You are here

Помогите с интерпретацией МР-исследования !

Уважаемые коллеги, помогите кто чем может.

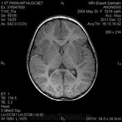
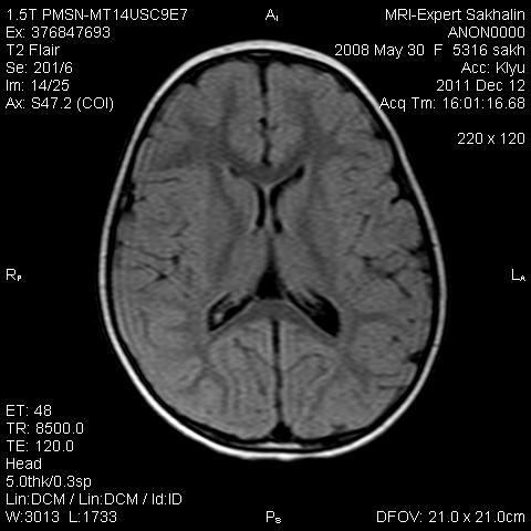
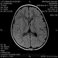
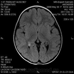
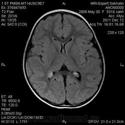
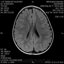
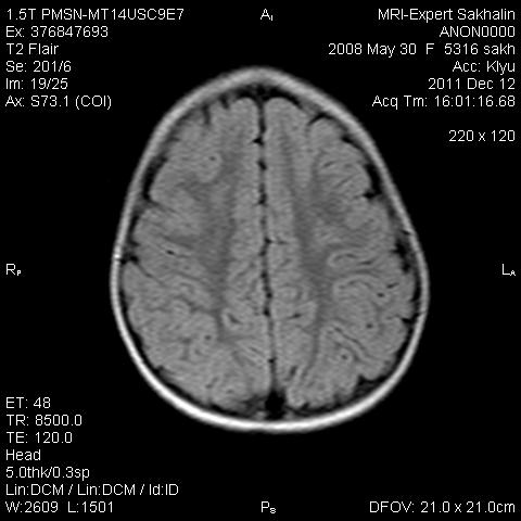
Девочка 3 года.В анамнезе -родовая травма-внутрижелудочковые кровоизлияния 1-2 ст.Задержка психического развития.Со слов мамы, "бывают истерики, хватается ручками за голову, особенно затылочную часть".Как интерпретировать изменения в желудочках, в задних рогах?Ликворную кисту ЗЧЯ отметила.

          

  • https://radiomed.ru/sites/default/files/styles/case_slider_image/public/user/5662/ole2_1.jpg?itok=HwU_0xFK
  • https://radiomed.ru/sites/default/files/styles/case_slider_image/public/user/5662/ole3_0.jpg?itok=EpvOcqRZ
  • https://radiomed.ru/sites/default/files/styles/case_slider_image/public/user/5662/ole4_0.jpg?itok=Mb6U3rJP
  • https://radiomed.ru/sites/default/files/styles/case_slider_image/public/user/5662/ole5_0.jpg?itok=eB059s8j
  • https://radiomed.ru/sites/default/files/styles/case_slider_image/public/user/5662/ole6_0.jpg?itok=RlgkKron
  • https://radiomed.ru/sites/default/files/styles/case_slider_image/public/user/5662/ole7_0.jpg?itok=9up0l0DH
  • https://radiomed.ru/sites/default/files/styles/case_slider_image/public/user/5662/ole8_0.jpg?itok=ch95Oafc
  • https://radiomed.ru/sites/default/files/styles/case_slider_image/public/user/5662/ole9_1.jpg?itok=Ugq9gPwF
  • https://radiomed.ru/sites/default/files/styles/case_slider_image/public/user/5662/ole10_2.jpg?itok=DWEDbRd8
  • https://radiomed.ru/sites/default/files/styles/case_slider_image/public/user/5662/ole11_0.jpg?itok=Jrjikn_z
ID:51306
Popovpavel's picture
Offline
Last seen: 7 years 6 months ago
Joined: 08.06.2009 - 00:23
Posts: 649

В желудочках могут быть маленькие кисты сосудистого сплетения, но это ничего особенного - вариант нормы. Кисту в ЗЧЯ, кстати, тоже не заметил, где она?

Helios's picture
Offline
Last seen: 11 months 21 hours ago
Joined: 06.08.2010 - 15:16
Posts: 4417

Спасибо, Павел!

Киста не совсем киста, но нижняя ретроцеребеллярная цистерна незначительно расширена- я указала.

А вот гипоинтенсивное по Т2 в заднем роге левого бокового желудочка?В других последовательностях нет.

irena's picture
Offline
Last seen: 9 years 10 months ago
Joined: 28.09.2009 - 13:00
Posts: 289

справа киста сосудистого сплетния -она же ксанутрогранулема,пртекаетбессимптомно.в эру доКТ и МРТ диагнстировались только на аутопсии,влевомсплетении -фокус пониженного МРС -возможно обезыствление или гемосидерин  ( ведь было кровоизлияние?)

Helios's picture
Offline
Last seen: 11 months 21 hours ago
Joined: 06.08.2010 - 15:16
Posts: 4417

Спасибо, Ирина!Было кровоизлияние, причем с обеих сторон.

k.zhokha's picture
Offline
Last seen: 7 years 8 months ago
Joined: 08.12.2011 - 22:03
Posts: 3

Здравствуйте! Извините что вклиниваюсь в вашу дискуссию. В дополнение ко всему сказанному мне показалось что для трехлетнего ребенка желудочки несколько великоваты, больше слева. Ликворные пространства не симметричны, опять больше слева. В складочках мозга мелкие, пока, кисточки. Может быть попробовать исключить церебральный арахноидит? Пункцию делали?

Nela's picture
Offline
Last seen: 6 years 4 months ago
Joined: 12.05.2009 - 20:43
Posts: 1847

А по-моему, все в пределах допустимого. Идеально симметричных людей нет.

nnemo's picture
Offline
Last seen: 11 years 4 months ago
Joined: 13.09.2011 - 18:32
Posts: 561

Nela wrote:

А по-моему, все в пределах допустимого. Идеально симметричных людей нет.

поддерживаю

unre_ALL's picture
Offline
Last seen: 8 years 2 months ago
Joined: 15.09.2010 - 14:52
Posts: 187

+1

 

-------------------------------------------------------------------------------------------------

Я получил счет от хирургов. Теперь мне понятно, почему эти парни работают в масках. 

Popovpavel's picture
Offline
Last seen: 7 years 6 months ago
Joined: 08.06.2009 - 00:23
Posts: 649

k.zhokha wrote:

Здравствуйте! Извините что вклиниваюсь в вашу дискуссию. В дополнение ко всему сказанному мне показалось что для трехлетнего ребенка желудочки несколько великоваты, больше слева. Ликворные пространства не симметричны, опять больше слева. В складочках мозга мелкие, пока, кисточки. Может быть попробовать исключить церебральный арахноидит? Пункцию делали?

Где вы видите "кисточки"? 

Bob's picture
Bob
Offline
Last seen: 12 years 2 months ago
Joined: 20.08.2011 - 20:06
Posts: 218

k.zhokha wrote:

. В складочках мозга мелкие, пока, кисточки. Может быть попробовать исключить церебральный арахноидит? Пункцию делали?

 за что Вы так детей не любите?

Андрей Юрьевич's picture
Offline
Last seen: 2 months 2 days ago
Joined: 16.11.2008 - 22:16
Posts: 18101

Коллеги, в рамках ликбеза: а такое (некоторое) расширение субарахноидального пространства (не вполне характерное для 3-летнго ребенка), расценивается как гидроцефалия (заместительная, открытая, последствие ишемически-гипоксического синдрома) или нет?

Андрей Юрьевич

Helios's picture
Offline
Last seen: 11 months 21 hours ago
Joined: 06.08.2010 - 15:16
Posts: 4417

Нас учили, что да.

Андрей Юрьевич's picture
Offline
Last seen: 2 months 2 days ago
Joined: 16.11.2008 - 22:16
Posts: 18101

Helios wrote:

Нас учили, что да.

==========

 То есть. ЭТО все-таки НЕ норма?

Андрей Юрьевич

Helios's picture
Offline
Last seen: 11 months 21 hours ago
Joined: 06.08.2010 - 15:16
Posts: 4417

В данном исследовании я не отмечала наружную гидроцефалию.