You are here

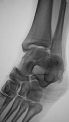
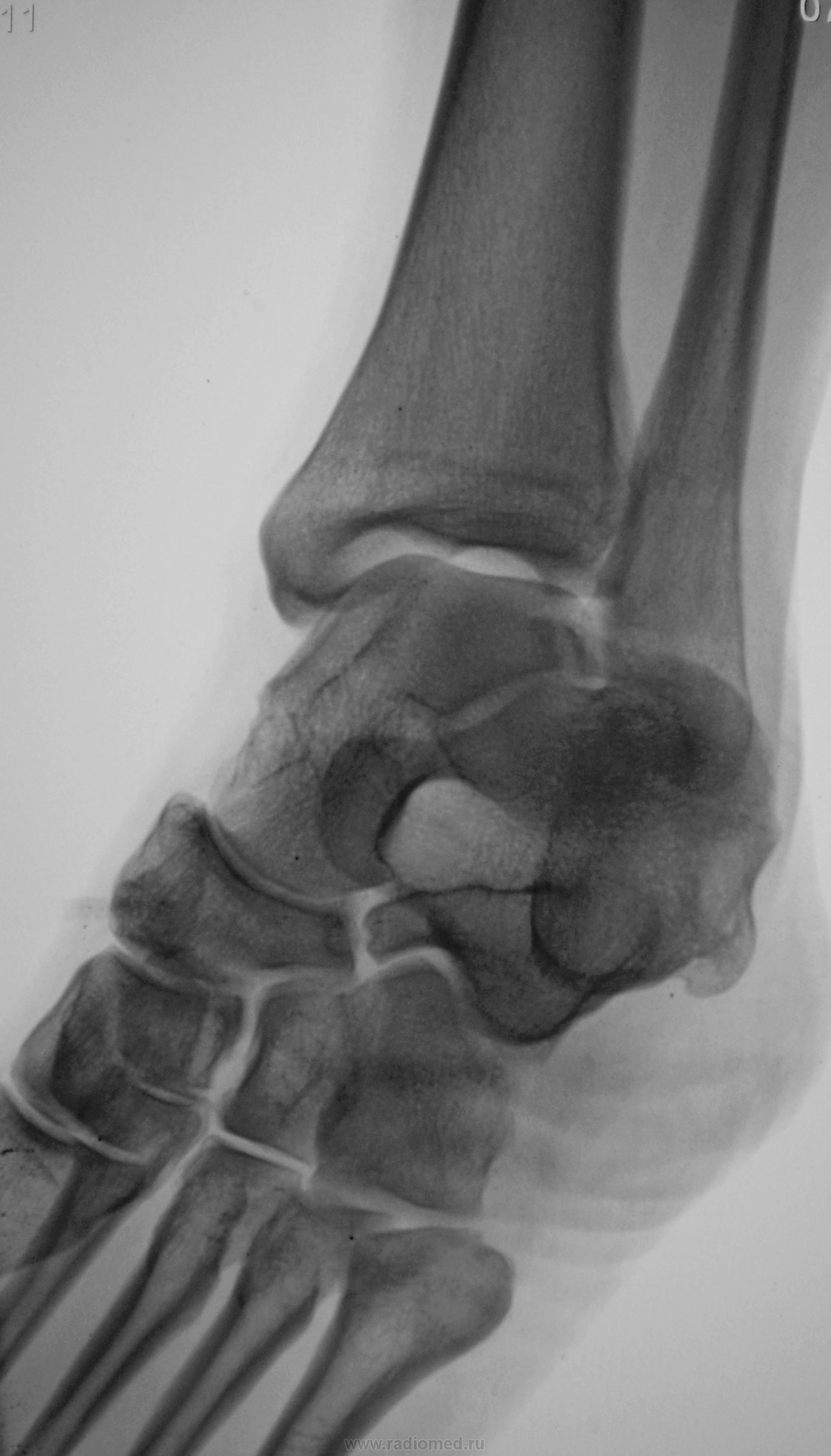
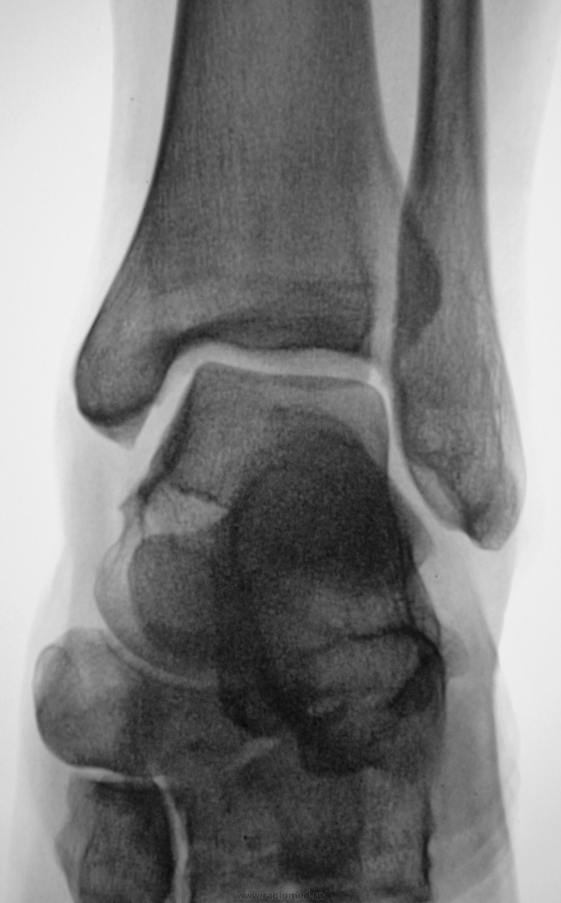
Травма. Пациент направлен на рентгенографию голеностопного сустава.

Пол пациента: 
Тип патологии: 
Область исследования: 
Методы исследования: 

Травма.  Пациент направлен на рентгенографию голеностопного сустава.

  • https://radiomed.ru/sites/default/files/styles/case_slider_image/public/user/12/2.pb150012a.jpg?itok=8lqXlAt3
  • https://radiomed.ru/sites/default/files/styles/case_slider_image/public/user/12/3.pb150012ga.jpg?itok=GiUAhKP3
  • https://radiomed.ru/sites/default/files/styles/case_slider_image/public/user/12/4.pb150013a.jpg?itok=KxRB_TwI
  • https://radiomed.ru/sites/default/files/styles/case_slider_image/public/user/12/5.pb150014a.jpg?itok=Pga0VMgu
ID:16828
Игорь Иванович's picture
Offline
Last seen: 4 years 2 months ago
Joined: 23.01.2010 - 14:56
Posts: 3695

Валентин Львович, Вы опять что-то каверзное припасли? Нужно сделать томографию - глядишь, все кости будут переломаны. Особливо прискіпливо(укр.) посмотреть на т.н. переднюю лодыжку.

Катенёв Валентин Львович's picture
Offline
Last seen: 7 years 5 months ago
Joined: 22.03.2008 - 22:15
Posts: 54876

Здравствуйте уважаемый Игорь Иванович!

Не, "каверзу не пас", все выставленное вчера с вчерашнего приема...

Томографию не делали.

nnemo's picture
Offline
Last seen: 11 years 6 months ago
Joined: 13.09.2011 - 18:32
Posts: 561

Так и чем завершилось, Валентин Львович? Без костно-травматических?

Катенёв Валентин Львович's picture
Offline
Last seen: 7 years 5 months ago
Joined: 22.03.2008 - 22:15
Posts: 54876

Я не знаю, не знаю до сих пор.