Пол пациента:
Тип патологии:
Область исследования:
Методы исследования:
- https://radiomed.ru/sites/default/files/styles/case_slider_image/public/user/12/2.pc200002.jpg?itok=2gT9-rie
- https://radiomed.ru/sites/default/files/styles/case_slider_image/public/user/12/3.pc200002a.jpg?itok=HXaHUHae
- https://radiomed.ru/sites/default/files/styles/case_slider_image/public/user/12/4.pc200003.jpg?itok=DPUhZ8iK
- https://radiomed.ru/sites/default/files/styles/case_slider_image/public/user/12/5.pc200003a.jpg?itok=h2ornYgj
ID:17640
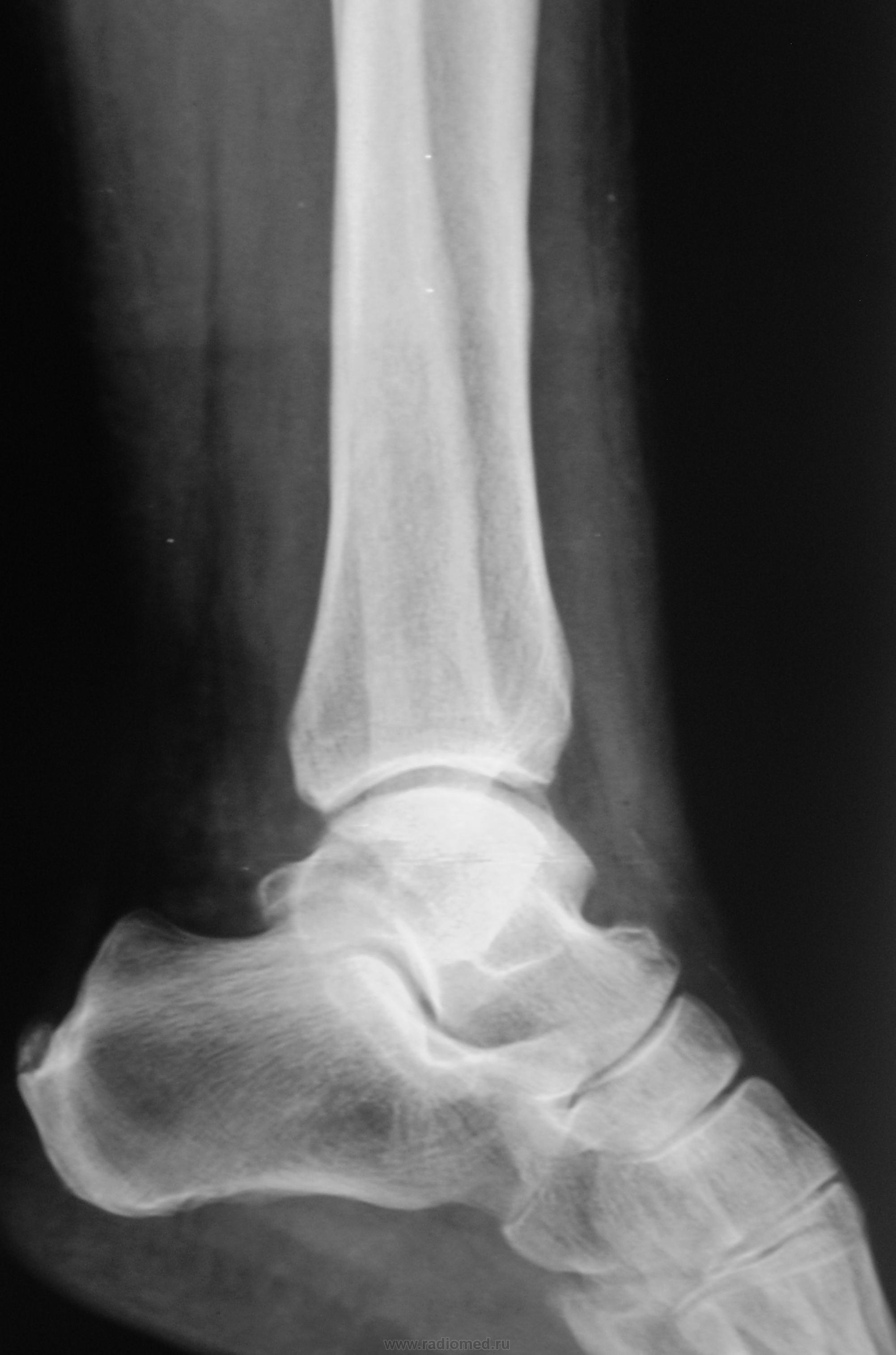
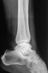
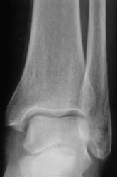
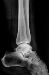
Краевой перелом наружной лодыжки? Интересен механизм травмы.
Перелом наружной лодыжки. Но механизм интересно знать. Футболист, гонитель жён или гандболист и т.д.
Пациент не связан со спортом. Со слов пацинта - подвернул ногу.
Тогда отрывной перелом за счет перерастяжения сухожилия.
перелом то обычный, наружняя лодыжка, а вот н\3 м\б кости подвздута и периостит б\б кости или мне это кажется)
наруж. лодыжки самый банальный ( без смещения).Таких в пору гололёда в день по несколько штук видим. Смутил переостит по передней поверхности малоберц. к.