You are here

Динамика.

Пол пациента: 
Тип патологии: 
Методы исследования: 

Динамика.

Контроль.

  • https://radiomed.ru/sites/default/files/styles/case_slider_image/public/user/12/2.pb180004_0.jpg?itok=jtlEx19_
  • https://radiomed.ru/sites/default/files/styles/case_slider_image/public/user/12/pb180005.jpg?itok=prgnCHqh
  • https://radiomed.ru/sites/default/files/styles/case_slider_image/public/user/12/pb180006.jpg?itok=LIhkgiA1
  • https://radiomed.ru/sites/default/files/styles/case_slider_image/public/user/12/pb180007.jpg?itok=2qe-q1aH
  • https://radiomed.ru/sites/default/files/styles/case_slider_image/public/user/12/pb180008.jpg?itok=KZZvIN_P
ID:16881
lupan's picture
Offline
Last seen: 7 years 1 month ago
Joined: 07.01.2010 - 17:17
Posts: 1406

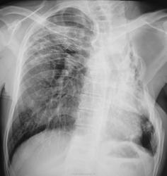
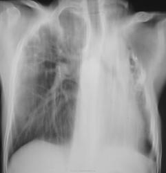
Валентин Львович, где Вы берете такие снимки? Из старых архивов ПТД? Слева состояние после торакопластики, кстати, там м.б. бронхоплевральный свищ. А у меня вопрос к Вам. Без архива, как бы Вы охарактеризовали  состояние правого л-го. Старые дела или имеется свежая инфильтрация? Вопрос снимается. По моему справа имеются мелкие полости.

Великое преймущество врача заключается в том, что он не обязан следовать собственным советам. ( А. Кристи)

lupan's picture
Offline
Last seen: 7 years 1 month ago
Joined: 07.01.2010 - 17:17
Posts: 1406

Пока писал ответ, появилась динамика. Чудеса.

Великое преймущество врача заключается в том, что он не обязан следовать собственным советам. ( А. Кристи)

Катенёв Валентин Львович's picture
Offline
Last seen: 7 years 3 months ago
Joined: 22.03.2008 - 22:15
Posts: 54876

Нет, это не архивы. Это повседневная работа. Пациент был прооперирован в начале 2011 года в ОПТД, отпущен под наблюдение фтизиатра по "месту жительства". Вторая серия (последние 4 снимка) сделаны в пятницу. Коллега фтизиатр, увидев контрольные снимки, вспомнил пациента "не хорошим словом". Больной весьма не дисциплинированный...