Совершенно не заморачивались, сразу "заценили", как ос тригонум.
[quote]
Да я и не думал, Валентин Львович, что Вы по такому случаю будете заморачиваться. А у меня был случай, когда чуть не ляпнул не то, да еще у очвысокстоящнач. Хорошо, рентгенанатомия была под рукой. Но а в данном случае создается впечатление, что от этой м.е.(мать ее) os.trigonum осталось ложе, откуда она отскочила. Так что это вполне возможен перелом заднего отростка.
Ну это какой-то полный ...здец. Каждый сустав не стомографируешь (особенно в текучке, без инд. подхода), может посттравмат. иммобилизация при болевом синдроме какой-то выход? Представляю % пропущенных переломов?
Ну это какой-то полный ...здец. Каждый сустав не стомографируешь (особенно в текучке, без инд. подхода), может посттравмат. иммобилизация при болевом синдроме какой-то выход? Представляю % пропущенных переломов?
Вы правы Игорь Иванович!
Но, в данном случае, при кажушейся норме, очень уж клиника давила, вот и пришлось "целовать" томограф.
Сегодня наоборот, мальчишка ударил другого мальчишку, и жалоб нет, а патологический перелом - "мама не горюй", впечатляет сильно, возможно, завтра выставлю на сайт
Малый подвывих? стопы (повреждение связок), отрыв заднего отростка таранной кости.
Подвывих в таранно-пяточном суставе и отрыв заднего отростка таранной кости.
В отношении перелома нужно помнить о сверхкомплектной треугольной кости.
Абсолютно согласен с Игорем Ивановичем. а в ЭТОМ случае так тем более...края то заокруглены...
Болезни ног: виды, симптомы, причины, профилактика и лечение
Здравствуйте уважаемый Игорь Иванович!
Совершенно не заморачивались, сразу "заценили", как ос тригонум.
Здравствуйте уважаемый Виктор Григорьевич!
Все хорошо, да, вот клиника есть, и есть не малая, плачет девица (пациент) от боли, "клинику" куда деть? На ноженьку ступить не может...
[quote=Катенёв Валентин Львович]
Совершенно не заморачивались, сразу "заценили", как ос тригонум.
[quote]
Да я и не думал, Валентин Львович, что Вы по такому случаю будете заморачиваться. А у меня был случай, когда чуть не ляпнул не то, да еще у очвысокстоящнач. Хорошо, рентгенанатомия была под рукой. Но а в данном случае создается впечатление, что от этой м.е.(мать ее) os.trigonum осталось ложе, откуда она отскочила. Так что это вполне возможен перелом заднего отростка.
Фрагмент с увеличением.
Ну, мы перекрестясь и помолясь "заправили" томограф и обнаружили "полосочку просветления", может перелом?
Если Вы о заднем крае большеберцовой - то ДА! ...Круто....
Болезни ног: виды, симптомы, причины, профилактика и лечение
- полосочка - такая же - и в пяточной!.. Однако, от лукавого... вторая полоска?
--------------
"Просто, по видимости, не видеть логики в очевидных вещах - это тоже одно из свойств некоторых умов, наряду с грустными думами о свойствах ума других." © Vega 08/10/2011
За "круто" спасибо, но это "полу-круто"..., круто будет ниже.
А, Вы "глазастый" коллега, в хорошем смысле "глазастый".
Неужели сама пришла?! Ведь даже на костылях, с помощником бывает нет-нет да и наступишь на пятку!.. А тут ещё и боковая...
--------------
"Просто, по видимости, не видеть логики в очевидных вещах - это тоже одно из свойств некоторых умов, наряду с грустными думами о свойствах ума других." © Vega 08/10/2011
Вертикальных переломов не вижу, есть игра теней, полосы за пределы кости по ходу "размазывания".
Следующий срез.
Снимаю шляпу... в очередной раз Вы меня удивляете....а сам то - проморгал...туды ее в качель...эту пятку))))))
Болезни ног: виды, симптомы, причины, профилактика и лечение
Следущий срез.
Ну это какой-то полный ...здец. Каждый сустав не стомографируешь (особенно в текучке, без инд. подхода), может посттравмат. иммобилизация при болевом синдроме какой-то выход? Представляю % пропущенных переломов?
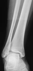
А теперь конкретно, перелом наружной лодыжки и пяточной кости? Т.н. задний край б\б кости без нарушения целости?
Вы правы Игорь Иванович!
Но, в данном случае, при кажушейся норме, очень уж клиника давила, вот и пришлось "целовать" томограф.
Сегодня наоборот, мальчишка ударил другого мальчишку, и жалоб нет, а патологический перелом - "мама не горюй", впечатляет сильно, возможно, завтра выставлю на сайт
Да, с пяткой ясно...задний край б\берцовой - но там четко разрыв кортикала...а вот с наружной лодыжкой ....сомнения...
Болезни ног: виды, симптомы, причины, профилактика и лечение
... внутренней лодыжкой!
--------------
"Просто, по видимости, не видеть логики в очевидных вещах - это тоже одно из свойств некоторых умов, наряду с грустными думами о свойствах ума других." © Vega 08/10/2011
......?????не понял...о внутренней лодыжке?...она ни разу не попала в зону интереса, кроме первых снимков, естественно...
Болезни ног: виды, симптомы, причины, профилактика и лечение
Так и мерещится мне на первых снимках её (внутренней лодыжки) трещина. Думал, что Вы обшиблись/очепятались с наружной-то...
--------------
"Просто, по видимости, не видеть логики в очевидных вещах - это тоже одно из свойств некоторых умов, наряду с грустными думами о свойствах ума других." © Vega 08/10/2011
.
По моему перелом наружной лодыжки накладывается на заднюю, которая цела...
..., да, сплошная "хиромантия"...
Мнения ученых ЯВНО разошлись)))))
Болезни ног: виды, симптомы, причины, профилактика и лечение
Но, случай неоднозначный, я, лично серьёзно задумался.
- ВОт что зацепило... ещё!)) От лукавого?.. опять?!
--------------
"Просто, по видимости, не видеть логики в очевидных вещах - это тоже одно из свойств некоторых умов, наряду с грустными думами о свойствах ума других." © Vega 08/10/2011
Если честно - совсем "не екнуло"))))...может постарел))) глаза уже не те....
Болезни ног: виды, симптомы, причины, профилактика и лечение