну из его долей; 4) прикорневые пневмонии, сливающиеся с корнем легкого и не распространяющиеся на периферию легкого.
М-да, это ж надо такое придумать, "ретроканкрозная". "Что ты будешь делать! Любой поручик - Бонапарт..." (с) Чего только не наслушаешься вечером выходного дня... Лавры Неменова покоя не дают?
М-да, это ж надо такое придумать, "ретроканкрозная". "Что ты будешь делать! Любой поручик - Бонапарт..." (с) Чего только не наслушаешься вечером выходного дня... Лавры Неменова покоя не дают?
Здравствуйте Андрей Юрьевич!
Нет, не "лавры" это. Это - астрально-зодиакальное....
А вопрос такой: могут ли быть эти изменения в легких отголоском той операции.
P.S. Кстати, больного уже забрали в ОД.
Скорее всего так оно и есть. Лимфогенное метастазирование синовиальной саркомы - сдавление бронхов метастатическим л/узлами - пневмония на фоне гиповентиляции. Конечно, возможна первичная множественность, биопсия нужна, она и покажет саркома или рак.
Уважаемые коллеги! С больным все ясно. Когда прочитал, надо такое придумать, "ретроканкрозная", быстро вспомнилась фраза Шумакова А.В "Я нетерпимым стал к чужому мнению". Евгений 13 квалифицированный врач. И если он написал "ретроканкрозная", то не надо нападать на него, а вежливо спросить: "Почему он использовал это слово и как он его понимает?". Не исключаю, что он его позаимствовал из литературы. Тогда, я бы с удовольствием прочитал названный им источник. Возможно, он сам его придумал и считает его более правильным. Имеет на это право. С моей точки зрения, этот термин отражает суть процесса процесса в обсуждаемом клиническом примере и не противоречит другим определениям. "Параканкрозная пневмония" (ПКП) устарелое название и не все его понимают правильно. Месяц назад в беседе с молодым рентгенологом я употребил это словосочетани и увидел на его лице изумление, непонимание. Я объяснил, как надо понимать ПКП. Получил ответ, что их в ординатуре обучали подобный процесс называть "обструктивный раковый пневмонит". То, что мы обсуждали, по механизму развития было именно так. Определение не новое. Оно употреблялось в литературе 60-70 гг. врачами Свердловской школы. Я объяснил молодому врачу, что имеется ещё второй механизм развития пневмонита при раке легких. Это "компрессионный раковый пневмонит", который может наблюдаться, как при периферическом, так и при эндофитном росте центрального рака в результате сдавления (компрессии) окружающей легочной ткани опухолевым процессом. Клиническая картина в этих случаях сходна с пневмонией. Для наглядности привожу рисунок 1. В заключении скажу, что для обозначения обструктивного и компрессионного ракового пневмонита возможно использовать непривычный термин "ретро".
Хотелось бы услышать мнение самого Евгения1313. Но высока вероятность полного молчания с его стороны. А жаль. С уважением NIK
этот термин. Но, надо спросить Евгения 1313 о чем я писал выше. Ясно одно, что на нашем сайте он уже появился, существует и кому-то из 3 тыс. ежедневных посетителей сайта он придется по душе и войдет в жизнь. Уважаемый Андрей Юрьевич! Если не знаем мы с Вами, то это не означает, что его нет. Нельзяобъятьнеобъятное. Ради простого интереса подождем автора. С уважением Nik
Уважаемые коллеги! С больным все ясно. Когда прочитал, надо такое придумать, "ретроканкрозная", быстро вспомнилась фраза Шумакова А.В "Я нетерпимым стал к чужому мнению". Евгений 13 квалифицированный врач. И если он написал "ретроканкрозная", то не надо нападать на него, а вежливо спросить: "Почему он использовал это слово и как он его понимает?". Не исключаю, что он его позаимствовал из литературы. Тогда, я бы с удовольствием прочитал названный им источник. Возможно, он сам его придумал и считает его более правильным. Имеет на это право. С моей точки зрения, этот термин отражает суть процесса процесса в обсуждаемом клиническом примере и не противоречит другим определениям. "Параканкрозная пневмония" (ПКП) устарелое название и не все его понимают правильно. Месяц назад в беседе с молодым рентгенологом я употребил это словосочетани и увидел на его лице изумление, непонимание. Я объяснил, как надо понимать ПКП. Получил ответ, что их в ординатуре обучали подобный процесс называть "обструктивный раковый пневмонит". То, что мы обсуждали, по механизму развития было именно так. Определение не новое. Оно употреблялось в литературе 60-70 гг. врачами Свердловской школы. Я объяснил молодому врачу, что имеется ещё второй механизм развития пневмонита при раке легких. Это "компрессионный раковый пневмонит", который может наблюдаться, как при периферическом, так и при эндофитном росте центрального рака в результате сдавления (компрессии) окружающей легочной ткани опухолевым процессом. Клиническая картина в этих случаях сходна с пневмонией. Для наглядности привожу рисунок 1. В заключении скажу, что для обозначения обструктивного и компрессионного ракового пневмонита возможно использовать непривычный термин "ретро". ...
Я - за новые правильные термины! Помню совместный с Виктором Григорьевичем проект "переходный позвонк" - неплохо получилось, вроде. Только где-то далеко случай... в летах...
Уважаемый Nikolas, можно Вас попросить всё-таки дать объяснение термина "ретроканкрозная" словами, что Вы вкладываете в него?.. (Рисунок я буду держать в памяти.)
А по данному случаю - напротив, больше похож на обструктивный пневмонит - начинается с корня. Может, конечно, и централизация, НО... опять же знакомое "с детства" сближение задних отделов рёбер!..
Термины придумывают люди, и, по всей видимости, ретроканкрозный (дистальнее опухоли) пневмонит может быть на определенном периоде развития опухоли. Но, по всей видимости, ретроканкрозный пневмонит (пневмония) и параканкрозная пневмония (пневмонит) будут отличаться патогенетически.
на термине "ретро" уважаемый доктор Makcimalist. "Не по нутру мне этот Ванька Каин" (ретро). Термин слишком общий, также как и "пара". Лучше использовать патогенетическую терминологию. Врач должен иметь представление о принципиальных звеньях патогенеза заболевания у больного. Он обязан, по возможности, выявить основные факторы и их причинно-следственные взаимоотношения, приведшие к развитию патологического процесса в конкретном случае. Именно построение патогенетического диагноза позволяет сформулировать индивидуальные особенности данного клинического случая. Этому соответствуют формулировки, "обструктивный раковый пневмонит", "компрессионный раковый пневмонит". Таково мое мнение по этой теме. С уважением Nik
Спасибо, Nikolas! Но выражу впечатление по двум последним комментам - Валентин Львович озвучил то, что ожидал услышать от Вас. Согласен, что патогенетический путь - правильный, но термины порой просто помогают (упрощают, конкретизируют) ориентацию во времени и пространстве (например, ретро-, латеро-...). Как с термином "пара-" : вокруг, около. (Вспоминается ветка о пользе латыни... Нужна, конечно! Азы...) Клиницисты иногда пользуют термином "мета-" для обозначения отсроченного во времени процесса (патогенетически связанного с первопричиной).
Но если говорить о термине "ретро-" - то его употребление считаю неправомощным. Если бы речь шла о патологическом процессе, ориентированном в одной (даже в двух) плоскостях - то прошёл бы, но с учётом трёхмерности объекта (лёгкое) и представленных сагитальных КТ-сканов (применительно к данному случаю, как к примеру) - теряет силу. Ибо из "ретро-" мимикрирует в "пара-" (антеро-, латеро-...). Всё должно быть объяснено логично, на мой взгляд.
Поделитесь, откуда взялся этот термин, и если это западный медицинский термин, как пишется оригинал на английском?
- кстати,.. спасибо! Именно - позволяет ориентироваться во времени (парапневмонический плеврит) и пространстве (параканкрозная пневмония), и даже связывая процессы в патогенетические звенья!.. Почему хромает?..
- Почему же всё должно писаться изначально на английском?! Пневмонит - термин - латынь! Остальное - характеристика конкретного процесса с попыткой его патогенетического обоснования.. Логичное, на мой взгляд, по механизму!
...позволяет ориентироваться во времени (парапневмонический плеврит) и пространстве (параканкрозная пневмония), и даже связывая процессы в патогенетические звенья!.. Почему хромает?..
- Почему же всё должно писаться изначально на английском?!
- парапневмонический плеврит - это не наш термин, а клинический, наш термин - гидроторакс;
- почему хромает? Ну, это как морская свинка: "во-первых, не свинка, во-вторых, не морская" . Тема отдельного разговора, никак не найду ссылки на статьи по гистологии "параканкрозной пневмонии". Хотя, наверное, это больше все-таки "пневмония", чем "пневмонит"
- почему на английском? Для того, чтоб посмотреть международную литературу. То, что МКБ - перевод с английского, Вас, надеюсь не смущает?
Makcimalist wrote:
Пневмонит - термин - латынь! Остальное - характеристика конкретного процесса с попыткой его патогенетического обоснования.. Логичное, на мой взгляд, по механизму!
Вот именно! Если найдете ссылку на гистологию этого пневмонита, буду благодарен.
А, правый боковой "зажали" Игорь Иванович?
Оказываетя, что за год до этого пациенту была удалена опухоль на бедре, гистологически синовиальная саркома. Было произведено КТ ОГК. Подтвердили пневмонию, мета в позвоночник.
Для полной картины я сделал рутинную рентгенограмму позвоночника. Можно с большим натягом придраться к одному из тел (TH3), имея КТ. Прямая не информативна. А вопрос такой: могут ли быть эти изменения в легких отголоском той операции.
P.S. Кстати, больного уже забрали в ОД.
Придраться к телу позвонка можно.
Но, вот после КТ можно, по всей видимости, придраться и к ребрам?
Не зная, что была такая операция (больной вначале это притаил, видимо не хотел к этому возвращаться) я предположил БАР, но компъютерщики развеяли мои подозрения. Поэтому я бы хотел знатоков КТ-дела проанализировать сканы, все ли там в порядке с корнем и т.д.
На мой взгляд, "пневмония" дурно пахнет...
И, на каком основании КТ-ологи "развеяли" Ваши подозрения..., может на картах Таро кинули?
В диф.ряд включила бы рак, непременно. На мой взгляд, только КТ-динамика после лечения и с контрастированием могла бы решить вопрос ЗА или ПРОТИВ онкологии в правом легком. С корнем явно не в порядке, расширен, но за счет чего - ?
При пневмонии тоже может быть выраженная реакция ВГЛУ.
https://www.youtube.com/channel/UCBGxoBUOqUT_bFhSeUgtWEw
На мой взгляд полной аналогии нет, но картинка интересная.
Пневмонии тут нет никаким боком. Не было КТ - высказался бы за БАР. На КТ, в легких -типичный раковый лимфангаит (кстати, слева тоже, еще чуть-чуть и полыхнет). Так что, 100% метастазирование. И это кроме очевидного метастаза в позвонок. А корень надо оценивать в "медиастинальном" окне.
Андрей Юрьевич
Видя такую картину ну никак нельзя однозначно отмести опухоль. Просто не вникая в анамнез и прочее написал бы и пневмониеподобную форму БАР в качестве варианта, предложил бы динамику после лечения. Тут вся суть не в том, что БАР не БАР, а суть в том, что это не совсем похоже на пневмонию.
С уважением, С.Н. Нагорный
Пневмония она и в Африке пневмония.БАР и прочее-от лукавого.
Смело... А такоцй лимфостаз и изменения левого легкого совсем ни о чем не свидетельствует?
С уважением, С.Н. Нагорный
Компетентное мнение специалиста по Африке?)))) Евгений, вы неправы. А если абстрагироваться от богословия и попытаться представить реальность онкологии? Мне кажется, она, онкология, весьма реальна, пока не доказано обратное. Вы не могли бы аргументировать свое мнение?
"Предоставляя весь смысл и совершенство в распоряжение одного только Бога, вы избавляете себя от бездны хлопот." Джон Уитборн.
Здесь налицо норастание альвеолярного компонета.А лимфостаз-это хвост каметы, её кстати и не видно. Остальное точно от беса.
Аминь)))))
Альвеолярный компонент...ага... теперь, конечно, всё ясно и аргументировано)). Спасибо за версию...
"Предоставляя весь смысл и совершенство в распоряжение одного только Бога, вы избавляете себя от бездны хлопот." Джон Уитборн.
"Хвост кометы" - хороший, фундаментальный скиалогический симптом, характерный для рака молочной железы, хорошо описан и иллюстрирован в монографии Корженковой.
А, "альвеолярный компонент", именно компонент свидетельствует только о пневмонии?
Говоря про "хвост кометы" при раках подразумевается десмопластическая реакция, по крайней мере у меня, которая характерна при железестых раках. Про нее никто и не говорит тут, а говорят (говорю) про лимфостаз.
С уважением, С.Н. Нагорный
"Хвост кометы" и в легких бывает)) - при округлом ателектазе. Только в данном случае это мимо кассы.
P.S. Не видела коммента СН. Вы, коллега, поосторожнее со словами... офф топ, конечно! Но "десмопластическая" - так и на вызов экзорциста можно нарваться)))))
"Предоставляя весь смысл и совершенство в распоряжение одного только Бога, вы избавляете себя от бездны хлопот." Джон Уитборн.
Привалирование альвеолярного компанента над интерстициальным(при наличии клиники)-свидетельство воспаления.Думаяю так.Бар-это всетаки интерстиций.
Коллега... почитайте о пневмониеподобной форме БАР.
"Предоставляя весь смысл и совершенство в распоряжение одного только Бога, вы избавляете себя от бездны хлопот." Джон Уитборн.
А, как быть с параканкрозной пневмонией?
При раках легкого тяжи к корню легкого и к плевре, более выражены при железестых раках и являются проявлением десмопластических реакций. Любовь. С, что не так? Про "хвост кометы" вообще при КТ не упоминаю, тяжи и тяжи...
С уважением, С.Н. Нагорный
Надо признать, что не встречал данного термина для лёгких (ОГК).
Здравствуйте Люба!
У немецких авторов встречал термин - "круглый ателектаз", вот только никак себе не мог представить от чего он "круглым" называется.
Параканкрозная пневмония вообще не из той оперы.Правильней назвать её ретроконкрозной т. е. в зоне опухолевой гиповентиляции.
http://www.radiomed.ru/cases/kt-organov-grudnoi-polosti-muzhchiny-50-let-bylo-interesno-mnenie-kolleg
Отвлечение от темы данного случая, извините, Игорь Иванович!
http://www.learningradiology.com/notes/chestnotes/roundatelectasispage.htm
http://radiopaedia.org/articles/round-atelectasis
http://translate.googleusercontent.com/translate_c?hl=ru&langpair=en%7Cru&rurl=translate.google.ru&twu=1&u=http://radiology.rsna.org/content/213/2/553.full&usg=ALkJrhjNolkMzO6ylNUX9eRt1rnPmUHOqA
Всё в порядке, Сергей Николаевич)). К Вам никаких претензий не имею. Обсуждение вообще, вне частного - я о своих словах. А про экзорциста - шутка, не более, упоминание бесов навеяло)))
И всем здравствуйте!
"Предоставляя весь смысл и совершенство в распоряжение одного только Бога, вы избавляете себя от бездны хлопот." Джон Уитборн.
Неразрешающаяся пневмония - Дифференциальный диагноз пневмонии
Большинство вирусных и бактериальных пневмоний оканчиваются выздоровлением больных. Инфильтрация легочной ткани, по данным рентгенологического контроля, полностью исчезает примерно через 3—4 нед после начала болезни. По Н. С. Молчанову (1965), острую пневмонию следует считать затянувшейся, если воспалительный процесс не разрешился в течение месяца. За неразрешающуюся пневмонию часто принимают все инфильтрации легкого, которые в сочетании с лихорадкой первоначально диагностируются и лечатся как пневмония, и которая не исчезает, несмотря на противовоспалительную терапию в течение 3—4 нед. Чаще к этому сроку перед врачом встает важная диагностическая проблема: считать ли все еще сохраняющуюся инфильтрацию в легких затянувшейся бактериальной, микоплазматической, вирусной пневмонией, отнести ли ее к группе аллергических, микобактериальных пневмоний или признать ее одним из синдромов какой-либо другой болезни.
Выяснение этиологии неразрешающейся пневмонии относится к числу весьма трудных диагностических проблем и требует от врача умения синтезировать результаты многих методов исследования.
Длительное сохранение инфильтрации легкого может быть следствием недостаточной выраженности процесса резорбции воспалительного экссудата, возникшего в остром периоде болезни (приложение). Инфильтрация легких в некоторых случаях может оказаться не пневмонией, а другой болезнью, например лимфогранулематозом. Синдром пневмонии может присоединиться к другим болезням легких, например к опухоли бронха. Иногда пневмония служит лишь одним из проявлений какой-либо общей болезни, например орнитоза, болезней сердечно-сосудистой или центральной нервной системы. Естественно, что длительная инфильтрация легких в сочетании с той или иной выраженностью лихорадки и со сдвигами в составе крови в подобных случаях определяется главным образом характером и закономерностями основной болезни.
Большинство острых пневмоний, наблюдаемых в терапевтических отделениях для взрослых, имеет пневмококковое или вирусное происхождение. Пневмонии, вызванные стафилококками и грамотрицательными бактериями, встречаются значительно реже. Указанная последовательность в частоте отдельных возбудителей сохраняется и в группе неразрешившихся пневмоний. Пневмококковые пневмонии составляют 20%, стафилококковые — 8,6%, микоплазменные — 2% всех неразрешившихся пневмоний. Доля неразрешающихся пневмоний, вызванных грамотрицательными бактериями составляет 6,7%. Таким образом, практический опьп указывает, что неуазрешающаяся пневмония чаще всего оказывается пневмонией, вызванной бактериями и вирусами.
Среди значительного числа причин, задерживающих разрешение пневмонии, следует обратить особое внимание на ятрогенные. Введение в терапию сульфамидов и антибиотиков привело к выраженному понижению смертности от бактериальных пневмоний. Одновременно с этим изменилось течение пневмоний, реже стали встречаться легочные нагноения и эмпиема, возросло число хронических пневмоний. Замедленное разрешение пневмоний до появления сульфамидов и антибиотиков отмечалось в 4%, а после их широкого внедрения в лечебную практику оно стало наблюдаться в 15% пневмоний. Увеличение числа медленно разрешающихся пневмоний объясняется изменением возраста госпитализированных больных. В наше время в стационар направляют главным образом больных пожилого и старческого возраста, у которых нередко обнаруживаются хронические болезни легких (бронхо-эктазы, пневмосклероз), сахарный диабет, аритмии, сердечная недостаточность. Таким образом, замедленное разрешение пневмонии можно объяснить отчасти изменением реактивности больных пожилого и старческого возраста, которые часто страдают сопутствующими болезнями, нарушающими нормальную дренажную функцию легких.
Скорость разрешения пневмоний иногда замедляется осложнениями, которые могут развиться как в остром периоде болезни, так и в периоде выздоровления. К осложнениям, способным замедлить выздоровление, относятся абсцесс, ателектазы легкого, эмпиема, образование стерильных экссудатов в плевральных полостях.
Разрешение пневмонии иногда задерживается вследствие суперинфекции больного другим микроорганизмом. Суперинфекция особенно часто наблюдается у больных, страдающих тяжелыми болезнями, либо понижающими резистентность больного к инфекции (миеломная болезнь, лейкозы, раковая кахексия и др.), либо облегчающими повторное инфицирование легких (нарушение акта глотания, болезни пищевода, эзофаготрахеальные свищи). У больных пневмококковой пневмонией особенно часто наблюдается суперинфекция стафилококком и грамотрицательными бактериями.
О суперинфекции следует думать в тех случаях пневмонии, когда, во-первых, назначение антибиотика привело вначале к понижению температуры тела и когда через несколько дней нормальной температуры у больного вновь возникает лихорадка; во-вторых, рецидивирующая лихорадка сопровождается повышением лейкоцитоза, появлением новых очагов притупления перкуторного звука и бронхиального дыхания или появлением рентгенологических признаков инфильтрации в новой доле или в новом сегменте легкого; в-третьих, одновременно с рецидивом лихорадки, появлением новых очаговых теней в легких отмечается и смена микробной флоры в мокроте, например появление стафилококка вместо пневмококка.
Таким образом, неразрешающаяся пневмония может быть связана с пониженной реактивностью больных, с развитием еще недостаточно проявляющихся клинически осложнений, с суперинфекцией, которая может быть как вирусной, так и бактериальной. Во всех подобного рода случаях мы имеем дело с пневмониями как отдельными нозологическими единицами, каждый из них имеет характерный морфологический субстрат и специфического возбудителя. После лекарственного кризиса у большинства больных с неразрешающейся пневмонией длительно сохраняется субфебрильная температура тела. У больных с нормальной температурой тела иногда наблюдаются кратковременные «лихорадочные свечки» с повышением температуры вплоть до 39° С. Оседание эритроцитов оказывается обычно умеренно ускоренным. Содержание лейкоцитов в крови зависит от активности процесса и колеблется от 3500 до 2500 в 1 мкл (Сильверстов В. П., 1968). Красная кровь закономерно не изменяется.
Неразрешающуюся пневмонию бактериальную, микоплазменную или вирусного происхождения необходимо отличать в первую очередь от пневмонии, вызванной микобактериями туберкулеза, и от пневмоний, осложняющих течение опухолей легкого. Дифференциальный диагноз с пневмониями другого происхождения (см. приложение XVIII-1) приходится производить значительно реже. В некоторых случаях за пневмонию принимается легочная форма лимфогранулематоза, но чаще неразрешающуюся пневмонию приходится отличать либо от опухолей, либо от туберкулеза легких.
Первичное поражение при туберкулезе локализуется обычно субплеврально во 2-м или 6-м сегменте легкого. Попадание микобактерий туберкулеза в альвеолы сопровождается появлением в их просвете серозного или серофибринозного экссудата со значительным количеством нейтрофилов. Вскоре вместо нейтрофилов в экссудате появляются макрофаги (предтечи эпителиоидных клеток), которые захватывают микобактерии туберкулеза. Повышенная чувствительность к белкам, содержащимся в микобактериях туберкулеза, развивается спустя 3—8 нед от начала инфицирования. К этому времени в легких образуются гранулемы, состоящие из эпителиоидных клеток, гигантских клеток Лангханса, лимфоцитов и соединительной ткани. Под влиянием повышенной чувствительности в очагах воспаления возникают казеозные некрозы. Вовлечение в воспалительный процесс регионарных лимфатических узлов приводит к образованию хорош» всем знакомого «первичного комплекса». В одних случаях ов протекает малосимптомно или даже бессимптомно и обнаруживается случайно при рентгенологическом исследовании по поводу какого-либо другого заболевания, в других случаях начинается остро, протекает с выраженной лихорадкой, лейкоцитозом, напоминая либо вирусную, либо бактериальную пневмонию. В зависимости от выраженности лихорадки, изменений крови и легких первичный комплекс часто приходится дифференцировать вначале от острой, а затем от неразрешающейся пневмонии.
Успехи профилактического направления советской медицины привели к выраженным сдвигам в эпидемиологии туберкулеза. В настоящее время большинство детей ограждены от заболевания первичным туберкулезом, который постепенно становится болезнью позднего юношеского и молодого возраста. При позднем заражении первичный туберкулез приобретает острое течение не более чем у 1/3 больных. В большинстве случаев его приходится отличать от прикорневой пневмонии. Казеозная пневмония в последние годы стала редчайшим проявлением туберкулеза. Так же редко-встречается и острая форма милиарного туберкулеза.
Большинство форм вторичного туберкулеза начинается со вспышки воспалительного процесса в области обызвествленных очагов, сохранившихся от периода первичного инфицирования. Процесс протекает обычно с периодами затихания и обострения. Вторичный туберкулез легких может протекать остро и хронически. Острые формы гематогенно-диссеминированного туберкулеза легких по своей клинико-рентгенологической картине напоминают очаговые вирусные и микоплазменные пневмонии, которые тоже протекают с усилением легочного рисунка и с образованием очаговых обычно неинтенсивных теней в обоих легких.
Легочный инфильтрат состоит из центрально расположенного-казеозного очага и окружающей его зоны продуктивного воспаления. Отдельные очаги могут сливаться друг с другом, образуя обширные инфильтративно-пневмонические поражения типа казеозной пневмонии, круглых или облаковидных инфильтратов. Круглые инфильтраты протекают обычно бессимптомно, тогда как большинство облаковидных инфильтратов начинаются остро и принимаются первоначально за грипп или пневмонию. Казеозная пневмония в настоящее время встречается редко и обычно как одно из осложнений легочного кровотечения или как одно из тяжелых случаев терминального проявления болезни.
Приведенные данные указывают, что при заражении микобактериями туберкулеза возникают пневмонии, которые необходимо отличать от пневмоний, вызванных другими бактериями и вирусами. Различия в методах терапии придают проблеме дифференциального диагноза между ними большую практическую значимость.
Рак легких примерно в половине случаев первоначально диагностируется как пневмония, и только после более или менее длительного и безуспешного лечения начинается пересмотр диагноза. По данным Ф. Г. Углова (1962), около 1/3 больных раком легкого долгое время лечат от хронической пневмонии. Нередки и диагностические ошибки обратного порядка, когда хроническая пневмония принимается за рак легкого. Приблизительно в 6% случаев диагноз рака легкого после торакотомии заменяется диагнозом неразрешающейся или хронической пневмонии. Рак легкого приходится дифференцировать от неразрешающейся пневмонии приблизительно так же часто, как и туберкулез легких.
Первичный рак легких в большинстве случаев имеет бронхогенное происхождение. Обычно он возникает из бронхов первого порядка и растет перибронхиально, образуя узел, лежащий вблизи ворот легкого. Если рак возникает из бронхов второго или третьего порядка, что бывает реже, тень опухоли располагается на некотором расстоянии от ворот легкого. Просвет бронха всегда сужен или даже совсем закрыт. Внутри опухоли часто возникают некрозы. После рассасывания некротического материала образуется полость, которая иногда принимается за туберкулезную каверну или поетпневмонический абсцесс легких.
Стеноз бронха приводит к развитию ателектаза с развитием в спавшемся участке пневмонии, которая часто подвергается нагноению. Пневмонии при бронхогенном раке нередко развиваются и без ателектаза. Нарушение нормальной дренажной функции бронха является одной из важных причин их развития. Как правило, эти прикорневые пневмонии очень плохо разрешаются и нередко подвергаются карнификации. Если раковая опухоль прорастает в плевру, образуется серозный или серозно-геморрагический плеврит.
Вторая по частоте форма бронхогенного рака растет не в виде узла, а вдоль стенок бронха. Рак начинается в слизистой оболочке бронха первого или второго порядка и распространяется отсюда как к периферии легкого, достигая нередко плевры, так и в центральном направлении, окружая и прорастая стенку основного бронха и даже трахеи. Стенка пораженных бронхов утолщается, просвет их суживается, что сопровождается развитием ателектазов и пневмоний. При этой форме рака рано обнаруживаются метастазы бронхопульмональных, бифуркационных и медиастинальных лимфатических узлов.
Рак из альвеолярного эпителия составляет всего лишь 4,3% всех раков легкого. Опухоль инфильтрирует ткань легкого. Нередко раковая ткань растет внутри альвеол. Она прорастает из одной альвеолы в другую через поры в межальвеолярных перегородках, не разрушая последние. Таким образом, эта форма раковой опухоли имеет такой же путь распространения, как и пневмококковая пневмония. Вследствие указанного сходства ее называют иногда «раковой пневмонией». Инфильтрирующая форма рака часта встречается в нижних долях легкого. Внутри опухоли нередко возникают некрозы, после рассасывания которых образуются полости, напоминающие каверны.
Раковая опухоль, исходящая из бронхиол периферических частей легкого, имеет обычно небольшие размеры. Она отличается склонностью к обширному метастазированию в различные органы. Гематогенные метастазы ее в легкие имеют вид милиарных узелков, которые неотличимы от таких же узелков развивающихся при милиарном туберкулезе и при диффузных вирусных пневмониях.
Таким образом, пневмонии при раке легкого могут захватывать долю, сегмент или часть сегмента. Они могут иметь различное происхождение, весьма напоминать по локализации и течению бактериальные, вирусные и туберкулезные поражения легких. Дифференциальная диагностика между этими тремя группами болезней представляет большие трудности, вследствие чего правильный диагноз устанавливается в ряде случаев со значительным опозданием.
Многие другие болезни легких тоже осложняются пневмониями, которые, развиваясь в ателектазированных сегментах, протекают с клиническими и рентгенологическими изменениями, которые порой трудно отличить от бактериальных и вирусных пневмоний. Успехи дифференциального диагноза в подобных случаях во многом зависят от умения терапевта и рентгенолога выявлять синдром ателектаза и оценивать особенности клинического течения пневмонии в ателектатическом сегменте.
Ателектаз сегмента или целой доди легкого нередко развивается бессимптомно. Появление кашля, сухих или влажных хрипов, ознобов и лихорадки указывает на присоединение инфекции. Физические признаки ателектаза общеизвестны. Они включают: притупление перкуторного звука, ослабление дыхательныу шумов и голосового дрожания. Небольшое количество влажных хрипов выслушивается в тех случаях, когда во время вдоха воздух поступает в коллапсированную долю легкого. Выраженность цианоза и одышки зависит от обширности коллапса. Физические признаки не удается выявить при небольших по объему ателектазах и при развитии компенсаторной эмфиземы вокруг безвоздушной части легкого. На рентгенограммах отмечается повышение интенсивности тени пораженной доли или сегмента, смещение междолевой щели, более высокое стояние диафрагмы на пораженной стороне, смещение средостения в больную сторону.
Нередко отсутствие симптомов и недостаточная выраженность рентгенологических признаков ателектаза заставляют уделять особое внимание клиническим ситуациям, которые с особенным постоянством осложняются стенозом или обтурацией бронхов. Ателектаз сегмента или доли легкого особенно часто развивается при длительных приступах бронхиальной астмы. В основе его лежит закупорка просвета обычно небольших бронхов слизистым» пробками. При тяжелых астматических состояниях наблюдается закупорка средних и даже крупных сегментарных бронхов. Резкая компенсаторная эмфизема окружающих участков легкого затрудняет выявление физических признаков ателектаза. Появление лихорадки во время приступа бронхиальной астмы можно считать надежным признаком развивающегося ателектаза, к тому же еще и осложнившегося инфекцией.
Ателектаз легкого может развиться также и у больного с временной или постоянной трахеостомией. Причину ателектаза в подобных случаях видят (как и при бронхиальной астме) в закупорке бронхиального просвета слизистыми пробками.
Особенно часто развиваются ателектазы после больших операций. Консультируя в хирургических отделениях мы часто наблюдали их у мужчин, страдавших ранее хроническими бронхитами, пневмосклерозом. Длительный наркоз, затрудненное дыхание и откашливание в послеоперационном периоде, нарушения движения диафрагмы способствуют развитию ателектазов. Клинически они проявляются лихорадкой, тахикардией и одышкой, которые развиваются обычно спустя 1—2 сут после операции, и: которые диагностируются часто как «послеоперационная пневмония». Рентгенологическое исследование нередко позволяет выявить у этих больных дисковидные ателектазы легких. Своевременное проведение соответствующих лечебных мероприятий позволяет быстро восстановить бронхиальную проходимость и нередко предупреждает развитие пневмонии.
Собирательный термин «аспирационные ателектазы» позволяет описать под одной рубрикой все ателектазы, возникающие вследствие стеноза или закупорки воздухоносных путей легких инородными телами. Эти ателектазы встречаются сравнительно редко и главным образом у больных с нарушением глотания после операций в полости рта и носоглотки, у больных находящихся в коматозном состоянии. Если сознание у больного не нарушено, аспирация инородного тела вызывает у него приступ удушья. Клинические проявления этих ателектазов весьма многообразны еще и потому, что они часто осложняются пневмониями, которые обычно принимают хроническое течение. Рентгенологическая диагностика легка только в тех случаях, когда инородное тело оказывается рентгеноконтрастным. Знание анамнеза позволяет установить предположительные причины ателектаза. В большинстве случаев инородное тело удается увидеть при бронхоскопии.
Длительные ателектазы легкого могут быть вызваны не только опухолями бронха, но и его рубцовыми стенозами. Чаще всего они наблюдаются при туберкулезе бронхов, при пневмосклерозе, бронхоэктазиях, изредка при лимфогрануломатозе, сифилисе. Значительно чаще встречаются ателектазы, вызванные сдавленней бронха прилежащими к нему увеличенными лимфатическими узлами (при лимфогранулематозе, саркоидозе, туберкулезе, метастазах опухолей в лимфатические узлы средостения, опухолями легких и средостения, кистами легкого, аневризмами аорты и других артерий, увеличением левого предсердия). При присоединении инфекции развивается сегментарная или даже долевая пневмония, истинная причина которой может быть обнаружена только после тщательного сопоставления клинических, рентгенологических и специальных методов исследования.
В целях облегчения дифференциального диагноза бактериальные, вирусные и другие пневмонии, возникающие как самостоятельная болезнь легких или как осложнение других заболеваний, удобно разделить на четыре группы: 1) обширные пневмонии, захватывающие целую долю или сегмент легкого, т. е. случаи, когда пневмоническая инфильтрация легкого прослеживается от корня легкого до его периферии; 2) периферические пневмонии, захватывающие часть одного или сопредельные части соседних сегментов; 3) мелкоочаговые пневмонии, поражающие диффузно оба легких, одно легкое или одну из его долей; 4) прикорневые пневмонии, сливающиеся с корнем легкого и не распространяющиеся на периферию легкого.
М-да, это ж надо такое придумать, "ретроканкрозная"
. "Что ты будешь делать! Любой поручик - Бонапарт..." (с) Чего только не наслушаешься вечером выходного дня... Лавры Неменова покоя не дают?
Андрей Юрьевич
Значит, "гиповентиляция" равняется параканкрозной пневмонии, или ретроканкрозной, как Вы её называете?
А, почему "ретро", а не "пара"?
Спасибо Люба!
Вот так тема развернулась!
С уважением, С.Н. Нагорный
Вернёмся к нашим баранам...)) Если будет информация о результатах бронхоскопии, то большая просьба Игорю Ивановичу написать, что там.
"Предоставляя весь смысл и совершенство в распоряжение одного только Бога, вы избавляете себя от бездны хлопот." Джон Уитборн.
Ухожу! Ухожу! ухожу.
Здравствуйте Андрей Юрьевич!
Нет, не "лавры" это. Это - астрально-зодиакальное....
Пациента онкологи забрали к себе в диспансер и только по какой-нибудь случайности могут просочиться данные оттуда.
Скорее всего так оно и есть. Лимфогенное метастазирование синовиальной саркомы - сдавление бронхов метастатическим л/узлами - пневмония на фоне гиповентиляции. Конечно, возможна первичная множественность, биопсия нужна, она и покажет саркома или рак.
"самоуверенность дилетантов - предмет зависти профессионалов"
Уважаемые коллеги! С больным все ясно. Когда прочитал, надо такое придумать, "ретроканкрозная", быстро вспомнилась фраза Шумакова А.В "Я нетерпимым стал к чужому мнению". Евгений 13 квалифицированный врач. И если он написал "ретроканкрозная", то не надо нападать на него, а вежливо спросить: "Почему он использовал это слово и как он его понимает?". Не исключаю, что он его позаимствовал из литературы. Тогда, я бы с удовольствием прочитал названный им источник. Возможно, он сам его придумал и считает его более правильным. Имеет на это право. С моей точки зрения, этот термин отражает суть процесса процесса в обсуждаемом клиническом примере и не противоречит другим определениям. "Параканкрозная пневмония" (ПКП) устарелое название и не все его понимают правильно. Месяц назад в беседе с молодым рентгенологом я употребил это словосочетани и увидел на его лице изумление, непонимание. Я объяснил, как надо понимать ПКП. Получил ответ, что их в ординатуре обучали подобный процесс называть "обструктивный раковый пневмонит". То, что мы обсуждали, по механизму развития было именно так. Определение не новое. Оно употреблялось в литературе 60-70 гг. врачами Свердловской школы. Я объяснил молодому врачу, что имеется ещё второй механизм развития пневмонита при раке легких. Это "компрессионный раковый пневмонит", который может наблюдаться, как при периферическом, так и при эндофитном росте центрального рака в результате сдавления (компрессии) окружающей легочной ткани опухолевым процессом. Клиническая картина в этих случаях сходна с пневмонией. Для наглядности привожу рисунок 1. В заключении скажу, что для обозначения обструктивного и компрессионного ракового пневмонита возможно использовать непривычный термин "ретро".
Хотелось бы услышать мнение самого Евгения1313. Но высока вероятность полного молчания с его стороны. А жаль. С уважением NIK
Интересно, интересно услышать мнения...
А, вот вокруг очага "специфического" (к примеру туберкулёзного) воспаления существует парапрацесс, типа пневмонита?
Правильно ли я Вас понял, коллега Nicolas, что термина "ретроканкрозная пневмония" не существует?
Андрей Юрьевич
этот термин. Но, надо спросить Евгения 1313 о чем я писал выше. Ясно одно, что на нашем сайте он уже появился, существует и кому-то из 3 тыс. ежедневных посетителей сайта он придется по душе и войдет в жизнь. Уважаемый Андрей Юрьевич! Если не знаем мы с Вами, то это не означает, что его нет. Нельзя объять необъятное. Ради простого интереса подождем автора. С уважением Nik
Я - за новые правильные термины!
Помню совместный с Виктором Григорьевичем проект "переходный позвонк" - неплохо получилось, вроде. Только где-то далеко случай... в летах...
Уважаемый Nikolas, можно Вас попросить всё-таки дать объяснение термина "ретроканкрозная" словами, что Вы вкладываете в него?.. (Рисунок я буду держать в памяти.)
А по данному случаю - напротив, больше похож на обструктивный пневмонит - начинается с корня. Может, конечно, и централизация, НО... опять же знакомое "с детства" сближение задних отделов рёбер!..
--------------
"Просто, по видимости, не видеть логики в очевидных вещах - это тоже одно из свойств некоторых умов, наряду с грустными думами о свойствах ума других." © Vega 08/10/2011
Термины придумывают люди, и, по всей видимости, ретроканкрозный (дистальнее опухоли) пневмонит может быть на определенном периоде развития опухоли. Но, по всей видимости, ретроканкрозный пневмонит (пневмония) и параканкрозная пневмония (пневмонит) будут отличаться патогенетически.
Термина такого ранее не встречал.
на термине "ретро" уважаемый доктор Makcimalist. "Не по нутру мне этот Ванька Каин" (ретро). Термин слишком общий, также как и "пара". Лучше использовать патогенетическую терминологию. Врач должен иметь представление о принципиальных звеньях патогенеза заболевания у больного. Он обязан, по возможности, выявить основные факторы и их причинно-следственные взаимоотношения, приведшие к развитию патологического процесса в конкретном случае. Именно построение патогенетического диагноза позволяет сформулировать индивидуальные особенности данного клинического случая. Этому соответствуют формулировки, "обструктивный раковый пневмонит", "компрессионный раковый пневмонит". Таково мое мнение по этой теме. С уважением Nik
Спасибо, Nikolas! Но выражу впечатление по двум последним комментам - Валентин Львович озвучил то, что ожидал услышать от Вас. Согласен, что патогенетический путь - правильный, но термины порой просто помогают (упрощают, конкретизируют) ориентацию во времени и пространстве (например, ретро-, латеро-...). Как с термином "пара-" : вокруг, около. (Вспоминается ветка о пользе латыни... Нужна, конечно! Азы...) Клиницисты иногда пользуют термином "мета-" для обозначения отсроченного во времени процесса (патогенетически связанного с первопричиной).
Но если говорить о термине "ретро-" - то его употребление считаю неправомощным. Если бы речь шла о патологическом процессе, ориентированном в одной (даже в двух) плоскостях - то прошёл бы, но с учётом трёхмерности объекта (лёгкое) и представленных сагитальных КТ-сканов (применительно к данному случаю, как к примеру) - теряет силу. Ибо из "ретро-" мимикрирует в "пара-" (антеро-, латеро-...). Всё должно быть объяснено логично, на мой взгляд.
--------------
"Просто, по видимости, не видеть логики в очевидных вещах - это тоже одно из свойств некоторых умов, наряду с грустными думами о свойствах ума других." © Vega 08/10/2011
29 +
Ну, с "ретроканкрозной пневмонией" похоже разобрались. Теперь - "параканкрозная пневмония" vs "обструктивный раковый пневмонит". Конечно собственно термин "параканкрозная пневмония" хромает на обе ноги, но набрав его в поисковике я вышел на ссылки медицинских статей, в том числе и достаточно уважаемых авторов http://old.consilium-medicum.com/media/consilium/02_12/620_3.shtml ,или http://www.medimage.ru/Case.asp?ui=&cs=1338
Поиск по "обструктивный раковый пневмонит" - выводит меня на научно-популярные источники, типа такого http://medicalplanet.su/diagnostica/468.html или такого http://alloncology.com/rak-legkogo/stadii-raka-legkogo.html
Поделитесь, откуда взялся этот термин, и если это западный медицинский термин, как пишется оригинал на английском?
Андрей Юрьевич
- кстати,.. спасибо! Именно - позволяет ориентироваться во времени (парапневмонический плеврит) и пространстве (параканкрозная пневмония), и даже связывая процессы в патогенетические звенья!.. Почему хромает?..
- Почему же всё должно писаться изначально на английском?!
Пневмонит - термин - латынь! Остальное - характеристика конкретного процесса с попыткой его патогенетического обоснования.. Логичное, на мой взгляд, по механизму!
--------------
"Просто, по видимости, не видеть логики в очевидных вещах - это тоже одно из свойств некоторых умов, наряду с грустными думами о свойствах ума других." © Vega 08/10/2011
- парапневмонический плеврит - это не наш термин, а клинический, наш термин - гидроторакс;
- почему хромает? Ну, это как морская свинка: "во-первых, не свинка, во-вторых, не морская"
. Тема отдельного разговора, никак не найду ссылки на статьи по гистологии "параканкрозной пневмонии". Хотя, наверное, это больше все-таки "пневмония", чем "пневмонит"
- почему на английском? Для того, чтоб посмотреть международную литературу. То, что МКБ - перевод с английского, Вас, надеюсь не смущает?
Вот именно
! Если найдете ссылку на гистологию этого пневмонита, буду благодарен.
Андрей Юрьевич
Только БАР и в Африке трже БАР.