Пол пациента:
Тип патологии:
Область исследования:
Методы исследования:
Случай из украинской глубинки. Молодой мужчина поступает в хирургическое отделение.
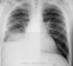
Вот первичный снимок...
Вот контроль (промежуток времени небольшой)
Снимки консультированы мной по Интернету. Рекомендована плевральны пункция.
Последняя проведена. Удалено около 1,5 жидкости соломенного цвета. Образцы переданы на исследование.
Вот контрольные снимки
Поднят из архива снимок, проведеный профилактически, за несколько месяцев до болезни
Что скажете? Что порекомендуете?
Сразу же скажу, что УЗИ нет (полетел датчик), так что с этой точки пока не догнать.
Плеврит с тенденцией к осумкованию междолевому, медиастинальному. Но я обратил внимание на косые паракостальные линии, прямо как у недавно выставляемой мной бабульки с такими же теперь понятными мне линиями.
Если имеется температура, нет "острого живота", а результаты жидкости будут получены в понедельник, то можно смело направить пациента в тубстационар.На снимке из архива имелся наддиафрагмальный выпот, в 3-м межреберье справа и чуть ниже избыточный легочный рисунок. Слева очаги в верхушке и1-м/р. Желаю больному выздоровления. С уважением Nik
Ник, спасибо! На плотный очаг на верхушке слева тоже указывал в консультации, так что настороженность на туберкулезную этиологию присутствует.
По результатах сообщу дополнительно.
Не исключено, что и хирург выскажется.
Болезни ног: виды, симптомы, причины, профилактика и лечение
А нет ли там спадения средней доли. Междолевой плеврит хорошо, но всё может быть, контуры больно чёткие
Если "спадение", что чего же так выбухает контур, а в динамике (первый прямой и последний контрольный прямой) - уменьшение размера...как то не вяжется...как мне кажется.
Болезни ног: виды, симптомы, причины, профилактика и лечение
По тактике согласен. Но не вижу очагов,думаю сосуды, выпота убедительно тоже не увидел (архивный снимок)
При таких плевритах (особенно с таким сол.жел.выпотом. т.е. вроде не специф.) у нас всегда после клин.реконвалесценции противотуб. лечение 3месяца назначают профилактически
+1. К сожалению, ни слова о клинике и лаборторных показателях !(?)С учётом имеющися данных, предварительно можно расценить как выпот в плевральной полости справа, вероятно неспецифической этиологии.
*************************************************************************************************************************************
когда писал +1, имел ввиду, что присоединяюсь к комменту Rentgengb1( синхронно написали 2поста 7 и 8)
А, может, то киста, такие фортеля выкидывает, уважаемый Виктор Григорьевич?
Что бы МЛУ и ШЛУ разводить.
с Михаилом Александровичем! Расшифруйте народу МЛУ и ШЛУ. Давно не представляли Вы нам свои клинические наблюдения. Жду. Nikolas
Торакоскопия с плевробиопсией.
А с точки зрения вероятности массивный выпот у юной особи, при отсутствии признаков нагноения - туберкулез ( как проявление гиперэргии).
с точки зрения ведущих клиник и мировой практики. Но пациент из "глубинки". Повезет ему очень, если попадет в Киев, Львов, Донецк, Харьков.С "Возвращением блудного сына". С уважением Nikolas
В лучшем случае он попадет....в Чернигов...
Болезни ног: виды, симптомы, причины, профилактика и лечение
Дополнения, к анамнезу...
1. Травма около месяца назад (падение с велосипеда)
2. Снимок на второй день - тот, где вроде бы норма.
3. Через неделю - недомогание.
4. Еще три недели - дома.
5. При поступление - высокая температура, одышка.
6. Из анамнеза - ранее - ЧМТ - оперирован- гепатит С....
Болезни ног: виды, симптомы, причины, профилактика и лечение
Вы хотите сказать, что Чернигове диагноз не верифицируют?
Что Вы, Михаил Анатольевич, я этого не говорил, просто имел виду, что вряд ли он дальше Чернигова куда попадет)))...хотя...могу и ошибаться)))
Болезни ног: виды, симптомы, причины, профилактика и лечение
Выпот, надо понимать не осумкованный, а "свободный"?
Здравствуйте Уважаемый Виктор Григорьевич!
А не смущает ли Вас манифестная подчеркнутость контура (стрелки), а также полное отсутствие дифференциации "дорожки Прозорова"?
Насколько сам понимаю, если где ошибаюсь, прошу поправить:
МЛУ (множественная лекарственная устойчивость) - устойчивость возбудителя к рифампицину и изониазиду, основным препаратам I группы. Пациентам с МЛУ назначают препараты II группы - фторхинолоны, циклосерин, этионамид, протиоамид, и др. При развитии устойчивости возбудителя и к данным препаратам (обязательно к фторхинолонам) выставляется уже ШЛУ (широкая лекарственная устойчивость).
Добрый день, уважаемый, Валентин Львович!
Да, сей факт меня тоже смущает. Находил ему обьяснение, что правый купол диафрагмы приподнят, в т.ч. и из за увеличения печени, вот и правые отделы сердца также "поползли" вверх, тем самым и сблизив правый контур с хвостом правого корня.
Но вполне могу бытть и не прав в своих умозаключениях.
Сегодня должен быть проведен контроль. Если мне его пришлют - выставлю.
Болезни ног: виды, симптомы, причины, профилактика и лечение
Вот коменты хирурга и контрольные снимки порсле двух последних плевральных пункций...
"Больной Р. 1983г.р.поступил в х/о ЦРБ 22.11.11г. с жалобами на одышку, умеренные боли в правой половине грудной клетки. Месяц назад отмечал травму грудной клетки.За мед.помощью не обращался.Больной ведет асоциальный образ жизни-«за ним ни Родины ни флага». При поступлении произведена плевральная пункция справа-эвакуировано 1500 мл светло-соломенного цвета выпота.Состояние больного на 23.11-удовлетворительное ,жалоб особых нет. Ан. крови общ.-Hb-142г/л,Ер-4,55x1012 Л-4,2x109 СОЭ-16мм/час(п-4%,с-68%,э-12%,л-12%,м-4%) БК в плевральном экссудате не выявлено. После в/в инфузии фторхинолонов(левофлоксацин)отмечалось выраженное побочное действие ,Был назначен орнигил по 500мг x2 раза в сутки,цефтриаксон по 1.0 гр x 2 раза в сутки. 24.11-выполнена повторная пункция-эвакуиировано 1530 мл. экссудата. К лечению добавлены общеукрепляющие препараты и мочегонные препараты. Сегодня-28.11-выполнена пункция-эвакуировано 520мл. Состояние больного удовлетворительное"
Рентгенологическая динамика, как по мне - отличная, а вот выпот был и по междолевкам и ПАРАМЕДИАСТИНАЛЬНО, как по мне.
Что скажете, коллеги?
Болезни ног: виды, симптомы, причины, профилактика и лечение
самое главное, простой анализ плевральной жидкости для студентов 3 курса. Подозрительные участки показал на рисунках. Эвакуировать жидкость постепенно досуха. С уважением Nikolas
1.Коллега -хирург ответил - "БК в плевральном экссудате не выявлено".
2. Динамика, с учетом всего 7 дней лечения - хорошая.
3. Пока есть уплотнение листков м\долевой плевры, говорить об наличии очагов, только по данным рентгенографии, преждевременно, как по мне.
4. Парамедиастинальный выпот еще сохраняется, хотя и уменьшился.
Болезни ног: виды, симптомы, причины, профилактика и лечение
МБТ методом бактериоскопии обнаруживается при целенаправленном исследовании в тубдиспансере у 0,13%. Не хочу никого поучать, но отстуствие МБТ в экссудате не исключает туберкулез. Вам даже не сообщили, жидкость транссудат или экссудат. Дела с диагностикой природы выпота остается плачевная на постсоветском пространстве. С уважением Nik
Виктор Григорьевич, Вы этим Борзнянским случаем отвлекаете коллег от решения социально насущных проблем...(шЮтка).
P.S. Не знаю, почему предыдущий коммент. получился анонимно. Решил открыть личико.
1.Игорь Иванович, если родной брат просит помощи, то могу ли я ему в этом отказать?)))
2. И почему бы Евразийскому сообществу лучевых диагностов Радиомед и не помочь сообща хирургу из украинской ЦРБ? Мне кажется он этого вполне заслуживает хотя бы тем, что там "пашет" более 23 лет уже!!!!! Да и для кого, по большому счету, мы работаем, как не для клиницистов)))) и их больных.
Болезни ног: виды, симптомы, причины, профилактика и лечение
Хотелось бы добавить: при туберкулезном выпоте КУМ в плевральной жидкости, КАК ПРАВИЛО ОТСУТСТВУЕТ (если это не казеозные массы), подтвердить или опровергнуть туберкулезный характер выпота можно только при гистологическом исследовании.
Жидкость сообщено автором - экссудат.
Клеточный состав плевральной жидкости???
При низком уровне сахара при преобладании лимфоцитов у лиц моложе 30 лет более вероятен туберкулез.
У лиц старшей возрастной группы и при нормальном сахаре высока вероятность опухолева поражения.
При нейтрофильном экксудате вероятнее пара- и метапневмоничекий характер плеврального выпота..
1. По мокроте:
- лейкоциты - 40-60 в п/зр
-Альвеолярные клетки
- Макрофаги
- кониофаги - 8-12 до 20 в п\зр
- БК-не выявлено
2. По плевральной жидкости:
- эозинофилы - 6-8 в п\зр (до 75% от общего количества)
- мезотелий - единично
-лимфоциты - - 2-3 в п\зр
-белок - 0,4
Болезни ног: виды, симптомы, причины, профилактика и лечение
не противоречит моему первичному суждению. С уважением Nik
По мокроте:
1.Альвеолярные клетки обнаруживаются всегда в мокроте при свежих воспалительных процессах в легких.
2.Альвеолярные макрофаги, или пылевые клетки прежних авторов. являются активными клетками организма. С помощью витальной окраски установлено, что альвеолярные макрофаги обладают подвижностью, имеют пищеварительные вакуоли и очень интенсивно захватывают краски, т. е. имеют все признаки клеток мезенхимного происхождения. Очень часто в клетках имеется пигмент от светло-желтого до черного цвета. Нередко пигмент представляет собой гемосидерин и дает реакцию на берлинскую лазурь. Часто в клетках одновременно с пигментом, а иногда и без него встречаются жировые капельки, которые нередко заполняют всю клетку. В неокрашенной мокроте они имеют серовато-стальной цвет.
По экссудату:
По цитологической картине различают несколько типов плевральных жидкостей:
1) эозинофильный и эозинофильно-лимфоцитарный,
2) лимфоцитарно-эритроцитарный скудноклеточный; лимфоцитарный; лимфоцитарно-нейтрофильный,
3) нейтрофильно-серозный и гнойный,
4) мононуклеарно-моноцитарный, макрофаговый, мезотелиальный.
1.Эозинофильный экссудат наблюдается при туберкулезных плевритах, особенно при пневмоплевритах. Эозинофилы могут являться преобладающим родом клеток в экссудатах. Однако в некоторых случаях эозинофилы бывают представлены в несколько меньшем проценте (10—20%). Остальные клетки составляют лимфоциты. Экссудат в этих случаях становится эозинофильно-лимфоцитарным. Наряду с эозинофилами и лимфоцитами, в них бывают представлены и гистиоциты, иногда базофилы и нейтрофилы.
Вывод - по улучшению состояния настоятельно рекомендуется консультация в областной противотуберкулезной конторе.
Болезни ног: виды, симптомы, причины, профилактика и лечение
Эозинофилы в плевральной жидкости:
Наиболее часто на попадание воздуха или крови. ( Показателен 1-й анализ) При повторных пункциях диагностическре значение снмжается.
Если приведен анализ 1-го пунктата. эозинофилы могут радовать менее вероятны туберкулез и опухоли. (но учитывая значимость, нельзя забывать о первом замечании).
По этому наиболее целесообразна в данном наблюдении торакоскопия.
за молодого пациента из Украинской глубинки, давали разные бесплатные советы. Что с ним, уважаемый Виктор Григорьевич? Передайте ему мой привет, если он ещё продолжает лечение. Nik
Nik Вы не правы.
http://medulka.ru/vnutrennie-bolezni/bolezni-plevry
и знаем. Только в чем не прав? Уточните. Мне желательно точечные вопросы. Ваш Nik
подчеркнул, пришлось стирать верное.
Суважением Бородулин
уважаемые коллеги, где при дифференциальной диагностике выпота в плевральной полости на постоянной основе пользуютя критериями Лайта. Возможно, я не совсем прав в своей оценке. Nikolas
С 1987 года.начало.
С 1991 г. с появлением в городе торакоскопической стойки - 2 этап.
Больной пролечен. Выписан. Консультирован в областном ОТД. Диагноз туберкулеза не подтвержден.
Болезни ног: виды, симптомы, причины, профилактика и лечение
хорошую новость. Успокаиваться нельзя. Необходим ежегодный рентгенологичесий контроль. Плеврит у молодых - сигнальная лампочка активного скрыто протекающего туберкулеза. Врачи Украины были об этом хорошо осведомлены. Уважаемый Виктор Григорьевич! Наблюдайте за ним. Этиология выпота осталась неизвестной. Хочу дождаться отдаленных результатов.Я этого пациента не забуду. Здоровья Вам. С уважением Nik
Спасибо за Ваше внимание этому случаю! Активным наблюдением, по возможности, займется мой младший брат)))), который его и лечил, он же и просил УВАЖАЕМОЕ сообщество рентгенологов Евразии высказать свое мнение. Я же, всего-навсего, скромный исполнитель его просьбы. Отдаленной судьбой больного поинтересуюсь. При появлении информации - обязательно сообщу. С уважением. Виктор Стовба.
Болезни ног: виды, симптомы, причины, профилактика и лечение
Май месяц - пора цветения туберкулезных плевритов и развития туберкулеза легких после перенесенного плеврита неясной этиологии. Как поживает наш общий пациент из глубинки? Жду контрольное обследование. С уважением, Nik
Игорь Иванович, подскажите пожалуйста что эти линии означают, я тоже хочу знать. И если можно, дайте ссылку на Вашу "бабульку".
Дайте ответ кто-нибудь, пожалуйста, что это за линии.